|
Figure 1. Expression profiles of Foxl1 homeolog mRNAs in the small intestine during natural and T3-induced metamorphosis. Total RNA was prepared from the intestine of X. laevis tadpoles at indicated developmental stages (a,c) or Nieuwkoop and Faber (NF) stage 54-tadpoles after 10 nM T3 treatment (b,d) and was analyzed by qRT-PCR. Levels of Foxl1.L (a,b) and Foxl1.S mRNAs (c,d) are shown relative to those of ribosomal protein L8 (rpL8.S) mRNA, with the values at stage 54 or T3 for 0 day set to 141,42,43. Error bars represent the SEM (nâ=â4). The values were analyzed by ANOVA followed by Scheffeâs post hoc test. Different letters indicate significant differences among the indicated stages or days after T3 treatment (Pâ<â0.05).
|
|
Figure 2. T3 indirectly induces the mRNA expression of Foxl1 homeologs through Shh signaling. (a) Total RNA was isolated from the intestine of premetamorphic stage 54-tadpoles treated with DMSO (Control, white bars), 50 nM T3+DMSO (T3, gray bars), cycloheximide and anisomycin (Chx, shaded bars) and 50 nM T3+Chx (T3+Chx, black bars) for 6 h following the pretreatment with DMSO or Chx for 1 h. mRNA levels of indicated genes were examined by qRT-PCR and shown relative to those of rpL8.S mRNA, with the value of Control set to 1. Error bars represent the SEM (nâ=â4). The values were analyzed by ANOVA followed by Scheffeâs post hoc test. Different letters indicate significant differences among the indicated treatment (Pâ<â0.05). When both Control vs T3 and Chx vs T3+Chx were statistically significant, the gene was determined as the direct TH response gene. (bâe) Premetamorphic tadpoles at stage 54 were pretreated with DMSO for 4 days. Then, total RNA was isolated from the intestine at 0 day or 1 day after treatment with 0, 150 or 600 nM SAG. mRNA levels of indicated genes were examined by qRT-PCR and shown relative to those of rpL8.S mRNA, with the value at day 0 set to 1. Error bars represent the SEM (nâ=â6 for Foxl1.L, nâ=â5 for Foxl1.S, nâ=â3 for Gli1.S and IFABP.L). The values were analyzed by ANOVA followed by Scheffeâs post hoc test. Different letters indicate significant differences among the indicated treatment (Pâ<â0.05). (f,g) Premetamorphic tadpoles at stage 54 were treated with 10 nM T3 in the presence of 2.5 mM cyclopamine (CP) or ethanol vehicle for 3 days. Then, total RNA was isolated from the intestine. mRNA levels of indicated genes were examined by qRT-PCR and shown relative to those of rpL8.S mRNA, with the value of T3 plus ethanol vehicle for 3 days set to 1. Error bars represent the SEM (nâ=â3). The values were analyzed by Studentâs t-test. Asterisks indicate that the mRNA levels are significantly different. **Pâ<â0.01.
|
|
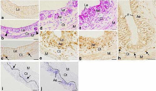
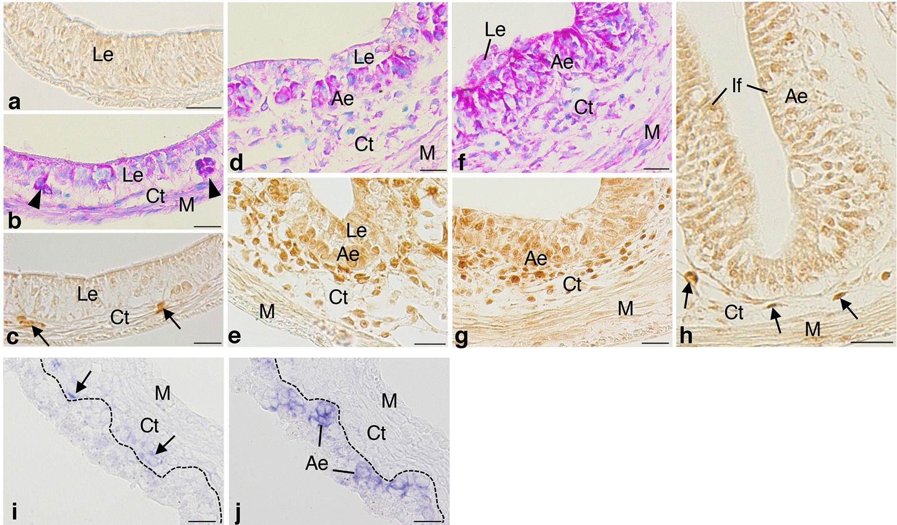
Figure 3. Spatio-temporal expression of Foxl1 in the X. laevis intestine during metamorphosis. Cross sections were immunostained with anti-Foxl1 antibody (a,c,e,g,h) and stained with methyl green-pyronin (b,d,f), or hybridized with antisense Foxl1 (i) or c-Myc probes (j). (a) Stage 57. No cell is positive for Foxl1. (b,c) Stage 60. Adult stem/progenitor cells appear as islets strongly stained red with pyronin ((b), arrowheads) between the larval epithelium (Le) and the connective tissue (Ct). Some connective tissue cells become positive for Foxl1 ((c), arrows). (d,e) Stage 61. Both primordia of the adult epithelium (Ae) and the connective tissue increase in cell number (d). Connective tissue cells positive for Foxl1 become numerous close to the adult epithelial primordia (e). (f,g) Stage 62. The adult epithelium mostly replaces the larval one (f). Most of the connective tissue cells surrounding the adult epithelium are positive for Foxl1 (g). (h) Stage 66 (end of metamorphosis). Connective tissue cells positive for Foxl1 (arrows) are small in number and tend to be localized in the trough of newly-formed intestinal folds (If). (i,j) Stage 62. Foxl1 mRNA (i, arrows) is detected as dark blue deposits in the connective tissue cells close to adult epithelial primordia expressing c-Myc (j). The dashed-lines indicate the boundary of the epithelium and connective tissue. M; muscles. Bars, 20 μm.
|
|
Figure 4. Correlation between Foxl1 expression and the expression of Msi1, an adult stem cell marker, and that of Gli1 in the X. laevis intestine at stage 61. Cells positive for Foxl1 (a,b), arrows) are localized in the connective tissue (Ct) close to primordia of the adult epithelium expressing Msi1 ((a), arrowheads). Most of them are also positive for Gli1 ((b), arrows). Bars, 20 μm.
|
|
Epithelial-connective tissue interfaces in the X. laevis intestine during stages 61â62. Subepithelial fibroblasts (F) often possess long and thin processes ((a), arrows) and make contacts with stem/progenitor cells of the adult epithelium (Ae) through the modified basal lamina (Bl). Some of the processes are occasionally dilated ((b), arrow). Inset: Higher magnification of the boxed area in (b). The process makes contact with the adult epithelial cell (arrowhead). Bars, 1 μm.
|
|
Figure 6. T3-induced expression of Foxl1 in the connective tissue of the X. laevis tadpole intestine cultured for 5 days in vitro. Cross sections were immunostained with anti-Foxl1 antibody (a,b) and double-immunostained with anti-Foxl1 and anti-Msi1 antibodies (c). (a) Control intestine cultured in the absence of T3. The epithelium (E) remains simple columnar. No cell is positive for Foxl1 in any tissue. (b,c) Intestines cultured in the presence of T3. Cells positive for Foxl1 are detectable in the connective tissue (Ct) but not in the epithelium (b), arrows). These cells ((c), arrow) are localized near adult epithelial primordia expressing Msi1 ((c), arrowheads). Bars, 20 μm.
|
|
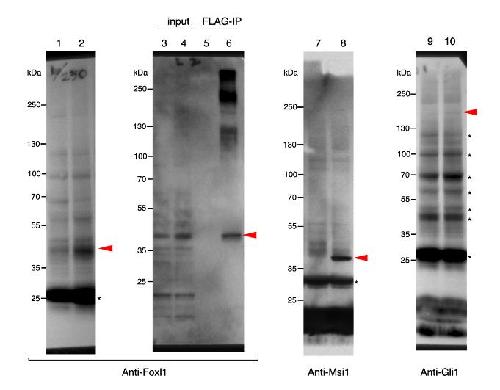
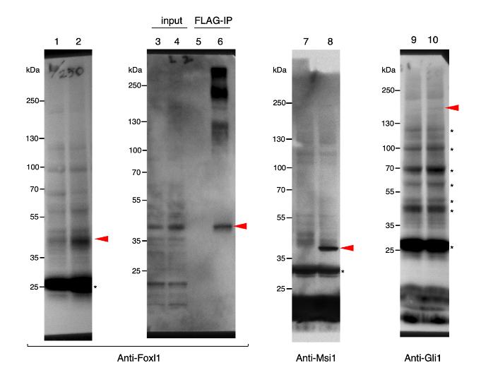
Figure S1. The antibodies specifically recognize X. laevis proteins. In vitro-translated (IVT) proteins (1. non-template control, 2. Foxl1.L, 7. non-template control, 8. Msi1.L, 9. non-template control, 10. Gli1.S) produced by TNT T7 or SP6, and input and FLAG-IP samples prepared from X. laevis embryos (3, 5. uninjected, 4, 6. FLAG-Foxl1.L mRNA-injected) were analyzed by Western blotting using the indicated antibodies. Arrowheads indicate the specific signals with the expected molecular weights. Asterisks indicate non-specific signals as they are also detected in the negative controls. Note, anti-Foxl1 antibody also detected the endogenous Foxl1 (lane 3). Only a weak signal for Gli1 was detected due to low protein production. Full-length blots are presented.
|
|
Figure 5. Epithelial-connective tissue interfaces in the X. laevis intestine during stages 61â62. Subepithelial fibroblasts (F) often possess long and thin processes ((a), arrows) and make contacts with stem/progenitor cells of the adult epithelium (Ae) through the modified basal lamina (Bl). Some of the processes are occasionally dilated ((b), arrow). Inset: Higher magnification of the boxed area in (b). The process makes contact with the adult epithelial cell (arrowhead). Bars, 1 μm.
|