|
Fig. 1. Knockdown of LSM14B attenuates Xenopus oocyte maturation and Musashi-dependent polyadenylation and translation. After microinjection of the indicated antisense oligonucleotides and incubation overnight, oocytes were stimulated with progesterone. When 50% (A) or 100% (B) of Scrambled control antisense-injected oocytes had matured (germinal vesicle breakdown, GVBD), the degree of maturation in the knockdown groups was assessed. The statistical significance over repeated independent experiments is indicated: *, p < 0.05; **, p < 0.01; ***, P, 0.001; and ns, not significant. (C) Polyadenylation analysis of endogenous Mos and Cyclin B5 mRNA polyadenylation. Oocytes were injected with the indicated knockdown antisense oligonucleotides and incubated overnight. A portion of oocytes from each condition were harvested prior to progesterone stimulation (immature, I). The remaining cohorts were stimulated with progesterone and samples were collected when Scrambled control antisense-injected oocytes reached 50% maturation (GVBD50) and segregated into those which had not (−) or had ( +) completed GVBD (see Stage). No maturation was seen in MSI1/2- or LSM14B-knockdown oocytes. In these experiments, an increase in poly[A] tail length is indicated by a larger heterogeneously sized PCR product. (D) Oocytes were injected and harvested as described for (C) but the samples were lysed and analyzed by western blot for Mos protein (WB: Mos) and tubulin (WB: Tubulin) as an internal loading control.
|
|
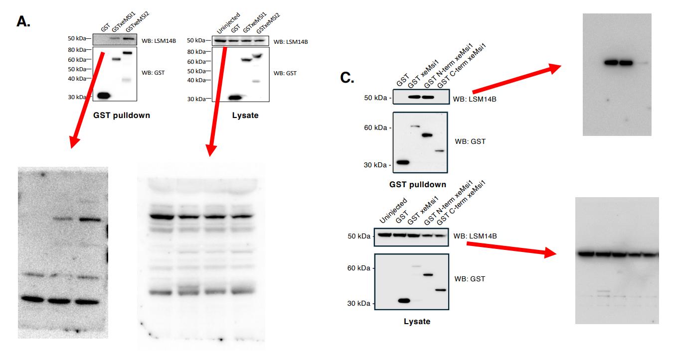
Fig. 2. LSM14B interacts with Musashi in an RNA-independent manner. (A) Oocytes were injected with RNA encoding either the GST moiety alone (GST), GST tagged Xenopus Musashi1 (GSTXeMSI1) or GST tagged Xenopus Musashi2 (GSTXeMSI2) and incubated overnight. The next morning, the oocytes were lysed and either analyzed by western blot for expression of the GST tagged proteins and endogenous LSM14B (right panel, Lysate) or subjected to glutathione Sepharose pulldown and analyzed by western blot for co-association of the GST-tagged protein with endogenous LSM14B protein and recovery of GST tagged proteins (GST pulldown). (B) Schematic showing the Xenopus and murine Musashi1 constructs employed for LSM14B interaction mapping experiments (panels C-E). (C) Oocytes were injected with RNA encoding the GST moiety alone, GSTXeMSI1 or the N- or C-terminal regions of XeMSI1 and the interaction with endogenous LSM14B assessed after glutathione pulldown as described in (A). (D) Oocytes were injected with RNA encoding the GST moiety alone, GST fused to the N-terminal region of XeMSI1 (GST N-term XeMSI1) or GST fused to the N-terminal RRM1 or RRM2 domains and the interaction with endogenous LSM14B assessed after glutathione pulldown. (E) Oocytes were injected with RNA encoding the GST moiety alone, GST fused to the murine MSI1 (GST mMSI1) or the murine C-terminal domain (GST mMSI1-C) and the interaction with endogenous LSM14B was assessed after glutathione pulldown. Arrowhead indicates full length GST-mMSI1; Asterisk indicates a degradation product of GST-mMSI1. For all pulldown experiments, the expression of the GST fusion proteins and levels of endogenous LSM14B were separately assessed in each experiment (see Lysate panels). For all pulldown experiments, the beads were washed in buffer containing RNase1 to eliminate RNA-dependent co-associations. Representative experiments are shown.
|
|
Fig. 3. The C-terminal domain of LSM14B interacts with Musashi1. (A) A schematic representation of Xenopus laevis full length, N-terminal, and C-terminal LSM14B proteins with the LSM, FDF, FFD, and TFG domains indicated. Oocytes were co-injected with RNA encoding GFP-tagged Xenopus MSI1 and either the GST moiety alone (GST), GST tagged Xenopus LSM14B full length (GSTXeLSM14B), GST tagged Xenopus N-terminal LSM14B (GSTXeLSM14B-N), or GST tagged Xenopus C-terminal LSM14B (GSTXeLSM14B-C) and incubated overnight. The next morning, the oocytes were lysed, subjected to glutathione Sepharose pulldown, and analyzed by western blot for recovery of the GST tagged proteins (B). For all pulldown experiments, the beads were washed in buffer containing RNase1 to eliminate RNA-dependent co-associations. (C) The blot from (B) was re-probed for GFP to visualize any co-association of the GST tagged LSM14B proteins with GFP tagged Xenopus Msi1 (Arrowhed). Bands marked with an asterisk persist from the prior GST western. (D) Oocyte lysates were also analyzed by western blot for expression of the GFP tagged MS1 protein. (E) Oocyte lysates were also analyzed by western blot for GAPDH as a loading control. For the lysate westerns, an uninjected oocyte lysate was included. Representative experiments are shown.
|
|
Fig. 4. LSM14B is expressed in the murine pituitary. (A) Protein lysates were prepared from Immature (lane 1) or mature (lane 2) Xenopus oocytes, murine NIH3T3 cells (lane 3) or mouse pituitary (lane 4) and analyzed by western blotting for LSM14B (WB:LSM14B) or GAPDH (WB:GAPDH) as an internal loading control. (B) Reanalysis of published scRNA-seq datasets reveals co-expression of Musashi1 (MSI1), Musashi2 (MSI2), Prop1 (PROP1) and Lsm14b (LSM14B) in Sox2 stem cells and across all pituitary endocrine cell lineages in the male mouse. (C) Differential expressed gene analysis of the same data shown in (B) reveals statistically significant enrichment of Lsm14b, Msi1, Msi2, Prop1 together in the Sox2 cell cluster. (D) Differential expressed gene analysis of additional male and female mouse and human pediatric pituitaries reveals statistically significant enrichment of Lsm14B and Musashi1 within the same cell cluster.
|
|
Fig. 5. LSM14B is necessary for Musashi-dependent translational activation exerted through the murine Prop1 3’ UTR. NIH3T3 cells were initially transfected with either scrambled control siRNA or two separate siRNAs (siLSM14B-2 and siLSM14B-3) targeting the murine Lsm14B mRNA. One day later the cells were transfected with a luciferase reporter mRNA under the control of a Prop1 3’ UTR along with either the empty pEGFPN1 vector or the peGFPN1 vector containing murine Musashi1. Cells were lysed after a further 24-h incubation and one aliquot assessed for reporter mRNA luciferase activity (upper graph) and the other aliquot assessed for endogenous LSM14B protein expression by western blot (lower panels). In these experiments, LSM14B ran as a doublet. Reporter assays were repeated on three separate occasions and statistical significance assessed by ANOVA: ****, p < 0.001; ns, not significant. GAPDH was used as a protein loading control in the western blot.
|
|
Fig. 6. Schematic interaction map of characterized Musashi co-associated proteins. The relative domains on Musashi responsible for interaction with AGO2, LIN28A, GLD2, ePABP, PABPC1 and LSM14B are shown. LSM14B is currently the only characterized protein that interacts exclusively with the N-terminal domain of Musashi.
|
|
Supplemental Figure 1D : Full images of Mos and Tubulin Western Blots
|
|
Supplemental Figure 2D and 2E: Full images of LSM14B Western Blots
|
|
Supplemental Figure 2A and 2C: Full images of LSM14B Western Blots
|
|
Supplemental Figure 3:
Full images of GFP and GAPDH Western Blots
|
|
Supplemental Figure 4: Full images of LSM14B and Tubulin Western Blots
|
|
Supplemental Figure 5: Full images of LSM14B and Tubulin Western Blots
|