Click here to close
Hello! We notice that you are using Internet Explorer, which is not supported by Xenbase and may cause the site to display incorrectly.
We suggest using a current version of Chrome,
FireFox, or Safari.
Int J Mol Sci
2021 May 07;229:. doi: 10.3390/ijms22094986.
Show Gene links
Show Anatomy links
Novel KCND3 Variant Underlying Nonprogressive Congenital Ataxia or SCA19/22 Disrupt KV4.3 Protein Expression and K+ Currents with Variable Effects on Channel Properties.
Zanni G
,
Hsiao CT
,
Fu SJ
,
Tang CY
,
Capuano A
,
Bosco L
,
Graziola F
,
Bellacchio E
,
Servidei S
,
Primiano G
,
Soong BW
,
Jeng CJ
.
???displayArticle.abstract???
KCND3 encodes the voltage-gated potassium channel KV4.3 that is highly expressed in the cerebellum, where it regulates dendritic excitability and calcium influx. Loss-of-function KV4.3 mutations have been associated with dominant spinocerebellar ataxia (SCA19/22). By targeted NGS sequencing, we identified two novel KCND3 missense variants of the KV4.3 channel: p.S347W identified in a patient with adult-onset pure cerebellar syndrome and p.W359G detected in a child with congenital nonprogressive ataxia. Neuroimaging showed mild cerebellar atrophy in both patients. We performed a two-electrode voltage-clamp recording of KV4.3 currents in Xenopus oocytes: both the p.G345V (previously reported in a SCA19/22 family) and p.S347W mutants exhibited reduced peak currents by 50%, while no K+ current was detectable for the p.W359G mutant. We assessed the effect of the mutations on channel gating by measuring steady-state voltage-dependent activation and inactivation properties: no significant alterations were detected in p.G345V and p.S347W disease-associated variants, compared to controls. KV4.3 expression studies in HEK293T cells showed 53% (p.G345V), 45% (p.S347W) and 75% (p.W359G) reductions in mutant protein levels compared with the wildtype. The present study broadens the spectrum of the known phenotypes and identifies additional variants for KCND3-related disorders, outlining the importance of SCA gene screening in early-onset and congenital ataxia.
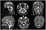
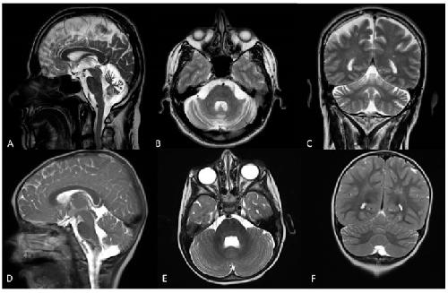
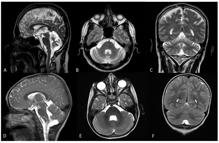
Figure 1. Brain MRI of patient 1 performed at 57 years old. T1-weighted midsagittal (A) axial (B) and coronal (C) sections showing atrophy of the cerebellar vermis and hemispheres. Brain MRI of patient 2 performed at age 2 years. T1-weighted midsagittal (D) axial (E) and coronal (F) sections showing mild atrophy of the superior cerebellar vermis and hemispheres.
Figure 2. Topographic presentation and protein structure modeling for KV4.3 channel. (A) Amino acid sequent alignment of various KV4.3-relevant homolog and ortholog proteins. The residues G345, S347, and W359 (in red) are highly conserved across multiple animal species. (B,C) The homology models of the KCND3 protein are shown with the affected residues. The four identical monomers composing the KCND3 pore are shown in distinct colors. The selectivity filter (residues 367–372) is represented by magenta sticks (B). G345 and S347 are located proximal to the pore while W359 directly interacts with the selectivity filter.
Figure 3. Loss-of-function channel phenotype of disease-related KV4.3 mutants. Functional expression of Myc-KV4.3 channel subunits in the presence of the auxiliary KChIP2 subunit in Xenopus oocytes. (A) Representative current traces in response to a voltage protocol comprising test potentials ranging from -60 mV to +60 mV in 10-mV steps. In contrast to the robust K+ currents observed in the WT, expression of individual KV4.3 p.G345V, p.S347W, and p.W359G mutant resulted in significant reduction in outward K+ currents. (B) Peak K+ current amplitudes are plotted against corresponding test pulse potentials (I-V curves). (C) Normalized peak current amplitudes at +60 mV: WT, 1.00 ± 0.10; p.G345V, 0.45 ± 0.05; p.S347W, 0.39 ± 0.05; p.W359G, 0.00 ± 0.00. Data from the same batch of oocytes on a given day were normalized with respect to the mean amplitude of the WT, followed by pooling multiple normalized data from different batches of oocytes. Numbers of observations are labeled in parentheses. Asterisks denote significant differences from the WT control (*, p < 0.05). (D) Steady-state activation curves of individual WT, p.G345V, and p.S347W KV4.3. Lines represent Boltzmann equation fits to the data points. The half-activation voltage (V0.5a) are: WT, −28.9 ± 0.5; p.G345V, −28.9 ± 0.5; p.S347W, −28.9 ± 0.5.
Figure 4. Disrupted proteostasis of the disease-associated KV4.3 mutants. Biochemical characterization of Myc-KV4.3 subunits in HEK293T cells. (Top panels) Representative immunoblots showing total protein expression of various KV4.3 constructs. Cell lysates were subject to immunoblotting analyses with the indicated antibodies (α-Myc, α-HA, and α-Tubulin). Molecular weight markers (in kDa) are labeled to the left. Tubulin expression was chosen as the loading control. (Bottom panels) Statistical analyses. Total KV4.3 protein density was standardized as the ratio to the cognate total tubulin signal, followed by normalization with respect to the WT control. (A) Myc-KV4.3 subunits were expressed alone (n = 6): WT, 1.00 ± 0.08; p.G345V, 0.47 ± 0.04; p.S347W, 0.55 ± 0.05; p.W359G, 0.25 ± 0.05. (B) Myc-KV4.3 were co-expressed with HA-KChIP2 (n = 6): WT, 1.00 ± 0.10; p.G345V, 0.56 ± 0.14; p.S347W, 0.71 ± 0.11; p.W359G, 0.26 ± 0.10. (C) Myc-KV4.3 were co-expressed with HA-KChIP3 (n = 14−18): WT, 1.00 ± 0.03; p.G345V, 0.77 ± 0.09; p.S347W, 0.48 ± 0.08; p.W359G, 0.24 ± 0.04. Asterisks denote significant difference from the WT control (*, p < 0.05).
An,
Modulation of A-type potassium channels by a family of calcium sensors.
2000, Pubmed,
Xenbase
An,
Modulation of A-type potassium channels by a family of calcium sensors.
2000,
Pubmed
,
Xenbase
Bertini,
Nonprogressive congenital ataxias.
2018,
Pubmed
Carrasco-Marina,
[De novo sporadic mutation in the KCND3 gene in a patient with early onset chronic ataxia].
2019,
Pubmed
Choi,
Genetic Variants Associated with Episodic Ataxia in Korea.
2017,
Pubmed
Coutelier,
A panel study on patients with dominant cerebellar ataxia highlights the frequency of channelopathies.
2017,
Pubmed
Coutelier,
Efficacy of Exome-Targeted Capture Sequencing to Detect Mutations in Known Cerebellar Ataxia Genes.
2018,
Pubmed
Duarri,
Mutations in potassium channel kcnd3 cause spinocerebellar ataxia type 19.
2012,
Pubmed
Duarri,
The L450F [Corrected] mutation in KCND3 brings spinocerebellar ataxia and Brugada syndrome closer together.
2013,
Pubmed
Hoffman,
K+ channel regulation of signal propagation in dendrites of hippocampal pyramidal neurons.
1997,
Pubmed
Hsiao,
Novel SCA19/22-associated KCND3 mutations disrupt human KV 4.3 protein biosynthesis and channel gating.
2019,
Pubmed
Hsieh,
Infant and adult SCA13 mutations differentially affect Purkinje cell excitability, maturation, and viability in vivo.
2020,
Pubmed
Hsu,
Contrasting expression of Kv4.3, an A-type K+ channel, in migrating Purkinje cells and other post-migratory cerebellar neurons.
2003,
Pubmed
Huin,
Expanding the phenotype of SCA19/22: Parkinsonism, cognitive impairment and epilepsy.
2017,
Pubmed
Jerng,
Modulatory mechanisms and multiple functions of somatodendritic A-type K (+) channel auxiliary subunits.
2014,
Pubmed
Klockgether,
Spinocerebellar ataxia.
2019,
Pubmed
Krivov,
Improved prediction of protein side-chain conformations with SCWRL4.
2009,
Pubmed
Kurihara,
Novel De Novo KCND3 Mutation in a Japanese Patient with Intellectual Disability, Cerebellar Ataxia, Myoclonus, and Dystonia.
2018,
Pubmed
Lee,
Mutations in KCND3 cause spinocerebellar ataxia type 22.
2012,
Pubmed
Li-Smerin,
alpha-helical structural elements within the voltage-sensing domains of a K(+) channel.
2000,
Pubmed
,
Xenbase
Nadal,
Evidence for the presence of a novel Kv4-mediated A-type K(+) channel-modifying factor.
2001,
Pubmed
,
Xenbase
Paucar,
V374A KCND3 Pathogenic Variant Associated With Paroxysmal Ataxia Exacerbations.
2021,
Pubmed
,
Xenbase
Pollini,
KCND3-Related Neurological Disorders: From Old to Emerging Clinical Phenotypes.
2020,
Pubmed
Richards,
Standards and guidelines for the interpretation of sequence variants: a joint consensus recommendation of the American College of Medical Genetics and Genomics and the Association for Molecular Pathology.
2015,
Pubmed
Serôdio,
Cloning of a novel component of A-type K+ channels operating at subthreshold potentials with unique expression in heart and brain.
1996,
Pubmed
,
Xenbase
Smets,
First de novo KCND3 mutation causes severe Kv4.3 channel dysfunction leading to early onset cerebellar ataxia, intellectual disability, oral apraxia and epilepsy.
2015,
Pubmed
Takimoto,
Palmitoylation of KChIP splicing variants is required for efficient cell surface expression of Kv4.3 channels.
2002,
Pubmed
Wang,
Structural basis for modulation of Kv4 K+ channels by auxiliary KChIP subunits.
2007,
Pubmed
,
Xenbase