XB-ART-58231
Am J Hum Genet
2021 Aug 05;1088:1450-1465. doi: 10.1016/j.ajhg.2021.06.003.
Show Gene links
Show Anatomy links
Unique variants in CLCN3, encoding an endosomal anion/proton exchanger, underlie a spectrum of neurodevelopmental disorders.
Duncan AR
,
Polovitskaya MM
,
Gaitán-Peñas H
,
Bertelli S
,
VanNoy GE
,
Grant PE
,
O'Donnell-Luria A
,
Valivullah Z
,
Lovgren AK
,
England EM
,
Agolini E
,
Madden JA
,
Schmitz-Abe K
,
Kritzer A
,
Hawley P
,
Novelli A
,
Alfieri P
,
Colafati GS
,
Wieczorek D
,
Platzer K
,
Luppe J
,
Koch-Hogrebe M
,
Abou Jamra R
,
Neira-Fresneda J
,
Lehman A
,
Boerkoel CF
,
Seath K
,
Clarke L
,
CAUSES Study
,
van Ierland Y
,
Argilli E
,
Sherr EH
,
Maiorana A
,
Diel T
,
Hempel M
,
Bierhals T
,
Estévez R
,
Jentsch TJ
,
Pusch M
,
Agrawal PB
.
???displayArticle.abstract???
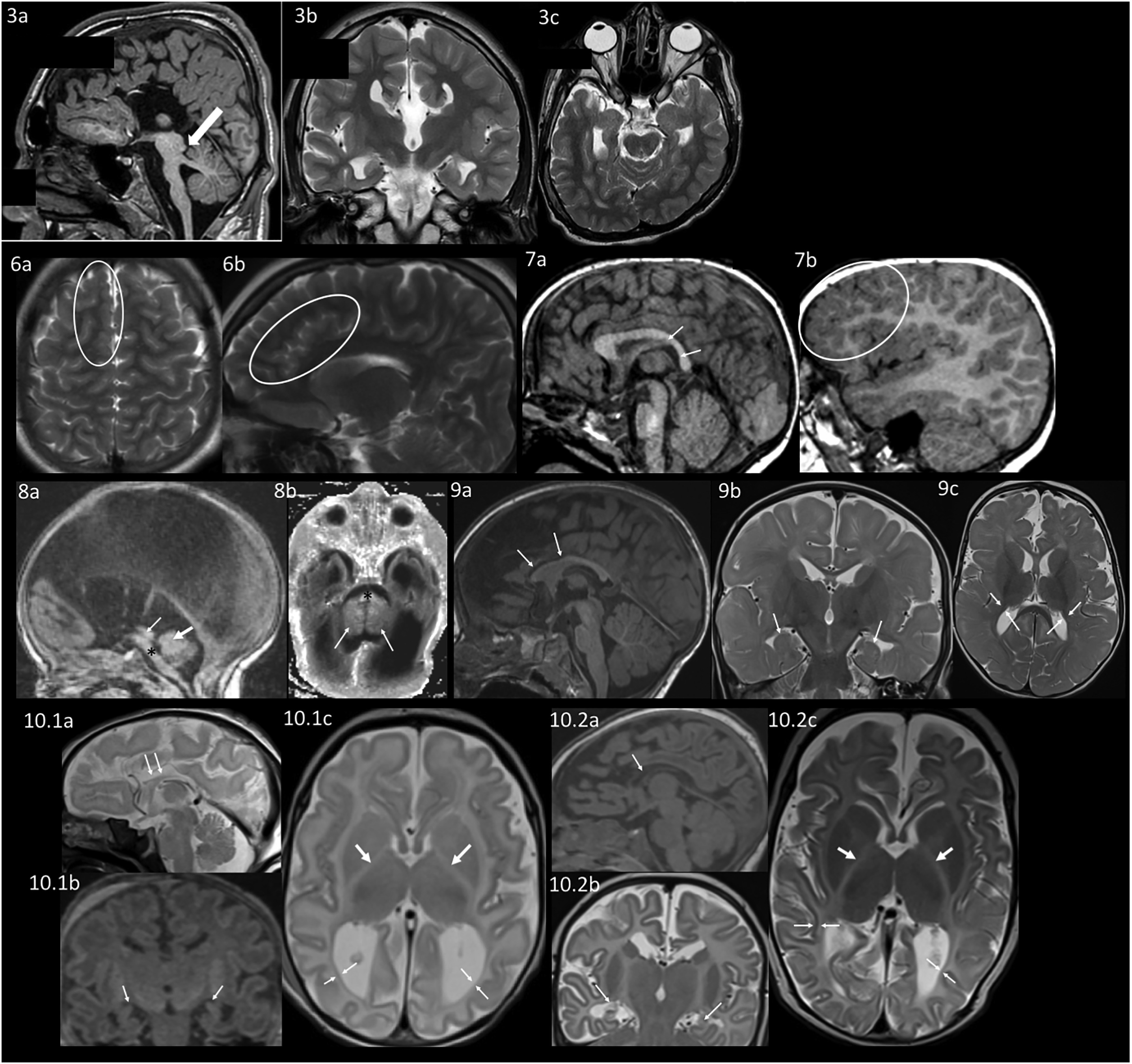
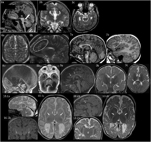
The genetic causes of global developmental delay (GDD) and intellectual disability (ID) are diverse and include variants in numerous ion channels and transporters. Loss-of-function variants in all five endosomal/lysosomal members of the CLC family of Cl- channels and Cl-/H+ exchangers lead to pathology in mice, humans, or both. We have identified nine variants in CLCN3, the gene encoding CIC-3, in 11 individuals with GDD/ID and neurodevelopmental disorders of varying severity. In addition to a homozygous frameshift variant in two siblings, we identified eight different heterozygous de novo missense variants. All have GDD/ID, mood or behavioral disorders, and dysmorphic features; 9/11 have structural brain abnormalities; and 6/11 have seizures. The homozygous variants are predicted to cause loss of ClC-3 function, resulting in severe neurological disease similar to the phenotype observed in Clcn3-/- mice. Their MRIs show possible neurodegeneration with thin corpora callosa and decreased white matter volumes. Individuals with heterozygous variants had a range of neurodevelopmental anomalies including agenesis of the corpus callosum, pons hypoplasia, and increased gyral folding. To characterize the altered function of the exchanger, electrophysiological analyses were performed in Xenopus oocytes and mammalian cells. Two variants, p.Ile607Thr and p.Thr570Ile, had increased currents at negative cytoplasmic voltages and loss of inhibition by luminal acidic pH. In contrast, two other variants showed no significant difference in the current properties. Overall, our work establishes a role for CLCN3 in human neurodevelopment and shows that both homozygous loss of ClC-3 and heterozygous variants can lead to GDD/ID and neuroanatomical abnormalities.
???displayArticle.pubmedLink??? 34186028
???displayArticle.pmcLink??? PMC8387284
???displayArticle.link??? Am J Hum Genet
???displayArticle.grants??? [+]
UM1 HG008900 NHGRI NIH HHS , T32 HD098061 NICHD NIH HHS , R01 HG009141 NHGRI NIH HHS , R01 AR068429 NIAMS NIH HHS , U54 HD090255 NICHD NIH HHS , P50 HD105351 NICHD NIH HHS , R01 NS058721 NINDS NIH HHS
Genes referenced: cic clcn3 clcn6 clcn7
GO keywords: voltage-gated chloride channel activity
???attribute.lit??? ???displayArticles.show???
References [+] :
Accardi,
Secondary active transport mediated by a prokaryotic homologue of ClC Cl- channels.
2004, Pubmed
Accardi, Secondary active transport mediated by a prokaryotic homologue of ClC Cl- channels. 2004, Pubmed
Arachchi, matchbox: An open-source tool for patient matching via the Matchmaker Exchange. 2018, Pubmed
Astaburuaga, A Mathematical Model of Lysosomal Ion Homeostasis Points to Differential Effects of Cl- Transport in Ca2+ Dynamics. 2019, Pubmed
Boettger, Loss of K-Cl co-transporter KCC3 causes deafness, neurodegeneration and reduced seizure threshold. 2003, Pubmed
Capurro, Functional analysis of acid-activated Cl⁻ channels: properties and mechanisms of regulation. 2015, Pubmed
De Stefano, A single point mutation reveals gating of the human ClC-5 Cl-/H+ antiporter. 2013, Pubmed , Xenbase
Dickerson, Altered GABAergic function accompanies hippocampal degeneration in mice lacking ClC-3 voltage-gated chloride channels. 2002, Pubmed
Feng, Structure of a eukaryotic CLC transporter defines an intermediate state in the transport cycle. 2010, Pubmed
Friedrich, Mutational analysis demonstrates that ClC-4 and ClC-5 directly mediate plasma membrane currents. 1999, Pubmed , Xenbase
Gilissen, Genome sequencing identifies major causes of severe intellectual disability. 2014, Pubmed
Günther, ClC-5, the chloride channel mutated in Dent's disease, colocalizes with the proton pump in endocytotically active kidney cells. 1998, Pubmed
Guzman, Neuronal ClC-3 Splice Variants Differ in Subcellular Localizations, but Mediate Identical Transport Functions. 2015, Pubmed
Guzman, ClC-3 is an intracellular chloride/proton exchanger with large voltage-dependent nonlinear capacitance. 2013, Pubmed
Hara-Chikuma, ClC-3 chloride channels facilitate endosomal acidification and chloride accumulation. 2005, Pubmed
He, West Syndrome Caused By a Chloride/Proton Exchange-Uncoupling CLCN6 Mutation Related to Autophagic-Lysosomal Dysfunction. 2021, Pubmed
Hofman, Corpus Callosum Agenesis: An Insight into the Etiology and Spectrum of Symptoms. 2020, Pubmed
Howard, The K-Cl cotransporter KCC3 is mutant in a severe peripheral neuropathy associated with agenesis of the corpus callosum. 2002, Pubmed , Xenbase
Hu, X-exome sequencing of 405 unresolved families identifies seven novel intellectual disability genes. 2016, Pubmed
Ishida, A model of lysosomal pH regulation. 2013, Pubmed
Jentsch, CLC Chloride Channels and Transporters: Structure, Function, Physiology, and Disease. 2018, Pubmed
Kasper, Loss of the chloride channel ClC-7 leads to lysosomal storage disease and neurodegeneration. 2005, Pubmed
Kornak, Loss of the ClC-7 chloride channel leads to osteopetrosis in mice and man. 2001, Pubmed
Lange, ClC-7 requires Ostm1 as a beta-subunit to support bone resorption and lysosomal function. 2006, Pubmed
Leisle, ClC-7 is a slowly voltage-gated 2Cl(-)/1H(+)-exchanger and requires Ostm1 for transport activity. 2011, Pubmed
Li, The ClC-3 chloride channel promotes acidification of lysosomes in CHO-K1 and Huh-7 cells. 2002, Pubmed
Lloyd, A common molecular basis for three inherited kidney stone diseases. 1996, Pubmed , Xenbase
Lorenz, Heteromultimeric CLC chloride channels with novel properties. 1996, Pubmed , Xenbase
Ludwig, Common gating of both CLC transporter subunits underlies voltage-dependent activation of the 2Cl-/1H+ exchanger ClC-7/Ostm1. 2013, Pubmed , Xenbase
Nicoli, Lysosomal Storage and Albinism Due to Effects of a De Novo CLCN7 Variant on Lysosomal Acidification. 2019, Pubmed , Xenbase
Novarino, Endosomal chloride-proton exchange rather than chloride conductance is crucial for renal endocytosis. 2010, Pubmed
Palmer, De novo and inherited mutations in the X-linked gene CLCN4 are associated with syndromic intellectual disability and behavior and seizure disorders in males and females. 2018, Pubmed , Xenbase
Philippakis, The Matchmaker Exchange: a platform for rare disease gene discovery. 2015, Pubmed
Piwon, ClC-5 Cl- -channel disruption impairs endocytosis in a mouse model for Dent's disease. 2000, Pubmed
Poët, Lysosomal storage disease upon disruption of the neuronal chloride transport protein ClC-6. 2006, Pubmed
Polovitskaya, A Recurrent Gain-of-Function Mutation in CLCN6, Encoding the ClC-6 Cl-/H+-Exchanger, Causes Early-Onset Neurodegeneration. 2020, Pubmed
Pusch, Large transient capacitive currents in wild-type lysosomal Cl-/H+ antiporter ClC-7 and residual transport activity in the proton glutamate mutant E312A. 2021, Pubmed
Rickheit, Role of ClC-5 in renal endocytosis is unique among ClC exchangers and does not require PY-motif-dependent ubiquitylation. 2010, Pubmed
Robertson, Design, function and structure of a monomeric ClC transporter. 2010, Pubmed
Rohrbough, Modulation of ClC-3 gating and proton/anion exchange by internal and external protons and the anion selectivity filter. 2018, Pubmed
Schmitz-Abe, Unique bioinformatic approach and comprehensive reanalysis improve diagnostic yield of clinical exomes. 2019, Pubmed
Shekarabi, Loss of neuronal potassium/chloride cotransporter 3 (KCC3) is responsible for the degenerative phenotype in a conditional mouse model of hereditary motor and sensory neuropathy associated with agenesis of the corpus callosum. 2012, Pubmed
Smith, Voltage-dependent charge movement associated with activation of the CLC-5 2Cl-/1H+ exchanger. 2010, Pubmed
Sobreira, GeneMatcher: a matching tool for connecting investigators with an interest in the same gene. 2015, Pubmed
Stauber, Sorting motifs of the endosomal/lysosomal CLC chloride transporters. 2010, Pubmed , Xenbase
Steinberg, A cation counterflux supports lysosomal acidification. 2010, Pubmed
Stobrawa, Disruption of ClC-3, a chloride channel expressed on synaptic vesicles, leads to a loss of the hippocampus. 2001, Pubmed
Ullrich, Identification of TMEM206 proteins as pore of PAORAC/ASOR acid-sensitive chloride channels. 2019, Pubmed
Veeramah, Exome sequencing reveals new causal mutations in children with epileptic encephalopathies. 2013, Pubmed , Xenbase
Vissers, Genetic studies in intellectual disability and related disorders. 2016, Pubmed
Wang, Genetic Variants Identified from Epilepsy of Unknown Etiology in Chinese Children by Targeted Exome Sequencing. 2017, Pubmed
Wartosch, Lysosomal degradation of endocytosed proteins depends on the chloride transport protein ClC-7. 2009, Pubmed
Weinert, Uncoupling endosomal CLC chloride/proton exchange causes severe neurodegeneration. 2020, Pubmed
Weinert, Lysosomal pathology and osteopetrosis upon loss of H+-driven lysosomal Cl- accumulation. 2010, Pubmed
Yang, PAC, an evolutionarily conserved membrane protein, is a proton-activated chloride channel. 2019, Pubmed
Yoshikawa, CLC-3 deficiency leads to phenotypes similar to human neuronal ceroid lipofuscinosis. 2002, Pubmed
Zhao, The ClC-3 chloride transport protein traffics through the plasma membrane via interaction of an N-terminal dileucine cluster with clathrin. 2007, Pubmed
Zifarelli, On the mechanism of gating charge movement of ClC-5, a human Cl(-)/H(+) antiporter. 2012, Pubmed
