Click here to close
Hello! We notice that you are using Internet Explorer, which is not supported by Xenbase and may cause the site to display incorrectly.
We suggest using a current version of Chrome,
FireFox, or Safari.
???displayArticle.abstract???
We have used antisense morpholino oligos to establish the developmental roles of three Xsox17 proteins in Xenopus development (Xsox17alpha(1), alpha(2) and beta). We show that their synthesis can be inhibited with modest amounts of oligo. The inhibition of each individually produces defects in late midgut development. Loss of activity of the Xsox17alpha proteins additionally inhibits hindgut formation, and inhibiting Xsox17alpha(1) disrupts foregut development with variable penetrance. When all Xsox17 activity is inhibited cell movements are halted during late gastrulation and the transcription of several endodermally expressed genes is reduced. Thus the Xsox17 proteins have redundant roles in early development of the endoderm and partly distinct roles during later organogenesis.
???displayArticle.pubmedLink???
12591603
???displayArticle.link???Mech Dev
Fig. 1. Action of Xsox17a1 and b morpholinos. (A) Diagram of the 35Smethionine
labelling procedure used. To test Xsox17b inhibition, the
morpholino was mixed with linearised plasmid DNA containing Myctagged
Xsox17b. (B) Design of the transcription construct used to test the
Xsox17b morpholino. (C) Gel electrophoresis of labelled proteins
immunoprecipitated with an anti-Myc antibody from control, and injected
embryos. Ten ng of morpholino was injected. (D) Radioactive proteins
precipitated with an anti-Xsox17a antiserum; the embryos were injected
with 10 ng of the morpholinos indicated.
Fig. 2. Morpholino inhibition and embryonic expression of the two
Xsox17a mRNAs. Sequences of the 50 UTRs of the Xsox17a1 and a2
mRNAs, with the morpholinos designed against them. (B) SDS gel
electrophoresis of immunoprecipitated radioactive proteins (prepared as in
Fig. 1A) from Xenopus laevis and X. tropicalis embryos. (C) Immunoprecipitated
proteins from X. laevis embryos injected bilaterally with 10 ng
each of the morpholinos indicated. (D, E) RT-PCR analysis of expression of
the three Xsox17 genes in (D) stage 33 dissected Xenopus laevis embryos,
and (E) stage 40 isolated guts. The gall bladder region, where high level
Xsox17a expression has been described (Hudson et al., 1997; Zorn and
Mason, 2001) is located in samples 5 and 6 in (D) and 2 in (E).
Fig. 3. Late effects of anti-Xsox17b and a1 morpholinos. Panel 1. Anti-Xsox17b morpholino (10 ng). (A) A range of phenotypes at stage 35 produced by a total
of 10 ng of morpholino injected bilaterally into vegetal poles at the two-cell stage. The upper three embryos show the typical phenotype. In the lower two the
abnormalities are greater, with loss of head structures, commonly seen in many micro-injection experiments. (B) Normal control embryo. (C) Typical stage 43
morpholino embryos, an enlargement of one being shown in (D). (E) Shows a control embryo injected with 10 ng of morpholino. In (F) the typical phenotype in
(C) is dissected to show the liver/stomach region. A control dissection is shown in Fig. 4G; see also (Chalmers and Slack, 1998). Panel 2. Late effects of anti-
Xsox17 a1 morpholinos (10 ng, as in panel 1). (A) Stage 31 phenotypes produced by the Xsox17a1 oligo, the control being shown in (B). (C) Is a control
morpholino-injected stage 44 embryo and (D) shows the range of phenotypes produced by the Xsox17a1 morpholino at this stage; numbers identify embryos
dissected in later panels. (E) The gut of embryo #1, showing lack of development of the midgut, but the foregut and its organs are normal. (F) shows a ventral
view of the liver region of #2, with a small liver, incompletely separated from the gut and no distinct stomach and duodenum; (G) in lateral view the pancreas
and lung are seen to have formed, but the lack of separation of the liver from the gut is clear. In (H) the body wall of #3 is removed to show the poor
development of the entire gut, including the pharynx. (I) Shows a stage 37 embryo injected with 50 ng of the Xsox17a1 UTR2 morpholino; with an obvious
swelling in the liver region. (J) shows an equivalent embryo injected with 50 ng of the ineffective anti-splice morpholino. (K) By stage 44 a UTR2-injected
embryo looks like embryo #1 in panel (D). Abbreviations: ht, heart, lg, lung; lv, liver; pc, pancreas; st, stomach; and ph, pharynx.
Fig. 4. Panel 1. Late effects of anti-Xsox17a2 morpholino (10 ng). (A) Typical phenotypes caused by the a2 morpholino at stage 32, with a control in (B). (C)
Stage 44 phenotype, with a control in (D). (E) The gut of a stage 44 embryo, showing the absence of non-yolky proctodeum, the gut opening through a wide
aperture. The anterior region is enlarged in (F), showing the normal gut-associated foregut organs. (G) It is impossible to show a strictly comparable aspect of a
control embryo because of the coiling of the gut, but the ventral aspect of this region shows the normal disposition of liver and pancreas. Abbreviations as in
Fig. 3 except: gb, gall bladder; duo, duodenum; cl, cloaca. Panel 2. Effects of combinations of morpholinos at control stage 21. We injected 10 ng of each of the
morpholinos indicated in the panels. In (A) there is a one to two stage retardation of development, but otherwise the embryos are normal, the central nervous
system being clearly well-developed. In (G) development is blocked at the equivalent of stages 112, judging by the blocked blastopore closure; four of the
embryos are animal pole upwards to show the lack of any nervous system. One of the arrested embryos, blastopore up, is enlarged in the next panel.
Fig. 5. (A) Internal effects of combined morpholinos shown in bisected embryos. Ten ng of the three standard Xsox17 morpholinos were injected and the
embryos fixed at control stage 12 (A, C). The blocked morpholino embryos are in (B, D). (A, B) sagittal sections, (C, D) horizontal section. The lips of the
blastopore are arrowed in white and the archenteron roof in green. (E) Shows a blocked stage 16 embryo injected with 750 pg Xsox17b::En R mRNA, the
control being in (F). (G) Expression of Endodermin in embryos injected with morpholinos. These in situ hybridisations are to stage 10.5 embryos. (G) shows
expression in the control embryo; (H) received a total of 30 ng control morpholino bilaterally at the 2-cell stage; (I) received a total of 10 ng each of Xsox17a1,
a2 and b morpholinos bilaterally; (K) shows an embryo into which 5 ng of the three morpholinos were unilaterally injected; In (J) 5 ng of the three morpholinos
accompanied by 100 pg Xsox17b mRNA was injected. (L) Sections of stage 44 embryos injected with 10 ng Xsox17 morpholinos. (L) The complex coiling
of the gut is clear in a mid-abdominal section of a control embryo, but no coiling and little structure is seen in the oligo-injected embryos. (M) In embryos
injected with the Xsox17b morpholino the small gut cavity in the central abdominal region is arrowed. (N) The Xsox17a1 morpholino-injected embryo had no
gut cavity in the mid-gut region. The Xsox17a2 morpholino-injected embryo appeared essentially the same, except that in the most posterior regions the yolky
endoderm cells directly contact the exterior.
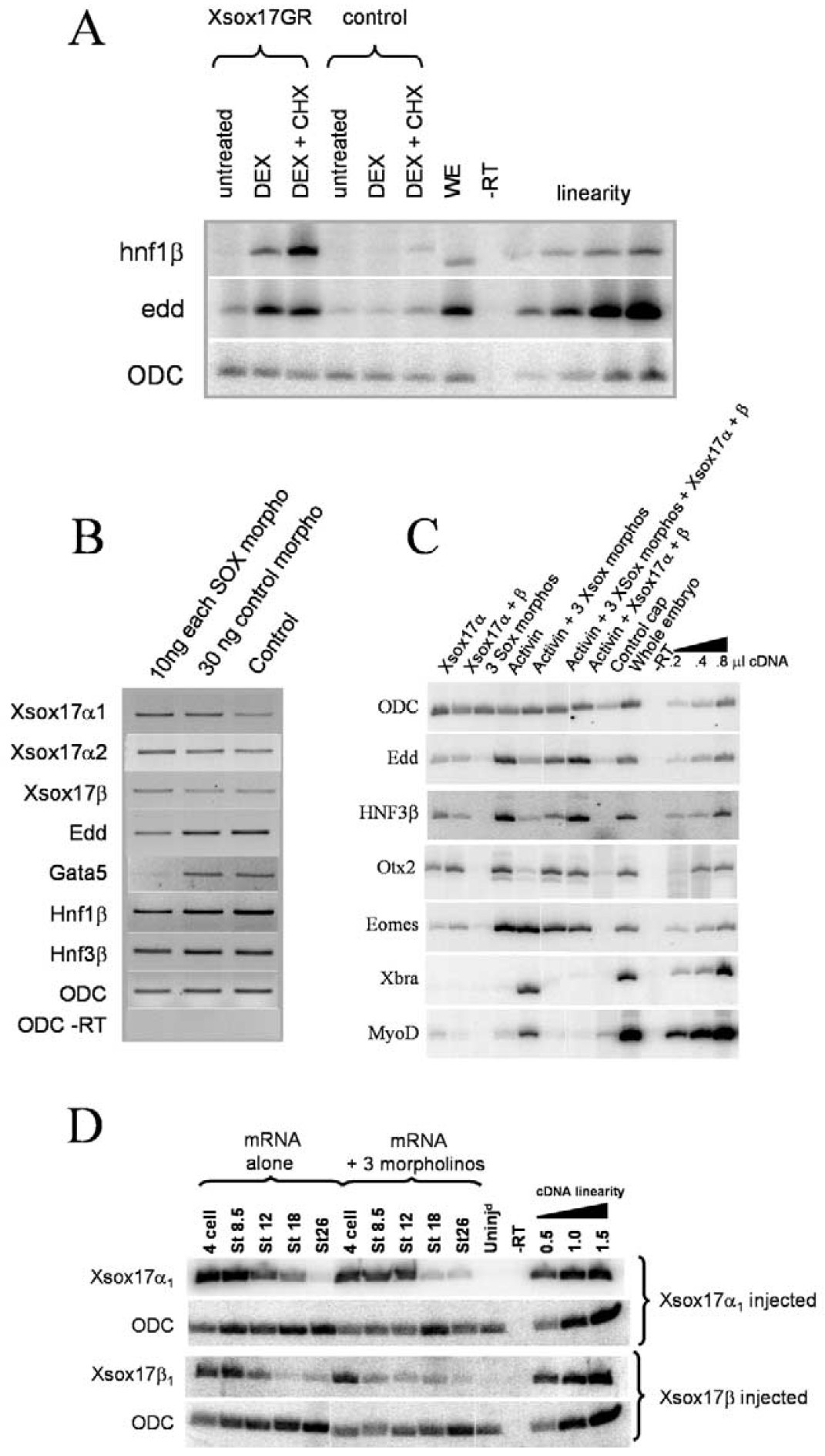
Fig. 6. RT-PCR analyses of gene expression in Xsox17 morpholinoinjected
embryos. (A) Edd and Hnf-1b are direct targets of Xsox17.
Embryos were injected bilaterally in the animal hemisphere with mRNA
encoding a fusion of Xsox17a to the glucocorticoid receptor ligand-binding
domain. The embryos were treated with dexamethasone (DEX), with or
without cycloheximide (CHX), as indicated (the CHX treatment preceded
the addition of DEX by 30 min). ODC is a loading control. (B) Effects of the
combined Xsox17 morpholinos on gene expression. Ten ng each of the
three Xsox17 morpholinos were injected bilaterally. Quantitation of the
products indicated a reduction of 60% in the Edd product. (C) Effects of the
three combined morpholinos gene expression induced by activin. Injections
were bilateral into the animal pole at the 2-cell stage; 10 ng of each
morpholino, 40 pg of activinbB mRNA and 200 pg of each Xsox17 mRNA.
Animal caps were removed from stage 9 blastulae and incubated to control
stage 10.5. (D) Survival of Xsox17a1 and b mRNA in embryos. A total of
100 pg of mRNA was injected bilaterally into 2-cell embryos and samples
of two embryos were taken at the stages indicated. Primers were used that
represented the globin UTR and the Xsox17 ORFs, to distinguish the
injected and endogenous mRNAs.