Click here to close
Hello! We notice that you are using Internet Explorer, which is not supported by Xenbase and may cause the site to display incorrectly.
We suggest using a current version of Chrome,
FireFox, or Safari.
???displayArticle.abstract???
An acidic, 38 kDa protein that is present in Xenopus wild-type embryos has been previously shown to be lacking in gastrula-arrested mutant embryos. To gain understanding of the role of this protein, its spatio-temporal distribution and involvement in gastrulation was investigated using the monoclonal antibody (9D10) against it. The protein was prominent in the cortical cytoplasm of cells facing the outside in the animal hemisphere of embryos until the gastrula stage, and in ciliated epithelial cells of embryos at stages later than the late neurula. When the 9D10 antibody was injected into fertilized wild-type eggs, they cleaved normally, but most of them had arrested development, always at the early stage of gastrulation, as in the mutant embryos. In contrast, the majority of the control antibody-injected eggs gastrulated normally and developed further. Cytoskeletal F-actin, which was mainly observed in the area beneath the plasma membrane facing the outside of the epithelial layer of not only the dorsal involuting marginal zone but also the dorsal, vegetal cell mass of the control antibody-injected embryos at the early gastrula stage, was scarcely recognized in the corresponding area of the 9D10 antibody-injected embryos. It is likely that the paucity of the F-actin caused by the 9D10 antibody inhibition of the 38 kDa protein might lead to a failure of cell movement in gastrulation, resulting in developmental arrest.
Figure 1. Protein samples from cleavage stage embryos (stages 2â6) were separated by 2-D sodium dodecylsulfate (SDS)- polyacrylamide gel electrophoresis (PAGE) and detected by silver staining (left). The rectangle indicates the 38 kDa protein. After staining with Ponceau S, major protein spots were marked by pin holes (e.g. arrowhead) to orient the 38 kDa protein on the blot. Monoclonal 9D10 antibody shows specific reaction to the 38 kDa protein (arrow) on the immunoblot (right).
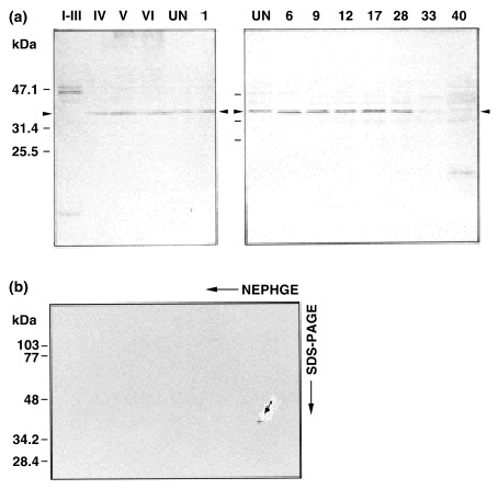
Figure 2. Temporal expression of the 38 kDa protein by 1-D or 2-D immunoblotting. One oocyte, one egg or one embryo equivalent protein samples were loaded in each lane, with the exception of oocytes at stages IâIII. Greek and Arabic numerals on the top indicate stages of oocytes and embryos used as protein samples, respectively. (A) The 9D10 antibody detects the band of the 38 kDa protein in oocytes from stages IV to VI, in unfertilized eggs (UN), and in embryos from fertilized eggs (1) to tailbud stage (33). The band detected at a higher molecular weight than 38 kDa in the sample of stage IâIII oocytes is considered to be non-specific because there were no reactive spots at the area corresponding to the band in the 2-D immunoblot (see Fig. 2B). (B) The 9D10 antibody detects the 38 kDa protein spot (arrow) in the sample of stage IâIII oocytes by 2-D immunoblotting. The spot was also detected in the sample of stage 46 tadpoles by 2-D immunoblotting.
Figure 3. Spatial distribution of the 38 kDa protein by immunocytochemistry. After whole-mount staining, embryos were embedded in paraplast and sectioned in A and B. Top, animal poles. Bl, blastocoele. (A) The 38 kDa protein is localized by 9D10 antibody preferentially in the superficial layer of the animal cap, the marginal zone and the vegetal yolk cell mass of the mid-blastula (stage 8), although a very small amount of the protein seems to be ubiquitously present throughout the cytoplasm of almost all cells. A similar localization of the protein was also observed in polyester wax sections of embryos at the same stage stained with the antibody, implying that the localization in the layer was not caused by poor penetration of the antibody. (B) Control rat IgM antibody detects no significant localization of proteins. (C) Whole-mount staining of a mid-tailbud stage embryo (stage 27). The localization of the 38 kDa protein is stained as dots on the epidermis when the embryo was reacted with the 9D10 antibody (bottom). Such a characteristic staining is not observed when control rat IgM antibody was used (top). (D) Phase contrast image of the epidermis on a transverse section of a mid-tailbudembryo (stage 28). Arrowheads indicate ciliated epidermal cells. (E) The same section as in D stained with the 9D10 antibody. The 38 kDa protein is localized in the apical region of ciliated epidermal cells. (F) Control rat IgM antibody detects no staining in the ciliated epidermal cells (white arrowheads) on a similar section. Bars, 10 μm in (A) and (B), 500 μm in (C), and 50 μm in (D) and (F).
Figure 4. Indirect immunofluorescent micrographs of polyester wax sections (AâF) and confocal micrographs of whole-mount staining (G and H) of embryos at the gastrula stages. (A) A 9D10 antibody-injected, stage 10+ embryo stained with the anti-actin antibody. Fluorescence for actin in the dorsal involuting region (upper part of the asterisk) is much weaker than that in the counterpart of the control antibody-injected embryos at the corresponding stage as shown in B. (B) A heat-inactivated, 9D10 antibody-injected, stage 10+ embryo with the anti-actin antibody. Strong fluorescence is seen mainly in the dorsal involuting region (bracket) and in the animal cap region. Fluorescence is also seen in the superficial layer of the vegetal endoderm cell mass. (C) The same section as in B stained with the 9D10 antibody. The 38 kDa protein is distributed nearly in the same region as actin. (D) A higher magnification of the rectangle in B. Fluorescence for actin is recognized distinctly in the dorsal involuting region and moderately in the invaginated region of the presumptive mesoderm. (E) A higher magnification of the rectangle in C, which corresponds to the rectangle in B. The distribution of fluorescence for the 38 kDa protein is similar to that of actin. (F) A merged image of D and E where coincident staining is seen as yellow, revealing a partial overlap, mainly in the dorsal involuting region. In contrast, such an overlap was not seen in the ventral marginal zone (compare to right side of B and C), where the formation of F-actin was not observed (compare to G). (G) A control rat IgM antibody-injected, stage 10+ embryo stained with rhodamineâphalloidin. A distinct fluorescence representing F-actin is predominantly seen in the area beneath the plasma membrane facing the outside of the epithelial layer of not only the involuting dorsal marginal zone (bracket) but also the dorsal, vegetal cell mass. Similar patterns in fluorescence were also observed in heat-inactivated, 9D10 antibody-injected and uninjected, stage 10+ embryos with rhodamineâphalloidin. (H) A 9D10 antibody-injected, stage 10+ embryo with rhodamineâphalloidin. F-actin is rarely seen in the corresponding area of the dorsal marginal zone (bracket) and of the dorsal cell mass of the embryo. Instead, strong fluorescence is detectable in the area beneath the plasma membrane facing the outside of the ventralblastopore lip cells. AP, animal pole; VP, vegetal pole; asterisk, the position of the blastopore. Bars, 200 μm.
Figure 5. Microinjection experiments with antibodies. (A) 9D10 antibody-injected, wild-type embryos normally developed to the early stage in gastrulation shown here, in nearly the same time schedule as the control antibody-injected embryos. However, the involution of marginal zone cells of the 9D10 antibody-injected embryos could not proceed further, so that they arrested exclusively at this stage. In contrast, the control antibody-injected embryos completed gastrulation and developed further. Bar, 500 μm. (B) Phase contrast micrograph of a polyester wax section, parallel to the animalâvegetal axis at the blastopore (asterisk) region, of the 9D10 antibody-injected embryo at the early gastrula stage (stage 10). The animal pole is at top and the vegetal pole bottom. Bl, blastocoele. Bar, 250 μm. (C) Fluorescent micrograph of the same section as B stained with fluorescein isothiocyanate (FITC)-labeled goat antirat IgM antibody. The fluorescence representing the distribution of the injected 9D10 antibody is restricted to the cortical cytoplasm of the animal cap cells facing the outside and of the dorsal lip cells of the embryo. (D) Phase contrast micrograph of a polyester wax section of the control rat IgM antibody-injected embryo at stage 10. The animal pole is at top and the vegetal pole bottom. Bl, blastocoele. Asterisk, the position of the blastopore. Bar, 250 μm. (E) Fluorescent micrograph of the same section as D stained with the FITC-labeled antirat IgM antibody. The fluorescence is distributed almost throughout the embryo, implying no specific localization of the injected antibody. Bar, 500 μm.
eef1d (eukaryotic translation elongation factor 1 delta (guanine nucleotide exchange protein)) gene expression in sections of Xenopus laevis embryo, assayed via immunohistochemisty, NF stage 8, lateral view, animal up.