|
Figure 1. A heterozygous KCNC3 variant in an atypical case of SCA13 with a dominant central rotational vertigo, only mild progressive cerebellar symptoms and an early onset of cognitive impairment. (A) Mid-sagittal T1/T2 and Flair-sequence MR image of the patient in 2024 showing a mild cerebellar atrophy and (B) a global reduction of brain volume. (C) Topology of a Kv3.3 channel subunit. The location of the E675K variant is highlighted in purple and the location of the alternative start of the N-terminus is highlighted in turquoise. (D) Partial amino acid sequence alignment of different Kv3.3 orthologues. The conserved E675 residue is highlighted in purple.
|
|
Figure 2. Voltage-dependence of activation of Kv3.3 and the Kv3.3E675K variant in different channel backgrounds. (A) Representative current traces of wild-type Kv3.3 (top) and Kv3.3E675K (bottom). The voltage protocol is illustrated in Supplementary Figure 5B. (B) Representative current traces using a short GV protocol (see Methods section and Supplementary Figure 5A) and (C) the conductance-voltage relationships derived from panel (B). (D–F) The same as in panel (A–C), but the E675K variant was studied in a forced short Kv3.3 channel (M1I mutant). (G–I) The same as in panel (A–C), but the E675K variant was studied in the in a forced long Kv3.3 channel (M77I mutant). Data are presented as mean ± s.e.m. The number of replicates is indicated within the graphs.
|
|
Figure 3. Voltage-dependence of inactivation and recovery from inactivation kinetics of Kv3.3 and the Kv3.3E675K variant in different channel backgrounds. (A) Representative current traces of wild-type Kv3.3 (top) and Kv3.3E675K (bottom) (The voltage protocol is illustrated in Supplementary Figure 5C) and (B) the derived inactivation curves. (C,D) The same as in panel (A,B), but the E675K variant was studied in a forced short Kv3.3 channel (M1I mutant) (The voltage protocol is illustrated in Supplementary Figure 5D). (E,F) The same as in panel (A,B), but the E675K variant was studied in the in a forced long Kv3.3 channel (M77I mutant). (G) Recovery from inactivation of wild-type Kv3.3 and Kv3.3E675K, fitted to a mono-exponential equation. The voltage protocol is illustrated in Supplementary Figure 5F. (H) The same as in panel (G), but the E675K variant was studied in the in a forced long Kv3.3 channel (M77I mutant). Data are presented as mean ± s.e.m. The number of replicates is indicated within the graphs.
|
|
Figure 4. Inactivation kinetics and TBK1 modulation of Kv3.3 and the Kv3.3E675K variant. (A) Averaged current traces to illustrate the voltage-dependence of activation and the inactivation kinetics at different potentials for wild-type Kv3.3 and Kv3.3E675K (The voltage protocol is illustrated in Supplementary Figure 5B). (B) Similar as in panel (A) but the E675K variant was studied in the in a forced long Kv3.3 channel (M77I mutant). (C) Averaged current traces to illustrate the inactivation kinetics of the forced long Kv3.3 channel (M77I mutant) without or after pre-treatment with a TBK1 inhibitor. The time constants of inactivation of the M77I Kv3.3 channel after TBK1 inhibitor treatment were: τ1 = 144 ms, τ2 = 50 ms, A1/(A1 + A2) = 0.3. (D) The same as in panel (C), but for the forced long variant carrying the E675K variant. The time constants of inactivation of the M77I Kv3.3E675K variant after TBK1 inhibitor treatment were: τ1 = 136, τ2 = 43, A1/(A1 + A2) = 0.3. The number of replicates is indicated within the graphs.
|
|
Figure 5. The Kv3.3E675K variant reduces the current amplitudes of Kv3.3 channels. (A) Representative current traces of Kv3.3 and the E675K variant introduced in wild-type Kv3.3. The voltage protocol is illustrated in Supplementary Figure 5E. (B) The same as in panel (A) but the E675K variant was introduced in the forced short M1I Kv3.3 channel or (C) the forced long M77I Kv3.3 channel background. (D) Peak current amplitude analyses derived from panel (A–C). Plotted are the current amplitudes of the respective Kv3.3 channel constructs, in the absence or presence of the E675K variant. Currents were analyzed after a voltage step to +50 mV, 2 days after injection of 0.5 ng cRNA of the respective channel construct into each oocyte. Currents were normalized to the respective Kv3.3 channel background. (E) Oocytes were injected with 0.5 ng (Kv3.3) or to mimic a haploinsufficiency with 0.25 ng (Kv3.3 50%) wild-type Kv3.3 cRNA. To mimic the heterozygous state of the patient, 0.25 ng wild-type Kv3.3 was co-injected with 0.25 ng Kv3.3E675K cRNA (Kv3.3 + E675K). As a comparison to a SCA13 mutant, we injected 0.5 ng cRNA of the dominant-negative Kv3.3R420H mutant (Kv3.3R420H) alone or 0.25 ng wild-type Kv3.3 together with 0.25 ng Kv3.3R420H. Currents were analyzed as in panel (D) and normalized to wild-type Kv3.3. Data are presented as mean ± s.e.m. The number of replicates is indicated within the graphs.
|
|
Figure 6. Search for drugs to rescue the Kv3.3E675K-mediated loss-of-function. (A) Analysis of the current changes of the Kv3.3E675K variant by the application of niflumic acid (NFA), carbamazepine (CBZ), riluzole (RLZ) or 4-AP, analyzed at +40 mV. (B) Conductance-voltage relationships before and after perfusion with 10 μM niflumic acid, (C) 10 μM carbamazepine or (D) 10 μM riluzole. The voltage protocol is illustrated in Supplementary Figure 5A. Data are presented as mean ± s.e.m. The number of replicates is indicated within the graphs.
|
|
Figure 7. Rescue of Kv3.3 and Kv3.3E675K, by increased peak current amplitudes and reduced channel inactivation, mediated by [K+]ex. (A) Representative conductance-voltage (GV) recordings of Kv3.3 at different [K+]ex and (B) the derived GV relationships, analyzed from the tail currents at different [K+]ex. (C,D) Similar as in panel (A,B) but for the Kv3.3E675K variant. The voltage protocol is illustrated in Supplementary Figure 5A with a step to −15mV, −25mV and −40 mV, respectively. (E) A voltage step from −80 to +40 mV (see inset) was applied to record channel activation and peak currents of wild-type Kv3.3 at different [K+]ex. (F) Analysis of wild-type Kv3.3 channel activation at +40 mV by different [K+]ex. As a comparison to illustrate the paradoxical Kv3.3 activation by [K+]ex, the expected current changes, according to the Goldmann-Hodgkin-Katz equation, are illustrated as dotted line. (G,H) Similar as panel (E,F) but for the Kv3.3E675K variant. Data are presented as mean ± s.e.m. The number of replicates is indicated within the graphs.
|
|
Figure 8. Rescue of Kv3.3 and Kv3.3E675K, by a shift in the voltage-dependence of inactivation, speeding of the recovery from inactivation and a reduced cumulative inactivation, mediated by [K+]ex. Inactivation curves of (A) Kv3.3 or (B) Kv3.3E675K at different [K+]ex. The V1/2 of inactivation for the different [K+]ex are provided within in the graphs. The voltage protocol is illustrated in Supplementary Figure 5C. (C) Recovery from inactivation of Kv3.3 or (D) Kv3.3E675K at different [K+]ex. The time constants τ for the recovery from inactivation are calculated from the mono-exponential fits illustrated within the graphs. The voltage protocol is illustrated in Supplementary Figure 5F. Cumulative inactivation of Kv3.3 (E–I) and Kv3.3E675K (J–N) at (E,J) 1 Hz, (F,K) 10 Hz, (G,L) 50 Hz, and (H,M) 100 Hz recorded at different [K+]ex. The indicated time constants τ for the first 2 s of cumulative inactivation are calculated from mono-exponential fits. The voltage protocol is illustrated at Supplementary Figure 5G. (I,N) Relative currents of Kv3.3 (I) and Kv3.3E675K (N) after 10 s of pulsing with different frequencies at different [K+]ex, normalized to the current amplitude of the first pulse. Data are presented as mean ± s.e.m. The number of replicates is indicated within the graphs.
|
|
Figure 9. Analyses of the frequency-dependent accumulation of inactivation for Kv3.3 and Kv3.3E675K at different frequencies and [K+]ex. The data were analyzed from recordings illustrated in Figure 8. Relative current amplitudes after 10 s of pulsing at different [K+]ex (1 mM, 8 mM, 98 mM) at 10 Hz (A), 50 Hz (B) and 100 Hz (C). The current was normalized to the amplitude of the first pulse. Data are presented as mean ± s.e.m. The number of replicates is indicated within the graphs.
|
|
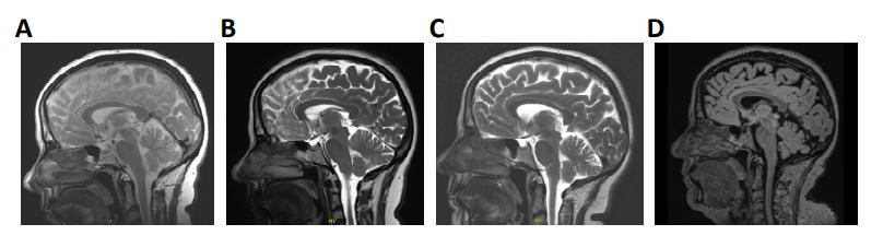
Supplementary Figure 1. Mid-sagittal T1/T2 and Flair-sequence MR images. Images were taken in
(A) 2010, (B) 2014, (C) 2019, and (D) 2024, respectively.
|
|
Supplementary Figure 2. Voltage-dependence of activation for the E675K variant studied in all
three Kv3.3 channel backgrounds. (A) Conductance-voltage relationships, (B) values for the voltages
of half-maximal activation (V1/2) and (C) the k-values. Data are presented as mean ± s.e.m.. The
number of replicates is indicated within the graphs. n.s., not significant. *, p < 0.05; **, p < 0.01;
***, p < 0.001.
|
|
Supplementary Figure 3. Voltage-dependence of inactivation of all three Kv3.3 channel constructs.
(A) Voltage-dependence of inactivation, (B) the voltages of half-maximal inactivation (V1/2) and (C)
the k-values. (D) Analysis of the steady-state inactivation, plotting the sustained currents. Data are
presented as mean ± s.e.m.. The number of replicates is indicated within the graphs. n.s., not
significant. *, p < 0.05; **, p < 0.01; ***, p < 0.001.
|
|
Supplementary Figure 4. Search for drugs to increase wild-type Kv3.3 currents. (A) Analysis of the
peak current changes of wild-type Kv3.3 by the application of niflumic acid (NFA), carbamazepine
(CBZ), riluzole (RLZ) or 4-AP, analyzed at +40 mV. (B) Conductance-voltage relationships before
and after perfusion with 10 µM niflumic acid, (C) 10 µM carbamazepine or (D) 10 µM riluzole. Data
are presented as mean ± s.e.m.. The number of replicates is indicated within the graphs.
|
|
Supplementary Figure 5. Voltage protocols used for voltage clamp recordings to analyse (A) the
conductance-voltage relationship (GV) (B) the current voltage relationship (IV) (C) (D) the kinetics of
inactivation (E) the current amplitude (F) the kinetics of the recovery from inactivation and (G) the
frequency dependence of inactivation accumulation.
|
|
Supplementary Figure 6. Inactivation kinetics and TBK1 modulation of Kv3.3M1I and the
Kv3.3M1I/E675K variant. (A) Averaged current traces to illustrate the voltage-dependence of activation
and the inactivation kinetics at different potentials for the Kv3.3M1I and the Kv3.3M1I/E675K variant. The
voltage protocol is illustrated in Supplementary Figure 6B). (B) Averaged current traces to illustrate
the inactivation kinetics of the Kv3.3M1I and the Kv3.3M1I+E675K variant without or after pre-treatment
with 40 µM of the TBK1 inhibitor MRT67307. The time constants of inactivation of the Kv3.3M1I
variant before and after TBK1 inhibitor treatment were: τ1 = 6.79 s, τ2 = 0.04 s, A1/(A1+A2) = 0.96;
τ1 = 4.48 s, τ2 = 0.15 s, A1/(A1+A2) = 0.83. The time constants of inactivation of the Kv3.3M1I/E675K
variant before and after TBK1 inhibitor treatment were: τ1 = 6.51 s, τ2 = 0.03 s, A1/(A1+A2) = 0.97;
τ1 = 4.21 s, τ2 = 0.14 s, A1/(A1+A2) = 0.83. The number of replicates is indicated within the graph.
|