|
Figure 1
Microarray screening of organizer-mimicking Xenopus tissue. (a) Schematic diagram of cDNA microarray screening. Xenopus laevis embryos were injected with β-catenin, VegT, or β-catenin + VegT mRNAs, and animal cap tissues were then dissected at the blastula stage. Tissues were harvested at stage 11 and subjected to RNA extraction, cDNA synthesis, and microarray. (b−e) log2 (FC) of each gene by β-catenin, VegT, or β-catenin + VegT. Each graph shows bar graphs with descending order of log2 (FC) of one factor (e.g., descending orders of log2 (FC) in (b) by β-catenin, (c) by VegT, and (d, e) by β-catenin + VegT) and overlapped with the other bar graph (e.g., log2 (FC) in (b) by VegT, (c) by β-catenin, (d) by VegT and (e) by β-catenin). (f) Venn diagram showing numbers of genes upregulated or downregulated twofold by β-catenin or VegT. cDNA, complementary DNA.
|
|
Figure 2
Microarray screening to identify novel genes expressed in the organizer region. (a) Schematic flow diagram of filtering process to identify synergistically induced genes. From total microarray results, genes of FC (β-catenin + VegT) versus FC (uninjected) value < 2 were first excluded. Next, genes were excluded if FC (β-catenin + VegT) versus FC (uninjected) was less than twice the value of FC (β-catenin) versus FC (uninjected) or FC (VegT) versus FC (uninjected). Finally, the remaining genes were considered to be synergistically induced by β-catenin + VegT. (b) Plot depicting log2 (FC(Synergy) vs. FC (β-catenin or VegT)). Synergy (β-catenin + VegT) indicates that both factors are coexpressed. Red: 572 synergistically induced genes by β-catenin + VegT, Gray: 2,096 nonsynergistically induced genes. (c) RT-PCR using animal cap, dorsal, and ventral tissues to confirm dorsal expression of tmem150b.
|
|
Figure 3
Tmem150b is expressed at the Xenopus organizer region and induced by Activin/Nodal signaling. (a) AlphaFold-predicted six-transmembrane domain-containing Tmem150b and schematic figure of the structure. TMD: Transmembrane domain. (b) Temporal expression pattern of tmem150b during Xenopus development analyzed by RT-PCR. Ornithine decarboxylase (odc) was used as a loading control. (c) Whole mount in situ hybridization showing spatiotemporal expression pattern of tmem150b. Ani.: animal pole, Veg.: vegetal pole, V: ventral, D: dorsal, bl: blastopore lip, cm: chordamesoderm, Ant.: anterior, Post.: posterior, no: notochord. (d) RT-PCR analysis of specific regions of embryos demonstrating dorsal-specific expression of tmem150b. WE: whole embryo, -RT: without reverse transcriptase, AC: animal cap. odc was used as a loading control. (e) In situ hybridization of tmem150b in bisected gastrula. bc: blastocoel, dbpl: dorsal blastopore lip, arc: archenteron, vbpl: ventral blastopore lip. (f) RT-PCR analysis of animal cap tissues treated with hActivin protein or microinjected with xnr1, bmp4, and wnt8 mRNAs. Animal cap tissues were treated with 16.66 ng/ml hActivin in 1xMMR. Two hundred pg xnr1 mRNA, 50 pg wnt8 mRNA, and 500 pg bmp4 mRNA were microinjected into the animal sides of blastomeres at the four-cell stage. The housekeeping gene odc was used as a loading control. (g) Animal cap tissues were treated with hActivin protein or microinjected with xnr1 mRNA using the same dosage as described previously. Three ng DN-smad2 mRNA was injected/coinjected into the animal sides of blastomeres at the four-cell stage.
|
|
Figure 4
Tmem150b depletion results in head defects and shortened axes. (a) Design of 25 bp MO and MO-insensitive open reading frame (ORF) of tmem150b. (b) MO rescue assay by western blot. CoMO (40 ng) or MO (40 ng) was microinjected into the dorsal region of embryos at the four-cell stage. HA-tagged tmem150b mRNAs were coinjected. Actin was used as a loading control. (c) Representative knockdown phenotype of Xenopus laevis tadpoles (stage 27). MOs with or without tmem150b mRNA ORF were injected on the dorsal side of eight-cell stage embryos. Forty ng tmem150b MO and fifty pg tmem150b mRNA were coinjected. Scale bar, 1 mm. (d) Quantification of phenotypes shown in (c). “Defect” represents small head with shortened and bent axis. “Etc.” represents gastrulation defects, neural tube defects, and tissue dissociation. Forty ng MO and fifty pg or one hundred pg mRNA were injected as shown in (c). (e−f) qRT-PCR analysis using whole embryos or DMZ tissues harvested at stage 11. *p < 0.05, **p < 0.01, ***p < 0.001, Student's t-test. N, number of embryos.
|
|
Figure 5
Tmem150b antagonizes BMP signaling. (a) RT-PCR analysis using BMP signaling-induced animal caps injected with bmp4 mRNA in the animal region of four-cell stage embryos. Five hundred pg bmp4 mRNA and 16 pg or 32 pg of tmem150b mRNA were injected. (b) Western blot analysis of animal cap tissues. Five hundred pg bmp4 mRNA and 100 pg or 200 pg tmem150b mRNA were injected into animal blastomeres at the four-cell stage and harvested at stage 11. (c) Western blot analysis of VMZ (ventral marginal zone) and DMZ (dorsal marginal zone) tissues of stage 11 embryos. Twenty ng or 40 ng tmem150b MO and 100 pg of tmem150b mRNA were injected into the dorsal marginal region in four-cell-stage embryos. (d) BRE reporter assay in animal cap tissues. Five hundred pg bmp4 mRNA, 500 pg DNBR mRNA, 250 pg, or 500 pg tmem150b mRNA were injected separately. *p < 0.05, **p < 0.01, ***p < 0.001, Student's t-test. (e) qRT-PCR analysis of animal cap tissues microinjected with DNBR (1.6 ng) or tmem150b (600 pg) mRNAs. (a, d, e) *p < 0.05, **p < 0.01, ***p < 0.001, ns: not significant, Student's t-test. (f) Co-IP of Tmem150b with various hALK2 mutants in HEK293T cells transfected with the indicated plasmids.
|
|
Figure 6
Tmem150b attenuates BMP signaling. Activin/Nodal signaling induces Tmem150b. Tmem150b interacts with the BMP receptor ALK2 and negatively regulates BMP signaling. BMP, bone morphogenetic protein.
|
|
Figurementary Figure 1: Verification of microarray result using qRT-PCR. Xenopus laevis embryos were injected with β-catenin, or β-catenin + VegT mRNAs, and animal cap tissues were then dissected at the blastula stage. Tissues were harvested at stage 11 and subjected to qRT-PCR. The rank of genes in the top 50 gene list and their corresponding gene names are displayed.
|
|
Figurementary Figure 2: Six conserved Tmem150b transmembrane domains across vertebrate species. a Tmem150b amino acid sequences of Xenopus laevis, Xenopus tropicalis, human, mouse, and zebrafish were aligned. Yellow box: transmembrane domain. b AlphaFold prediction of Tmem150b structure in four species, Xenopus laevis, Xenopus tropicalis, human, and mouse. Transmembrane domains are indicated in the form of alpha helices. Colors indicate model confidence (per-residue confidence score 0–100). Deep blue: very high (▒>▒90), sky blue: confident (90–70), yellow: low (70–50), and orange: very low (▒<▒50).
|
|
Figurementary Figure 3: Tmem150b morphants phenotypes and reduction of dorsal mesodermal markers. a-d Dose-response of tmem150b MO. b Quantification of phenotypes shown in a. ‘Defect’ represents delayed gastrulation and opened blastopore. d Quantification of phenotypes shown in c. ‘Defect’ represents small head with shortened axis. ‘Etc.’ represents gastrulation defect, neural tube closure defect, and tissue dissociation. e Design of 25▒bp splicing-blocking MO which binds to the sequence spanning intron 1 and exon 2. f Representative knockdown phenotypes of Xenopus laevis tadpoles (stage 27). 5 mismatch MO was injected at a dose of forty ng. 160▒ng of splicing-blocking MO was injected. All materials were injected at dorsal side of eight-cell stage embryos. Scale bar, 1▒mm. g Quantification of phenotypes shown in f. ‘Defect’ represents small head with shortened and bent axis. ‘Etc.’ represents gastrulation defects, neural tube defects, and tissue dissociation. N = number of embryos. h Whole mount in situ hybridization showing expression of chordin, goosecoid, xbra, and cerberus. Images of bisected embryos are presented. The injected amount of MO and mRNA is consistent with previous experiments. V: ventral, D: dorsal. Scale bar, 1▒mm. i Quantification of the results shown in h. N = number of embryos.
|
|
Figurementary Figure 4: ARE reporter assay in animal cap tissues. Two hundred and fifty pg, or five hundred pg tmem150b mRNA were injected separately. Fifty μg hActivin protein was added in 1x MMR. *p▒<▒0.05, **p▒<▒0.01, ***p▒<▒0.001, ns: not significant, Student's t-test.
|
|
Figurementary Figure 5: Subcellular localization of Tmem150b. tmem150b-HA mRNA was microinjected at the dorsal marginal zone (DMZ) of four-cell stage embryos. Confocal microscopy images were obtained at the stage 11 DMZ. DAPI: nuclear staining.
|
|
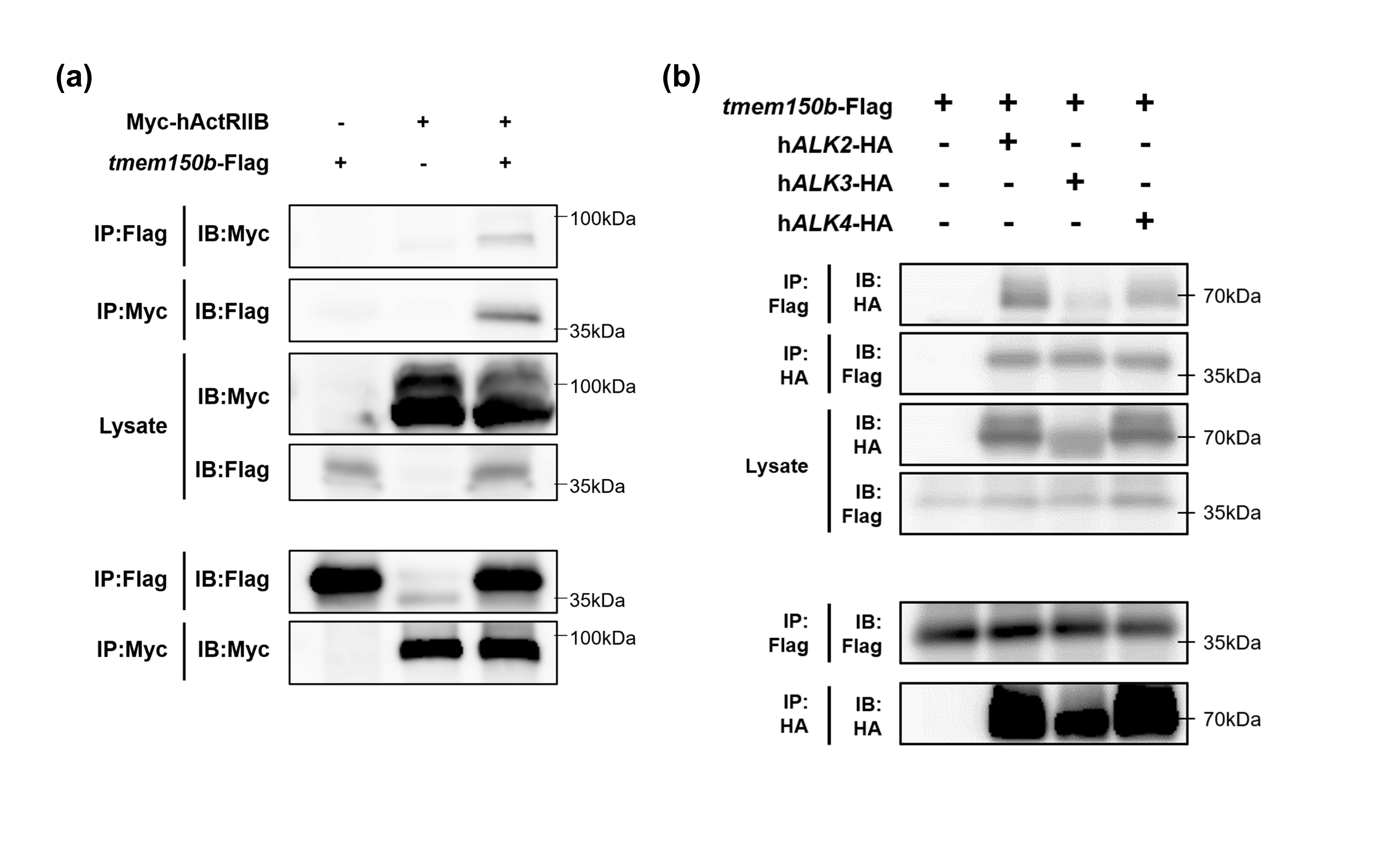
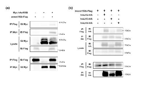
Figurementary Figure 6: Co-IP of Tmem150b with human ActRIIB and human ALK2/3/4. a Co-IP of Flag tagged Tmem150b with Myc tagged hActRIIB in HEK293T cells. b Co-IP of Flag tagged Tmem150b with HA tagged hALK2, hALK3 and hALK4 in HEK293T cells.
|