|
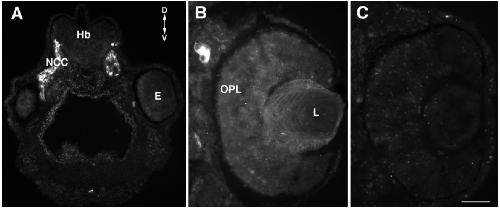
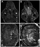
Fig. 1. Voltage-dependent potassium 1.1 (Kv1.1)âlike protein is
expressed at low levels in the Xenopus retina. Immunolabelling of
transverse sections through the eye and brain of a stage 40 Xenopus
embryo was done with the anti-mouse Kv1.1 antibody (A,B) and the
Kv1.1 antibody preincubated with a control Kv1.1 peptide antigen
(C). Migrating neural crest cells are immunopositive (A), but only
weak Kv1.1-like immunoreactivity is observed in the retina (B). D,
dorsal; E, eye; Hb, hindbrain; NCC, neural crest cells; L, lens; OPL,
outer plexiform layer; V, ventral. Scale bar 200 m for A and 100
m for B and C.
|
|
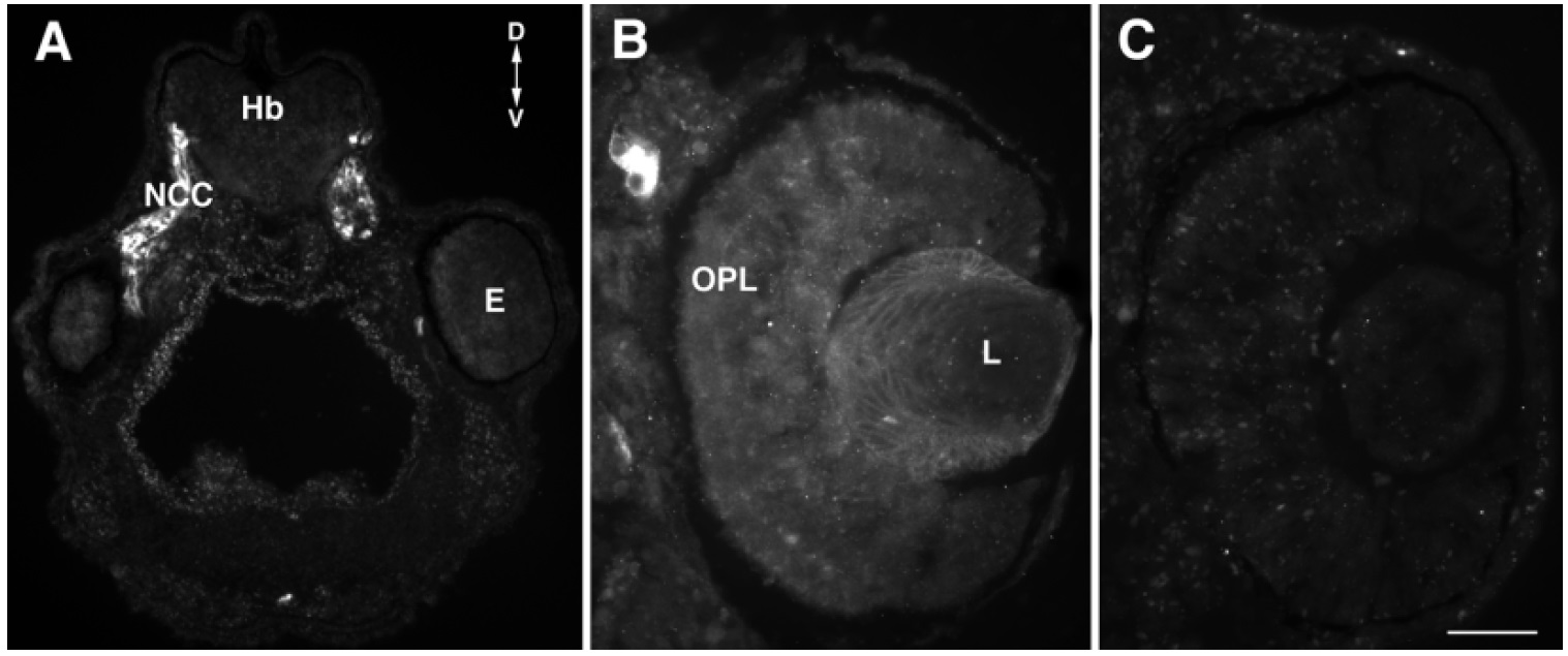
Fig. 2. Voltage-dependent potassium 1.3 (Kv1.3)âlike subunits are
expressed in the Xenopus retina. Transverse sections through the
Xenopus retina at different developmental stages were immunostained
with a rabbit antibody against the C-terminus of the human
Kv1.3 subunit. A: At stage 32, cells in the neuroepithelium of the
retina and brain are immunopositive. B: At stage 37/38, retinal ganglion
cells (RGCs) and their processes along the vitreal surface are
labelled, as are the inner and outer plexiform layers (IPL and OPL)
and the ciliary marginal zone (CMZ). C,E: By stage 40, the optic nerve
head and optic nerve are brightly labelled. D: Almost no labelling is
observed when the Kv1.3 subunit antibody is preincubated with a
control Kv1.3 subunit peptide antigen. Similar low power sections are
shown in C and D. Br, brain; D, dorsal; L, lens; NP, neuropil; on, optic
nerve; onh, optic nerve head; PE, pigmented epithelium; RGCL, retinal
ganglion cell layer; V, ventral; vs, vitreal surface. Scale bar 50
m for A, B, and E and 100 m for C and D.
|
|
Fig. 3. Voltage-dependent potassium (Kv) subunit-like immunoreactivity
in developing retinal ganglion cells (RGCs) and their axons.
A: Double labelling of a stage 33/34 retina with anti-Kv1.3 (green) and
mouse anti-bromodeoxyuridine (BrdU; red) antibodies shows that in
the central retina Kv1.3-like immunopositive cells (arrows) are not
BrdU positive. B: Double labelling (yellow) with antibodies against
the rat Kv4.2 subunit and islet-1 at stage 33/34. The islet-1 antibody
stains all RGCs (red), but the Kv4.2 antibody (green) labels only a
subset of these islet-1âpositive RGCs. C: Double labelling (yellow) of
a stage 41 retina with a Muller glial marker (3CB2) and the anti-
Kv4.2 antibody shows that radial cell processes in the central third of
the retina are immunopositive (arrows) for both markers, whereas
processes in the peripheral retina are immunopositive for the Kv4.2-
like subunit only (arrowheads). By this stage the optic nerve head
(onh), but not RGC somata, are Kv4.2-like immunopositive.
D: Merged image of E and F shows colocalization of the Kv3.4 subunit
and actin filaments in an RGC growth cone. E: Actin labelled with
rhodamine phalloidin. F: The Kv3.4 antibody labels the axon and
growth cone. IPL, inner plexiform layer; L, lens; OPL, outer plexiform
layer; RGCL, RGC layer. Scale bar 100 m for AâC and 10 m for
DâF.
|
|
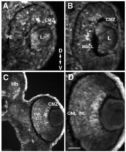
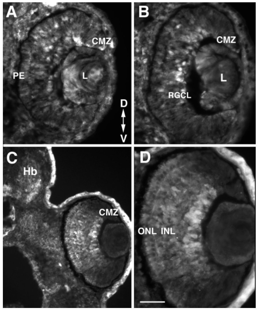
Fig. 4. Voltage-dependent potassium 1.5 (Kv1.5)âlike subunits are
expressed in the Xenopus retina. A: The stage 33/34 retina shows
immunolabelling of retinal somata and the ciliary marginal zone
(CMZ) by the Kv1.5 subunit antibody. B: In the stage 37/38 retina, the
antibody immunolabels the CMZ and cells in the central retina, most
notably cells in the retinal ganglion cell layer (RGCL). C,D: Fluorescent
micrographs of a stage 40 retina at low and high power. C:
Immunoreactivity is observed in somata in all three layers of the
central region of the retina. D: RGCs are particularly well labeled, and
immunostaining is no longer observed in the proliferating CMZ and is
reduced in the lens (L). D, dorsal; Hb, hindbrain; INL, inner nuclear
layer; ONL, outer nuclear layer; PE, pigmented epithelium; V, ventral.
Scale bar 50 m for A, B, and D and 100 m for C.
|
|
Fig. 5. Voltage-dependent potassium 3.4 (Kv3.4)âlike subunits are
expressed in the Xenopus retina. A: Membrane-associated labelling
with an anti-Kv3.4 antibody of all retinal and lens (L) cells in a stage
32 Xenopus retina. Arrow points to retinal ganglion cell (RGC) axon
labelling at the vitreal surface. B,C: A stage 33/34 retina at low (B)
and high (C) power shows abundant labelling of RGC processes at the
vitreal surface (vs). D: In a stage 37/38 retina, membrane-associated
labelling of most retinal and lens cells is maintained, and staining in
the synaptic layers appears (IPL and OPL, inner and out plexiform
layers). E: Low magnification micrograph demonstrates Kv3.4 immunolabelling
in the brain neuropil, the optic nerve, and retina at stage
40. CMZ, ciliary marginal zone; D, dorsal; Mb, midbrain; NR, neural
retina; onh, optic nerve head; V, ventral. Scale bar 50 m for A, B,
and D, 100 m for E, and 20 M for C.
|
|
Fig. 6. Voltage-dependent potassium 4.2 (Kv4.2)âlike subunits are
expressed in the Xenopus retina. Transverse sections through Xenopus
retinas at different developmental stages. A: Kv4.2-like immunoreactivity
is first detectable at stage 24 in the retina with labelling in
the basal lamina surrounding the eye primordium (arrowhead). B: At
stage 28, additional labelling is observed in radially oriented fibres
(arrowhead), processes along the vitreal surface of the retina (arrow),
and cell bodies. C: Higher magnification picture demonstrates staining
of processes along the vitreal surface (vs) in a stage 30 retina.
Arrows point to immunolabelling of the basal lamina. D: At stage
37/38, and earlier at stage 35/36, radial cell processes and a subset of
retinal ganglion cell and cells in the outer nerve layer (ONL) are
immunopositive for the Kv4.2-like protein. D, dorsal; Di, diencephalon;
Ep, eye primordium; IPL, inner plexiform layer; L, lens; RGCL,
retinal ganglion cell layer; V, ventral. Scale bar 200 m for A and
B and 100 m for C and D.
|
|
Fig. 7. Voltage-dependent potassium (Kv) subunits are differentially
expressed in developing Xenopus retinal ganglion cell (RGC)
growth cones. Stage 24 eye primordia were grown in culture for 24â48
hours and labelled with various Kv subunit antibodies. A: Phase
micrograph of the same RGC axons shown in B. Arrowhead points to
a filopodia. B: The Kv1.3 channel antibody labels the axon abundantly,
but not the body of the growth cone, nor the filopodia or
lamellipodia. C: The Kv1.5 antibody labels the RGC axon and the
entire growth cone, including the filopodia (arrowhead). D: The Kv4.2
antibody labels the RGC axon and growth cone in a punctate manner.
Scale bar 16 m for AâD.
|
|
Fig. 8. Voltage-dependent potassium (Kv) subunit antibodies recognize
Xenopus proteins of the expected molecular weights. Western
blots of Xenopus head tissue used different rabbit polyclonal antibodies
against mammalian Kv subunits. Molecular weights are based on
standards that were run at the same time as the sample tissue. All
bands observed correspond to previously reported values for their
respective Kv channels. Lane 1: The Kv1.3 antibody detects a single
band with an approximate molecular weight of 60 kDa. Lane 2:
Anti-Kv1.5 detects a prominent band of approximately 55 kDa. Lane
3: The Kv3.4 antibody reacts with a protein of approximately 115 kDa.
Lane 4: The Kv4.2 antibody recognizes a doublet at approximately 71
kDa.
|