Click here to close
Hello! We notice that you are using Internet Explorer, which is not supported by Xenbase and may cause the site to display incorrectly.
We suggest using a current version of Chrome,
FireFox, or Safari.
Comp Med
2021 Dec 01;716:512-520. doi: 10.30802/AALAS-CM-21-000061.
Show Gene links
Show Anatomy links
Degenerative Osteoarthropathy in Laboratory Housed Xenopus (Silurana) tropicalis.
Zhang M
,
Wilson SS
,
Casey KM
,
Thomson PE
,
Zlatow AL
,
Langlois VS
,
Green SL
.
???displayArticle.abstract???
In this case study, 15 adult laboratory Xenopus (Silurana) tropicalis (7 adult males and 8 adult females) were examined for nodular enlargements of the clawed digits (digits 0, I, II, and III) on the hind feet. Radiographs showed smoothly margined, rounded, peripherally mineralized lesions arising from the distal phalanges of digits 0-III with osteoproductive and osteolytic components in all frogs. Micro computed tomography (microCT) scans further revealed interphalangeal (IP), metacarpophalangeal (MCP), and metatarsophalangeal (MTP) joint osteoarthritis characterized by periarticular new bone formation, rounded mineral foci both peripherally and centrally within the joints, and more rarely, linear mineralization palmar/plantar to the joints in the flexor tendons. In the nonclawed digits, the shape of the distal phalanx was variably distorted and both subluxation and malangulation of IP joints were identified. Histologically, nodules corresponded to a peripheral rim of mature cortical bone surrounding central adipose tissue, scattered hematopoietic elements, and residual bone of the distal phalanx. Occasionally, the peripheral rim of cortical bone extended proximally to encompass the distal aspect of adjacent phalanx. MCP, MTP and IP joint spaces of most digits exhibited widespread osteoarthritis characterized by periarticular cartilaginous or osseous metaplasia, bony remodeling, and less frequently, granulomatous osteomyelitis. Nutritional analyses of the feed did not indicate imbalances nor were the lesions consistent with metabolic bone disease. The exact etiopathogenesis of these lesions is unknown; however, we hypothesize that the osteoarthritic changes are due to a combination of the frogs' mature age, the unique structure of the Xenopus spp. claw, genetics and biomechanical forces on the digits and distal phalanges of the hind feet.
???displayArticle.pubmedLink???
34794532
???displayArticle.pmcLink???PMC8718621 ???displayArticle.link???Comp Med
Figure 1. The gross figures of the feet of affected frogs. Four X. tropicalis displaying nodules on the distal aspects of the digits of the hindlimbs (A-D). The bone anatomy of a normal hindlimb (E). The normal X. tropicalis hind foot is characterized by: digit 0 shown in black, metatarsals in pink, tibiae in sky blue, fibulae in blue, first phalanx (P1) in green, second phalanx (P2) in purple, third phalanx (P3) in yellow, fourth phalanx (P4) in royal blue (on digit IV). Claws are only present on digits 0, I, II, and III. Note the normal, triangular-shaped distal phalanx. Hind foot dia- gram demonstrating which digits are the most affected (F). Seven frogs submitted directed to Stanford Necropsy Laboratory displayed nodules on the distal end of digits 0, I, II, III of the hindlimbs. None of the frogs displayed nodules on digits IV or V.
Figure 2. Dorsoventral (A1), ventrodorsal (A2), and ventrodorsal oblique (A3) inverted-grayscale radiographs of the left hind foot. Dor- soventral (B1), ventrodorsal oblique (B2), ventrodorsal (B3) inverted- grayscale radiographs of the right hind foot of an affected X. tropicalis. Smoothly margined, rounded peripherally mineralized lesions are pre- sent on the distal aspects of digits 0, I, II, and III. Note the malangulation of P4 and P3 on digit IV. Note the malangulation of P3 and P2 on digit V.
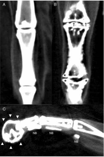
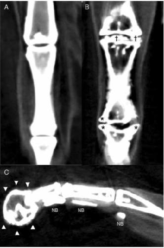
Figure 3. Reconstructed dorsal plane CT image of a normal MTP and IP joint (A), reconstructed dorsal plane CT image of a severely affected MTPjoint and IP joint (B) with periarticular new bone formation (as- terisks *) and new bone formation within the joint space (daggers â ), and reconstructed sagittal plane CT image of a severely affected digit (C) with a misshaped distal phalanx surrounded by a rim of new bone (arrowheads â²) and linear mineralization plantar to the digit within the extensor tendons (NB).
Figure 4. Reconstructed 3D volume renderings of a normal pes (A-D), a severely affected manus (E-H), a severely affected pes (I-L), and the most severely affected pes (M-P). A, E, I and M are dorsal views; B, F, J, and N are medial views, C, G, K, and O are palmar/plantar views, and D, H, L, and P are lateral views. A-D: Normal pes. E-H: Severely affected manus with severe periarticular and articular new bone formation in multi- ple MCP and IP joints with malangulation and subluxation of the IP joint. I-L: Severely affected pes that has rounded peripherally mineralized lesions on digits 0-III which extend proximal to the IP. There is severe linear mineralization plantar to digits I-IV in the flexor tendons. Similar to the manus, there is periarticular and articular new bone formation in the MTP and IP joints in the nonclawed digits and of the clawed digits proximal to the rounded lesions. M-P: Most severely affected pes with rounded peripherally mineralized lesions extending to the proximal phalanx, linear mineralization plantar to digits I-III, and severe periarticular new bone formation.
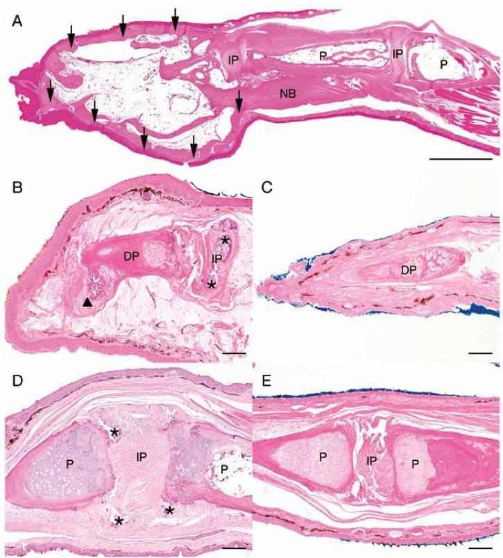
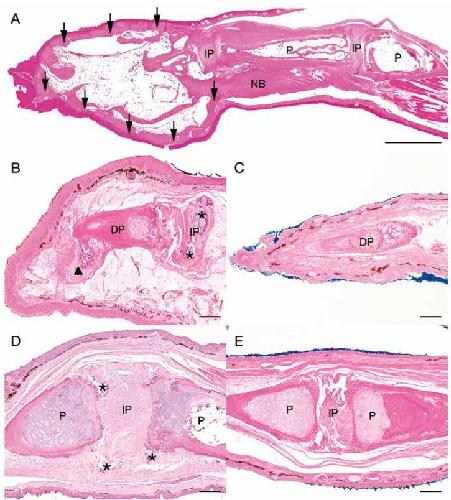
Figure 7. Histologic lesions in tarsal digits 0, I, II, and III of Xenopus tropicalis. Sagittal section of affected tarsal digit III (A). Nodular lesions comprised a peripheral rim of cortical bone (black arrows â) that occasionally extended proximally to form a layer of new bone (NB) surround- ing preexisting bone of the adjacent phalanx (P). Centrally, the nodule was composed of mature adipose tissue and scattered hematopoietic elements. H and E, scale bar = 1 mm. Bony remodeling of the distal phalanx and IP osteoarthritis (B). The distal phalanx (DP) is irregularly contoured with fibrocartilaginous metaplasia extending from the distal aspect (arrowhead â²). Myxedematous stroma surrounds the DP. The IP joint space contains abundant mineral (asterisks *). Note: The adjacent phalanx is out of the plane of section. H and E, scale bar = 100 μm. Unaf- fected DP (C). H and E, scale bar = 100 μm. An affected IP joint space exhibiting incongruity of adjacent phalanges (P) with IP mineralization (asterisks *) (D). H and E, scale bar = 100 μm. Normal adjacent phalanges, IP joint space (E). H and E, scale bar = 100 μm.
,
,
Pubmed
,
Xenbase
Bissegger,
Androgens modulate gene expression and specific DNA methylation pattern of steroid 5α-reductases in the frog Silurana tropicalis.
2016,
Pubmed
,
Xenbase
Campbell,
Expression of sf1 and dax-1 are regulated by thyroid hormones and androgens during Silurana tropicalis early development.
2018,
Pubmed
,
Xenbase
Chu,
From biomechanics to mechanobiology: Xenopus provides direct access to the physical principles that shape the embryo.
2020,
Pubmed
,
Xenbase
de Berker,
Nail anatomy.
2013,
Pubmed
Ferrie,
Nutrition and health in amphibian husbandry.
2014,
Pubmed
,
Xenbase
Jäger,
Terminal differentiation of nail matrix keratinocytes involves up-regulation of DNase1L2 but is independent of caspase-14 expression.
2007,
Pubmed
Kakebeen,
Advancing genetic and genomic technologies deepen the pool for discovery in Xenopus tropicalis.
2019,
Pubmed
,
Xenbase
Keller,
Early embryonic development of Xenopus laevis.
1991,
Pubmed
,
Xenbase
Klaphake,
A fresh look at metabolic bone diseases in reptiles and amphibians.
2010,
Pubmed
Maddin,
The anatomy and development of the claws of Xenopus laevis (Lissamphibia: Anura) reveal alternate pathways of structural evolution in the integument of tetrapods.
2009,
Pubmed
,
Xenbase
Maddin,
Histological microstructure of the claws of the African clawed frog, Xenopus laevis (Anura: Pipidae): implications for the evolution of claws in tetrapods.
2007,
Pubmed
,
Xenbase
Maia,
Advances in the use of Xenopus for successful drug screening.
2017,
Pubmed
,
Xenbase
Mathieu-Denoncourt,
Lethal and sublethal effects of phthalate diesters in Silurana tropicalis larvae.
2016,
Pubmed
,
Xenbase
McNamara,
Husbandry, General Care, and Transportation of Xenopus laevis and Xenopus tropicalis.
2018,
Pubmed
,
Xenbase
Naert,
Cancer Models in Xenopus tropicalis by CRISPR/Cas9 Mediated Knockout of Tumor Suppressors.
2018,
Pubmed
,
Xenbase
Rupp,
Xenopus embryos regulate the nuclear localization of XMyoD.
1994,
Pubmed
,
Xenbase
Schultz,
Housing and husbandry of Xenopus for oocyte production.
2003,
Pubmed
,
Xenbase
Tanaka,
Identification of anti-cancer chemical compounds using Xenopus embryos.
2016,
Pubmed
,
Xenbase
Uhl,
The pathology of vitamin D deficiency in domesticated animals: An evolutionary and comparative overview.
2018,
Pubmed
Zlatow,
Axial Skeletal Malformations in Genetically Modified Xenopus laevis and Xenopus tropicalis.
2020,
Pubmed
,
Xenbase