Click here to close
Hello! We notice that you are using Internet Explorer, which is not supported by Xenbase and may cause the site to display incorrectly.
We suggest using a current version of Chrome,
FireFox, or Safari.
???displayArticle.abstract???
BACKGROUND: Members of the T-box family of DNA-binding proteins play a prominent role in the differentiation of the three primary germ layers. VegT, Brachyury, and Eomesodermin function as transcriptional activators and, in addition to directly activating the transcription of endoderm- and mesoderm-specific genes, serve as regulators of growth factor signaling during induction of these germ layers. In contrast, the T-box gene, tbx2, is expressed in the embryonic ectoderm, where Tbx2 functions as a transcriptional repressor and inhibits mesendodermal differentiation by the TGFβ ligand Activin. Tbx2 misexpression also promotes dorsal ectodermal fate via inhibition of the BMP branch of the TGFβ signaling network.
RESULTS: Here, we report a physical association between Tbx2 and both Smad1 and Smad2, mediators of BMP and Activin/Nodal signaling, respectively. We perform structure/function analysis of Tbx2 to elucidate the roles of both Tbx2-Smad interaction and Tbx2 DNA-binding in germ layer suppression.
CONCLUSION: Our studies demonstrate that Tbx2 associates with intracellular mediators of the Activin/Nodal and BMP/GDF pathways. We identify a novel repressor domain within Tbx2, and have determined that Tbx2 DNA-binding activity is required for repression of TGFβ signaling. Finally, our data also point to overlapping yet distinct mechanisms for Tbx2-mediated repression of Activin/Nodal and BMP/GDF signaling.
Fig. 1. Tbx2 dorsalizes ventralmesoderm. RT-PCR analysis of marginal zone explants. Embryos were injected radially at early cleavage stages with 1âng of tbx2; marginal zone explants were dissected at stage 10
Fig. 2. Tbx2 associates with R-Smads a). Tbx2 physically associates with Smad1. 1âng myc-tbx2 RNA was injected at early cleavage stages. Pull-down of native Smad1 from injected embryos leads to co-immunoprecipitation of exogenous Tbx2. Normal rabbit IgG antibodies were used in parallel studies as a negative control. b Tbx2 physically associates with Smad2. 1âng of myc-tbx2 and 1âng of flag-smad2 were injected at early cleavage stages. Pull-down of Flag-Smad2 from injected embryos leads to co-immunoprecipitation of exogenous Tbx2. Normal rabbit IgG antibodies were used in parallel studies as a negative control c) Tbx2 represses Smad2-mediated mesoderm induction. Embryos were injected with tbx2 (1âng), flag-smad2 (1âng), or tbx2 (1âng) and flag-smad2 (1âng) at the two-cell stage and animal caps were explanted at stage 8.5. d Tbx2 physically associates with Smad4. 1âng of myc-tbx2 and 1âng of flag-smad4 were injected at early cleavage stages. Pull-down of Flag-Smad4 from injected embryos leads to co-immunoprecipitation of of exogenous Tbx2. Normal rabbit IgG antibodies were used in parallel studies as a negative control
Fig. 3. Depictions of Myc-tagged Tbx2 deletion constructs. âMycâ refers to a 6x Myc epitope tag. N and C refer to the N and C termini, respectively. S1 and S2 refer to the first and second spacer, respectively
Fig. 4. The Tbx2 Spacer 1 and T-box domains are sufficient for R-Smad association. a-e Smad1 physically associates with Tbx2 via the T-box. Embryos were injected at the two-cell stage with 1âng of RNA synthesized from the indicated deletion construct. Pull-down of native Smad1 from injected embryos leads to co-immunoprecipitation of the exogenous deletion construct. Normal rabbit IgG antibodies were used in parallel studies as a negative control. f-j Smad2 physically associates with Tbx2 via the T-box. Embryos were injected at the two-cell stage with 1âng of RNA synthesized from the indicated deletion construct and flag-smad2. Pull-down of Flag-Smad2 from injected embryos leads to co-immunoprecipitation of the exogenous deletion construct. Normal rabbit IgG antibodies were used in parallel studies as a negative control
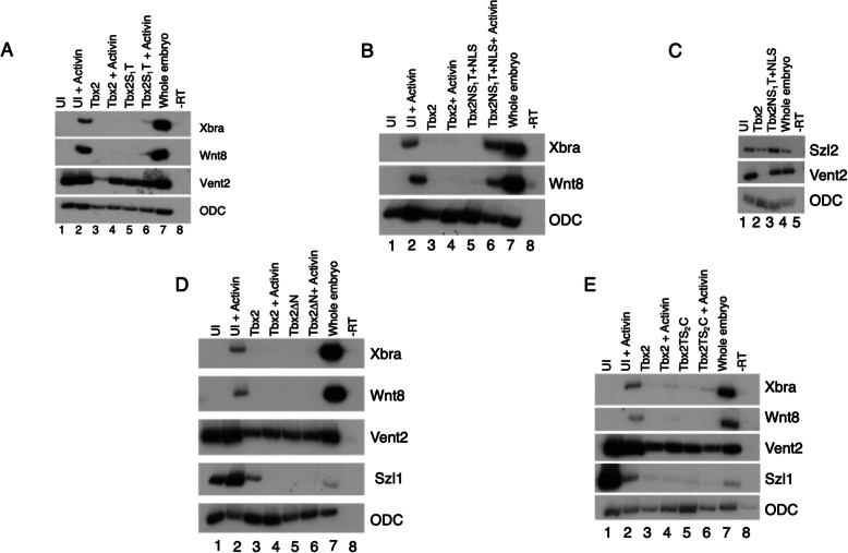
Fig. 5. Effects of Tbx2 deletion constructs on the BMP/GDF and Activin/Nodal pathways a) Embryos were injected with 2âng of tbx2 or tbx2S1T in the animal pole at the two-cell stage. Animal caps were explanted at stage 8.5. Activin was added (2.5âng/ml) as indicated. b Embryos were injected with 2âng of tbx2 or tbx2NS1T in the animal pole at the two-cell stage. Animal caps were explanted at stage 8.5. Activin was added (2.5âng/ml) as indicated. c Embryos were injected with 2âng of tbx2 or tbx2NS1T in the animal pole at the two-cell stage. Animal caps were explanted at stage 8.5. d Embryos were injected with 1âng tbx2 or tbx2ÎN in the animal pole at the two-cell stage. Animal caps were explanted at stage 8.5. Activin was added (2.5âng/ml) as indicated e) Embryos were injected with 1âng tbx2 or tbx2TS2C in the animal pole at the two-cell stage. Animal caps were explanted at stage 8.5. Activin was added (2.5âng/ml) as indicated
Fig. 6. Tbx2 does not decrease levels of C-terminal phosphorylation of Smad1 and Smad2 a) Embryos were injected with 1âng tbx2 at the two-cell stage; animal caps were explanted at stage 8.5 and incubated in Activin (2.5âng/ml), as indicated, until late gastrula stages. Uninjected embryos were used in parallel studies. b Embryos were injected with 1âng tbx2 at the two-cell stage and animal caps were explanted at stage 8.5 and incubated until late gastrula stages. Uninjected embryos were used in parallel studies. c Quantification of data shown in B, indicating no change in Smad1 protein levels or phosphorylation of Smad1 as a result of ectopic tbx2 expression
Fig. 7. DNA binding is necessary for Tbx2 repressor activity. a RT-PCR analysis of animal cap explants injected with Tbx2 DNA binding mutant construct. Embryos were injected with 1âng myc-tbx2R-A or myc-tbx2 at the two-cell stage; animal caps were explanted at stage 8.5 and incubated in Activin (2.5âng/ml) where indicated until late gastrula stages. b Smad1 physically associates with Tbx2R-A. Embryos were injected at the two-cell stage with 1âng of RNA synthesized from Myc-Tbx2R-A. Pull-down of native Smad1 from injected embryos leads to co-immunoprecipitation of exogenous Myc-Tbx2R-A. Normal rabbit IgG antibodies was used in parallel studies as a negative control. c Smad2 physically associates with Myc-Tbx2R-A. Embryos were injected at the two-cell stage with 1âng myc-tbx2R-A and 1âng flag-smad2. Pull-down of Flag-Smad2 from injected embryos leads to co-immunoprecipitation of exogenous Myc-Tbx2R-A. Normal rabbit IgG antibodies were used in parallel studies as a negative control
Abdollah,
TbetaRI phosphorylation of Smad2 on Ser465 and Ser467 is required for Smad2-Smad4 complex formation and signaling.
1997, Pubmed
Abdollah,
TbetaRI phosphorylation of Smad2 on Ser465 and Ser467 is required for Smad2-Smad4 complex formation and signaling.
1997,
Pubmed
Baker,
Vertebrate cranial placodes I. Embryonic induction.
2001,
Pubmed
,
Xenbase
Bates,
Coco regulates dorsoventral specification of germ layers via inhibition of TGFβ signalling.
2013,
Pubmed
,
Xenbase
Bell,
Cell fate specification and competence by Coco, a maternal BMP, TGFbeta and Wnt inhibitor.
2003,
Pubmed
,
Xenbase
Carlson,
A dominant repression domain in Tbx3 mediates transcriptional repression and cell immortalization: relevance to mutations in Tbx3 that cause ulnar-mammary syndrome.
2001,
Pubmed
Casellas,
Xenopus Smad7 inhibits both the activin and BMP pathways and acts as a neural inducer.
1998,
Pubmed
,
Xenbase
Cho,
Role of Tbx2 in defining the territory of the pronephric nephron.
2011,
Pubmed
,
Xenbase
Cho,
Molecular nature of Spemann's organizer: the role of the Xenopus homeobox gene goosecoid.
1991,
Pubmed
,
Xenbase
Christian,
Xwnt-8, a Xenopus Wnt-1/int-1-related gene responsive to mesoderm-inducing growth factors, may play a role in ventral mesodermal patterning during embryogenesis.
1991,
Pubmed
,
Xenbase
Christoffels,
T-box transcription factor Tbx2 represses differentiation and formation of the cardiac chambers.
2004,
Pubmed
Conlon,
Determinants of T box protein specificity.
2001,
Pubmed
,
Xenbase
Dastjerdi,
Tbx1 regulation of myogenic differentiation in the limb and cranial mesoderm.
2007,
Pubmed
,
Xenbase
Fainsod,
The dorsalizing and neural inducing gene follistatin is an antagonist of BMP-4.
1997,
Pubmed
,
Xenbase
Gentsch,
In vivo T-box transcription factor profiling reveals joint regulation of embryonic neuromesodermal bipotency.
2013,
Pubmed
,
Xenbase
Gluecksohn-Schoenheimer,
The Development of Two Tailless Mutants in the House Mouse.
1938,
Pubmed
Hama,
The molecular basis of Src kinase specificity during vertebrate mesoderm formation.
2002,
Pubmed
,
Xenbase
Heasman,
Patterning the early Xenopus embryo.
2006,
Pubmed
,
Xenbase
Hemmati-Brivanlou,
Inhibition of activin receptor signaling promotes neuralization in Xenopus.
1994,
Pubmed
,
Xenbase
Herrmann,
Cloning of the T gene required in mesoderm formation in the mouse.
1990,
Pubmed
Horb,
A vegetally localized T-box transcription factor in Xenopus eggs specifies mesoderm and endoderm and is essential for embryonic mesoderm formation.
1997,
Pubmed
,
Xenbase
Jin,
Pitx1 regulates cement gland development in Xenopus laevis through activation of transcriptional targets and inhibition of BMP signaling.
2018,
Pubmed
,
Xenbase
Kavsak,
Smad7 binds to Smurf2 to form an E3 ubiquitin ligase that targets the TGF beta receptor for degradation.
2000,
Pubmed
,
Xenbase
Kispert,
The chick Brachyury gene: developmental expression pattern and response to axial induction by localized activin.
1995,
Pubmed
,
Xenbase
Kofron,
Mesoderm induction in Xenopus is a zygotic event regulated by maternal VegT via TGFbeta growth factors.
1999,
Pubmed
,
Xenbase
Lagna,
Partnership between DPC4 and SMAD proteins in TGF-beta signalling pathways.
1996,
Pubmed
,
Xenbase
Lüdtke,
Tbx3 promotes liver bud expansion during mouse development by suppression of cholangiocyte differentiation.
2009,
Pubmed
Lüdtke,
Tbx2 controls lung growth by direct repression of the cell cycle inhibitor genes Cdkn1a and Cdkn1b.
2013,
Pubmed
Macías-Silva,
MADR2 is a substrate of the TGFbeta receptor and its phosphorylation is required for nuclear accumulation and signaling.
1996,
Pubmed
Mancilla,
Neural crest formation in Xenopus laevis: mechanisms of Xslug induction.
1996,
Pubmed
,
Xenbase
Messenger,
Functional specificity of the Xenopus T-domain protein Brachyury is conferred by its ability to interact with Smad1.
2005,
Pubmed
,
Xenbase
Miyazaki,
mNanog possesses dorsal mesoderm-inducing ability by modulating both BMP and Activin/nodal signaling in Xenopus ectodermal cells.
2012,
Pubmed
,
Xenbase
Papaioannou,
The T-box gene family: emerging roles in development, stem cells and cancer.
2014,
Pubmed
Pei,
Regulation of pluripotency and reprogramming by transcription factors.
2009,
Pubmed
Picozzi,
Eomesodermin requires transforming growth factor-beta/activin signaling and binds Smad2 to activate mesodermal genes.
2009,
Pubmed
,
Xenbase
Plageman,
T-box genes and heart development: putting the "T" in heart.
2005,
Pubmed
Reich,
Repression of Inappropriate Gene Expression in the Vertebrate Embryonic Ectoderm.
2019,
Pubmed
,
Xenbase
Sasai,
Xenopus chordin: a novel dorsalizing factor activated by organizer-specific homeobox genes.
1994,
Pubmed
,
Xenbase
Showell,
T-box genes in early embryogenesis.
2004,
Pubmed
,
Xenbase
Simeoni,
Interpretation of BMP signaling in early Xenopus development.
2007,
Pubmed
,
Xenbase
Singh,
Tbx20 interacts with smads to confine tbx2 expression to the atrioventricular canal.
2009,
Pubmed
Sinha,
Differential DNA binding and transcription modulation by three T-box proteins, T, TBX1 and TBX2.
2000,
Pubmed
,
Xenbase
Smith,
Expression of a Xenopus homolog of Brachyury (T) is an immediate-early response to mesoderm induction.
1991,
Pubmed
,
Xenbase
Sridharan,
Xmab21l3 mediates dorsoventral patterning in Xenopus laevis.
2012,
Pubmed
,
Xenbase
Suri,
Xema, a foxi-class gene expressed in the gastrula stage Xenopus ectoderm, is required for the suppression of mesendoderm.
2005,
Pubmed
,
Xenbase
Takahashi,
Induction of pluripotent stem cells from mouse embryonic and adult fibroblast cultures by defined factors.
2006,
Pubmed
Teegala,
Tbx2 is required for the suppression of mesendoderm during early Xenopus development.
2018,
Pubmed
,
Xenbase
Weinstein,
Neural induction in Xenopus laevis: evidence for the default model.
1997,
Pubmed
,
Xenbase
Wilson,
Induction of epidermis and inhibition of neural fate by Bmp-4.
1995,
Pubmed
,
Xenbase
Wilson,
The T-box family.
2002,
Pubmed
Wrana,
Mechanism of activation of the TGF-beta receptor.
1994,
Pubmed
Xanthos,
Maternal VegT is the initiator of a molecular network specifying endoderm in Xenopus laevis.
2001,
Pubmed
,
Xenbase
Xu,
Maternal xNorrin, a canonical Wnt signaling agonist and TGF-β antagonist, controls early neuroectoderm specification in Xenopus.
2012,
Pubmed
,
Xenbase
Zaragoza,
Identification of the TBX5 transactivating domain and the nuclear localization signal.
2004,
Pubmed