XB-ART-58579
Open Biol
2021 Oct 01;1110:210121. doi: 10.1098/rsob.210121.
Show Gene links
Show Anatomy links
The role of DDK and Treslin-MTBP in coordinating replication licensing and pre-initiation complex formation.
Volpi I
,
Gillespie PJ
,
Chadha GS
,
Blow JJ
.
???displayArticle.abstract???
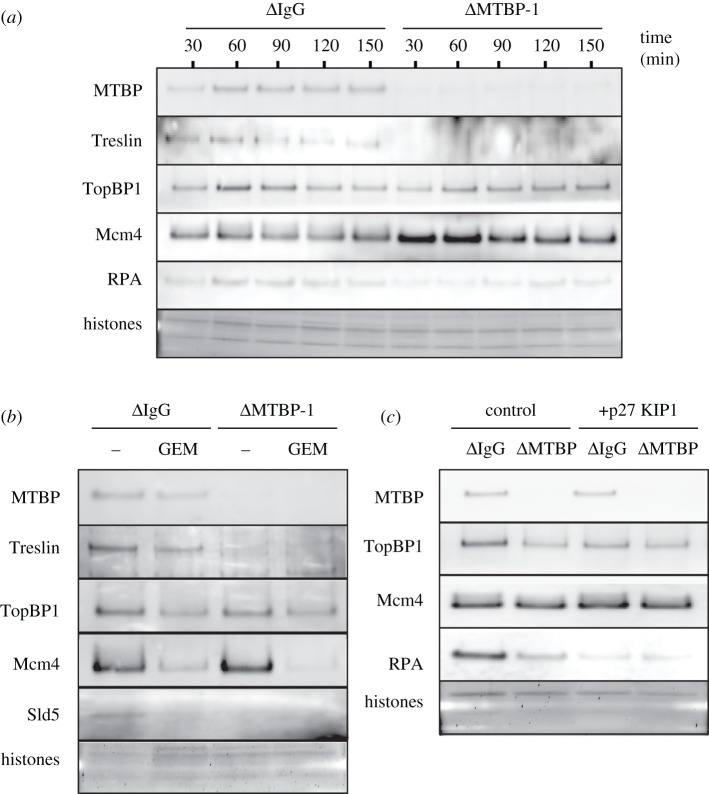
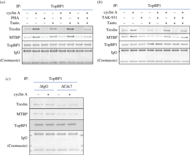
Treslin/Ticrr is required for the initiation of DNA replication and binds to MTBP (Mdm2 Binding Protein). Here, we show that in Xenopus egg extract, MTBP forms an elongated tetramer with Treslin containing two molecules of each protein. Immunodepletion and add-back experiments show that Treslin-MTBP is rate limiting for replication initiation. It is recruited onto chromatin before S phase starts and recruitment continues during S phase. We show that DDK activity both increases and strengthens the interaction of Treslin-MTBP with licensed chromatin. We also show that DDK activity cooperates with CDK activity to drive the interaction of Treslin-MTBP with TopBP1 which is a regulated crucial step in pre-initiation complex formation. These results suggest how DDK works together with CDKs to regulate Treslin-MTBP and plays a crucial in selecting which origins will undergo initiation.
???displayArticle.pubmedLink??? 34699733
???displayArticle.pmcLink??? PMC8548084
???displayArticle.link??? Open Biol
???displayArticle.grants??? [+]
Wellcome Trust , C303/A14301 Cancer Research UK, WT096598MA Wellcome Trust , 14301 Cancer Research UK
Species referenced: Xenopus laevis
Genes referenced: mtbp ticrr topbp1
???attribute.lit??? ???displayArticles.show???
References [+] :
Alver,
Reversal of DDK-Mediated MCM Phosphorylation by Rif1-PP1 Regulates Replication Initiation and Replisome Stability Independently of ATR/Chk1.
2017, Pubmed,
Xenbase
Alver, Reversal of DDK-Mediated MCM Phosphorylation by Rif1-PP1 Regulates Replication Initiation and Replisome Stability Independently of ATR/Chk1. 2017, Pubmed , Xenbase
Blow, A model for DNA replication showing how dormant origins safeguard against replication fork failure. 2009, Pubmed
Blow, A cdc2-like protein is involved in the initiation of DNA replication in Xenopus egg extracts. 1990, Pubmed , Xenbase
Blow, Initiation of DNA replication in nuclei and purified DNA by a cell-free extract of Xenopus eggs. 1986, Pubmed , Xenbase
Blow, Replication origins in Xenopus egg extract Are 5-15 kilobases apart and are activated in clusters that fire at different times. 2001, Pubmed , Xenbase
Boos, Identification of a heteromeric complex that promotes DNA replication origin firing in human cells. 2013, Pubmed
Boos, Regulation of DNA replication through Sld3-Dpb11 interaction is conserved from yeast to humans. 2011, Pubmed
Boyd, A novel cellular protein (MTBP) binds to MDM2 and induces a G1 arrest that is suppressed by MDM2. 2000, Pubmed
Chong, Characterization of the Xenopus replication licensing system. 1997, Pubmed , Xenbase
Collart, Titration of four replication factors is essential for the Xenopus laevis midblastula transition. 2013, Pubmed , Xenbase
Deegan, Phosphopeptide binding by Sld3 links Dbf4-dependent kinase to MCM replicative helicase activation. 2016, Pubmed
Edwards, MCM2-7 complexes bind chromatin in a distributed pattern surrounding the origin recognition complex in Xenopus egg extracts. 2002, Pubmed , Xenbase
Fang, Evidence that the G1-S and G2-M transitions are controlled by different cdc2 proteins in higher eukaryotes. 1991, Pubmed , Xenbase
Ferenbach, Functional domains of the Xenopus replication licensing factor Cdt1. 2005, Pubmed , Xenbase
Finlay, Inhibition of in vitro nuclear transport by a lectin that binds to nuclear pores. 1987, Pubmed , Xenbase
Gambus, GINS maintains association of Cdc45 with MCM in replisome progression complexes at eukaryotic DNA replication forks. 2006, Pubmed
Gambus, MCM2-7 form double hexamers at licensed origins in Xenopus egg extract. 2011, Pubmed , Xenbase
Gardner, The High-Affinity Interaction between ORC and DNA that Is Required for Replication Licensing Is Inhibited by 2-Arylquinolin-4-Amines. 2017, Pubmed , Xenbase
Ge, Dormant origins licensed by excess Mcm2-7 are required for human cells to survive replicative stress. 2007, Pubmed
Ge, Chk1 inhibits replication factory activation but allows dormant origin firing in existing factories. 2010, Pubmed
Gillespie, Preparation and use of Xenopus egg extracts to study DNA replication and chromatin associated proteins. 2012, Pubmed , Xenbase
Gillespie, Cell Cycle Synchronization in Xenopus Egg Extracts. 2016, Pubmed , Xenbase
Grieb, MTBP is overexpressed in triple-negative breast cancer and contributes to its growth and survival. 2014, Pubmed
Grieb, Oncogenic protein MTBP interacts with MYC to promote tumorigenesis. 2014, Pubmed
Hiraga, Rif1 controls DNA replication by directing Protein Phosphatase 1 to reverse Cdc7-mediated phosphorylation of the MCM complex. 2014, Pubmed
Hiraga, Human RIF1 and protein phosphatase 1 stimulate DNA replication origin licensing but suppress origin activation. 2017, Pubmed
Ibarra, Excess MCM proteins protect human cells from replicative stress by licensing backup origins of replication. 2008, Pubmed
Im, RecQL4 is required for the association of Mcm10 and Ctf4 with replication origins in human cells. 2015, Pubmed
Itou, The quaternary structure of the eukaryotic DNA replication proteins Sld7 and Sld3. 2015, Pubmed
Iwai, Molecular mechanism and potential target indication of TAK-931, a novel CDC7-selective inhibitor. 2019, Pubmed
Jares, Xenopus cdc7 function is dependent on licensing but not on XORC, XCdc6, or CDK activity and is required for XCdc45 loading. 2000, Pubmed , Xenbase
Kamimura, Sld2, which interacts with Dpb11 in Saccharomyces cerevisiae, is required for chromosomal DNA replication. 1998, Pubmed
Kanemaki, Distinct roles for Sld3 and GINS during establishment and progression of eukaryotic DNA replication forks. 2006, Pubmed
Kumagai, Direct regulation of Treslin by cyclin-dependent kinase is essential for the onset of DNA replication. 2011, Pubmed , Xenbase
Kumagai, Treslin collaborates with TopBP1 in triggering the initiation of DNA replication. 2010, Pubmed , Xenbase
Kumagai, MTBP, the partner of Treslin, contains a novel DNA-binding domain that is essential for proper initiation of DNA replication. 2017, Pubmed , Xenbase
Li, Loading and activation of DNA replicative helicases: the key step of initiation of DNA replication. 2013, Pubmed
Luciani, Characterization of a novel ATR-dependent, Chk1-independent, intra-S-phase checkpoint that suppresses initiation of replication in Xenopus. 2004, Pubmed , Xenbase
Mahbubani, Cell cycle regulation of the replication licensing system: involvement of a Cdk-dependent inhibitor. 1997, Pubmed , Xenbase
Mantiero, Limiting replication initiation factors execute the temporal programme of origin firing in budding yeast. 2011, Pubmed
Masumoto, S-Cdk-dependent phosphorylation of Sld2 essential for chromosomal DNA replication in budding yeast. 2002, Pubmed
McGarry, Geminin, an inhibitor of DNA replication, is degraded during mitosis. 1998, Pubmed , Xenbase
Montagnoli, A Cdc7 kinase inhibitor restricts initiation of DNA replication and has antitumor activity. 2008, Pubmed
Muramatsu, CDK-dependent complex formation between replication proteins Dpb11, Sld2, Pol (epsilon}, and GINS in budding yeast. 2010, Pubmed
Natsume, Kinetochores coordinate pericentromeric cohesion and early DNA replication by Cdc7-Dbf4 kinase recruitment. 2013, Pubmed
Odvody, A deficiency in Mdm2 binding protein inhibits Myc-induced B-cell proliferation and lymphomagenesis. 2010, Pubmed
Oehlmann, The role of Cdc6 in ensuring complete genome licensing and S phase checkpoint activation. 2004, Pubmed , Xenbase
Poh, Xenopus Cdc7 executes its essential function early in S phase and is counteracted by checkpoint-regulated protein phosphatase 1. 2014, Pubmed , Xenbase
Prokhorova, Sequential MCM/P1 subcomplex assembly is required to form a heterohexamer with replication licensing activity. 2000, Pubmed , Xenbase
Rowles, Changes in association of the Xenopus origin recognition complex with chromatin on licensing of replication origins. 1999, Pubmed , Xenbase
Rowles, Interaction between the origin recognition complex and the replication licensing system in Xenopus. 1996, Pubmed , Xenbase
Sansam, Cyclin-dependent kinase regulates the length of S phase through TICRR/TRESLIN phosphorylation. 2015, Pubmed
Sheu, Cdc7-Dbf4 phosphorylates MCM proteins via a docking site-mediated mechanism to promote S phase progression. 2006, Pubmed
Siegel, Determination of molecular weights and frictional ratios of proteins in impure systems by use of gel filtration and density gradient centrifugation. Application to crude preparations of sulfite and hydroxylamine reductases. 1966, Pubmed
Strausfeld, Cip1 blocks the initiation of DNA replication in Xenopus extracts by inhibition of cyclin-dependent kinases. 1994, Pubmed , Xenbase
Tada, Repression of origin assembly in metaphase depends on inhibition of RLF-B/Cdt1 by geminin. 2001, Pubmed , Xenbase
Tanaka, Origin association of Sld3, Sld7, and Cdc45 proteins is a key step for determination of origin-firing timing. 2011, Pubmed
Tanaka, Sld7, an Sld3-associated protein required for efficient chromosomal DNA replication in budding yeast. 2011, Pubmed
Tanaka, CDK-dependent phosphorylation of Sld2 and Sld3 initiates DNA replication in budding yeast. 2007, Pubmed
Thomson, Replication factory activation can be decoupled from the replication timing program by modulating Cdk levels. 2010, Pubmed , Xenbase
Walter, Evidence for sequential action of cdc7 and cdk2 protein kinases during initiation of DNA replication in Xenopus egg extracts. 2000, Pubmed , Xenbase
Wohlschlegel, Inhibition of eukaryotic DNA replication by geminin binding to Cdt1. 2000, Pubmed , Xenbase
Woodward, Excess Mcm2-7 license dormant origins of replication that can be used under conditions of replicative stress. 2006, Pubmed , Xenbase
Yan, Analysis of the Xenopus Werner syndrome protein in DNA double-strand break repair. 2005, Pubmed , Xenbase
Yeeles, Regulated eukaryotic DNA replication origin firing with purified proteins. 2015, Pubmed
Zegerman, Phosphorylation of Sld2 and Sld3 by cyclin-dependent kinases promotes DNA replication in budding yeast. 2007, Pubmed
