Click here to close
Hello! We notice that you are using Internet Explorer, which is not supported by Xenbase and may cause the site to display incorrectly.
We suggest using a current version of Chrome,
FireFox, or Safari.
Furue M
,
Myoishi Y
,
Fukui Y
,
Ariizumi T
,
Okamoto T
,
Asashima M
.
???displayArticle.abstract???
Activin A has potent mesoderm-inducing activity in amphibian embryos and induces various mesodermal tissues in vitro from the isolated presumptive ectoderm. By using a sandwich culture method established to examine activin A activity, we previously demonstrated that activin-treated ectoderm can function as both a head and trunk-tailorganizer, depending on the concentration of activin A. By using activin A and undifferentiated presumptive ectoderm, it is theoretically possible to reproduce embryonic induction. Here, we test this hypothesis by studying the induction of cartilagetissue by using the sandwich-culture method. In the sandwiched explants, the mesenchymal cell condensation expressed type II collagen and cartilage homeoprotein-1 mRNA, and subsequently, cartilage were induced as they are in vivo. goosecoid (gsc) mRNA was prominently expressed in the cartilage in the explants. Xenopus distal-less 4 (X-dll4) mRNA was expressed throughout the explants. In Xenopus embryos, gsc expression is restricted to the cartilage of the lower jaw, and X-dll4 is widely expressed in the ventralhead region, including craniofacial cartilage. These finding suggest that the craniofacial cartilage, especially lower jaw cartilage, was induced in the activin-treated sandwiched explants. In addition, a normal developmental pattern was recapitulated at the histological and genetic level. This work also suggests that the craniofacial cartilage-induction pathway is downstream of activin A. This study presents a model system suitable for the in vitro analysis of craniofacial cartilage induction in vertebrates.
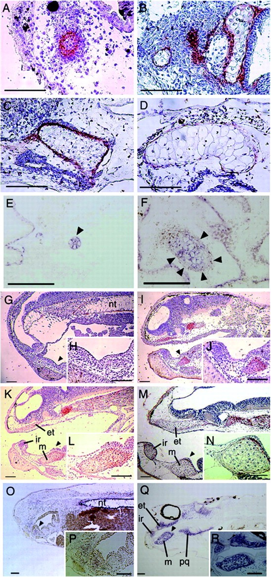
Fig 3. Type II Collagen protein and mRNA expression in the explants and general embryos. The serial sections of the histologically analyzed explants and the sections of general embryos were immunostained with anti-Col2 antibody which was visualized with AEC and counterstained with hematoxylin. The sections of explants and general embryos were hybridized with DIG-labeled Col2 RNA probe, and the localization was visualized with NBT/BCIP. (A) Immunolocalization of Col2 in the serial section of Fig. 2 B, the 4 day-cultured explant. (B) Immunolocalization of Col2 in the serial section of Fig. 2 C, 7 day-cultured explant. (C) Immunolocalization of Col2 in the serial section of Fig. 2 D, 10 day-cultured explant. (D) Immunolocalization of Col2 in the serial section of Fig. 2 F, 14 day-cultured explant. (E) Col2 mRNA expression in the section of 4 day-cultured explant. (F) Col2 mRNA expression in the section of 7 day-cultured explant. (G) Immunolocalization of Col2 in the section of Stage 35 embryo. (H) Higher magnification of the arrowhead indicating area in G. (I) Immunolocalization of Col2 in the section of Stage 40 embryo. (J) Higher magnification of the arrowhead indicating area in I. (K) Immunolocalization of Col2 in the section of Stage 42 embryo. (L) Higher magnification of the arrowhead indicating area in K. (M) Immunolocalization of Col2 in the section of Stage 44 embryo. (N) Higher magnification of the arrowhead indicating area in M. (O) Col2 mRNA expression in the section of Stage 35 embryo. (P) Higher magnification of indicating area in O. (Q) Col2 mRNA expression in the section of Stage 44 embryo. (R) Higher magnification of indicating area in Q. et, ethmoid trabecular cartilage; ir, infrarostralcartilage; m, Meckel's cartilage; nt, notochord; pq, palatoquadratecartilage. (Bars = 50 μm.)
Fig 5. Expression of Cart-1, X-dll4, and gsc mRNA in the cartilage of the explants and general embryos by in situ hybridization. The Alcian blue-stained section of a 7 day-cultured explant was double-stained with DIG-labeled Cart-1 probe and fluorescein-labeled X-dll4 RNA probes, visualized with Cyanine 3 and fluorescein, respectively. The serial section of above section was stained with DIG-labeled gsc RNA probe and visualized with Cyanine 3. The Alcian blue-stained sections of stage 41 general embryos were stained with DIG-labeled RNA probes and visualized with NBT/BCIP (purple). (A) Cart-1 mRNA (red) and X-dll4 mRNA (green) expression in a section of 7 day-cultured explant. (B) The Alcian blue staining of A. (C) gsc mRNA (red) in the serial section of A. (D) The Alcian blue-stained staining of C. (E) Cart-1 mRNA expression in embryo. (F) X-dll4 mRNA expression in embryos. (G) gsc mRNA expression in embryo. cg, cement gland; et, ethmoid trabecular cartilage; ir, infrarostralcartilage; m, Meckel's cartilage; nt, notochord; oc, oral cavity; ol, olfactory organ; pq, palatoquadratecartilage. (Bars = 10 μm.)
Ariizumi,
In Vitro Control of the Embryonic Form of Xenopus laevis by Activin A: Time and Dose-Dependent Inducing Properties of Activin-Treated Ectoderm: (activin/ectoderm/organizer/Xenopus laevis/neural induction).
1994, Pubmed,
Xenbase
Ariizumi,
In Vitro Control of the Embryonic Form of Xenopus laevis by Activin A: Time and Dose-Dependent Inducing Properties of Activin-Treated Ectoderm: (activin/ectoderm/organizer/Xenopus laevis/neural induction).
1994,
Pubmed
,
Xenbase
Ariizumi,
Dose and time-dependent mesoderm induction and outgrowth formation by activin A in Xenopus laevis.
1991,
Pubmed
,
Xenbase
Ariizumi,
Control of the embryonic body plan by activin during amphibian development.
1995,
Pubmed
,
Xenbase
Ariizumi,
Activin treated urodele ectoderm: a model experimental system for cardiogenesis.
1996,
Pubmed
Ariizumi,
Bioassays of inductive interactions in amphibian development.
2000,
Pubmed
,
Xenbase
Ariizumi,
In vitro induction systems for analyses of amphibian organogenesis and body patterning.
2001,
Pubmed
Ariizumi,
Concentration-dependent inducing activity of activin A.
1991,
Pubmed
,
Xenbase
Ariizumi,
Head and trunk-tail organizing effects of the gastrula ectoderm of Cynops pyrrhogaster after treatment with activin A.
1995,
Pubmed
Asashima,
Presence of activin (erythroid differentiation factor) in unfertilized eggs and blastulae of Xenopus laevis.
1991,
Pubmed
,
Xenbase
Asashima,
In vitro control of organogenesis and body patterning by activin during early amphibian development.
2000,
Pubmed
Asashima,
Bioassays for studying the role of the peptide growth factor activin in early amphibian embryogenesis.
2000,
Pubmed
Asashima,
Mesodermal induction in early amphibian embryos by activin A (erythroid differentiation factor).
1990,
Pubmed
,
Xenbase
Asashima,
Role of activin and other peptide growth factors in body patterning in the early amphibian embryo.
1999,
Pubmed
Bassez,
Post-transcriptional regulation of ornithine decarboxylase in Xenopus laevis oocytes.
1990,
Pubmed
,
Xenbase
Bieker,
Distribution of type II collagen mRNA in Xenopus embryos visualized by whole-mount in situ hybridization.
1992,
Pubmed
,
Xenbase
Blum,
Gastrulation in the mouse: the role of the homeobox gene goosecoid.
1992,
Pubmed
,
Xenbase
Blumberg,
Organizer-specific homeobox genes in Xenopus laevis embryos.
1991,
Pubmed
,
Xenbase
Cho,
Molecular nature of Spemann's organizer: the role of the Xenopus homeobox gene goosecoid.
1991,
Pubmed
,
Xenbase
Chomczynski,
Single-step method of RNA isolation by acid guanidinium thiocyanate-phenol-chloroform extraction.
1987,
Pubmed
Ferguson,
Temporospatial cell interactions regulating mandibular and maxillary arch patterning.
2000,
Pubmed
Furue,
Activin A induces expression of rat Sel-1l mRNA, a negative regulator of notch signaling, in rat salivary gland-derived epithelial cells.
2001,
Pubmed
Furue,
Effects of hepatocyte growth factor (HGF) and activin A on the morphogenesis of rat submandibular gland-derived epithelial cells in serum-free collagen gel culture.
1999,
Pubmed
Hall,
Divide, accumulate, differentiate: cell condensation in skeletal development revisited.
1995,
Pubmed
Loty,
Association of enhanced expression of gap junctions with in vitro chondrogenic differentiation of rat nasal septal cartilage-released cells following their dedifferentiation and redifferentiation.
2000,
Pubmed
Matzuk,
Functional analysis of activins during mammalian development.
1995,
Pubmed
,
Xenbase
Matzuk,
Different phenotypes for mice deficient in either activins or activin receptor type II.
1995,
Pubmed
Nah,
Type IIA procollagen: expression in developing chicken limb cartilage and human osteoarthritic articular cartilage.
2001,
Pubmed
Newman,
Xbap, a vertebrate gene related to bagpipe, is expressed in developing craniofacial structures and in anterior gut muscle.
1997,
Pubmed
,
Xenbase
Pacifici,
Hypertrophic chondrocytes. The terminal stage of differentiation in the chondrogenic cell lineage?
1990,
Pubmed
Papalopulu,
Xenopus Distal-less related homeobox genes are expressed in the developing forebrain and are induced by planar signals.
1993,
Pubmed
,
Xenbase
Qiu,
Null mutation of Dlx-2 results in abnormal morphogenesis of proximal first and second branchial arch derivatives and abnormal differentiation in the forebrain.
1995,
Pubmed
Qu,
Physical and genetic interactions between Alx4 and Cart1.
1999,
Pubmed
Rivera-Pérez,
Goosecoid is not an essential component of the mouse gastrula organizer but is required for craniofacial and rib development.
1995,
Pubmed
,
Xenbase
Seufert,
Type II collagen distribution during cranial development in Xenopus laevis.
1994,
Pubmed
,
Xenbase
Shigetani,
Ectodermally derived FGF8 defines the maxillomandibular region in the early chick embryo: epithelial-mesenchymal interactions in the specification of the craniofacial ectomesenchyme.
2000,
Pubmed
Stock,
The evolution of the vertebrate Dlx gene family.
1996,
Pubmed
Su,
Expression of two nonallelic type II procollagen genes during Xenopus laevis embryogenesis is characterized by stage-specific production of alternatively spliced transcripts.
1991,
Pubmed
,
Xenbase
Zhao,
Cartilage homeoprotein 1, a homeoprotein selectively expressed in chondrocytes.
1993,
Pubmed
Zhao,
The gene for the homeodomain-containing protein Cart-1 is expressed in cells that have a chondrogenic potential during embryonic development.
1994,
Pubmed