|
Fig. 1. Regeneration of the
olfactory bulb required the
reconnection of the olfactory nerves
to it. The anterior half of the
telencephalon was removed from
stage 53 larvae, and the regenerating
telencephalon was observed
macroscopically at 20 days (A–
C, dorsal view of the anterior head
of an albino larva), 100 days (D–
F, dorsal view of the brain) and
8 months (G–I, dorsal view of the
brain) after removal. At 20 days,
the two olfactory nerves had
reconnected bilaterally to the
regenerating hemispheres (A,
red arrowheads) or unilaterally
(B, red arrowheads) in many
larvae. In some larvae, however,
no connections were observed
(C). Tadpoles were separately
reared according to the presence
or absence of reconnection of
the olfactory nerves to the brain,
and observation continued. After
100 days, a swelling was observed
only in the hemisphere reconnected
by the olfactory nerve (D,E, white
arrowhead). After 8 months, the olfactory bulb was observed to regenerate only in the reconnected hemisphere (G,H, above the
dotted line). Individuals without reconnection regenerated only the cerebrum but not the olfactory bulb (F,I). Red arrowheads
indicate the reconnection between the olfactory nerves and the regenerating telencephalon. White arrowheads indicate the regenerating
olfactory bulb. The area above the dotted line is the regenerated olfactory bulb. Bars, 1 mm.
|
|
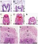
Fig. 2. Layer structure in the
regenerated olfactory bulb. The
anterior half of the telencephalon
(mainly the olfactory bulb) was
removed from stage 53 larvae,
and the regenerating telencephalon
was then observed histologically
on horizontal sections. The intact
telencephalon is composed of
an olfactory bulb and a cerebrum
in both larvae (A) and froglets
(C). Just after the operation, the
lateral ventricles were open at the
anterior end, and no olfactory
bulb was left (B). At 8 months
after the operation, with the larvae
now frogs, the ventricles were
closed and the olfactory bulb
regenerated in the individuals in
which the telencephalon was
reconnected by the olfactory
nerves (D, the section of the
brain in Fig. 1G). As for the
animals in which the telencephalon
had not been reconnected
by the olfactory nerves, the
ventricles were closed but the
olfactory bulb did not regenerate
(E, the brain in Fig. 1I). The fourlayer
structure (olfactory nerve
layer, glomerular layer, mitral cell
layer, and granule cell layer) was
distinctly observed in the intact
olfactory bulb (F). The same layer
structure was also seen in the
regenerated telencephalon that
had been reconnected by the
olfactory nerve (G). O, olfactory
bulb; C, cerebrum; LV, lateral
ventricle; ON, olfactory nerve; OL,olfactory nerve layer; GL, glomerular layer; MC, mitral cell layer; GR, granule cell layer. Bars, 200 μm
(A,B,F,G); 500 μm (C–E).
|
|
Fig. 3. Effect of removal of the
olfactory nerves on regeneration
of the olfactory bulb. Olfactory
nerves and the anterior half of the
telencephalon were removed
simultaneously from stage 53 larvae,
then observed macroscopically
for 20 days after the operation.
In tadpoles with only partially
removed telencephalons, the
olfactory nerves were observed to
reenter the skull, although it was
hard to observe whether olfactory nerves reconnected to the regenerating telencephalon (A, red arrowheads). In larvae with unilateral
removal of the left olfactory nerve and bilateral removal of the anterior half of the telencephalon, the remaining olfactory nerve
reentered the skull (B, red arrowhead). In individuals with bilateral removal of the olfactory nerves and the anterior half of the
telencephalon, although the olfactory nerves slightly regenerated from the olfactory organ, they did not reach the skull (C, white
arrowheads). Red arrowheads indicate the points where the olfactory nerves entered the skull. White arrowheads indicate the
regenerating olfactory nerves. Arrows indicate the anterior end of the regenerating telencephalon. Bar, 2 mm.
|
|
Fig. 4. Neurons and glial cells
in the regenerated telencephalon.
The distribution of neurons and
glial (ependymal) cells was
observed by immunohistochemistry
in intact froglets (A,B,E,F,J)
and froglets with regenerated
telencephalon 3 months after the
operation during the larval stage
(C,D,G,H,K). Positive signals to
anti-NeuN antibody indicate
neurons (especially nuclei) (AâE,G);
positive signals to anti-β-tubulin
I + II antibody indicate neurons
(especially axons) (F, H); positive
signals to anti-GFAP antibody
indicate radial projections of
ependymal cells (J,K). Mitral/
tufted cells had large cell bodies
and the NeuN-positive process in
regenerated telencephalon (C),
as was observed in intact froglets
(A). In the granule cell layer, small
dense cell bodies were crowded
in both the regenerated (D) and intact froglets (B). Pyramidal cells had large nuclei and extended the β-tubulin-positive process
peripherally in both regenerated (G,H) and intact froglets (E,F). Ependymal cells had radial projections in both the regenerated (K)
and intact telencephalon (J). Ependymal layers in opposition to each other were observed touching each other because the lateral
ventricle was lost by artifact (J,K). Schematic diagrams of the distribution were drawn for neurons (I) and ependymal cells (L). Bars, 20 μm.
|
|
Fig. 5. Mitral cells extended their
axons through the lateral olfactory
tract (LOT) in the regenerated
telencephalon. The LOT was
observed by DiI tracing in intact
froglets (A,D,G) and froglets
with regenerated telencephalon
3 months after the operation
performed during the larval stage
(B,E,H). The LOT in the cerebrum
were anterogradely labeled red
by the application of DiI to the
mitral cell layer in the olfactory bulb,
in both intact and regenerated
froglets (A–C). Mitral cells (D–F,
arrowheads) and the LOT in the
anterior cerebrum (G–I) were
retrogradely labeled by the
application of DiI to the LOT in
the cerebrum, in both regenerated
and intact froglets. The neural
nuclei were counterstained with
Hoechst 33342 (blue). Bar, 20 μm.
|
|
Fig. 6. Froglets with regenerated telencephalon responded
to the olfactory stimulus. Xenopus froglets showed sweeping
action in response to the olfactory stimulus (food odor) (A). The
sweeping action is a flicking of the forelimbs to the mouth
several times in succession (B). All intact froglets made this
action within 60 s (C, blue line), but froglets with their olfactory
nerves cut did not respond to the stimulus at all (C, green line).
While half of the froglets with regenerated telencephalon
3 months after removal showed the same action as the intact
froglets, the other half took no action (C, red line).
|