|
Figure 1. . Establishment of assay conditions for evaluating the effect of growth factors on the expansion of hematopoietic cells. (A) The optimal excision timing of animal caps to show the effects of mouse stem cell factor (mSCF) was examined. Animal caps were excised at the stages indicated and the explants were cultured with human activin A (0.5 ng/mL), human bone morphogenetic protein (hBMP)-4 (10 ng/mL), and with or without mSCF (30 ng/mL). Blood expansion was analyzed by immunostaining using the L5.41 antibody. (B) The optimal concentration of hBMP-4 to show the effects of mSCF was examined. Animal caps were excised at stage 8.5 and the explants were cultured as described in (A). Blood expansion was analyzed by o-dianisidine staining.
|
|
Figure 2. . Schematic diagram of the blood induction system from animal caps to investigate the role of growth factors in hematopoiesis. (A) The assay system for protein factors: animal caps were excised at the blastula stage and incubated with human activin A (0.5 ng/mL), human bone morphogenetic protein (hBMP)-4 (10 ng/mL), and sample proteins at 20°C for 4 days. The explants were analyzed by: (i) immunostaining: complete serial sections of the explants were stained using the L5.41 anti-larval globin monoclonal antibody or XL-2 anti-Xenopus leukocyte monoclonal antibody, and then brown stained cells in all sections were counted under a microscope; (ii) o-dianisidine staining: the explants were dispersed by collagenase and the cell suspension was stained with o-dianisidine, which binds to hemoglobin within erythrocytes. The cell suspension was applied onto glass slides and orange–brown cells were counted. (B) The assay system by mRNA injection: sample mRNA was injected into the animal pole of each blastomere at the 2-cell stage. Animal caps were excised at the blastula stage and processed as described in (A).
|
|
Figure 3. . Thrombopoietin (TPO) promotes expansion of both erythrocytes and leukocytes in the explants. (A,B) Erythrocyte expansion by tpo mRNA injection: embryos were injected with (A) rat tpo mRNA (250 pg) or (B) âmockâ mRNA (250 pg) at the 2-cell stage, and animal caps were excised at stage 8.5. The explants were analyzed by o-dianisidine staining. Smears of the cell suspension from the explants are shown. An enlargement of the boxed region in (A) is shown in the corner. (C,D) Leukocyte expansion by tpo mRNA injection: embryos were injected with (C) rat tpo mRNA (20 pg) or (D) âmockâ mRNA (20 pg) at the 2-cell stage and processed as described in (A). The explants were analyzed by immunostaining using the XL-2 antibody. The sections of the explants are shown. Bar, 50 μm. (E) The number of o-dianisidine-positive cells that appeared in the explants is shown. The experiments were repeated at least five times, and one of the typical results is shown. (F) The number of XL-2-positive cells that appeared in the explants is shown. The experiments were repeated at least three times, and one of the typical results is shown.
|
|
Figure 4. . Anti-c-Mpl antibody inhibits the expansion of hematopoietic cells in explants promoted by thrombopoietin (TPO). (A) The concentration of recombinant rat (rr)TPO for the expansion of hematopoietic cells was examined. The explants were cultured with the indicated doses of rrTPO in the presence of 0.5 ng/mL human activin A and 10 ng/mL human bone morphogenetic protein (hBMP)-4. The explants were analyzed by o-dianisidine staining. (B) Antihuman c-Mpl polyclonal antibody (α-Mpl PoAb), which neutralizes the activity of TPO in mammals, inhibited the erythrocyte expansion promoted by rrTPO. The explants were cultured with or without rrTPO (50 ng/mL) and α-Mpl PoAb in the presence of human activin A and hBMP-4, and they were analyzed by o-dianisidine staining. (C) α-Mpl PoAb inhibited the leukocyte expansion promoted by rrTPO. The explants were cultured as described in (B) and were analyzed by immunostaining using XL-2 antibody. These experiments were repeated at least four times (A) or three times (B,C) and one of the typical results is shown. IgG, rabbit IgG (control).
|
|
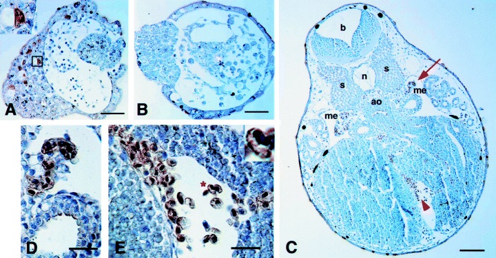
Figure 5. . Anti-c-Mpl antibody recognizes blood-like cells of Xenopus. Immunostaining using antihuman c-Mpl polyclonal antibody (α-Mpl PoAb) was done on explants and stage 43 embryos. Brown color indicates immunostaining. (A) Section of the explant treated with recombinant rat thrombopoietin (rrTPO) in the presence of human activin A and human bone morphogenetic protein (hBMP)-4, cultured for 4 days. An enlargement of the boxed region is shown in the corner. The c-Mpl-positive cells first appeared on day three and increased in number on day four. Bar, 50 μm. (B) Section of the explant treated without rrTPO in the presence of human activin A and hBMP-4 and cultured for 4 days. Bar, 50 μm. (C) A transverse section of a stage 43 embryo. Abbreviations: ao, aorta; b, brain; me, mesonephros; n, notochord; s, somite. Bar, 100 μm. (D) An enlargement of the region indicated with a red arrow in (C). Bar, 25 μm. (E) An enlargement of the region indicated with a red arrowhead in (C). An enlargement of the cell marked with an asterisk is shown in the corner. Bar, 25 μm.
|
|
Figure 6. . Thrombopoietin (TPO) augments early hematopoiesis in Xenopus embryos. The embryos injected with tpo mRNA into the ventral marginal zone at the 4-cell stage were developed to stage 35/36 and were analyzed as follows. (A,B) Whole-mount o-dianisidine staining of the embryos processed as described in Materials and Methods. Brown o-dianisidine-positive cells indicate erythrocytes. (CâH) The sections of embryos labeled with an asterisk in (A) and (B) were analyzed by immunostaining using the L5.41 antibody. (C,D) Transverse sections of the region anterior to the heart indicated by an arrow in (A). Bar, 100 μm. (E,F) Transverse sections of ventral blood island (VBI). Bar, 25 μm. (G,H) Transverse sections of the dorsalâlateral plate (DLP) region. Bar, 50 μm. (I,J) The sections of embryos labeled with an asterisk in (A) and (B) analyzed by immunostaining using the XL-2 antibody. (I,J) Transverse sections of the DLP region. Bar, 50 μm. (A,C,E,G,I) Rat tpo mRNA (100 pg) injected embryo. (B,D,F,H,J) An uninjected embryo. Arrow and arrowheads indicate immunostaining on hematopoietic cells. Abbreviations: ao, aorta; b, brain; gl, glomus; me, mesonephros; ph, pharynx; n, notochord; s, somite.
|
|
Figure 7. . Ectopic expression of thrombopoietin (TPO) promotes the heterotopic erythropoiesis in the head region of Xenopus embryos. The embryos injected with tpo mRNA into the ventral marginal zone at the 4-cell stage were developed to stage 35/36 and analyzed by immunostaining using the L5.41 antibody. Brown cells indicate immunostaining on erythrocytes. The transverse sections of uninjected embryos are shown in (AâC) and rat tpo mRNA (100 pg) injected embryos in (DâF). Bar, 250 μm. (GâI) shows enlargements of (DâF). Bar, 50 μm. Abbreviations: b, brain; n, notochord; ph, pharynx; s, somite.
|
|
Figure 8. . Temporal expression patterns of hematopoietic transcription factors and markers in the explants. Expression patterns of hematopoietic transcription factors and markers were examined by reverse transcription (RT)âpolymerase chain reaction (PCR). (A) For the condition of the expansion of hematopoietic cells, embryos were injected with rat tpo mRNA (20 pg) at the 2-cell stage and the explants were cultured in the presence of 0.5 ng/mL human activin A and 10 ng/mL human bone morphogenetic protein (hBMP)-4. (B,C) Embryos were injected with âmockâ mRNA (20 pg) and the explants were cultured with 0.5 ng/mL human activin A and 10 ng/mL hBMP-4 for the condition of basal induction of hematopoietic cells (B) or cultured without growth factors for no induction of hematopoietic cells (C). Time course after the excision of animal caps is indicated above the gels. The genes indicated on the left side of the gel: x-gata-2, x-scl, and x-aml-1 are the early regulatory transcription factors of hematopoiesis; x-c-myb for multi-lineage progenitors; x-gata-1 for erythroid progenitors; and x-ikaros for lymphoid progenitors. The markers of mature hematopoietic cells: x-globin genes, αT3 (embryonic type), αT5 (larval type), and αA (adult type) for erythrocytes; x-cd-45 for common leukocytes. The markers of endothelial lineages: x-fli-1 for hemangioblast; x-flk-1 for vascular endothelial cells. x-odc is a positive control for RT-PCR. WE, whole embryo at stage 35/36; RT(â), the reactions that were done without reverse transcriptase.
|