|
Figure 1. Photos of specimens in dorsal (left) and ventral (right) views of Kaloula pulchra (AâD) and Xenopus laevis (EâH) showing the differences between both species and females and males. Scale bars = 1 cm.
|
|
Figure 2. Magnetic resonance imaging (MRI) slices selected to classify Kaloula pulchra anurans by sex. Images from (A) to (D) show the main sexual structures identified in a non-gravid (A,B) and gravid (C,D) Kaloula pulchra female. Images (E) and (F) show testis and kidneys in a Kaloula pulchra male. The dashed lines in (A,C,E) indicate the magnification photos showed in (B,D,F). Scale bars = 1 cm.
|
|
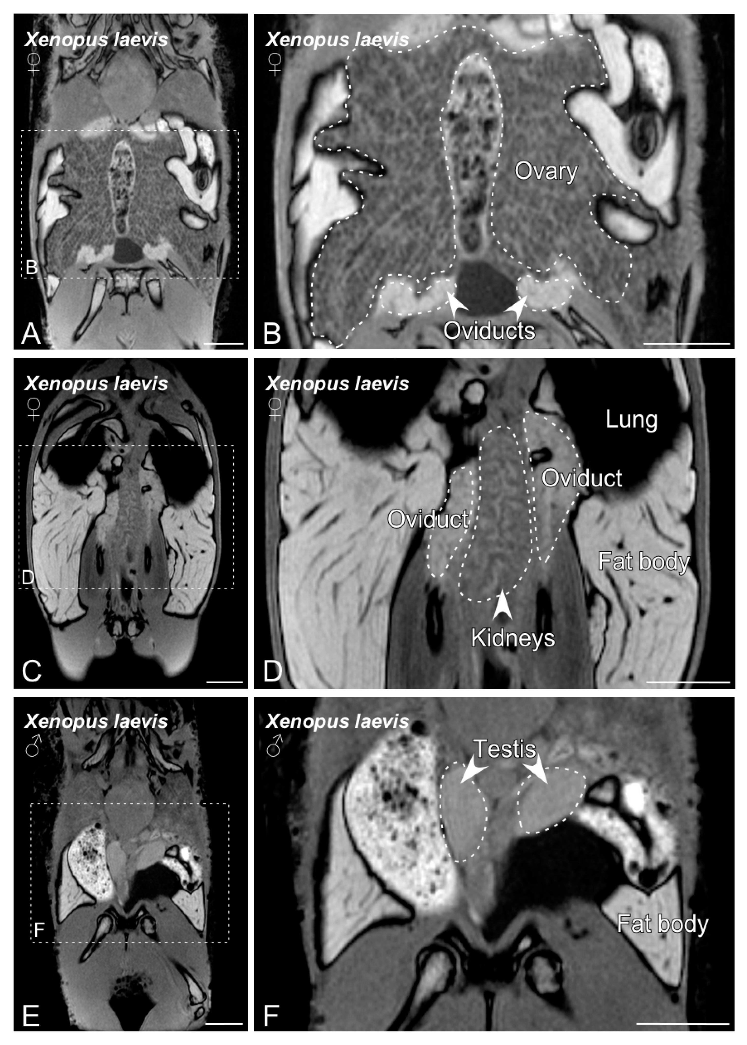
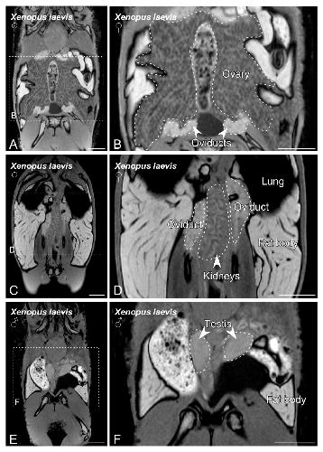
Figure 3. MRI slices selected to illustrate the main sex organs of the Xenopus laevis anurans. Images from (A) to (D) show the structures identified in a gravid Xenopus laevis female. Images (E,F) show testis and fat body in a Xenopus laevis male. The dashed lines in (A,C,E) indicate the magnification photos showed in (B,D,F). Scale bars = 1 cm.
|
|
Figure 4. Representative high-resolution ultrasound (HR-US) images of a female Kaloula pulchra obtained in the transverse plane (A) and a female Xenopus laevis (B) obtained in the longitudinal plane using, in both cases, a ventral acoustic window. Follicles appeared as a complex of anechoic or hypoechoic rounded or oval areas separated by hyperechoic lines.
|
|
Figure 5. HR-US images of a female Xenopus laevis in the longitudinal plane using ventral (A) and dorsal (B) acoustic windows. Although the complex of follicles is clearly identified in both, the ventral acoustic window was considered more adequate for the examination of female gonads. Nevertheless, the kidney (k) was better identified using the dorsal acoustic window.
|
|
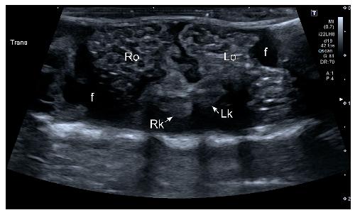
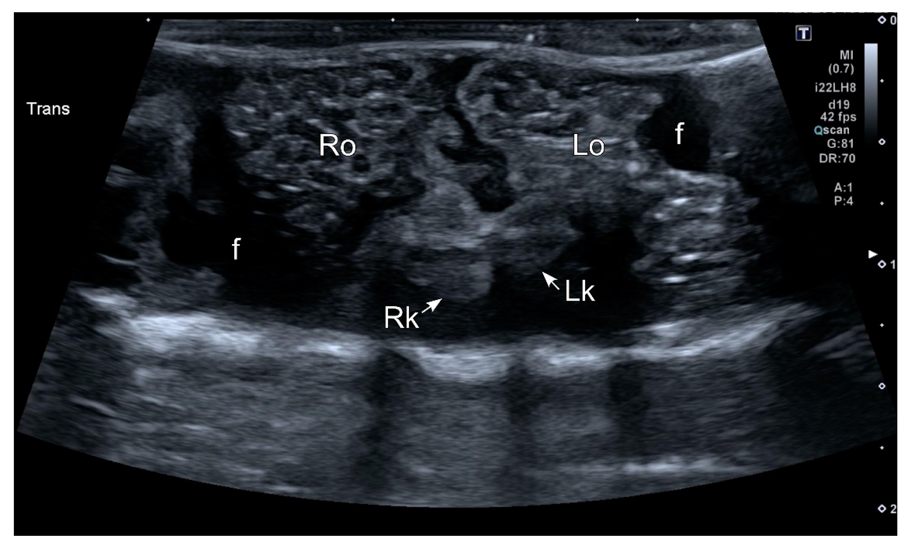
Figure 6. HR-US image of a female Kaloula pulchra obtained in the transverse plane using a ventral acoustic window. The image was taken just after oviposition. Both ovaries (right ovary: Ro; left ovary: Lo) appeared as hyperechoic structures with multiple hypoechoic foci which represent follicles. The kidneys are also visible (right kidney: Rk; left kidney: Lk). This animal had free fluid (f), which is considered normal in amphibians. The fluid around the ovaries improves its margin definition.
|
|
Figure 7. Representative HR-US images of Kaloula pulchra (A) and Xenopus laevis (B) males obtained in the longitudinal plane using a dorsal acoustic window. The testes (delimited by arrows) appeared as structures with oval morphology, mid echogenicity and homogenous echotexture. Testes were located just ventral or ventrolateral of the ipsilateral kidney (k).
|
|
Figure 7. Representative HR-US images of Kaloula pulchra (A) and Xenopus laevis (B) males obtained in the longitudinal plane using a dorsal acoustic window. The testes (delimited by arrows) appeared as structures with oval morphology, mid echogenicity and homogenous echotexture. Testes were located just ventral or ventrolateral of the ipsilateral kidney (k).
|
|
Figure S1 - MRI identification of structures contained in the coelomic cavity. Figure S1 shows the main structures identified in the coelomic cavity in Kaloula pluchra frog. Three different slices of the MRI experiment were selected (A, B, C). Three different MRI weightings (Fast Spin Echo T1-weighted, Gradient Echo and FSE T2-weighted) are shown for each slice.
|
|
Graph S1. MRI - Volumetric quantification of testes and kidneys. Graph S1 shows the average volume values weighted by body mass (mm3/g) of kidneys and testes measured in six Kaloula pulchra (K-1 to K-6) and three Xenopus laevis anurans (X-1 to X-3). The graph is intended to show the possibility of obtaining quantitative information through the MRI study. This fact allows to contribute to the phenotyping between different species. As shown in the graph, regardless of the amphibian weight, the mean values for body-mass-weighted volume of kidneys and testis were considerably higher in Xenopus laevis anurans.
|
|
Figure S2 - Additional sex-gender system structures identified by MRI. Composition shows additional sex-gender system structures identified by MRI (A and B) as well as the 3D visualization of the main organs of the male and female reproductive system in Kaloula pulchra. Figures A and B show the urogenital ducts, the adrenal glands and the vasa efferentia that connects testes with the urogenital duct, identified in a Kaloula pulchra male. Fig. C1 illustrates the 3D view of kidneys (yellow), oviduct (pink) and ovaries with follicles (sky blue) while Fig. C2 remarks testes (green) and kidneys (orange).
|