Click here to close
Hello! We notice that you are using Internet Explorer, which is not supported by Xenbase and may cause the site to display incorrectly.
We suggest using a current version of Chrome,
FireFox, or Safari.
???displayArticle.abstract???
The ATP(CTP):tRNA nucleotidyltransferase (CCA-adding enzyme) adds CCA to the 3(') end of immature or damaged tRNAs. It is reported on here the cloning, expression analysis, and functional characterization of the Xenopus CCA-adding enzyme, XCCA (GenBank Accession #AF466151). It is demonstrated that XCCA adds cytosine and adenosine residues to the ends of prepared tRNA and is therefore a functional CCA-adding enzyme. XCCA is encoded by a rare mRNA present at less than 0.001% of the cellular mRNA in all adult tissues examined. The mRNA is expressed as two transcripts of 1.5 and 2.3kb, generated through differential utilization of two transcription start sites and two 3' cleavage and polyadenylation sites. Utilization of the most 5' transcription initiation site produces an mRNA encoding a putative mitochondrial import sequence. It is anticipated that the Xenopus oocyte will be an excellent system for analyzing the regulation of XCCA expression and the intracellular targeting of the XCCA enzyme.
Fig. 2. XCCA functions as a CCA-adding enzyme in vitro. (A) Recombinant CCA-adding enzymes used in activity assays analyzed by SDSâPAGE and Coomassie blue staining. Lane 1: molecular weight markers (MWM) sizes indicated to the left. Lane 2: 1.7 μg purified XCCA. Lane 3: 18 μg total protein extract from BL21 cells over-expressing the E. coli CCA-adding enzyme (ECCA). Lane 4: 20 μg total protein extract from TOP10 cells not expressing either protein (Blank). (B) Denaturing acrylamide gel analysis of products obtained in CCA-adding assays using yeast tRNA (lanes 1â6) or chimp tyrosine tRNA (lanes 7 and 8) as the acceptor and [α-32P]ATP or [α-32P]CTP with the following: protein extract from cells lacking an expression plasmid (40 ng; Blank, lanes 1 and 4), purified XCCA enzyme (25 ng; lanes 2, 5, 7, and 8), and protein extract from cells over-expressing the E. coli CCA-adding enzyme (25 ng; ECCA, lanes 3 and 6).
Fig. 3. Distribution of XCCA mRNA in adult Xenopus tissues and during oocyte development. (A) Ten μg total RNA isolated from the indicated tissues was analyzed by RNA blotting and hybridization with an [α-32P]dCTP labeled XCCA coding region specific probe. The size of each mRNA, in kilobases (kb), is on the left. An ethidium bromide stained picture of the gel is presented, showing the ribosomal RNAs (rRNA). (B) Ten μg of total RNA isolated from oocytes at each of the indicated stages was analyzed as in (A). The membrane was rehybridized with a radiolabeled β-actin specific probe as a control (middle panel).
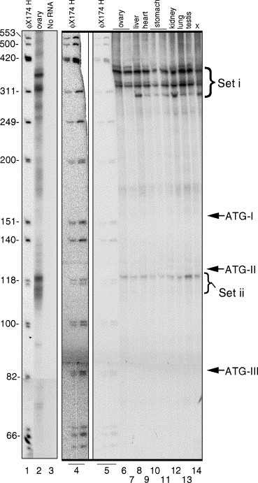
Fig. 4. XCCA transcripts are generated from the use of two sets of 5′ transcription start sites. Primer extension analysis was performed with 2 μg total RNA from the indicated tissues using the primer CCA-BK. After primer annealing, reverse transcription was performed in the presence of [α-32P]dCTP. No RNA (lane 3) indicates that RNA was not added to the reaction. The products were analyzed by electrophoresis in a 6% acrylamide, 8 M UREA sequencing gel and visualized by autoradiography. Set i and Set ii indicate the two prominent sets of 5′ transcription start sites. The positions of ATG-I, ATG-II, and ATG-III were determined by analysis of similar samples next to a sequencing reaction performed with the primer CCA-BK (not shown). ØX174 DNA restricted with HinFI (ØX174 H) was end-labeled with [γ-32P]ATP and used as a size marker. Lane set 4 is a darker exposure of lane set 5. The images were digitally manipulated in two ways: because the gels were 45 cm long, two pieces of 20×25 cm film were used to obtain the image. These films were then scanned and the image spliced together, with the junction point near the 82 nt HinFI marker. Lane 1 was several lanes distant from lanes 2 and 3, and was therefore moved adjacent to those lanes, and the contrast was increased. These results have been observed four times.
Fig. 5. The 1.5 kb XCCA mRNA is generated by utilization of cleavage and polyadenylation hexanucleotide I. (A) Schematic diagram of the XCCA cDNA. The regions amplified to produce the coding region and 3′ UTR-specific hybridization probes are indicated. The polyadenylation hexanucleotide sequences, I–III, are indicated. (B) RNA blot analysis of ovary and stage I and II oocyte total RNA with a radiolabeled DNA probe specific for the XCCA coding region (CR; lanes 1–3) or the 3′ terminal half of the 3′ UTR (3′ UTR, lanes 4–6). The positions of the 1.5 and 2.3 kb XCCA mRNAs are indicated. The 3′ UTR probe image was intentionally over-exposed to demonstrate the lack of detection of the 1.5 kb mRNA. Lanes 1–3 are a duplicate of the image shown in Fig. 4, included here for the purposes of comparison.