Click here to close
Hello! We notice that you are using Internet Explorer, which is not supported by Xenbase and may cause the site to display incorrectly.
We suggest using a current version of Chrome,
FireFox, or Safari.
Charrier JB
,
Lapointe F
,
Le Douarin NM
,
Teillet MA
.
???displayArticle.abstract???
Molecular analysis carried out on quail-chick chimeras, in which quail Hensen's node was substituted for its chick counterpart at the five- to six-somite stage (ss), showed that the floor plate of the avian neural tube is composed of distinct areas: (1) a median one (medial floor plate or MFP) derived from Hensen's node and characterised by the same gene expression pattern as the node cells (i.e. expression of HNF3beta and Shh to the exclusion of genes early expressed in the neural ectoderm such as CSox1); and (2) lateral regions that are differentiated from the neuralised ectoderm (CSox1 positive) and form the lateral floor plate (LFP). LFP cells are induced by the MFP to express HNF3beta transiently, Shh continuously and other floor-plate characteristic genes such as NETRIN: In contrast to MFP cells, LFP cells also express neural markers such as Nkx2.2 and Sim1. This pattern of avian floor-plate development presents some similarities to floor-plate formation in zebrafish embryos. We also demonstrate that, although MFP and LFP have different embryonic origins in normal development, one can experimentally obtain a complete floor plate in the neural epithelium by the inductive action of either a notochord or a MFP. The competence of the neuroepithelium to respond to notochord or MFP signals is restricted to a short time window, as only the posterior-most region of the neural plate of embryos younger than 15 ss is able to differentiate a complete floor plate comprising MFP and LFP. Moreover, MFP differentiation requires between 4 and 5 days of exposure to the inducing tissues. Under the same conditions LFP and SHH-producing cells only induce LFP-type cells. These results show that the capacity to induce a complete floor plate is restricted to node-derived tissues and probably involves a still unknown factor that is not SHH, the latter being able to induce only LFP characteristics in neuralised epithelium.
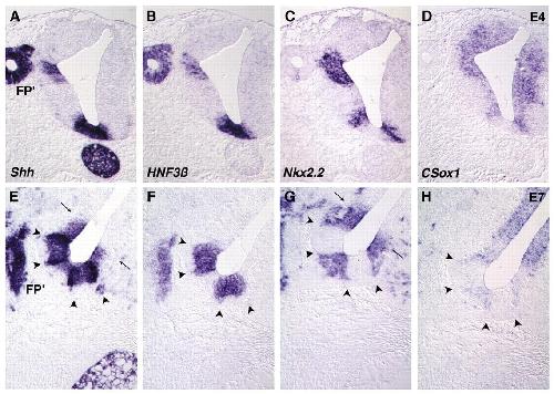
Fig. 2. (A) Whole-mount in situ hybridisation of a 15 ss chick embryo with the CSox1 probe. (B,C) Cross-sections of this embryo at the neural tube level (B,C) as indicated in A. CSox1 transcripts are present only in the neuroepithelium and not in the floor plate (FP) or the chordo-neural hinge (CNH), which is present at the posterior neuropore level at this stage. (D) Cross-section of a 15 ss quail-chick chimera (quail Hensenâs node graft as shown in E) at the same level as C, stained with the quail specific mAb QCPN. The CNH is made up of quail cells. (E) Schematic representation of quail-chick grafts of Hensenâs node (in red) and posterior neural plate (in blue) at the 5-6 ss. (F-H) Serial cross-sections of a chimera grafted with a quail Hensenâs node (red in E), 2 days after the operation (E3.5). The expression pattern of HNF3β (F) and Shh (G) genes is wider than the node-derived region revealed by the QCPN mAb (H). (I-M) Serial sections of another Hensenâs node chimera fixed 5.5 days after the graft (E7). CSox1 (I) is not expressed in the quail QCPN+ node-derived region (shown in L), which is where expression of HNF3β is now restricted (J). This region also constitutes the medial floor plate (MFP). Shh (K) is expressed both in the node-derived region and in a neural plate-derived area where Nkx2.2 transcripts (M) are also present. The latter constitutes the lateral floor plate (LFP). (N-P) Serial sections of a quail-chick chimera grafted with a posterior neural plate (blue in E), 5.5 days after the operation (E7). As in Hensenâs node chimeras at the same stage, HNF3β transcripts (N) are localised in the node-derived (host) region as seen in P, while Shh transcripts are distributed over a larger area covering both node-derived (MFP) and QCPN+ neural plate-derived tissues, including the LFP (O). Arrowheads, MFP limits; arrows, LFP lateral limit.
Fig. 4. (A-D) Graft of a 9 ss quail notochord (Noâ²) lateral to the caudal neural tube of a 10 ss chick embryo. Serial sections performed 2 days after the graft (E4) show that the neural epithelium has increased in size on the side of the graft when compared with the contralateral side. Shh (A) and HNF3β (B) are expressed ectopically in the region facing the graft. Pax6 (C) is not found in this region. (D) QCPN labelling of the graft. (E-L) Serial sections 4 (E-H) and 5 (I-L) days after the same experiment (E6 and E7) show that the molecular characteristics of a complete floor plate with its medial and lateral components are progressively acquired in the region close to the graft: wide expression of Shh (E, I) and Netrin1 (K); presence of HNF3β transcripts in a restricted medial region (F,J) where Shh (E,I) and Netrin1 (K) are upregulated and CSox1 is downregulated (L); expression of Nkx2.2 (G) and Sim1 (H) lateral to the HNF3β+ region. Arrowheads, MFP limits; arrows, LFP lateral limit.
Fig. 5. (A-D) Graft of a 15 ss quail floor plate (FPâ²) lateral to the caudal neural tube of a 14 ss chick embryo. Serial sections collected 2 days after the operation (E4) show that the size of the neural tube has expanded on the side of the graft. At this stage, Shh (A), HNF3β (B) and Nkx2.2 (C) are co-expressed in a region that is still CSox1+ (D), close to the graft. (E-H) Graft of a 12 ss quail FPâ² lateral to the caudal neural tube of a 13 ss chick embryo. Serial sections performed 5 days after the operation (E7) hybridised with Shh (E), HNF3β (F), Nkx2.2 (G) and CSox1 (H) probes show that a complete floor plate has differentiated with its medial (Shh+, HNF3β+, Nkx2.2â, CSox1â) and lateral (Shh+, HNF3βâ, Nkx2.2+, CSox1+) components. Grafted MFP plus LFP (FPâ²) generally become circular. A new MFP is induced in the host neural tube close to the MFP part of the graft (HNF3β+). Arrowheads, MFP limits; arrows, LFP lateral limit.
Fig. 6. (A-K) Graft of SHH-producing cells between the caudal neural tube and the presomitic mesoderm of 10-15 ss chick embryos. (A) Immediately after the graft, clumps of cells are aligned to the left of the enlarged neural tube (between arrowheads). (B) Whole-mount Shh in situ hybridisation 1 day after the graft, at 25 ss (E3). The grafted cells are localised lateral to the neural tube (arrowheads). (C) A cross-section of the whole mount in B shows that the cells are still grouped (arrow) and that the neuroepithelium has expanded dorsoventrally on the side of the graft. (D,E) Serial cross-sections 3 days after the graft (E5) hybridised with Shh (D) and HNF3β (E) probes. SHH-producing cells (arrow) are now dispersed and the Shh+, HNF3βâ lateral floor plate has widened. (F-K) Serial cross-sections 5 days after the graft (E7) show that the ventral and lateral neural tube is enlarged and perturbed on the side of the graft. Shh (F), HNF3β (G), Netrin1 (H), Nkx2.2 (I), Sim1 (J) and CSox1 (K) expression patterns in the region facing the SHH-producing cells are characteristic of the lateral floor plate. RP, roof plate. Arrowheads, MFP limits; arrows, LFP lateral limit.
Fig. 7. (A-L) Back grafts of quail neural tubes deprived of midline cells by APH excision into chick embryos from which a fragment of their own neural tube and notochord had been previously excised (see Fig. 1). Fixation was 5 days after the operation (E7). (A-D) Grafted over a notochord (Noâ²) the quail neural tube, labelled with the quail specific mAb QCPN (A), develops a typical floor plate with its medial and lateral components distinguished by the characteristic distribution of the Shh (B), HNF3β (C) and (D) NKx2.2 transcripts. (E-H) Grafted over a floor plate (FPâ²), the QCPN+ quail neural tube (E) weakly expresses Shh (F) and very little HNF3β (G) but strongly expresses Nkx2.2 (H) in the region close to FPâ². This pattern recalls that of the lateral floor plate (LFP) as defined in Fig. 2. (I-L) In contact with SHH-producing cells (arrow in J), the quail neural tube deprived of midline cells develops a large LFP-like structure that expresses CSox1 (I), Shh (J), little HNF3β (K) and Nkx2.2 (L). Arrowheads, MFP limits; arrows, LFP lateral limit.