XB-ART-58289
J Cell Sci
2021 Aug 15;13416:. doi: 10.1242/jcs.259013.
Show Gene links
Show Anatomy links
A polycystin-2 protein with modified channel properties leads to an increased diameter of renal tubules and to renal cysts.
Grosch M
,
Brunner K
,
Ilyaskin AV
,
Schober M
,
Staudner T
,
Schmied D
,
Stumpp T
,
Schmidt KN
,
Madej MG
,
Pessoa TD
,
Othmen H
,
Kubitza M
,
Osten L
,
de Vries U
,
Mair MM
,
Somlo S
,
Moser M
,
Kunzelmann K
,
Ziegler C
,
Haerteis S
,
Korbmacher C
,
Witzgall R
.
???displayArticle.abstract???
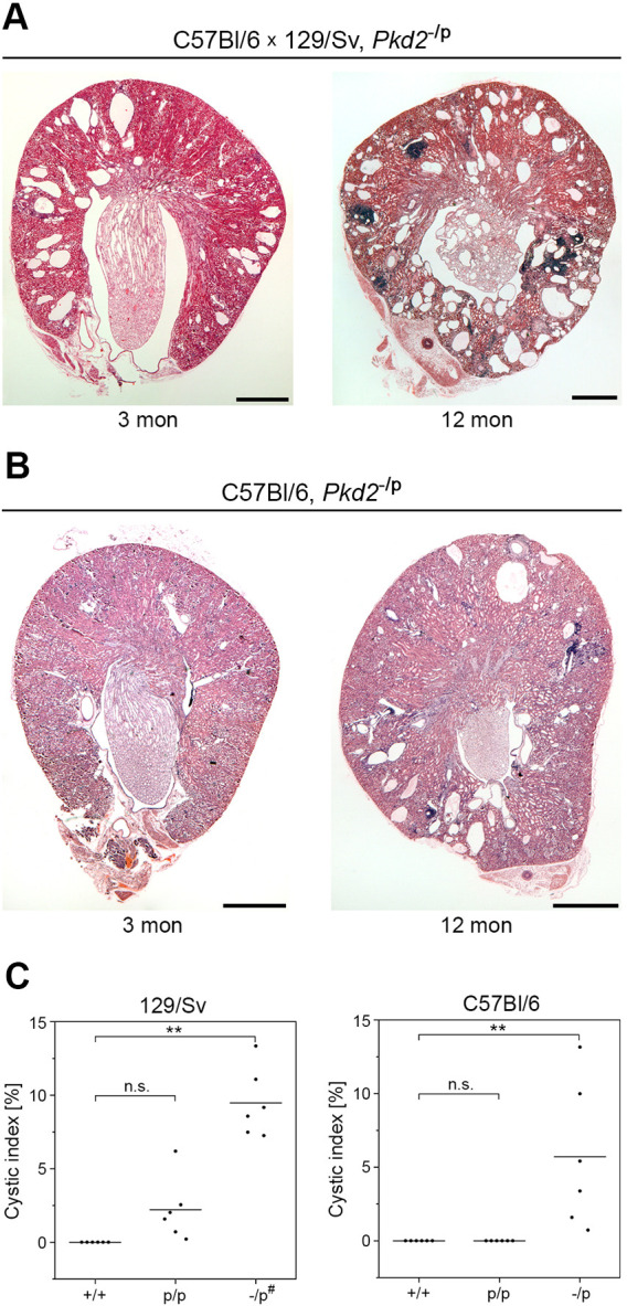
Mutations in the PKD2 gene cause autosomal-dominant polycystic kidney disease but the physiological role of polycystin-2, the protein product of PKD2, remains elusive. Polycystin-2 belongs to the transient receptor potential (TRP) family of non-selective cation channels. To test the hypothesis that altered ion channel properties of polycystin-2 compromise its putative role in a control circuit controlling lumen formation of renal tubular structures, we generated a mouse model in which we exchanged the pore loop of polycystin-2 with that of the closely related cation channel polycystin-2L1 (encoded by PKD2L1), thereby creating the protein polycystin-2poreL1. Functional characterization of this mutant channel in Xenopus laevis oocytes demonstrated that its electrophysiological properties differed from those of polycystin-2 and instead resembled the properties of polycystin-2L1, in particular regarding its permeability for Ca2+ ions. Homology modeling of the ion translocation pathway of polycystin-2poreL1 argues for a wider pore in polycystin-2poreL1 than in polycystin-2. In Pkd2poreL1 knock-in mice in which the endogenous polycystin-2 protein was replaced by polycystin-2poreL1 the diameter of collecting ducts was increased and collecting duct cysts developed in a strain-dependent fashion.
???displayArticle.pubmedLink??? 34345895
???displayArticle.pmcLink??? PMC8435292
???displayArticle.link??? J Cell Sci
???displayArticle.grants??? [+]
SFB 699 Deutsche Forschungsgemeinschaft, F8 Interdisciplinary Center for Clinical Research Erlangen (IZKF), F8 Interdisziplinäres Zentrum für Klinische Forschung Erlangen, Universität Regensburg, UL1 TR001863 NCATS NIH HHS
Species referenced: Xenopus laevis
Genes referenced: calb1 dynll1 foxj1 nde1 pkd1 pkd2 pkd2l1
GO keywords: cation channel activity [+]
???displayArticle.disOnts??? polycystic kidney disease [+]
???displayArticle.omims??? POLYCYSTIC KIDNEY DISEASE 2 WITH OR WITHOUT POLYCYSTIC LIVER DISEASE; PKD2
???attribute.lit??? ???displayArticles.show???
|
|
Fig. 1. Sequence comparison. (A) Sequence comparison of the polycystin-2 pore region from different species. Identical residues are highlighted in red, the numbers above the sequence correspond to the residues in the human polycystin-2 protein. The bars below the sequence indicate pore helix 1 (PH 1, amino acids F629–L641) and 2 (PH 2, amino acids F646–A652). Arrows point to the amino acids affected by likely and highly likely pathogenic missense mutations, i.e. F629S, C632R, R638C (https://pkd.mayo.edu/). (B) Sequence comparisons of the pore region from polycystin-2 (yellow), polycystin-2L1 (blue) and polycystin-2poreL1. Identical residues between polycystin-2 and polycystin-2L1 are boxed. |
|
|
Fig. 2. Characterization of polycystin-2poreL1 in Xenopus oocytes.Xenopus laevis oocytes were injected with cRNAs encoding polycystin-2, polycystin-2poreL1 and polycystin-2L1. In the case of polycystin-2 and polycystin-2poreL1 the 34-amino-acid domain responsible for the preferential location of the respective protein in the endoplasmic reticulum was deleted to achieve consistent incorporation into the plasma membrane. (A) The change from a standard bath solution (NaCl) to a solution without divalent cations (NaCl, øCa2+, øMg2+) had no effect on control oocytes but stimulated Na+ inward currents in oocytes expressing polycystin-2, Î(aa 787â820), polycystin-2poreL1, Î(aa 787â820) and polycystin-2L1, although to different degrees. Subsequent replacement of NaCl by NMDG-Cl abolished Na+ inward currents (NMDG-Cl, øCa2+, øMg2+). For each condition, representative overlays of ten individual whole-cell current traces are shown which were obtained from consecutive 1-s voltage steps in 20â mV increments starting with a hyperpolarizing pulse to â120â mV from a holding potential of â60â mV. (B) Current data of the final 300â ms of the pulses were taken from similar experiments to construct corresponding average I/V curves. Results represent experiments from 28â36 oocytes and five different oocyte preparations, shown are mean±s.e.m. (C) In another set of experiments, oocytes were sequentially exposed to the standard bath solution (NaCl, open bar), a NaCl bath solution without divalent cations (NaCl, øCa2+, øMg2+, hatched bar) and a bath solution containing 50â mM CaCl2 (CaCl2, filled bar) as indicated. Representative whole-cell current traces recorded at a continuous holding potential of â80â mV (left panels) demonstrate that exposure to 50â mM CaCl2 elicits large inward current responses in oocytes expressing polycystinâ2poreL1 and polycystin-2L1 (the dotted line indicates zero current levels). In contrast, addition of 50â mM CaCl2 reversibly inhibits an inward current component in polycystin-2-expressing oocytes. Whole-cell currents in control oocytes are largely unaffected by 50â mM CaCl2. The summary graphs (right panels) show the plateau inward currents in the standard bath solution and in a bath solution lacking divalent cations as well as the maximum inward currents reached in the presence of 50â mM CaCl2. 21â26 oocytes from three different oocyte preparations were used per experimental group. Measurements from individual oocytes and the mean±s.e.m. are shown. **P<0.01, ***P<0.001 (paired two-tailed t-test). |
|
|
Fig. 3. Structural modeling of polycystin-2poreL1. (A,B) Top view and side view of polycystin-2poreL1. The pore regions (amino acids 582–695) of two opposing protomers are highlighted in yellow and orange, the position of a cation which was observed in the original structure of wild-type polycystin-2 is indicated by the blue sphere. The rectangle indicates the region shown in more detail in panels E–G. (C) Profile of the ion-conduction pathway (dotted surface) shown along with two diagonally opposed protomers (wire diagrams) in polycystin-2poreL1. The amino acid residues in the selectivity filter and at the pore constrictions are depicted as sticks. (D) The pore radius is plotted along the ion-conduction axis together with the residues lining the pore. It can be seen that the most prominent constrictions are present in wild-type polycystin-2 (blue line) whereas the pore is wider in polycystin-2L1 (green line). The structure of polycystin-2poreL1 (red line) is closer to that of polycystin-2L1. Shaded regions indicate the radius of hydrated K+ and of hydrated Ca2+ ions (cf. Table S3). (E–G) Detailed view of the pore domain of polycystin-2, polycystin-2poreL1 and polycystin-2L1. In the case of polycystin-2, D625 mediates the interaction between T635 in pore helix 1 and N645 immediately adjacent to the N-terminal end of pore helix 2 (E). Such an arrangement is not observed in polycystin-2L1, where the corresponding N505 residue is located too far away to be able to interact with D525 although it can still interact with T515 (G). Since the pore domain in polycystin-2poreL1 contains those residues of polycystin-2L1 that are crucial for the tertiary structure just described, it is more similar to that of polycystin-2L1 than to that of polycystin-2 (F). (H,I) Superpositions of the pore domains of polycystin-2poreL1 (orange) and wild-type polycystin-2 (blue) (H), and of polycystin-2poreL1 (orange) and polycystin-2L1 (green) (I). The opening is wider in polycystin-2poreL1 than in polycystin-2, whereas the openings in polycystin-2poreL1 and polycystin-2L1 are very similar. (J,K) Diagram of the pore regions of polycystin-2 and polycystin-2L1. Shown are transmembrane segments S5 and S6 together with the intervening pore loop (P). The red circles indicate the amino acids in the selectivity filter of polycystin-2 (D643, G642 and L641, top to bottom) and of polycystin-2L1 (D523, G522 and L521, top to bottom). The outer circles of each ion indicate the radii of the hydrated ions, inner circles represent the ionic radii (cf. Table S3). It can be appreciated that hydrated K+ ions can pass through the selectivity filter of either pore loop but Ca2+ ions will only be able to pass through the selectivity filter of polycystin-2L1. |
|
|
Fig. 4. Creation of Pkd2poreL1 knock-in mice. (A) Targeting construct for the transfection of embryonic stem cells. Exons 8 and 9 contain the desired mutations (indicated by the red bars); the neomycin resistance gene flanked by loxP sites (blue triangles) was introduced into intron 8. Numbers above the bars indicate exons, Gfor and Grev indicate the position of the primers for PCR reactions from genomic DNA, and Rfor and Rrev indicate the position of the primers for PCR reactions from mRNA. The BamHI site marked with an asterisk was introduced together with the nucleotides for the required amino acids. (B) Genomic DNA isolated from tail cuts of wild-type (+/+), heterozygous Pkd2+/poreL1 (+/p) and homozygous Pkd2poreL1/poreL1 (p/p) mice was digested with BamHI and hybridized with the respective 5â² and 3â² probes after Southern blotting. The presence of the expected bands can be seen in either case. Numbers indicate the respective sizes (in kb pairs) of the molecular mass standard. (C) PCR from genomic DNA (after Cre-mediated removal of the neomycin resistance gene) isolated from tail cuts run with the primers Gfor and Grev. The mutated allele can be identified by its lower mobility; expected sizes are given on the right. (D) RT-PCR from total kidney RNA (again following Cre-mediated removal of the neomycin resistance gene) isolated from mice with the three different genotypes, after the PCRs, the products were digested with EcoRV. The PCR product of the wild-type allele can be digested with EcoRV whereas that of the mutated allele cannot. Expected sizes (in bp) are given on the right. (E) Quantitative PCR analysis of total RNA isolated from collecting ducts demonstrates higher mRNA levels for Pkd2poreL1 than for Pkd2. Approximately 150 to 200 collecting ducts each were harvested from five mice at an age of 2 to 4â months. Shown are the mean±s.d. *P<0.05 (unpaired one-tailed t-test). |
|
|
Fig. 5. Intrarenal distribution of polycystin-2poreL1 in homozygous Pkd2poreL1 knock-in mice. (A,B) Immunofluorescence staining for aquaporin-2 as a marker for collecting ducts on the one hand and for polycystin-2 and polycystin-2poreL1 on the other hand in 6-month-old wild-type (+/+) and homozygous Pkd2poreL1 knock-in (p/p) female mice demonstrates the presence of wild-type polycystin-2 and of polycystin-2poreL1 in papillary collecting ducts in both the C57Bl/6 and 129/Sv genetic backgrounds. Note the larger diameter of collecting ducts in the Pkd2poreL1/poreL1 mice. Scale bar: 50â µm. (C,D) Immunofluorescence staining of kidney sections from 6-month-old wild-type (+/+) and homozygous Pkd2poreL1 knock-in (p/p) mice. Both in the C57Bl/6 and in the 129/Sv background, identical distributions of the wild-type and mutant polycystin-2 proteins (red signal) are seen. Nuclei are shown in white. Images are representative of three experiments. Scale bars: 10â µm. |
|
|
Fig. 6. Luminal areas of papillary and cortical collecting ducts in Pkd2poreL1 knock-in mice. (AâD) In Pkd2poreL1/poreL1 knock-in (p/p) mice, the luminal area of papillary collecting ducts was larger than in wild-type (+/+) mice both on a 129/Sv and a C57Bl/6 background (A,B). This difference was observed independently of the position along the papillary axis (C,D; each circle represents an individual profile). The exclusive presence of collecting duct profiles closer to the papillary tip from knock-in mice on a 129/Sv background (and vice versa from wild-type mice on a C57Bl/6 background) is due to the analysis of one longer papilla. (E,F) In the case of cortical collecting ducts, the luminal area was only larger for Pkd2poreL1/poreL1 knock-in (p/p) mice on a 129/Sv but not on a C57Bl/6 background. Four wild-type and six homozygous Pkd2poreL1 knock-in mice at 6â months of age were used for analysis. Box plots in insets summarize data of all profiles; boxes range from the 25th to the 75th percentile, the horizontal line in the box indicates the median, and whiskers extend to data within 1.5 times the interquartile range. *P<0.05; **P<0.01; n.s., not significant (linear mixed model). |
|
|
|
|
|
References [+] :
Arif Pavel,
Function and regulation of TRPP2 ion channel revealed by a gain-of-function mutant.
2016, Pubmed
Arif Pavel, Function and regulation of TRPP2 ion channel revealed by a gain-of-function mutant. 2016, Pubmed
Bahima, Endogenous hemichannels play a role in the release of ATP from Xenopus oocytes. 2006, Pubmed , Xenbase
Brill, Polycystin 2: A calcium channel, channel partner, and regulator of calcium homeostasis in ADPKD. 2020, Pubmed
Cai, Identification and characterization of polycystin-2, the PKD2 gene product. 1999, Pubmed
Cai, Altered trafficking and stability of polycystins underlie polycystic kidney disease. 2014, Pubmed
Chen, Polycystin-L is a calcium-regulated cation channel permeable to calcium ions. 1999, Pubmed , Xenbase
Cruz, Foxj1 regulates floor plate cilia architecture and modifies the response of cells to sonic hedgehog signalling. 2010, Pubmed
DeCaen, Direct recording and molecular identification of the calcium channel of primary cilia. 2013, Pubmed
DeCaen, Atypical calcium regulation of the PKD2-L1 polycystin ion channel. 2016, Pubmed
Delling, Primary cilia are specialized calcium signalling organelles. 2013, Pubmed
Douguet, Structure and function of polycystins: insights into polycystic kidney disease. 2019, Pubmed
Ebihara, Xenopus connexin38 forms hemi-gap-junctional channels in the nonjunctional plasma membrane of Xenopus oocytes. 1996, Pubmed , Xenbase
Emsley, Features and development of Coot. 2010, Pubmed
Fedeles, A genetic interaction network of five genes for human polycystic kidney and liver diseases defines polycystin-1 as the central determinant of cyst formation. 2011, Pubmed
Grieben, Structure of the polycystic kidney disease TRP channel Polycystin-2 (PC2). 2017, Pubmed
Ha, The heteromeric PC-1/PC-2 polycystin complex is activated by the PC-1 N-terminus. 2020, Pubmed
Haerteis, The delta-subunit of the epithelial sodium channel (ENaC) enhances channel activity and alters proteolytic ENaC activation. 2009, Pubmed , Xenbase
Hanaoka, Co-assembly of polycystin-1 and -2 produces unique cation-permeable currents. , Pubmed
Hinze, Kidney Single-cell Transcriptomes Predict Spatial Corticomedullary Gene Expression and Tissue Osmolality Gradients. 2021, Pubmed
Hoffmeister, Polycystin-2 takes different routes to the somatic and ciliary plasma membrane. 2011, Pubmed
Hulse, Cryo-EM structure of the polycystin 2-l1 ion channel. 2018, Pubmed
Ilyaskin, The degenerin region of the human bile acid-sensitive ion channel (BASIC) is involved in channel inhibition by calcium and activation by bile acids. 2018, Pubmed , Xenbase
Ilyaskin, Inhibition of the epithelial sodium channel (ENaC) by connexin 30 involves stimulation of clathrin-mediated endocytosis. 2021, Pubmed , Xenbase
Inaba, Ndel1 suppresses ciliogenesis in proliferating cells by regulating the trichoplein-Aurora A pathway. 2016, Pubmed
Kim, The thiazide-sensitive Na-Cl cotransporter is an aldosterone-induced protein. 1998, Pubmed
Kim, Nde1-mediated inhibition of ciliogenesis affects cell cycle re-entry. 2011, Pubmed , Xenbase
Krueger, The phosphorylation site T613 in the β-subunit of rat epithelial Na+ channel (ENaC) modulates channel inhibition by Nedd4-2. 2018, Pubmed , Xenbase
Li, The calcium-binding EF-hand in polycystin-L is not a domain for channel activation and ensuing inactivation. 2002, Pubmed , Xenbase
Liu, Polycystin-2 is an essential ion channel subunit in the primary cilium of the renal collecting duct epithelium. 2018, Pubmed
Lorenz, Heteromultimeric CLC chloride channels with novel properties. 1996, Pubmed , Xenbase
Lu, A function for the Joubert syndrome protein Arl13b in ciliary membrane extension and ciliary length regulation. 2015, Pubmed
Nishio, Loss of oriented cell division does not initiate cyst formation. 2010, Pubmed
Pei, A "two-hit" model of cystogenesis in autosomal dominant polycystic kidney disease? 2001, Pubmed
Ransick, Single-Cell Profiling Reveals Sex, Lineage, and Regional Diversity in the Mouse Kidney. 2019, Pubmed
Rauh, A mutation of the epithelial sodium channel associated with atypical cystic fibrosis increases channel open probability and reduces Na+ self inhibition. 2010, Pubmed , Xenbase
Sali, Comparative protein modelling by satisfaction of spatial restraints. 1993, Pubmed
Shen, Statistical potential for assessment and prediction of protein structures. 2006, Pubmed
Shen, The Structure of the Polycystic Kidney Disease Channel PKD2 in Lipid Nanodiscs. 2016, Pubmed
Su, Structure of the human PKD1-PKD2 complex. 2018, Pubmed
Su, Cryo-EM structure of the polycystic kidney disease-like channel PKD2L1. 2018, Pubmed
Tanaka, Application of an ultrahigh-resolution scanning electron microscope (UHS-T1) to biological specimens. 1989, Pubmed
Vien, Molecular dysregulation of ciliary polycystin-2 channels caused by variants in the TOP domain. 2020, Pubmed
Walker, Ciliary exclusion of Polycystin-2 promotes kidney cystogenesis in an autosomal dominant polycystic kidney disease model. 2019, Pubmed
Wang, The ion channel function of polycystin-1 in the polycystin-1/polycystin-2 complex. 2019, Pubmed , Xenbase
Wilkes, Molecular insights into lipid-assisted Ca2+ regulation of the TRP channel Polycystin-2. 2017, Pubmed
Williams, Tissue-specific regulation of the mouse Pkhd1 (ARPKD) gene promoter. 2014, Pubmed
Wu, Somatic inactivation of Pkd2 results in polycystic kidney disease. 1998, Pubmed
Wu, Cardiac defects and renal failure in mice with targeted mutations in Pkd2. 2000, Pubmed
Yoshiba, Cilia at the node of mouse embryos sense fluid flow for left-right determination via Pkd2. 2012, Pubmed
Zheng, Regulation of TRPP3 Channel Function by N-terminal Domain Palmitoylation and Phosphorylation. 2016, Pubmed , Xenbase
Zheng, Hydrophobic pore gates regulate ion permeation in polycystic kidney disease 2 and 2L1 channels. 2018, Pubmed , Xenbase
