|
Fig. 2. Cell-autonomous and signal-dependent expression of liver and intestine marker genes in endodermal explants and dissociated embryonic precursor cells. The upper panel shows the diagrams of the experiments. CE: control embryos; EE: endoderm explants isolated from stage 14 embryos; EED: endoderm explants isolated from stage 14 embryos and subsequently dissociated without reaggregation; 2C: two-cell stage embryos were kept in a Ca2+- and Mg2+-free medium without removing the vitelline membrane; 2CD: embryos were dissociated at the two-cell stage without reaggregation by first removing the vitelline membrane and then keeping in a Ca2+- and Mg2+-free medium. When the control embryos reached stage 39, all samples were collected and used for further RT-PCR analysis. The lower panel illustrates the RT-PCR results. EF1-alpha was used as an RNA loading control. Two pancreas markers, XlHbox8 and insulin, were also included in the analysis. XFog is a ventral mesoderm marker. These experiments were performed three times. One representative RT-PCR is shown.
|
|
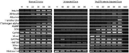
Fig. 3. Overexpression of VegT and β-catenin in animal caps recapitulates the regular temporal expression profile of the four groups of liver and intestine marker genes. Normal embryos, control uninjected caps, and VegT (500 pg/embryo) and β-catenin (200 pg/embryo) co-injected caps were collected at different stages and used for RT-PCR analyses. Embryos were staged according to Nieuwkoop and Faber (1967). The temporal expression profile of representative members for the four groups of liver and intestine markers (albumin, transthyretin, fibrinogen α, AMBP, 3B6, and Cyl18), of endoderm-specific transcription factors (Mixer, GATA6, and HNF3β), as well as of one pancreas marker (XlHbox8) and one pan-mesoderm marker (Xbra) was analyzed in normal embryos (left panel), control caps (middle) and in VegT/β-catenin injected animal caps (right panel). Histone H4 was used as an RNA loading control.
|
|
Fig. 5. FGF signaling is required for the expression of liver specific markers (albumin and XHex, LS group) and of one pancreas marker (XlHbox8), but not for the expression of genes in the LIA group (3H12 and transthyretin). XFD, a dominant-negative variant of the FGF receptor, was co-injected with VegT and β-catenin in order to reveal the function of FGF signaling in the regulation of liver and intestine marker gene expression. Normal embryos, control uninjected caps, VegT (500 pg/embryo) and β-catenin (200 pg/embryo) co-injected caps, and VegT (500 pg/embryo), β-catenin (200 pg/embryo), and XFD (2 ng/embryo) co-injected caps were collected at stage 12 (B) and stage 42 (A) and used for further RT-PCR analyses. Histone H4 was used as an RNA loading control. These experiments were performed three times. One representative RT-PCR result is shown here.
|
|
Fig. 1. Embryonic expression characteristics define four distinct groups of liver and intestine marker genes. Embryos were staged according to Nieuwkoop and Faber (1967). Digoxigenin-labeled antisense RNAs of XPTB [ldlrap1] , 3H12 [uncharacterised XB5836725] , 3B6 [fetub.S] , Cyl104 [f13b] , SRBP [rbp4] and Cyl18 [darmin] were used for whole-mount in situ hybridization.
Three embryonic stages were chosen to illustrate the spatial and temporal expression characteristics of liver and intestine marker genes. Genes expressed in the liver diverticulum region are clearly detected at stage 34. Stage 44 is the best developmental stage to simultaneously reveal expression in the gall bladder, liver, pancreas, duodenum and intestine in a ventral view of the embryo. Stage 46 is chosen to show that many genes, which are earlier expressed in both liver and intestine, are now restricted to the embryonic liver. (a) XPTB expression (the LS group): Specific expression in liver diverticulum is observed in stage 34
embryo (a). A very weak expression of XPTB is detected in the liver and gall bladder buds at stage 44 of development (b). During further development, it is
hard to detect the expression of this gene by whole-mount in situ hybridization (c). (d) 3H12 expression (the LIA group): at tailbud stage of development, a
weak expression is observed only in the intestine (d). A strong expression domain appears in the liver and gall bladder at stage 44 of development (e). The
strong expression in liver and gall bladder is maintained, however, the weak expression in the intestine is no longer detectable at stage 46 of development (f).
(g) expression of 3B6, Cyl104 and SRBP (the LIB group): These genes are expressed in both the liver diverticulum and the intestine at tailbud stage of
development (g,j,m). Their expression is restricted to the liver at stage 46 of development (i,l,o). (p) Cyl18 expression (the IS group): At tailbud stages of
development, it is expressed in the whole mid- and hindgut, but not in the foregut (p). At stage 44, strong signals are seen in the whole intestine, but no signals
are detected in the foregut derivatives, such as the oesophagus, stomach, liver, gall bladder, lung, pancreas and duodenum (q). During subsequent development,
expression levels drastically decrease (r). Abbreviations: gb, gall bladder; la, liver anlage; lv, embryonic liver.
|
|
Fig. 4. Whole-mount in situ hybridization analysis of Cyl18 and 3B6
expression in VegT/b-catenin injected animal caps. (A) animal caps
isolated from control embryos and VegT/b-catenin injected embryos were
collected when control siblings had reached stage 39 and analyzed with
digoxigenin-labeled Cyl18 and 3B6 antisene RNA probes. (A, C) control
caps; (B, D) VegT and b-catenin injected caps. Red arrows in B indicate
discrete patches of Cyl18 expressing cells. Red triangles in B and D indicate
clusters of cells that express Cyl18 and 3B6, respectively. Control caps
express neither Cyl18 (A), nor 3B6 (C). (E, F) animal caps isolated from
LacZ injected or VegT, b-catenin, and LacZ co-injected embryos were
fixed when control siblings had reached stage 39 and stained with X-gal to
indirectly demonstrate the uniform distribution of injected RNA in the
isolated caps.
|
|
rbp4 (retinol binding protein 4, plasma) gene expression in Xenopus laevis embryos, NF stage 34-36, as assayed by in situ hybridization, lateral view, anterior left, dorsal up.
key: la= liver anlage/primordium
|
|
ldlrap1 (low density lipoprotein receptor adaptor protein 1)gene expression in Xenopus laevis embryos, NF stage 34-36, as assayed by in situ hybridization, lateral view, anterior left, dorsal up.
Key: la = liver anlage/primoridum
|
|
|
|
f13b (coagulation factor XIII B chain) gene expression in Xenopus laevis embryo, assayed via in situ hybridization, NF stage 44 ( left) and NF stage 46 ( right), ventral view, anterior up.
|
|
|
|
XB5836725 (uncharacterized XB5836725) gene expression in Xenopus laevis embryo, assayed via in situ hybridization, NF stage 44 (left) and NF stage 46 (right), ventral view, anterior up.
|