Click here to close
Hello! We notice that you are using Internet Explorer, which is not supported by Xenbase and may cause the site to display incorrectly.
We suggest using a current version of Chrome,
FireFox, or Safari.
Genes (Basel)
2021 Nov 24;1212:. doi: 10.3390/genes12121862.
Show Gene links
Show Anatomy links
Identification of ZBTB26 as a Novel Risk Factor for Congenital Hypothyroidism.
Vick P
,
Eberle B
,
Choukair D
,
Weiss B
,
Roeth R
,
Schneider I
,
Paramasivam N
,
Bettendorf M
,
Rappold GA
.
???displayArticle.abstract???
Congenital primary hypothyroidism (CH; OMIM 218700) is characterized by an impaired thyroid development, or dyshormonogenesis, and can lead to intellectual disability and growth retardation if untreated. Most of the children with congenital hypothyroidism present thyroid dysgenesis, a developmental anomaly of the thyroid. Various genes have been associated with thyroid dysgenesis, but all known genes together can only explain a small number of cases. To identify novel genetic causes for congenital hypothyroidism, we performed trio whole-exome sequencing in an affected newborn and his unaffected parents. A predicted damaging de novo missense mutation was identified in the ZBTB26 gene (Zinc Finger A and BTB Domain containing 26). An additional cohort screening of 156 individuals with congenital thyroid dysgenesis identified two additional ZBTB26 gene variants of unknown significance. To study the underlying disease mechanism, morpholino knock-down of zbtb26 in Xenopus laevis was carried out, which demonstrated significantly smaller thyroid anlagen in knock-down animals at tadpole stage. Marker genes expressed in thyroidtissue precursors also indicated a specific reduction in the Xenopus ortholog of human Paired-Box-Protein PAX8, a transcription factor required for thyroid development, which could be rescued by adding zbtb26. Pathway and network analysis indicated network links of ZBTB26 to PAX8 and other genes involved in thyroid genesis and function. GWAS associations of ZBTB26 were found with height. Together, our study added a novel genetic risk factor to the list of genes underlying congenital primary hypothyroidism and provides additional support that de novo mutations, together with inherited variants, might contribute to the genetic susceptibility to CH.
Figure 1. Identified variants in the ZBTB26 gene and IPA Network analysis with known CH genes. (A) Sequence of trio with unaffected parents and affected child. Sanger sequencing in index case demonstrates a de novo variant c.224A>G in the ZBTB26 gene which was not present in the unaffected parents. (B) Ingenuity (IPA) Network analysis. Known genes from the literature (in blue color) underlying congenital primary hypothyroidism were analyzed using the IPA network analysis. The newly identified ZBTB26 gene was added to predict functional connections in the context of known protein networks. ZBTB26 and PAX8, both located in the nucleus, are highlighted in yellow. They are connected via NKX2-1 and UBEI. BOREALIN is also called CDCA8.
Figure 2. zbtb26 has a conserved role in amphibian thyroid development.
(A,B) Developmental expression of zbtb26 mRNA in the thyroid anlage of the frog X. laevis. Transcripts in the head are detected ventrally in the medial ((A,B), black arrowheads) and ventro-lateral pharyngeal mesenchyme (white arrowheads) of stage 32 (A,A) and stage 37 (B,B). Plane of sections in (A,B) are indicated by dashed lines in (A,B); magnified areas in (A,B) are indicated by dashed boxes in (A,B). (CE) pax2 expression in the thyroid anlage of stage 39 embryos is reduced by zbtb26 knockdown. Thyroid anlage is highlighted by arrowheads. zbtb26-MO-injected specimens showed reduced or lost expression of pax2 in the thyroid (D,D,E) compared to control embryos (C,C,E). This could be rescued by co-injection of full-length zbtb26 mRNA (E). Please note apparently more robust pax2-expression in zbtb26 mRNA-alone injected specimens (E). (FI) Loss of zbtb26 negatively affects development of the thyroid. Examples of paraffin-sections of control embryo (F) or specimens after knockdown of zbtb26 (G,H) with paired early thyroids highlighted by blue dotted circles. Please note the strongly reduced rightthyroid anlage in (G) and the lost left anlage in (H). Dot plot of quantification of single thyroids showing significantly reduced average size in morphants versus controls (I). A, anterior; cg, cement gland; co, control; D, dorsal; ey, eye; me, mesencephalon; no, notochord; n.s., not significant; nt, neural tube; ph, pharynx; P, posterior; rh, rhombencephalon, R, right; st., stage; and V, ventral. Sample numbers indicated in brackets (in (E), embryos; in (I), left or right side of thyroid anlage). ** p < 0.01, *** p < 0.001.
Figure S1. zbtb26 has a conserved role in amphibian thyroid development.
(A, B) Later expression of zbtb26 mRNA in thyroid tissues of st. 42 (A) and st. 45 (B) Xenopus tadpoles. Expression can still be found in the split lateralthyroid (A-B, black arrowheads). Planes of section in A and B are indicated by dashed lines in A and B, respectively; magnified area in A and B is indicated by dashed boxes in A and B, respectively; thyroid anlage highlighted by doted circles in A and B. (B-D) Other thyroid markers are not influenced by zbtb26 knockdown. Knockdown of zbtb26 has no significant impact on the expression of foxD3, hhex or nkx2.1 in the thyroid anlage (C). Mid-sagittal sections illustrating overlap of expression of pax2 (D) and zbtb26 (E) mRNA in the thyroid anlage of st. 37.
A, anterior; cg, cement gland; co, control; d, dorsal; ey, eye; n.s., not significant; ph, pharynx; P, posterior; Rh, rhombencephalon; st., stage; V, ventral. Sample numbers indicated in brackets (number of embryos in C and F). *p<0.05, **p<0.01, ***p<0.001
[see next image for Fig. S1 F panel]
Figure S1. zbtb26 has a conserved role in amphibian thyroid development [continued]
(F) Unilateral loss of zbtb26 negatively affects development of the thyroid anlage in the morphant half of the embryos. Dot plot of size ratios of the two thyroid anlagen of one embryo. Quantification shows significantly reduced size of morphant versus control side in unilaterally injected embryos (right) but not right versus left sides in control embryos (left). A, anterior; cg, cement gland; co, control; d, dorsal; ey, eye; n.s., not significant; ph, pharynx; P, posterior; Rh, rhombencephalon; st., stage; V, ventral. Sample numbers indicated in brackets (number of embryos in C and F). *p<0.05, **p<0.01, ***p<0.001
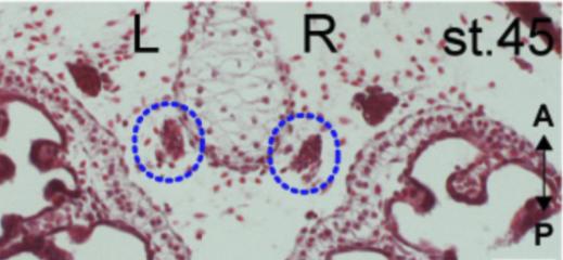
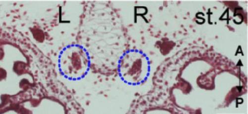
Histological section through pharyngeal region of a X. laevis embryo at NF stage 45, showing normal appearance of left (L) and right (R) thyroid gland primoridum, circled in blue.
zbtb26 (zinc finger and BTB domain containing 26) gene expression in X. laevis embryo, assayed via in situ hybridization at NF stage 32, lateral view, anteriorright, dorsal up, and in transverse sections as indicted.
Arrow heads point to pharyngeal mesenchyme.
zbtb26 (zinc finger and BTB domain containing 26) gene expression in X. laevis embryo, assayed via in situ hybridization at NF stage 42, lateral view, anteriorright, dorsal up, and in transverse sections as indicted. Arrow heads point to thyroid primordia
zbtb26 (zinc finger and BTB domain containing 26) gene expression in X. laevis embryo, assayed via in situ hybridization at NF stage 45, lateral view, anteriorright, dorsal up, and in transverse sections as indicted. Arrow heads point to thyroid primordia
Amendola,
A mouse model demonstrates a multigenic origin of congenital hypothyroidism.
2005, Pubmed
Amendola,
A mouse model demonstrates a multigenic origin of congenital hypothyroidism.
2005,
Pubmed
BERNHEIM,
[The role of genetic factors in the development of congenital myxedema].
1955,
Pubmed
Bettendorf,
Thyroid disorders in children from birth to adolescence.
2002,
Pubmed
Carré,
Mutations in BOREALIN cause thyroid dysgenesis.
2017,
Pubmed
Cheng,
ZBTB Transcription Factors: Key Regulators of the Development, Differentiation and Effector Function of T Cells.
2021,
Pubmed
Choukair,
Identification of Transient Receptor Potential Channel 4-Associated Protein as a Novel Candidate Gene Causing Congenital Primary Hypothyroidism.
2020,
Pubmed
,
Xenbase
El-Hodiri,
Xenopus laevis FoxE1 is primarily expressed in the developing pituitary and thyroid.
2005,
Pubmed
,
Xenbase
Grim,
Thyroid histopathology assessments for the amphibian metamorphosis assay to detect thyroid-active substances.
2009,
Pubmed
,
Xenbase
Heller,
Xenopus Pax-2/5/8 orthologues: novel insights into Pax gene evolution and identification of Pax-8 as the earliest marker for otic and pronephric cell lineages.
1999,
Pubmed
,
Xenbase
Hollemann,
Xnkx-2.1: a homeobox gene expressed during early forebrain, lung and thyroid development in Xenopus laevis.
2000,
Pubmed
,
Xenbase
Macchia,
PAX8 mutations associated with congenital hypothyroidism caused by thyroid dysgenesis.
1998,
Pubmed
Rankin,
A gene regulatory network controlling hhex transcription in the anterior endoderm of the organizer.
2011,
Pubmed
,
Xenbase
Ravasi,
An atlas of combinatorial transcriptional regulation in mouse and man.
2010,
Pubmed
Rolland,
A proteome-scale map of the human interactome network.
2014,
Pubmed
Schneider,
NIH Image to ImageJ: 25 years of image analysis.
2012,
Pubmed
Stoupa,
Update of Thyroid Developmental Genes.
2016,
Pubmed
Stoupa,
New genetics in congenital hypothyroidism.
2021,
Pubmed
van Trotsenburg,
Congenital Hypothyroidism: A 2020-2021 Consensus Guidelines Update-An ENDO-European Reference Network Initiative Endorsed by the European Society for Pediatric Endocrinology and the European Society for Endocrinology.
2021,
Pubmed
Wang,
Retinoic acid is a key regulatory switch determining the difference between lung and thyroid fates in Xenopus laevis.
2011,
Pubmed
,
Xenbase
Warrington,
Maternal and fetal genetic effects on birth weight and their relevance to cardio-metabolic risk factors.
2019,
Pubmed
Zorn,
Vertebrate endoderm development and organ formation.
2009,
Pubmed
,
Xenbase