|
Fig 1. Spatiotemporal expression of fbl, ncl, and ubtf in Xenopus laevis during development.
A, fbl, ncl, and ubtf mRNAs were detected in X. laevis during development by whole mount in situ hybridization (WISH). The stages and, where relevant, the animal and vegetal poles are indicated. The schematics highlight the labeled structures at stage 18 (neurulation) and at stages 25â32 (organogenesis). NCCs, neural crest cells; H, hindbrain; M, midbrain; E, eyes; P, pronephros; BA, branchial arches. B, fbl expression was analyzed by RT-qPCR in animal cap explants injected either with noggin (to induce differentiation to neural tissue detected with sox3) or with noggin and wnt8 (to stimulate differentiation to neural crest tissue detected with slug). Non-induced (non-injected) cap explants naturally differentiate to epiderm detected with krt12. As a control, expression of the inspected genes was normalized to gapdh. fbl was most abundantly expressed in neural crest tissue. C, Spatial distribution of fbl mRNAs established by WISH in E14.5 mouse embryos. The schematics indicate the orientation of the section plane (dashed line). v, vibrissae; m, mesenchyma; c, primordium of mandibular cartilage; r, retina; sm, submandibular glands.
|
|
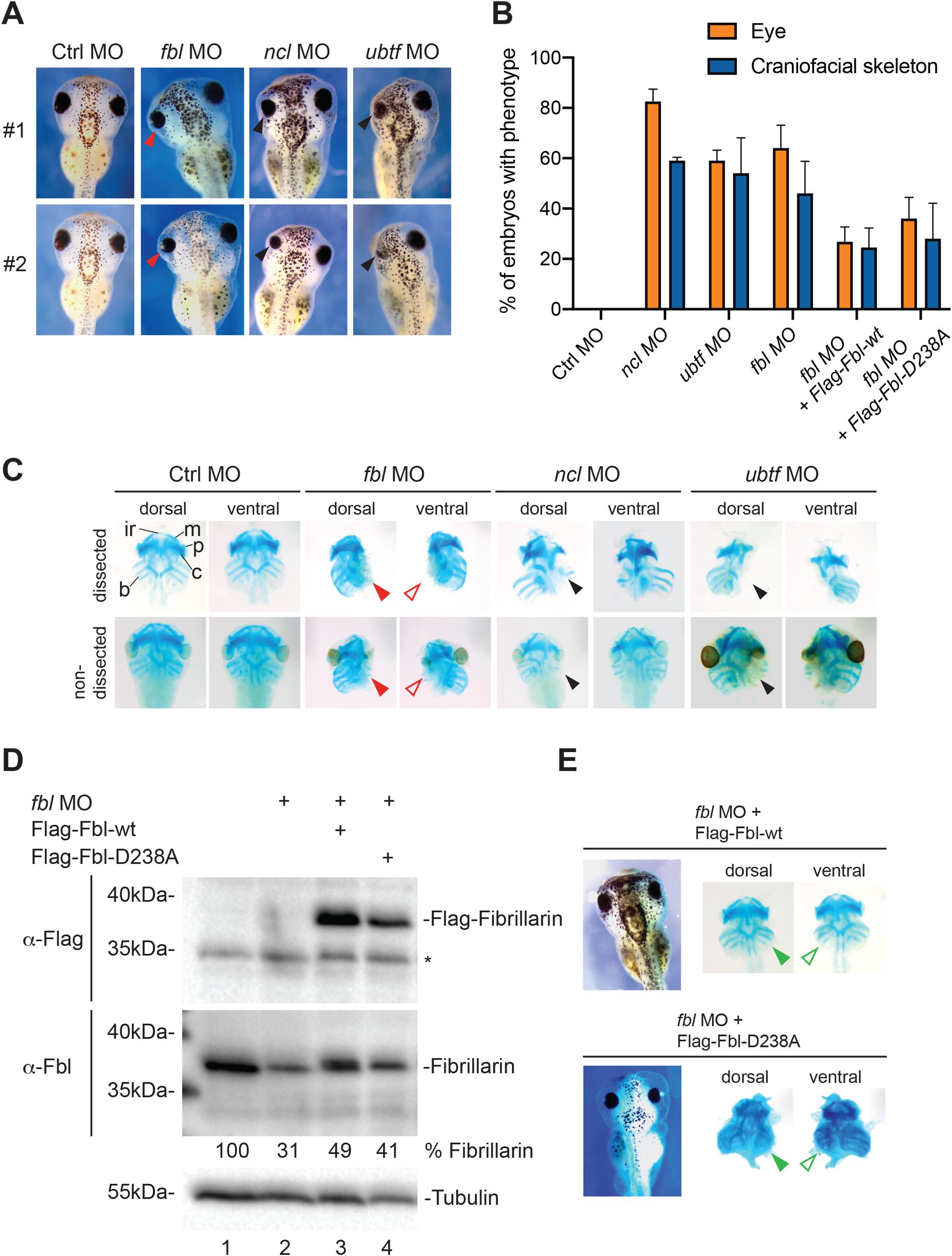
Fig 2. Morphological defects during Xenopus laevis development upon Fbl, Ncl, or Ubtf depletion.
A, Embryos injected unilaterally at the two-cell stage with the indicated morpholino (MO) were inspected under the microscope at stage 42. As a control, a non-targeting morpholino (Ctrl) was used. Two embryos are presented (#1 and #2), with the left side injected. With the Ctrl morpholino and those targeting ubtf, and ncl expression, two independent experiments were performed, the total number of embryos tested being 100, 94 and 77, respectively. With the morpholino targeting fbl expression, a total of 154 embryos were analyzed in three independent experiments. B, Quantification of the data presented in panels A and E. Percentage of embryos displaying reduced eye size, or craniofacial skeleton defects (head asymmetry). C, Cartilage staining with alcian blue revealed a defect in all the branchial cartilages, namely: ir, infrarostral; m, meckel; p, palatoquadrate; c, ceratohyal; b, other branchial cartilages. Non-dissected and dissected embryos are presented for comparison. Arrowheads highlight striking reduction, or near-complete loss of the branchial arches. D, Western blot analysis of Fbl-depleted and rescued morphants. Total protein was extracted from individual neurula embryos; one embryo equivalent was loaded per lane. The blots were probed with an anti-Flag antibody (top panel) or an anti-Fbl antibody (bottom panel). The anti-Flag antibody detects only the rescue constructs (Flag-Fbl-wt or Flag-Fbl-D238A). The asterisk (*) denotes detection of an aspecific band. The anti-Fbl antibody detects both the endogenous protein and the rescue constructs. The percentage of Fbl expressed with respect to the uninjected control is indicated. The western blots displayed are representative of four independent experiments. As loading control, the blots were probed for alpha-tubulin. E, Both the wild-type Flag-Fbl and the catalytically deficient Flag-Fbl-D238A restored formation of branchial arches to about half the normal size. Representative example of an embryo co-injected with fbl MO and either a MO-resistant wild-type rescue construct (top) or the same construct harboring the D238A mutation (bottom). A total of 77 and 65 embryos were analyzed in two independent experiments with the Flag-Fbl-wt and Flag-Fbl-D238A construct, respectively.
|
|
Fig 3. The distribution of developmental markers is affected upon Fbl depletion in Xenopus laevis.
A, Expression patterns of a series of representative developmental markers established by WISH in embryos asymmetrically depleted of Fbl. The embryos were observed at the neurula stage (stages 15â18) or at organogenesis (early tadpole, stage 32). ep, epidermis; np, neural plate; npb, neural plate border; ba, branchial arches; nc, neural crest; ot, otic placode; mhj, midbrain-hindbrain junction; Ip, lens placode; b, brain; e, eye; pn, pronephros; tg, trigeminal placode; p1, V1 interneuron progenitors of the spinal cord. The injected side of each embryo was identified by co-injecting lacZ mRNA. B, The altered distribution of twist and pax6 transcripts, observed upon Fbl depletion, was restored by co-injecting embryos with MO and an mRNAs encoding the wild-type protein (Flag-Fbl-wt) or the D238A (Flag-Fbl-D238A) mutant. Legend as in panel A. The injected side of the embryos was identified by co-injecting lacZ mRNA. In panels A and B, the penetrance of the phenotype (number of embryos with reduced expression of the marker vs. the total number of observed embryos) is indicated at the bottom right of each panel. C, Detection of apoptotic DNA fragmentation by TUNEL. Embryos were unilaterally injected with fbl MO alone or together with p53 MO. As controls, embryos were injected with a Ctrl MO or with a transcript encoding DMRT5, known to promote apoptosis. The number of embryos with increased apoptosis vs. the total number of observed embryos is indicated.
|
|
Fig 4. RiboMethSeq analysis of Xenopus 18S, 5.8S, and 28S rRNAs.
The methylation status of rRNAs was investigated systematically by RiboMethSeq at six developmental stages (stages 2, 10, 16, 23, 32, and 45). At each stage, RNA extracted from four individual embryos was sequenced independently. X axis, modified nucleotides. Y axis, methylation scores (see S1 and S2 Tables for values). In bold, positions hypomodified at all stages (using a cut-off of 0.75). Inset, representative pictures of embryos at each analyzed stage are displayed.
|
|
Fig 5. Orthogonal validation by low dNTP primer extension analysis of newly identified 2’-O methylated positions on Xenopus 28S rRNA.
Low dNTP primer extension has proved efficient for specifically detecting 2’-O methylated nucleotides [61]. Total RNA extracted from stage 23 X. laevis embryos was analyzed by primer extension using regular or low dNTP conditions with sixteen oligonucleotides (LD4277 to LD4292) designed to survey 23 positions on the 28S rRNA. A position was confirmed when the signal obtained with low-concentration dNTP was higher than that observed with the regular concentration. The analysis confirmed all 23 positions inspected (highlighted by red squares). Note that position 3501 was confirmed twice, once with oligonucleotide LD4288 and once with LD4289.
|
|
S1 Fig. RT-PCR analysis of fbl, ubtf, and ncl expression during X. laevis development.
Total RNA extracted from embryos at the indicated stages was analyzed by RT-PCR using amplicons specific to fbl, ubtf, or ncl transcripts (see Materials and Methods).
https://doi.org/10.1371/journal.pgen.1010012.s001
|
|
S2 Fig. Relative retinal pigmented epithelium (RPE) area of data presented in Fig 2A.
Relative retinal pigmented epithelium (RPE) area (Kolmogorov-Smirnov test, **** = p<0.0001, ** = p<0.01).
https://doi.org/10.1371/journal.pgen.1010012.s002
|
|
S3 Fig. Conservation of fibrillarin residues important for methyltransferase function.
The residue mutated in this work (D238 in Xenopus laevis) is highlighted in red in both panels. In the atomic resolution structure of Archaeoglobus fulgidus fibrillarin-Nop5 complex bound to its cofactor and methyl donor S-adenosyl-L-methionine (AdoMet), it was shown that Asp-133 (equivalent to Xenopus laevis D238) is situated within 3.5 Ã
of the thiomethyl carbon of the bound AdoMet, implying that it plays a role as a catalytic residue [48]. When this residue was mutated to an alanine, the methylation activity of the complex was indeed totally abolished in an in vitro methylation assay [49]. It has been suggested that Asp-133 in fibrillarin may act as a general base by deprotonating the 2â-OH group of the target RNA during catalysis. It has further been suggested that Asp-133 may also facilitate cofactor binding through favorable electrostatic interactions [48,49]. A, 3-D model of the catalytic pocket of human fibrillarin (based on PDB 2ipx). D238 (in red, Xenopus numbering) is directly adjacent to the AdoMet (stick representation) with the methyl group to be transferred from the cofactor to the RNA substrate represented in pink. B, Multiple alignment between fibrillarin proteins of different origins (HUMAN, Homo sapiens; XENLA; Xenopus laevis; YEAST, Saccharomyces cerevisiae; ARCFU, Archaeoglobus fulgidus; PYRFU, Pyrococcus furiosus; and METJA, Methanocaldococcus jannaschii). Residues highlighted in blue and red (K/D/K) are absolutely conserved and correspond to the catalytic triad. The D residue in this triad is the residue mutated in this work. Bold, residues important for SAM binding. Asterisks, residues identical across all six species examined. Sequences were aligned with CLUSTAL.
https://doi.org/10.1371/journal.pgen.1010012.s003
|
|
S4 Fig. Xenopus fibrillarin is required for small ribosomal subunit synthesis.
Total RNA extracted from stage 32 embryos injected into each cell at the 2-cell stage with fbl MO or with a non-targeting MO (Ctrl) was separated on denaturing agarose gel and processed for northern blotting with radioactively-labeled probes designed to detect pre-rRNA precursors. As a control, non-injected embryos were used. A, Ethidium-bromide-stained gel. Note that the mature 18S and 28S rRNAs appear as doublets, as previously described [83]. B, Northern blot analysis of pre-rRNA intermediates detected with probes specific to the 5â-ETS, the ITS1, and mature 18S rRNA (see panel C). C, Processing pathway in Xenopus [38]. Cleavage sites (Aâ to 5) are indicated. The probes used in the northern blotting (panel B) are highlighted in color.
https://doi.org/10.1371/journal.pgen.1010012.s004
|
|
S5 Fig. Clustering analysis illustrates the robustness of the RiboMethSeq data.
At each of the six developmental stages analyzed, four individual embryos were tested. Clustering of the RiboMethSeq analysis (here shown only for the 18S and 5.8S rRNA modifications; the same result was observed with 28S rRNA modifications) illustrates the remarkable robustness of our dataset. The staged embryos analyzed are depicted.
https://doi.org/10.1371/journal.pgen.1010012.s005
|
|
fbl (fibrillarin) gene expression in Xenopus laevis embryo, via in situ hybridization, NF stage 4, animal view.
|
|
fbl (fibrillarin) gene expression in Xenopus laevis embryo, via in situ hybridization, NF stage 4, vegetal view.
|
|
fbl (fibrillarin) gene expression in Xenopus laevis embryo, via in situ hybridization, NF stage 11, animal view.
|
|
fbl (fibrillarin) gene expression in Xenopus laevis embryo, via in situ hybridization, NF stage 11, vegetal view.
|
|
fbl (fibrillarin) gene expression in Xenopus laevis embryo, via in situ hybridization, NF stage 18, dorsal view, anterior left.
|
|
fbl (fibrillarin) gene expression in Xenopus laevis embryo, via in situ hybridization, NF stage 25, lateral view, anterior right, dorsal up.
|
|
fbl (fibrillarin) gene expression in Xenopus laevis embryo, via in situ hybridization, NF stage 32, lateral view, anterior right, dorsal up.
|
|
ncl (nucleolin) gene expression in Xenopus laevis embryo, via in situ hybridization, NF stage 4, animal view.
|
|
ncl (nucleolin) gene expression in Xenopus laevis embryo, via in situ hybridization, NF stage 4, vegetal view.
|
|
ncl (nucleolin) gene expression in Xenopus laevis embryo, via in situ hybridization, NF stage 10, animal view.
|
|
ncl (nucleolin) gene expression in Xenopus laevis embryo, via in situ hybridization, NF stage 11, vegetal view.
|
|
ncl (nucleolin) gene expression in Xenopus laevis embryo, via in situ hybridization, NF stage 18, dorsal view, anterior left.
|
|
ncl (nucleolin) gene expression in Xenopus laevis embryo, via in situ hybridization, NF stage 25, lateral view, anterior right, dorsal up.
|
|
ncl (nucleolin) gene expression in Xenopus laevis embryo, via in situ hybridization, NF stage 32, lateral view, anterior right, dorsal up.
|
|
ubtf (upstream binding transcription factor) gene expression in Xenopus laevis embryo, via in situ hybridization, NF stage 4, animal view.
|
|
ubtf (upstream binding transcription factor) gene expression in Xenopus laevis embryo, via in situ hybridization, NF stage 4, vegetal view.
|
|
ubtf (upstream binding transcription factor) gene expression in Xenopus laevis embryo, via in situ hybridization, NF stage 10, animal view.
|
|
ubtf (upstream binding transcription factor) gene expression in Xenopus laevis embryo, via in situ hybridization, NF stage 10, vegetal view.
|
|
ubtf (upstream binding transcription factor) gene expression in Xenopus laevis embryo, via in situ hybridization, NF stage 18-19, dorsal view, anterior left.
|
|
ubtf (upstream binding transcription factor) gene expression in Xenopus laevis embryo, via in situ hybridization, NF stage 26, lateral view, anterior right.
|
|
|