XB-ART-59961
Dev Comp Immunol
2023 Jul 01;144:104691. doi: 10.1016/j.dci.2023.104691.
Show Gene links
Show Anatomy links
Molecular cloning, tissues distribution, and function analysis of thioredoxin-like protein-1 (TXNL1) in Chinese giant salamanders Andrias davidianus.
???displayArticle.abstract???
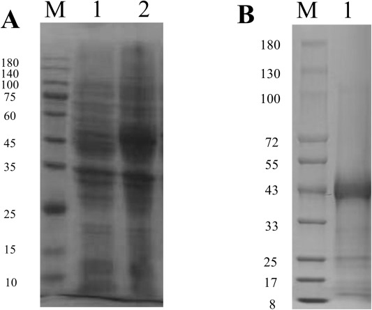
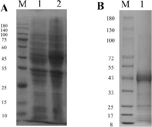
Thioredoxin-like protein-1 (TXNL1) is the member of thioredoxin superfamily, a family of thiol oxidoreductases. TXNL1 plays an important role in scavenging ROS and the maintenance of cellular redox balance. However, its physiological functions in Andrias davidianus have not been well understood. In the present study, the full-length cDNA encoding thioredoxin-like protein-1 (AdTXNL1) of A. davidianus was cloned, the mRNA tissue distribution was analyzed, and the function was characterized. The Adtxnl1 cDNA contained an open reading frame (ORF) of 870 bp encoding a polypeptide of 289 amino acids with the N-terminal TRX domain, a Cys34-Ala35-Pro36-Cys37 (CAPC) motif, and the C-terminal proteasome-interacting thioredoxin domain (PITH). The mRNA of AdTXNL1 was expressed in a wide range of tissues, with the highest level in the liver. The transcript level of AdTXNL1 was significantly up-regulated post Aeromonas hydrophila challenge in liver tissue. Moreover, the recombinant AdTXNL1 protein was produced and purified, and used to investigate the antioxidant activity. In the insulin disulfide reduction assay, rAdTXNL1 exhibited strong antioxidant capability. Altogether, the thioredoxin-like protein-1 may be involved in reduction/oxidation (redox) balance and as an important immunological gene in A. davidianus.
???displayArticle.pubmedLink??? 36967023
???displayArticle.link??? Dev Comp Immunol
Genes referenced: ins txn
???attribute.lit??? ???displayArticles.show???
