XB-ART-60524
EMBO Rep
2024 Feb 01;252:646-671. doi: 10.1038/s44319-023-00046-w.
Show Gene links
Show Anatomy links
ZSWIM4 regulates embryonic patterning and BMP signaling by promoting nuclear Smad1 degradation.
Wang C
,
Liu Z
,
Zeng Y
,
Zhou L
,
Long Q
,
Hassan IU
,
Zhang Y
,
Qi X
,
Cai D
,
Mao B
,
Lu G
,
Sun J
,
Yao Y
,
Deng Y
,
Zhao Q
,
Feng B
,
Zhou Q
,
Chan WY
,
Zhao H
.
???displayArticle.abstract???
The dorsoventral gradient of BMP signaling plays an essential role in embryonic patterning. Zinc Finger SWIM-Type Containing 4 (zswim4) is expressed in the Spemann-Mangold organizer at the onset of Xenopus gastrulation and is then enriched in the developing neuroectoderm at the mid-gastrula stages. Knockdown or knockout of zswim4 causes ventralization. Overexpression of zswim4 decreases, whereas knockdown of zswim4 increases the expression levels of ventrolateral mesoderm marker genes. Mechanistically, ZSWIM4 attenuates the BMP signal by reducing the protein stability of SMAD1 in the nucleus. Stable isotope labeling by amino acids in cell culture (SILAC) identifies Elongin B (ELOB) and Elongin C (ELOC) as the interaction partners of ZSWIM4. Accordingly, ZSWIM4 forms a complex with the Cul2-RING ubiquitin ligase and ELOB and ELOC, promoting the ubiquitination and degradation of SMAD1 in the nucleus. Our study identifies a novel mechanism that restricts BMP signaling in the nucleus.
???displayArticle.pubmedLink??? 38177922
???displayArticle.pmcLink??? PMC10897318
???displayArticle.link??? EMBO Rep
???displayArticle.grants??? [+]
2019YFA0904500 National Key R&D Program of China, 14112618 Research Grants Council, University Grants Committee (), 14119120 Research Grants Council, University Grants Committee (), C5033-19E CRF equipment grant, 8601012 Hong Kong Branch of CAS Center for Excellence in Animal Evolution and Genetics , 8601012 Hong Kong Branch of CAS Center for Excellence in Animal Evolution and Genetic
Species referenced: Xenopus tropicalis Xenopus laevis
Genes referenced: babam2 bmp2 bmp4 cer1 chrd cul2 elob eloc fgf8 gsc id2 kctd15 krt12.4 msx1 myc otx2 smad1 smad2 smad4 smurf1 smurf2 sox2 sox3 szl tbxt ventx1.2 ventx2.2 wnt3a zswim4
GO keywords: embryo development [+]
???displayArticle.antibodies??? FLAG Ab3 Gadph Ab9 HA Ab10 Myc Ab16 Smad1 Ab12 Smad1 Ab2
???displayArticle.morpholinos??? zswim4 MO1 zswim4 MO2 zswim4 MO3 zswim7 MO1
gRNAs referenced: zswim4 gRNA1 zswim4 gRNA2 zswim4 gRNA3 zswim4 gRNA4 zswim4 gRNA5
???attribute.lit??? ???displayArticles.show???
|
|
Synopsis |
|
|
Figure 1 The expression of zswim4 in developing embryos and its cellular localization. (A) A schematic diagram illustrating the different protein domains in the Zswim4. (B) Temporal expression of zswim4 in X. laevis embryos at the indicated stages. Ornithine decarboxylase (odc) was used as an internal standard. n = 3. (C) Spatial expression pattern of zswim4 in bisected X. laevis embryos revealed by whole mount in situ hybridization. The black arrow indicates the signals on the dorsal side at stage 11. Scale bar = 500 μm. (D) Arrows indicating the orientation of the embryos in (C, E). (E) Immunofluorescence staining showing the localization of Zswim4 protein in X. laevis embryos of stage 11. The white arrow indicates the dorsal blastopore. Scale bar = 500 μm. (F) Confocal images of Hela cells transfected with ZSWIM4-FLAG. Scale bar = 5 μm. (G, H) Semi-quantitative RT-PCR analysis of expression of zswim4 and the indicated genes in X. laevis animal caps dissected from embryos injected with mRNAs of either bmp4 (300 pg/embryo), fgf8 (100 pg/embryo), wnt3a (300 pg/embryo), or chordin (500 pg/embryo), respectively. WE, uninjected whole embryo; AC, uninjected animal caps; RT-, without reverse transcriptase. n = 2. One representative image is shown. Data information: n indicates biological replicates. Error bars show mean ± standard deviation (SD). Source data are available online for this figure. |
|
|
Figure EV1 Characterization of Xenopus zswim4. (A, B) Zswim4 is highly conservative among different species. Sequence alignment (A) and sequence identities (B) among X. laevis, X. tropicalis, mouse, and human ZSWIM4. (C–L) Spatial expression pattern of zswim4 in Xenopus embryos revealed by whole mount in situ hybridization. (C, D) animal pole view; (E) dorsal vegetal view; (F) lateral view with dorsal towards right; (G, H) dorsal view; (I, J) lateral view; (K, L) Transverse section of a stage 28 embryo at the levels illustrated by black lines in (I). nt neural tube, e eye, fg foregut, nc notochord. Scale bar = 250 μm. (M) Immunofluorescence staining of X. laevis embryos at stage 10 using anti-Rabbit IgG or anti-Zswim4 antibody, with dorsal side towards right. Scale bar = 200 μm. Source data are available online for this figure. |
|
|
Figure 2 Dysregulation of zswim4 disturbes axis formation during embryonic development. (A, B) Categories of defects in the X. laevis embryos injected with increasing doses of zswim4 mRNA at the two-cell stage. Scale bar = 500 μm. The numbers on the top indicate the total number of embryos. n = 3. (C–E) Categories of defects in the X. tropicalis embryos injected with different doses of either zswim4MO1, zswim4MO2, or the combination of zswim4 mRNA with MOs. The representative images of each phenotype category were shown in (C). The expression of otx2 was examined in these defective embryos (D). Scale bar = 250 μm. The numbers on the top in (E) indicate the total number of embryos. n = 3. (F) Phenotype of X. tropicalis embryos injected with Cas9 protein (0.5 ng/embryo) and four sgRNAs (total 200 pg/embryo) targeting zswim4 (35 of 57 injected embryos at stage 28; 23 of 49 injected embryos at stage 38. n = 2, biological replicates). Scale bar = 250 μm. T7E1 assays were performed to confirm the gene disruption. (G–I) The F0 generation of the X. tropicalis zswim4 mutant frogs with high gene disruption efficiency were crossed with wild-type male frogs (G). Anterior and body axis defects were observed in the offspring embryos at stage 28 (H) or stage 43 (I). Scale bar = 250 μm. Genomic DNA was extracted from individual embryos for the T7E1 assay. The DNA gel electrophoresis results showed the T7E1 assay using DNA extracted from the corresponding larva on the top (H) or on the left (I). Data information: n indicates biological replicates. Error bars show mean ± standard deviation (SD). Statistical analysis was performed using the chi-squared test for (E). **p < 0.01. Source data are available online for this figure. |
|
|
Figure EV2 Validation of zswim4MO1 and zswim4MO2. (A) Western blot analysis of zswim4-FLAG protein in X. tropicalis embryos injected with zswim4-FLAG mRNA (60 pg/embryo) and zswim4MO1 (6 ng/embryo). β-Tubulin was used as a loading control. n = 2. One representative blot is shown. (B–E) Schematic diagram showing the zswim4MO2 binding site and the primer pair used to amplify the exon2 (B). RT-PCR was performed using the primer pair covering the zswim4 exon2, and two bands were amplified from the X. tropicalis embryos injected with zswim4MO2 (C). The two bands were recovered for Sanger sequencing. The sequencing results were aligned with wild-type zswim4 (D). The lost sequence in the lower band has 100% identity with zswim4 exon2 (E). For western blot in (A) and RT-PCR in (C), n = 2. One representative blot is shown. (F, G) Western blot analysis of endogenous Zswim4 protein in X. tropicalis embryos injected with 6 ng of zswim4MO1 or zswim4MO2. β-Tubulin was used as a loading control. Quantification of Zswim4 bands is shown in (G). n = 2. Data information: n indicates biological replicates. Source data are available online for this figure |
|
|
Figure EV3 Generation of the zswim4 mutant frog line using CRISPR/Cas9. (A) Five sgRNAs were designed to target X. tropicalis zswim4 exon1. The start codon is marked in red. (B) Schematic diagram indicating the generation of zswim4 mutant embryos using CRISPR/Cas9. (C) T7E1 assay was performed using genomic DNA extracts from the injected or uninjected embryos. n = 2. One representative blot is shown. (D) Sanger sequencing results confirmed the mutations in the zswim4 CRISPR target region. (E) The zswim4 mutant allele with a 10-bp deletion and the putative peptide encoded by the zswim4 Δ10 mutant. Data information: n indicates biological replicates. Source data are available online for this figure. |
|
|
Figure EV4 Up-regulated zswim7 contributes to the genetic compensation in zswim4 mutant frog lines. (A) Genetic compensation was observed in zswim4F2 embryos or MZzswim4-/- embryos. After crossing two zswim4+/- or two zswim4-/-, the offsprings of stage 10 were collected for RNA extraction. The F0 embryos injected with Cas9 protein and four sgRNAs were also collected. Quantitative RT-PCR was performed to determine the gene expression of the indicated zswim family members. odc was used as the internal standard. n = 3. (B, C) WMISH showing the expression of zswim7 in X. tropicalis embryos, zswim4F2 embryos or zswim4 crispants (injected with 200 pg sgRNA plus 0.5 ng Cas9 protein/embryo). Embryos in the left column, lateral view with the dorsal side towards the right. Embryos in the right column, dorsal view. Scale bar = 1000 μm. The ratio of embryos with up-regulated expression of zswim7 is shown in (C). The numbers on the top indicate the total number of embryos. n = 3. (D, E) zswim4F2 embryos were injected with 6 ng of morpholino targeting zswim7 (z7MO) at the one- or two-cell stage, and the phenotype was examined at the later tail-bud stage (D) Scale bar = 500 μm. The ratio of defective embryos is shown in (E). The numbers on the top indicate the total number of embryos. n = 3. (F, G) X. tropicalis embryos were injected with zswim4 CRISPR/Cas9 (200 pg sgRNA plus 0.5 ng Cas9 protein/embryo) or increasing doses of zswim7 mRNA (50 pg/embryo, 100 pg/embryos). Scale bar = 500 μm. The phenotype was examined at later tail-bud stage. The numbers on the top indicate the total number of embryos. n = 3. Data information: n indicates biological replicates. Error bars show mean ± standard deviation (SD). Statistical analysis was performed using an unpaired Student’s t test for (A) and chi-squared test for (C, E, G). *p < 0.05, **p < 0.01, and ns indicates “not significant” (p > 0.05). Source data are available online for this figure. |
|
|
Figure 3 Zswim4 restricts ventral mesoderm formation and promotes neural induction by inhibiting BMP signaling. (A–D) Overexpression of zswim4 reduced the signals of sizzled (47 of 60 embryos), vent1 (45 of 62 embryos), vent2 (50 of 56 embryos), and myod (46 of 57 embryos), as revealed by in situ hybridization. n = 2. Scale bar = 250 μm. The lacZ mRNA (100 pg/embryo) and zswim4 mRNA (200 pg/embryo) were co-injected into one ventral blastomere of X. laevis embryos at the four-cell stage. Red X-gal staining was employed to trace the injected side which is indicated by asterisks. (E–G) Zswim4MO1 (2 ng/embryo) and lacZ mRNA (100 pg/embryo) were co-injected into the one dorsal blastomere of X. tropicalis embryos at the four-cell stage. Knockdown of zswim4 decreased the levels of sox2 (34 of 56 embryos), gsc (42 of 61 injected embryos), and chordin (20 of 54 embryos). n = 2. Scale bar = 100 μm. Red X-gal staining was performed to trace the injected side which is indicated by asterisks. (H, I) Quantitative RT-PCR was performed to examine the expression of indicated markers in X. laevis embryos injected with zswim4 mRNA (200 pg/embryo) or X. tropicalis embryos injected with zswim4MO1 (2 ng/embryo). n = 3. (J–L) Animal cap assays of X. laevis embryos were performed and semi-quantitative (J, K) or quantitative (L) RT-PCR were performed to examine indicated markers. For semi-quantitative RT-PCR (J, K), n = 2, and one representative image is shown. For qPCR (L), n = 3. (M, N) Categories of ventralization of the X. laevis embryos injected with bmp4 mRNA (300 pg/embryo) and zswim4 mRNA (150 pg/embryo) (M), and the quantification of the phenotype (N). Scale bar = 250 μm. The numbers on the top of the columns (N) indicate the total number of embryos. n = 3. (O, P) WISH showing different levels of sizzled expression in X. tropicalis embryos injected with bmp4 mRNA (60 pg/embryo) and zswim4MO1 (4 ng/embryos). Scale bar = 200 μm. The numbers on the top of the columns (P) indicate the total number of embryos. n = 3. (Q, R). Either chordin mRNA (30 pg/embryo) alone or the mixture of chordin and zswim4 mRNAs (200 pg/embryo) were injected into the ventral side of the X. laevis embryos at the four-cell stage. When developing to the tailbud stage, the embryos were collected for immunofluorescence staining with the 12/101 antibody that can label somites. The embryos with or without the secondary body axis were scored. Scale bar = 250 μm. The numbers on the top of the columns (R) indicate the total number of embryos. n = 3. (S, T) X. laevis embryos injected with zswim4 mRNA (200 pg/embryo) or X. tropicalis embryos injected with zswim4MO1 (4 ng/embryo) were collected at stage 11 to examine p-Smad1/5/8 and total Smad1. β-Tubulin was used as the loading control. n = 2. Data information: n indicates biological replicates. Error bars show mean ± standard deviation (SD). Statistical analysis was performed using an unpaired Student’s t test for (H, I, L), and chi-squared test for (N, P, R). *p < 0.05, **p < 0.01. Source data are available online for this figure. |
|
|
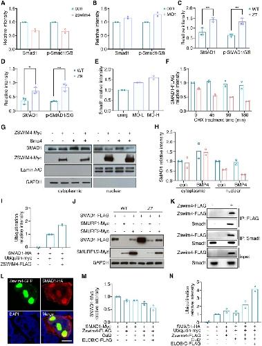
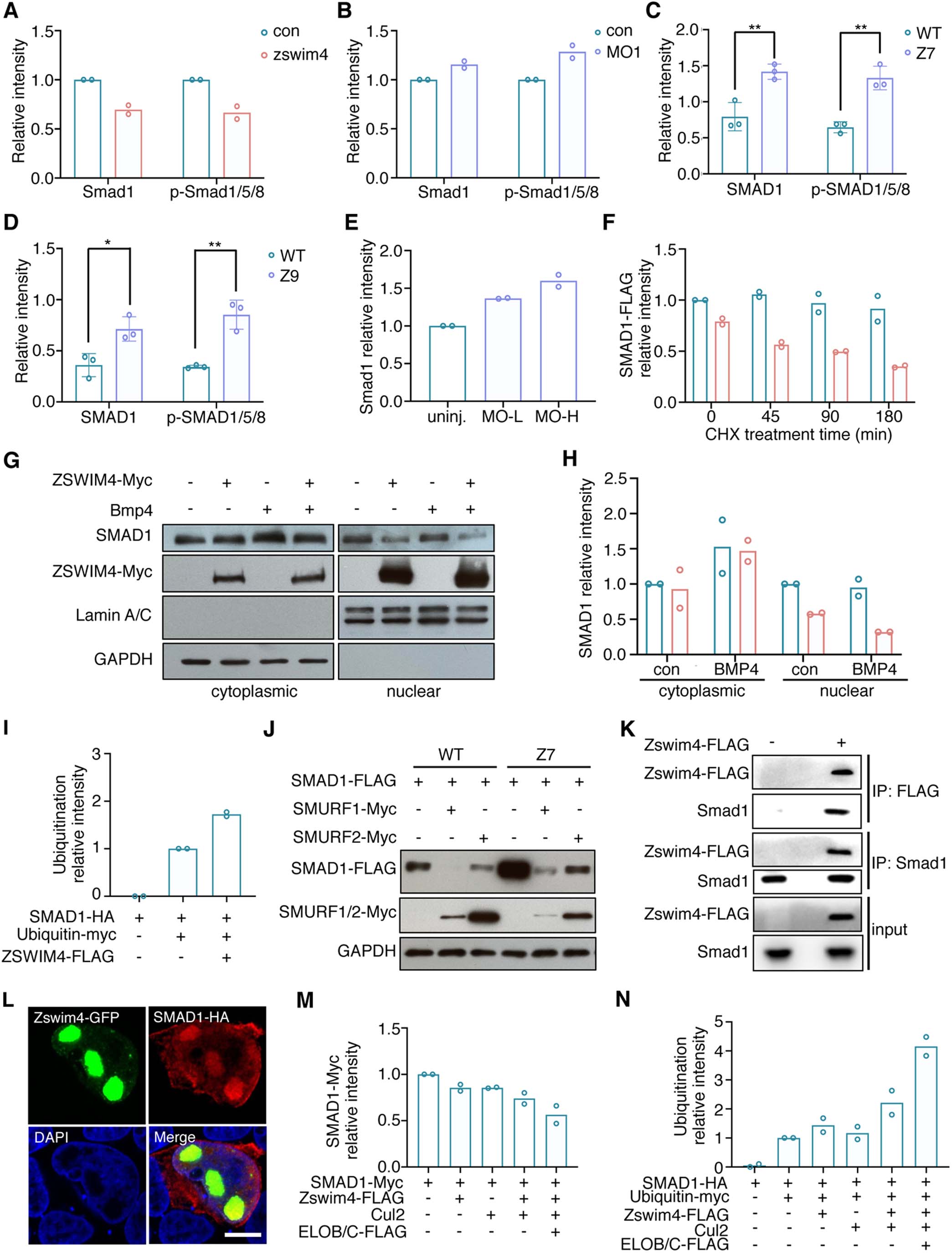
Figure EV5 ZSWIM4 reduces SMAD1 protein levels in the nucleus, but not in the cytosol. (A, B) Quantifications of Smad1 and p-Smad1/5/8 bands in western blot shown in Fig. 3S (A) and Fig. 3T (B). n = 2. (C, D) Quantifications of SMAD1 and p-SMAD1/5/8 bands in western blot shown in Fig. 4K (C) and Fig. 4L (D). n = 3. (E) Quantifications of endogenous Smad1 bands in western blot shown in Fig. 5C. n = 2. (F) Quantifications of SMAD1-FLAG bands in western blot shown in Fig. 5D. n = 2. (G, H) Cell fractionation was performed on HEK293T cells transfected with ZSWIM4-Myc (500 ng/ml medium) and treated with BMP4 (100 ng/μl). The cytosolic and nuclear levels of SMAD1 were assayed by western blot. GAPDH and Lamin A/C were used as the loading control for the cytosolic and nuclear proteins, respectively. Quantification of SMAD1 bands is shown in (H). n = 2. (I) Quantifications of SMAD1-HA ubiquitination bands in western blot shown in Fig. 5F. n = 2. (J) SMAD1-FLAG (400 ng/ml medium) was co-transfected with SMURF1-Myc (200 ng/ml medium) or SMURF2-Myc (200 ng/ml medium) into the ZSWIM4 mutant cell line, Z7, or wild-type HEK293T cells. The protein level of SMAD1-FLAG was examined by western blot. n = 2. One representative blot is shown. (K) Co-IP to detect the interaction between Zswim4-FLAG and endogenous Smad1 in X. laevis embryos. n = 2. One representative blot is shown. (L) Confocal imaging illustrates the co-localization of Zswim4-GFP and SMAD1-HA in the nucleus of HeLa cells treated with BMP2 (100 ng/μl) for 5 h. Scale bar = 10 μm. n = 2. One representative blot is shown. (M) Quantifications of SMAD1-Myc bands in western blot shown in Fig. 7A. n = 2. (N) Quantifications of SMAD1-HA ubiquitination bands in western blot shown in Fig. 7B. n = 2. Data information: n indicates biological replicates. Error bars show mean ± standard deviation (SD). Statistical analysis was performed using an unpaired Student’s t test for (C, D). *p < 0.05, **p < 0.01. Source data are available online for this figure. |
|
|
Figure 4 Zswim4 inhibits BMP signaling in HEK293T cells. (A–C) HEK293T cells were transfected with increasing doses of ZSWIM4 (200, 300, and 400 ng/ml medium) and treated with BMP4 (100 ng/ml). Luciferase assays were performed to assess BMP signaling (A). The expression of ID1 or ID2 in the cells was examined by quantitative RT-PCR (B, C). β-ACTIN was used as the internal control. n = 3. (D–F) HEK293T cells were transfected with control or ZSWIM4 siRNA (80 nM) and treated with BMP4 (100 ng/ml). The cells were collected for luciferase assays (D) or quantitative RT-PCR (E, F). n = 3. (G, H) Quantitative RT-PCR analysis of ID1 expression in two HEK293T cell lines with ZSWIM4 mutations with or without BMP2 treatment (100 ng/ml) treatment. n = 3. (I, J) DNA sequence alignments indicate the insertion or deletion in Z7 and Z9 cell lines with ZSWIM4 mutation, respectively. sgRNA was designed to target the underlined sequence. (K, L) Western blot was performed to examine the change in p-SMAD1/5/8 and total SMAD1 in wild-type and ZSWIM4 mutant cells. GAPDH or β-TUBULIN was used as the loading control. n = 3. Data information: n indicates biological replicates. Error bars show mean ± standard deviation (SD). Statistical analysis was performed using an unpaired Student’s t test for (A–H). *p < 0.05, **p < 0.01, and ns indicates “not significant” (p > 0.05). Source data are available online for this figure. |
|
|
Figure 5 ZSWIM4 interacts with SMAD1 and reduces the protein stability of SMAD1 by promoting its ubiquitination. (A) The BRE-luciferase assay was performed in HEK293T cells transfected with either constitutively active BMP receptor (BMPR1A_CA), Smad1 phosphomimetic construct (Smad1-DVD) alone, or the combination with ZSWIM4 (300 ng/ml medium) as indicated. n = 3. (B, C) Western blot analysis of endogenous SMAD1 protein levels in HEK293T cells transfected with increasing doses of ZSWIM4-Myc (200, 300, and 400 ng/ml medium) (B), or in X. tropicalis embryos of stage 11 injected with zswim4MO1 (4 ng/embryo or 8 ng/embryo). n = 2. (D, E) SMAD1-FLAG was transfected either alone or together with ZSWIM4-Myc (300 ng/ml medium) into HEK293T cells. After 24 h, the cells were treated with cycloheximide (CHX, 50 μg/ml) for indicated periods, and the protein level of SMAD1-FLAG was examined by western blot. The relative protein level of SMAD1-FLAG was quantified by Image J and divided by GAPDH, which was further normalized to that at 0 min. n = 2. (F–H) HA-tagged SMAD1 and Myc-tagged Ubiquitin were co-transfected into Z7 (G), Z9 (H), or wild-type HEK293T cells (F) with ZSWIM4 overexpression (300 ng/ml medium). Cell lysates were collected for immunoprecipitation using anti-HA antibody. Ubiquitination of SMAD1-HA was detected by western blot using anti-Myc antibody. n = 2. (I) Co-immunoprecipitation (Co-IP) was performed in HEK293T cells transfected with either SMAD1-FLAG, ZSWIM4-Myc alone, or the combination of both. n = 2. One representative blot is shown. (J, K) A schematic diagram of SMAD1 deletion mutants and their binding to ZSWIM4-Myc was examined using Co-IP. For the western blot in (B–D, F–I, K), n = 2. One representative blot is shown. Data information: n indicates biological replicates. Error bars show mean ± standard deviation (SD). Statistical analysis was performed using an unpaired Student’s t test for (A). **p < 0.01. Source data are available online for this figure. |
|
|
Figure 6 ZSWIM4 interacts with components of the CRL complex. (A) SILAC-based quantitative mass spectrometry was used to identify the interaction partners of Zswim4 in the HEK293T cells. (B) ELOB and ELOC rank high among the common proteins identified in both forward and reverse SILAC assays. (C, D) Co-IP was performed to examine the interaction between FLAG-tagged Zswim4 and Myc-tagged ELOB, ELOC. n = 2. One representative blot is shown. (E) Sequence alignment illustrates the conserved N-terminus (amino acids 32-67 in human ZSWIM4) among human ZSWIM8 and Zswim4 from different species. Hs, Homo sapiens; Ms, Mus musculus; Xt, Xenopus tropicalis; Xl, Xenopus laevis. (F) The physical interaction between Zswim4 and CUL2 is confirmed by Co-IP. n = 2. One representative blot is shown. (G–I) Co-IP results showed that the N-terminal region of ZSWIM4 is responsible for its interaction with ELOB (H) or ELOC (I). ΔN represents the deletion mutant of ZSWIM4 with N-terminal 99 amino acids with the BC-box deleted (G). n = 2. One representative blot is shown. Data information: n indicates biological replicates. Source data are available online for this figure. |
|
|
Figure 7 Zswim4 cooperates with the CRL complex to regulate BMP signaling. (A) Western blot analysis of SMAD1-Myc protein levels in HEK293T cells transfected with zswim4-FLAG (150 ng/ml medium), cul2 (150 ng/ml medium), ELOB-FLAG (100 ng/ml medium), and ELOC-FLAG (100 ng/ml medium). n = 2. (B) SMAD-HA ubiquitination was examined in HEK293T cells co-transfected with either zswim4-FLAG (150 ng/ml medium), cul2 (150 ng/ml medium) alone or together with ELOB-FLAG (100 ng/ml medium) and ELOC-FLAG (100 ng/ml medium). The intensities of the SMAD1-HA ubiquitination bands were normalized to the responding immunoprecipitated SMAD1-HA bands. n = 2. (C) Luciferase assay was performed on HEK293T cells transfected with zswim4 and the CRL components as indicated (150 ng zswim4-FLAG/ml medium, 150 ng cul2/ml medium, 100 ng ELOB-FLAG /ml medium, and 100 ng ELOC-FLAG/ml medium) with or without BMP2 treatment (100 ng/μl). n = 3. (D, E) X. laevis embryos were injected with mRNAs as indicated (300 pg bmp mRNA/embryo, 200 pg zswim4 mRNA/embryo, 200 pg cul2 mRNA/embryo, 100 pg ELOB mRNA/embryo, 100 pg ELOC mRNA/embryo). Animal caps were dissected at stage 9 and cultured for 2 h. Quantitative RT-PCR was used to examine the expression of the BMP target genes, epiker, msx1 and xbra (D) or neural markers, sox2 and sox3 (E). n = 3. (F) Luciferase assay was performed using whole X. laevis embryos injected with indicated mRNAs to the two dorsal blastomeres at the four-cell stage. For the western blot in (A, B), n = 2, biological replicates. One representative blot is shown. n = 3. Data information: n indicates biological replicates. Error bars show mean ± standard deviation (SD). Statistical analysis was performed using an unpaired Student’s t test for (C–F). *p < 0.05, **p < 0.01, and ns indicates “not significant” (p > 0.05). Source data are available online for this figure. |
|
|
Figure 8 A schematic diagram illustrating the function of ZSWIM4 in BMP signaling. The binding of BMP ligands to their receptors induces phosphorylation of R-Smads (Smad1/5/8). The phosphorylated R-Smads interact with Smad4 to form a complex that translocates into the nucleus and activates the target genes. Zswim4 interacts with Cullin2 and Elongin B and C, forming a protein disruption complex to promote Smad1 ubiquitination and degradation in the nucleus. |
|
|
Appendix Figure S1 Knockdown of zswim4 repressed cerberus expression (61.5%, 24 out of 39 injected embryos). After injected with zswim4MO1 (2ng/embryo), the X. tropicalis was collected at stage 10.5, and bisected for WISH. n =2, biological replicates. One representative blot was shown. Scale bar = 1000 µm. |
|
|
Appendix Figure S2 Quantitative PCR showing ZSWIM4 expression in HEK293T cells transfected separately with three different ZSWIM4 siRNAs or a control siRNA (80 nM). n =3, biological replicates. Error bars show mean ± standard deviation (SD). Statistical analysis was performed using an unpaired Student’s t-test. ***p < 0.001. |
|
|
Appendix Figure S3 Overexpression of zswim4-FLAG reduced the exogenous SMAD1-Myc protein in a dose-dependent manner in HEK293T cells. HEK293T cells were transfected with SMAD1-Myc and different doses of Zswim4-FLAG (200, 300, and 400 ng/ml medium). After 48 hours, cells were lysed for western blot. n =2, biological replicates. One representative blot was shown. |
|
|
Appendix Figure S4 Quantitative PCR showing ZSWIM4 expression in X. laevis embryos injected with zswim4 mRNA (300 pg/embryo) (A) or HEK293T cells transfected with ZSWIM4 construct (300 ng/ml medium) (B). n =3, biological replicates. Error bars show mean ± standard deviation (SD). Statistical analysis was performed using an unpaired Student’s t-test. ns indicates “not significant” (p > 0.05). |
|
|
Appendix Figure S5 Co-IP assay showed that there was no interaction between SMAD2-Myc and ZSWIM4-FLAG. |
|
|
Appendix Figure S6 Co-expression of ZSWIM4 and Cul2 (150 ng ZSWIM4-Myc/ml medium, 150 ng cul2/ml medium) reduced the protein level of SMAD1-Myc in HEK293T cells. n =2, biological replicates. One representative blot was shown. |
|
|
Appendix Figure S7 Expression patterns of CRL components, elob, eloc and cul2, in Xenopus embryos. A, B, E, F, I, J lateral view; C, G, K dorsal view; D, H, L vegetal view with dorsal side on the top. Scale bar = 250 µm. |
|
|
Figure 1. The expression of zswim4 in developing embryos and its cellular localization.(A) A schematic diagram illustrating the different protein domains in the Zswim4. (B) Temporal expression of zswim4 in X. laevis embryos at the indicated stages. Ornithine decarboxylase (odc) was used as an internal standard. n = 3. (C) Spatial expression pattern of zswim4 in bisected X. laevis embryos revealed by whole mount in situ hybridization. The black arrow indicates the signals on the dorsal side at stage 11. Scale bar = 500 μm. (D) Arrows indicating the orientation of the embryos in (C, E). (E) Immunofluorescence staining showing the localization of Zswim4 protein in X. laevis embryos of stage 11. The white arrow indicates the dorsal blastopore. Scale bar = 500 μm. (F) Confocal images of Hela cells transfected with ZSWIM4-FLAG. Scale bar = 5 μm. (G, H) Semi-quantitative RT-PCR analysis of expression of zswim4 and the indicated genes in X. laevis animal caps dissected from embryos injected with mRNAs of either bmp4 (300 pg/embryo), fgf8 (100 pg/embryo), wnt3a (300 pg/embryo), or chordin (500 pg/embryo), respectively. WE, uninjected whole embryo; AC, uninjected animal caps; RT-, without reverse transcriptase. n = 2. One representative image is shown. Data information: n indicates biological replicates. Error bars show mean ± standard deviation (SD). Source data are available online for this figure. |
|
|
Figure 2. Dysregulation of zswim4 disturbes axis formation during embryonic development.(A, B) Categories of defects in the X. laevis embryos injected with increasing doses of zswim4 mRNA at the two-cell stage. Scale bar = 500 μm. The numbers on the top indicate the total number of embryos. n = 3. (C–E) Categories of defects in the X. tropicalis embryos injected with different doses of either zswim4MO1, zswim4MO2, or the combination of zswim4 mRNA with MOs. The representative images of each phenotype category were shown in (C). The expression of otx2 was examined in these defective embryos (D). Scale bar = 250 μm. The numbers on the top in (E) indicate the total number of embryos. n = 3. (F) Phenotype of X. tropicalis embryos injected with Cas9 protein (0.5 ng/embryo) and four sgRNAs (total 200 pg/embryo) targeting zswim4 (35 of 57 injected embryos at stage 28; 23 of 49 injected embryos at stage 38. n = 2, biological replicates). Scale bar = 250 μm. T7E1 assays were performed to confirm the gene disruption. (G–I) The F0 generation of the X. tropicalis zswim4 mutant frogs with high gene disruption efficiency were crossed with wild-type male frogs (G). Anterior and body axis defects were observed in the offspring embryos at stage 28 (H) or stage 43 (I). Scale bar = 250 μm. Genomic DNA was extracted from individual embryos for the T7E1 assay. The DNA gel electrophoresis results showed the T7E1 assay using DNA extracted from the corresponding larva on the top (H) or on the left (I). Data information: n indicates biological replicates. Error bars show mean ± standard deviation (SD). Statistical analysis was performed using the chi-squared test for (E). **p < 0.01. Source data are available online for this figure. |
|
|
Figure 3. Zswim4 restricts ventral mesoderm formation and promotes neural induction by inhibiting BMP signaling.(A–D) Overexpression of zswim4 reduced the signals of sizzled (47 of 60 embryos), vent1 (45 of 62 embryos), vent2 (50 of 56 embryos), and myod (46 of 57 embryos), as revealed by in situ hybridization. n = 2. Scale bar = 250 μm. The lacZ mRNA (100 pg/embryo) and zswim4 mRNA (200 pg/embryo) were co-injected into one ventral blastomere of X. laevis embryos at the four-cell stage. Red X-gal staining was employed to trace the injected side which is indicated by asterisks. (E–G) Zswim4MO1 (2 ng/embryo) and lacZ mRNA (100 pg/embryo) were co-injected into the one dorsal blastomere of X. tropicalis embryos at the four-cell stage. Knockdown of zswim4 decreased the levels of sox2 (34 of 56 embryos), gsc (42 of 61 injected embryos), and chordin (20 of 54 embryos). n = 2. Scale bar = 100 μm. Red X-gal staining was performed to trace the injected side which is indicated by asterisks. (H, I) Quantitative RT-PCR was performed to examine the expression of indicated markers in X. laevis embryos injected with zswim4 mRNA (200 pg/embryo) or X. tropicalis embryos injected with zswim4MO1 (2 ng/embryo). n = 3. (J–L) Animal cap assays of X. laevis embryos were performed and semi-quantitative (J, K) or quantitative (L) RT-PCR were performed to examine indicated markers. For semi-quantitative RT-PCR (J, K), n = 2, and one representative image is shown. For qPCR (L), n = 3. (M, N) Categories of ventralization of the X. laevis embryos injected with bmp4 mRNA (300 pg/embryo) and zswim4 mRNA (150 pg/embryo) (M), and the quantification of the phenotype (N). Scale bar = 250 μm. The numbers on the top of the columns (N) indicate the total number of embryos. n = 3. (O, P) WISH showing different levels of sizzled expression in X. tropicalis embryos injected with bmp4 mRNA (60 pg/embryo) and zswim4MO1 (4 ng/embryos). Scale bar = 200 μm. The numbers on the top of the columns (P) indicate the total number of embryos. n = 3. (Q, R). Either chordin mRNA (30 pg/embryo) alone or the mixture of chordin and zswim4 mRNAs (200 pg/embryo) were injected into the ventral side of the X. laevis embryos at the four-cell stage. When developing to the tailbud stage, the embryos were collected for immunofluorescence staining with the 12/101 antibody that can label somites. The embryos with or without the secondary body axis were scored. Scale bar = 250 μm. The numbers on the top of the columns (R) indicate the total number of embryos. n = 3. (S, T) X. laevis embryos injected with zswim4 mRNA (200 pg/embryo) or X. tropicalis embryos injected with zswim4MO1 (4 ng/embryo) were collected at stage 11 to examine p-Smad1/5/8 and total Smad1. β-Tubulin was used as the loading control. n = 2. Data information: n indicates biological replicates. Error bars show mean ± standard deviation (SD). Statistical analysis was performed using an unpaired Student’s t test for (H, I, L), and chi-squared test for (N, P, R). *p < 0.05, **p < 0.01. Source data are available online for this figure. |
|
|
Figure 4. Zswim4 inhibits BMP signaling in HEK293T cells.(A–C) HEK293T cells were transfected with increasing doses of ZSWIM4 (200, 300, and 400 ng/ml medium) and treated with BMP4 (100 ng/ml). Luciferase assays were performed to assess BMP signaling (A). The expression of ID1 or ID2 in the cells was examined by quantitative RT-PCR (B, C). β-ACTIN was used as the internal control. n = 3. (D–F) HEK293T cells were transfected with control or ZSWIM4 siRNA (80 nM) and treated with BMP4 (100 ng/ml). The cells were collected for luciferase assays (D) or quantitative RT-PCR (E, F). n = 3. (G, H) Quantitative RT-PCR analysis of ID1 expression in two HEK293T cell lines with ZSWIM4 mutations with or without BMP2 treatment (100 ng/ml) treatment. n = 3. (I, J) DNA sequence alignments indicate the insertion or deletion in Z7 and Z9 cell lines with ZSWIM4 mutation, respectively. sgRNA was designed to target the underlined sequence. (K, L) Western blot was performed to examine the change in p-SMAD1/5/8 and total SMAD1 in wild-type and ZSWIM4 mutant cells. GAPDH or β-TUBULIN was used as the loading control. n = 3. Data information: n indicates biological replicates. Error bars show mean ± standard deviation (SD). Statistical analysis was performed using an unpaired Student’s t test for (A–H). *p < 0.05, **p < 0.01, and ns indicates “not significant” (p > 0.05). Source data are available online for this figure. |
|
|
Figure 5. ZSWIM4 interacts with SMAD1 and reduces the protein stability of SMAD1 by promoting its ubiquitination.(A) The BRE-luciferase assay was performed in HEK293T cells transfected with either constitutively active BMP receptor (BMPR1A_CA), Smad1 phosphomimetic construct (Smad1-DVD) alone, or the combination with ZSWIM4 (300 ng/ml medium) as indicated. n = 3. (B, C) Western blot analysis of endogenous SMAD1 protein levels in HEK293T cells transfected with increasing doses of ZSWIM4-Myc (200, 300, and 400 ng/ml medium) (B), or in X. tropicalis embryos of stage 11 injected with zswim4MO1 (4 ng/embryo or 8 ng/embryo). n = 2. (D, E) SMAD1-FLAG was transfected either alone or together with ZSWIM4-Myc (300 ng/ml medium) into HEK293T cells. After 24 h, the cells were treated with cycloheximide (CHX, 50 μg/ml) for indicated periods, and the protein level of SMAD1-FLAG was examined by western blot. The relative protein level of SMAD1-FLAG was quantified by Image J and divided by GAPDH, which was further normalized to that at 0 min. n = 2. (F–H) HA-tagged SMAD1 and Myc-tagged Ubiquitin were co-transfected into Z7 (G), Z9 (H), or wild-type HEK293T cells (F) with ZSWIM4 overexpression (300 ng/ml medium). Cell lysates were collected for immunoprecipitation using anti-HA antibody. Ubiquitination of SMAD1-HA was detected by western blot using anti-Myc antibody. n = 2. (I) Co-immunoprecipitation (Co-IP) was performed in HEK293T cells transfected with either SMAD1-FLAG, ZSWIM4-Myc alone, or the combination of both. n = 2. One representative blot is shown. (J, K) A schematic diagram of SMAD1 deletion mutants and their binding to ZSWIM4-Myc was examined using Co-IP. For the western blot in (B–D, F–I, K), n = 2. One representative blot is shown. Data information: n indicates biological replicates. Error bars show mean ± standard deviation (SD). Statistical analysis was performed using an unpaired Student’s t test for (A). **p < 0.01. Source data are available online for this figure. |
|
|
Figure 6. ZSWIM4 interacts with components of the CRL complex.(A) SILAC-based quantitative mass spectrometry was used to identify the interaction partners of Zswim4 in the HEK293T cells. (B) ELOB and ELOC rank high among the common proteins identified in both forward and reverse SILAC assays. (C, D) Co-IP was performed to examine the interaction between FLAG-tagged Zswim4 and Myc-tagged ELOB, ELOC. n = 2. One representative blot is shown. (E) Sequence alignment illustrates the conserved N-terminus (amino acids 32-67 in human ZSWIM4) among human ZSWIM8 and Zswim4 from different species. Hs, Homo sapiens; Ms, Mus musculus; Xt, Xenopus tropicalis; Xl, Xenopus laevis. (F) The physical interaction between Zswim4 and CUL2 is confirmed by Co-IP. n = 2. One representative blot is shown. (G–I) Co-IP results showed that the N-terminal region of ZSWIM4 is responsible for its interaction with ELOB (H) or ELOC (I). ΔN represents the deletion mutant of ZSWIM4 with N-terminal 99 amino acids with the BC-box deleted (G). n = 2. One representative blot is shown. Data information: n indicates biological replicates. Source data are available online for this figure. |
|
|
Figure 7. Zswim4 cooperates with the CRL complex to regulate BMP signaling.(A) Western blot analysis of SMAD1-Myc protein levels in HEK293T cells transfected with zswim4-FLAG (150 ng/ml medium), cul2 (150 ng/ml medium), ELOB-FLAG (100 ng/ml medium), and ELOC-FLAG (100 ng/ml medium). n = 2. (B) SMAD-HA ubiquitination was examined in HEK293T cells co-transfected with either zswim4-FLAG (150 ng/ml medium), cul2 (150 ng/ml medium) alone or together with ELOB-FLAG (100 ng/ml medium) and ELOC-FLAG (100 ng/ml medium). The intensities of the SMAD1-HA ubiquitination bands were normalized to the responding immunoprecipitated SMAD1-HA bands. n = 2. (C) Luciferase assay was performed on HEK293T cells transfected with zswim4 and the CRL components as indicated (150 ng zswim4-FLAG/ml medium, 150 ng cul2/ml medium, 100 ng ELOB-FLAG /ml medium, and 100 ng ELOC-FLAG/ml medium) with or without BMP2 treatment (100 ng/μl). n = 3. (D, E) X. laevis embryos were injected with mRNAs as indicated (300 pg bmp mRNA/embryo, 200 pg zswim4 mRNA/embryo, 200 pg cul2 mRNA/embryo, 100 pg ELOB mRNA/embryo, 100 pg ELOC mRNA/embryo). Animal caps were dissected at stage 9 and cultured for 2 h. Quantitative RT-PCR was used to examine the expression of the BMP target genes, epiker, msx1 and xbra (D) or neural markers, sox2 and sox3 (E). n = 3. (F) Luciferase assay was performed using whole X. laevis embryos injected with indicated mRNAs to the two dorsal blastomeres at the four-cell stage. For the western blot in (A, B), n = 2, biological replicates. One representative blot is shown. n = 3. Data information: n indicates biological replicates. Error bars show mean ± standard deviation (SD). Statistical analysis was performed using an unpaired Student’s t test for (C–F). *p < 0.05, **p < 0.01, and ns indicates “not significant” (p > 0.05). Source data are available online for this figure. |
|
|
Figure 8. A schematic diagram illustrating the function of ZSWIM4 in BMP signaling.The binding of BMP ligands to their receptors induces phosphorylation of R-Smads (Smad1/5/8). The phosphorylated R-Smads interact with Smad4 to form a complex that translocates into the nucleus and activates the target genes. Zswim4 interacts with Cullin2 and Elongin B and C, forming a protein disruption complex to promote Smad1 ubiquitination and degradation in the nucleus. |
|
|
Figure EV1. Characterization of Xenopus zswim4.(A, B) Zswim4 is highly conservative among different species. Sequence alignment (A) and sequence identities (B) among X. laevis, X. tropicalis, mouse, and human ZSWIM4. (C–L) Spatial expression pattern of zswim4 in Xenopus embryos revealed by whole mount in situ hybridization. (C, D) animal pole view; (E) dorsal vegetal view; (F) lateral view with dorsal towards right; (G, H) dorsal view; (I, J) lateral view; (K, L) Transverse section of a stage 28 embryo at the levels illustrated by black lines in (I). nt neural tube, e eye, fg foregut, nc notochord. Scale bar = 250 μm. (M) Immunofluorescence staining of X. laevis embryos at stage 10 using anti-Rabbit IgG or anti-Zswim4 antibody, with dorsal side towards right. Scale bar = 200 μm. Source data are available online for this figure. |
|
|
Figure EV2. Validation of zswim4MO1 and zswim4MO2.(A) Western blot analysis of zswim4-FLAG protein in X. tropicalis embryos injected with zswim4-FLAG mRNA (60 pg/embryo) and zswim4MO1 (6 ng/embryo). β-Tubulin was used as a loading control. n = 2. One representative blot is shown. (B–E) Schematic diagram showing the zswim4MO2 binding site and the primer pair used to amplify the exon2 (B). RT-PCR was performed using the primer pair covering the zswim4 exon2, and two bands were amplified from the X. tropicalis embryos injected with zswim4MO2 (C). The two bands were recovered for Sanger sequencing. The sequencing results were aligned with wild-type zswim4 (D). The lost sequence in the lower band has 100% identity with zswim4 exon2 (E). For western blot in (A) and RT-PCR in (C), n = 2. One representative blot is shown. (F, G) Western blot analysis of endogenous Zswim4 protein in X. tropicalis embryos injected with 6 ng of zswim4MO1 or zswim4MO2. β-Tubulin was used as a loading control. Quantification of Zswim4 bands is shown in (G). n = 2. Data information: n indicates biological replicates. Source data are available online for this figure. |
|
|
Figure EV3. Generation of the zswim4 mutant frog line using CRISPR/Cas9.(A) Five sgRNAs were designed to target X. tropicalis zswim4 exon1. The start codon is marked in red. (B) Schematic diagram indicating the generation of zswim4 mutant embryos using CRISPR/Cas9. (C) T7E1 assay was performed using genomic DNA extracts from the injected or uninjected embryos. n = 2. One representative blot is shown. (D) Sanger sequencing results confirmed the mutations in the zswim4 CRISPR target region. (E) The zswim4 mutant allele with a 10-bp deletion and the putative peptide encoded by the zswim4 Δ10 mutant. Data information: n indicates biological replicates. Source data are available online for this figure. |
|
|
Figure EV4. Up-regulated zswim7 contributes to the genetic compensation in zswim4 mutant frog lines.(A) Genetic compensation was observed in zswim4F2 embryos or MZzswim4-/- embryos. After crossing two zswim4+/- or two zswim4-/-, the offsprings of stage 10 were collected for RNA extraction. The F0 embryos injected with Cas9 protein and four sgRNAs were also collected. Quantitative RT-PCR was performed to determine the gene expression of the indicated zswim family members. odc was used as the internal standard. n = 3. (B, C) WMISH showing the expression of zswim7 in X. tropicalis embryos, zswim4F2 embryos or zswim4 crispants (injected with 200 pg sgRNA plus 0.5 ng Cas9 protein/embryo). Embryos in the left column, lateral view with the dorsal side towards the right. Embryos in the right column, dorsal view. Scale bar = 1000 μm. The ratio of embryos with up-regulated expression of zswim7 is shown in (C). The numbers on the top indicate the total number of embryos. n = 3. (D, E) zswim4F2 embryos were injected with 6 ng of morpholino targeting zswim7 (z7MO) at the one- or two-cell stage, and the phenotype was examined at the later tail-bud stage (D) Scale bar = 500 μm. The ratio of defective embryos is shown in (E). The numbers on the top indicate the total number of embryos. n = 3. (F, G) X. tropicalis embryos were injected with zswim4 CRISPR/Cas9 (200 pg sgRNA plus 0.5 ng Cas9 protein/embryo) or increasing doses of zswim7 mRNA (50 pg/embryo, 100 pg/embryos). Scale bar = 500 μm. The phenotype was examined at later tail-bud stage. The numbers on the top indicate the total number of embryos. n = 3. Data information: n indicates biological replicates. Error bars show mean ± standard deviation (SD). Statistical analysis was performed using an unpaired Student’s t test for (A) and chi-squared test for (C, E, G). *p < 0.05, **p < 0.01, and ns indicates “not significant” (p > 0.05). Source data are available online for this figure. |
|
|
Figure EV5. ZSWIM4 reduces SMAD1 protein levels in the nucleus, but not in the cytosol.(A, B) Quantifications of Smad1 and p-Smad1/5/8 bands in western blot shown in Fig. 3S (A) and Fig. 3T (B). n = 2. (C, D) Quantifications of SMAD1 and p-SMAD1/5/8 bands in western blot shown in Fig. 4K (C) and Fig. 4L (D). n = 3. (E) Quantifications of endogenous Smad1 bands in western blot shown in Fig. 5C. n = 2. (F) Quantifications of SMAD1-FLAG bands in western blot shown in Fig. 5D. n = 2. (G, H) Cell fractionation was performed on HEK293T cells transfected with ZSWIM4-Myc (500 ng/ml medium) and treated with BMP4 (100 ng/μl). The cytosolic and nuclear levels of SMAD1 were assayed by western blot. GAPDH and Lamin A/C were used as the loading control for the cytosolic and nuclear proteins, respectively. Quantification of SMAD1 bands is shown in (H). n = 2. (I) Quantifications of SMAD1-HA ubiquitination bands in western blot shown in Fig. 5F. n = 2. (J) SMAD1-FLAG (400 ng/ml medium) was co-transfected with SMURF1-Myc (200 ng/ml medium) or SMURF2-Myc (200 ng/ml medium) into the ZSWIM4 mutant cell line, Z7, or wild-type HEK293T cells. The protein level of SMAD1-FLAG was examined by western blot. n = 2. One representative blot is shown. (K) Co-IP to detect the interaction between Zswim4-FLAG and endogenous Smad1 in X. laevis embryos. n = 2. One representative blot is shown. (L) Confocal imaging illustrates the co-localization of Zswim4-GFP and SMAD1-HA in the nucleus of HeLa cells treated with BMP2 (100 ng/μl) for 5 h. Scale bar = 10 μm. n = 2. One representative blot is shown. (M) Quantifications of SMAD1-Myc bands in western blot shown in Fig. 7A. n = 2. (N) Quantifications of SMAD1-HA ubiquitination bands in western blot shown in Fig. 7B. n = 2. Data information: n indicates biological replicates. Error bars show mean ± standard deviation (SD). Statistical analysis was performed using an unpaired Student’s t test for (C, D). *p < 0.05, **p < 0.01. Source data are available online for this figure. |
References [+] :
Agius, Endodermal Nodal-related signals and mesoderm induction in Xenopus. 2000, Pubmed , Xenbase
Baker, Wnt signaling in Xenopus embryos inhibits bmp4 expression and activates neural development. 1999, Pubmed , Xenbase
Bier, EMBRYO DEVELOPMENT. BMP gradients: A paradigm for morphogen-mediated developmental patterning. 2015, Pubmed , Xenbase
Bouwmeester, Cerberus is a head-inducing secreted factor expressed in the anterior endoderm of Spemann's organizer. 1996, Pubmed , Xenbase
Bradsher, RNA polymerase II transcription factor SIII. I. Identification, purification, and properties. 1993, Pubmed
Bradsher, RNA polymerase II transcription factor SIII. II. Functional properties and role in RNA chain elongation. 1993, Pubmed
De Robertis, The Chordin Morphogenetic Pathway. 2016, Pubmed , Xenbase
Dosch, Bmp-4 acts as a morphogen in dorsoventral mesoderm patterning in Xenopus. 1997, Pubmed , Xenbase
Dutta, Kctd15 inhibits neural crest formation by attenuating Wnt/beta-catenin signaling output. 2010, Pubmed , Xenbase
Ebisawa, Smurf1 interacts with transforming growth factor-beta type I receptor through Smad7 and induces receptor degradation. 2001, Pubmed
Gawantka, Antagonizing the Spemann organizer: role of the homeobox gene Xvent-1. 1995, Pubmed , Xenbase
Grzenda, Sin3: master scaffold and transcriptional corepressor. 2009, Pubmed
Guglielmi, Smad4 controls signaling robustness and morphogenesis by differentially contributing to the Nodal and BMP pathways. 2021, Pubmed
Han, A ubiquitin ligase mediates target-directed microRNA decay independently of tailing and trimming. 2020, Pubmed
Harland, Formation and function of Spemann's organizer. 1997, Pubmed
Harland, In situ hybridization: an improved whole-mount method for Xenopus embryos. 1991, Pubmed , Xenbase
Hassan, Genome-wide identification and spatiotemporal expression profiling of zinc finger SWIM domain-containing protein family genes. 2023, Pubmed , Xenbase
Heffer, Generation and characterization of Kctd15 mutations in zebrafish. 2017, Pubmed
Hemmati-Brivanlou, Ventral mesodermal patterning in Xenopus embryos: expression patterns and activities of BMP-2 and BMP-4. 1995, Pubmed , Xenbase
Inomata, Scaling of dorsal-ventral patterning by embryo size-dependent degradation of Spemann's organizer signals. 2013, Pubmed , Xenbase
Jansen, The role of the Spemann organizer in anterior-posterior patterning of the trunk. 2007, Pubmed , Xenbase
Kao, The entire mesodermal mantle behaves as Spemann's organizer in dorsoanterior enhanced Xenopus laevis embryos. 1988, Pubmed , Xenbase
Kiecker, The role of organizers in patterning the nervous system. 2012, Pubmed
Kirmizitas, Gtpbp2 is required for BMP signaling and mesoderm patterning in Xenopus embryos. 2014, Pubmed , Xenbase
Ko, ZSWIM1: a novel biomarker in T helper cell differentiation. 2014, Pubmed
Koganti, Smurfs in Protein Homeostasis, Signaling, and Cancer. 2018, Pubmed
Ma, ZC4H2 stabilizes Smads to enhance BMP signalling, which is involved in neural development in Xenopus. 2017, Pubmed , Xenbase
Ma, PTC-bearing mRNA elicits a genetic compensation response via Upf3a and COMPASS components. 2019, Pubmed
Mahrour, Characterization of Cullin-box sequences that direct recruitment of Cul2-Rbx1 and Cul5-Rbx2 modules to Elongin BC-based ubiquitin ligases. 2008, Pubmed
Makarova, SWIM, a novel Zn-chelating domain present in bacteria, archaea and eukaryotes. 2002, Pubmed
Mizuseki, Xenopus Zic-related-1 and Sox-2, two factors induced by chordin, have distinct activities in the initiation of neural induction. 1998, Pubmed , Xenbase
Murakami, Cooperative inhibition of bone morphogenetic protein signaling by Smurf1 and inhibitory Smads. 2003, Pubmed , Xenbase
Niehrs, Head in the WNT: the molecular nature of Spemann's head organizer. 1999, Pubmed
Niehrs, The complex world of WNT receptor signalling. 2012, Pubmed
Nojima, Dual roles of smad proteins in the conversion from myoblasts to osteoblastic cells by bone morphogenetic proteins. 2010, Pubmed
Pateetin, Triple SILAC identified progestin-independent and dependent PRA and PRB interacting partners in breast cancer. 2021, Pubmed
Petroski, Function and regulation of cullin-RING ubiquitin ligases. 2005, Pubmed
Plouhinec, Chordin forms a self-organizing morphogen gradient in the extracellular space between ectoderm and mesoderm in the Xenopus embryo. 2013, Pubmed , Xenbase
Ran, Genome engineering using the CRISPR-Cas9 system. 2013, Pubmed
Sander, The opposing homeobox genes Goosecoid and Vent1/2 self-regulate Xenopus patterning. 2007, Pubmed , Xenbase
Sasai, Xenopus chordin: a novel dorsalizing factor activated by organizer-specific homeobox genes. 1994, Pubmed , Xenbase
Shi, The ZSWIM8 ubiquitin ligase mediates target-directed microRNA degradation. 2020, Pubmed
Shi, Heat shock 70-kDa protein 5 (Hspa5) is essential for pronephros formation by mediating retinoic acid signaling. 2015, Pubmed , Xenbase
Smith, Expression cloning of noggin, a new dorsalizing factor localized to the Spemann organizer in Xenopus embryos. 1992, Pubmed , Xenbase
Tischfield, Loss of the neurodevelopmental gene Zswim6 alters striatal morphology and motor regulation. 2017, Pubmed
Tsukamoto, Smad9 is a new type of transcriptional regulator in bone morphogenetic protein signaling. 2014, Pubmed
Twigg, Acromelic frontonasal dysostosis and ZSWIM6 mutation: phenotypic spectrum and mosaicism. 2016, Pubmed
Varley, Expression of a constitutively active type I BMP receptor using a retroviral vector promotes the development of adrenergic cells in neural crest cultures. 1998, Pubmed
Wang, The Proto-oncogene Transcription Factor Ets1 Regulates Neural Crest Development through Histone Deacetylase 1 to Mediate Output of Bone Morphogenetic Protein Signaling. 2015, Pubmed , Xenbase
Wang, Characterization of three synuclein genes in Xenopus laevis. 2011, Pubmed , Xenbase
Wang, RNA-Seq analysis on ets1 mutant embryos of Xenopus tropicalis identifies microseminoprotein beta gene 3 as an essential regulator of neural crest migration. 2020, Pubmed , Xenbase
Wang, Developmental expression of three prmt genes in Xenopus. 2019, Pubmed , Xenbase
Wang, Kindlin2 regulates neural crest specification via integrin-independent regulation of the FGF signaling pathway. 2021, Pubmed , Xenbase
Wang, The EBAX-type Cullin-RING E3 ligase and Hsp90 guard the protein quality of the SAX-3/Robo receptor in developing neurons. 2013, Pubmed
Witteveen, Haploinsufficiency of MeCP2-interacting transcriptional co-repressor SIN3A causes mild intellectual disability by affecting the development of cortical integrity. 2016, Pubmed
Wong, Genes regulated by potassium channel tetramerization domain containing 15 (Kctd15) in the developing neural crest. 2016, Pubmed , Xenbase
Wu, A Rapid Method for Directed Gene Knockout for Screening in G0 Zebrafish. 2018, Pubmed
Zhang, Long-chain fatty acyl coenzyme A inhibits NME1/2 and regulates cancer metastasis. 2022, Pubmed
Zhang, Regulation of Smad degradation and activity by Smurf2, an E3 ubiquitin ligase. 2001, Pubmed , Xenbase
Zhao, Lrig3 regulates neural crest formation in Xenopus by modulating Fgf and Wnt signaling pathways. 2008, Pubmed , Xenbase
Zhu, A SMAD ubiquitin ligase targets the BMP pathway and affects embryonic pattern formation. 1999, Pubmed , Xenbase
Zinski, TGF-β Family Signaling in Early Vertebrate Development. 2018, Pubmed , Xenbase
