|
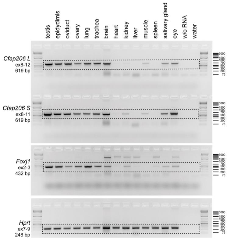
Fig. 1. The structure of the mouse Cfap206 and Cfap206 expression. (A) Schematic depiction of the Cfap206 genomic structure, transcripts and resulting proteins. The Cfap206 gene consists of 13 exons (middle row) that give rise to two transcripts: a short form (Cfap206 S; upper row) and a long form (Cfap206 L; lower row), generated by the differential use of a splice donor site in exon 11. Grey boxes indicate ORFs, white boxes indicate the 5â²- and 3â²-UTR. PCR Cfap206 S and PCR Cfap206 L indicate the position of primers and PCR products used to distinguish between both transcripts. Blue box marks the region used to generate the in situ hybridisation probe, which detected both transcripts. (B) Correlation of Cfap206 S, Cfap206 L and Foxj1 expression in adult tissues assessed by RT-PCR. Hprt was used as quality control. The full-size agarose gel is shown in Fig. S7. (C) Expression of Cfap206 in adult tissues detected by section in situ hybridisation. Boxed areas in a-e indicate the regions shown at higher magnification in aâ²-eâ². Arrowheads indicate regions of expression. CP, choroid plexus. (D) Expression of Cfap206 in tissues developing or carrying motile cilia at E17.5 detected by section in situ hybridisation. Boxed areas in a-d indicate the regions shown at higher magnification in aâ²-dâ². (E) Dependence of Cfap206 expression on FOXJ1. Whole-mount in situ hybridisation (a,d) and section in situ hybridisation (b,c,e,f) on wild-type (a-c) and Foxj1 mutant (d-f) E8.0 embryos (a,d), and E17.5 nasal cavities (b,e) and lungs (c,f). Red boxes in b,c,e,f indicate regions enlarged in bâ²,câ²,eâ²,fâ². Cfap206 expression was reduced or nearly absent in the mouse left-right organiser (LRO), the respiratory epithelium and bronchi of Foxj1 mutants (red arrowheads in d,eâ²,fâ²). Scale bars: 500â
µm in C,D; 200â
µm in Eb,c,e,f.
|
|
Fig. 2. cfap206 is co-expressed with and dependent on foxj1 in Xenopus laevis. (A) Analysis of foxj1 and cfap206 mRNA expression in staged embryos using antisense RNA probes. (a,e) In gastrula stage 10 embryos, foxj1 transcripts were present in the LRO precursor, the superficial mesoderm (SM; a), while cfap206 was not detected by in situ hybridisation (e). Histological sections (bâ²,fâ²; planes of sections indicated by red dashed lines in b,f) of stage 19 dorsal explants (b,f) revealed overlapping expression of foxj1 (b,bâ²) and cfap206 (f,fâ²) in the floor plate (FP), while in the gastrocoel roof plate (area of LRO; outlined by dashed lines in b,f), only cfap206 transcripts were detected. Staining in b reflects expression in the floorplate above the LRO. (c,g) In stage 29 larvae, both genes were co-expressed in the nephrostomes (white arrowheads) and MCCs. (d,h) In the head of stage 45 tadpoles, strong neural expression of foxj1 was seen in the sub-commissural organ (SCO), zona limitans intrathalamica (ZLI) and FP (dâ´). Transcripts of cfap206 were detected in the same tissues; however, at reduced levels (hâ´). Non-neural expression was found in the stomach (stom.; dâ²,hâ²) and in dorsal cells lining the branchial chamber (BC; dâ²,hâ²). (B,C) cfap206 is a foxj1 target gene. (B) Strong cfap206 induction in embryos unilaterally injected with foxj1 mRNA. Asterisk indicates injected side. (C) Reduction of cfap206 expression in stage 24 foxj1 F0 crispant embryos (b,bâ²) when compared with wild type (a,aâ²). Boxed areas in a,b indicate the regions shown at higher magnification in aâ²,bâ². Scale bars: 100â
µm.
|
|
Fig. 3. Subcellular localisation of CFAP206 protein to the axoneme and basal bodies. (A) Schematic depiction of short (CFAP206S; upper row) and long (CFAP206L; lower row) CFAP206 protein. Coloured boxes indicate position of peptides (green, pepI; orange, pepII; cyan, ORF2) used to generate antibodies. Detection of tagged CFAP206 overexpressed in CHO cells and of endogenous CFAP206 protein in lysates of mouse testis with the different antibodies. The full-size western blots are shown in Fig. S9. (B) Localisation of endogenous CFAP206 (anti-pepII) to cilia on respiratory epithelial cells (a-d) and flagella of spermatozoa (e-g). Boxed areas in a-d indicate the region shown in aâ²-dâ². Arrowheads in d and dâ² indicate localisation of CFAP206 non-overlapping with acetylated α-tubulin (ac-TUB). Arrows highlight ciliary tips, which lack CFAP206. (C) Subcellular localisation of murine GFP-CFAP206 in Xenopus skin MCCs. (a) Co-staining with the basal body marker centrin4-RFP (Cetn4-RFP; a). Orthogonal projection shown in aâ² demonstrates partial overlap at the basal body. (b) Co-staining with phalloidin to highlight F-actin and the basal foot marker tubulin gamma-1 (Tubg1) confirmed basal body staining (bâ²) and partial overlap at the basal foot (bâ²). (c-câ²) Axonemal staining, as shown by co-staining with an antibody against acetylated alpha-tubulin (ac-Tuba4a). (d) Cartoon of GFP-CFAP206 localisation at the Xenopus cilium. Scale bars: 10â
µm in B; 1â
µm in C.
|
|
Fig. 4. Ciliary defects in MCCs of Xenopus cfap206 crispants. (A) Enhanced ciliary beat frequency (CBF) in crispants. (a) Statistical evaluation of CBF in wild-type and cfap206 crispants. Results from three independent experiments with 15 embryos each and five analysed MCCs per embryo. Raw data are shown in Table S3. (b) Kymographs of ciliary motility of single MCCs, generated from control wild-type, sgRNA1- and sgRNA2-injected specimens. (B) Reduced bead transport in cfap206 crispant skin mucociliary epithelia. (a) Velocities of bead transport in wild-type, sgRNA1- and sgRNA2-injected specimens. Results from three independent experiments with eight analysed specimens each. Raw data are shown in Table S2. (b) Maximum intensity projections of single control wild-type, sgRNA1- and sgRNA2-injected embryos. The boxplots show values between the first and third quartile (boxes), with the whiskers displaying ± 1.5à the interquartile range (IQR); i.e. box length=IQR=Q3ÃQ1; upper whisker=Q3+1.5ÃIQR, lower whisker=Q1Ã1.5ÃIQR. *PP
|
|
Fig. 5. Generation and characterisation of a Cfap206-null mouse. (A) Schematic drawing depicting the structure of the targeted locus, the locus after FLP-mediated removal of the neo cassette (Cfap206loxP) and following Cre-mediated excision of exon 4 (Cfap206δex4). (B) Western blot analysis of testis lysates of wild-type and Cfap206δex4/δex4 mice with anti-pepI and anti-pepII antibodies demonstrated absence of both CFAP206 protein variants in mutant tissue. Arrows indicate the expected sizes of the CFAP206 proteins. The full-size western blots are shown in Fig. S10. (C) Indirect immunofluorescence staining of wild-type (a-f) and Cfap206δex4/δex4 (g-l) testis (a-c,g-i) and respiratory epithelium (d-f,j-l) sections for CFAP206, indicating loss of staining in mutant tissues. (D) Analysis of cilia length in mouse tracheal epithelial cells (mTECs) isolated from wild-type and Cfap206δex4/δex4 mutants revealed no change in ciliary length upon CFAP206 loss. Each dot represents the average cilia length of one specimen analysed (n=3). Graph in D displays respective values as mean±s.d. Raw data are shown in Table S4. Scale bars: 10â
µm in C; 5â
µm in D.
|
|
Fig. 6. Enlarged ventricles and mucus accumulation in Cfap206δex4/δex4. (A) External views (a,b) and Hematoxylin and Eosin-stained coronal sections (c,d) of wild-type (a,c) and Cfap206δex4/δex4 (b,d) heads revealed domed skull, and expanded and fused ventricles of Cfap206δex4/δex4 mutants. (B) Hematoxylin and Eosin-stained coronal sections of wild-type (a-bâ²) and Cfap206δex4/δex4 mutant (c-dâ²) brains demonstrated the presence of enlarged ventricles on postnatal day 1 (P1). Boxed areas in a-d indicate the regions shown at higher magnification in aâ²-dâ². (C) (a) Schematic representation of a P6 brain. Red line indicates plane of section. The mid-sagittal sections of heterozygous Cfap206δex4 (representing wild-type condition; b) and homozygous Cfap206δex4 mutants (c,d) were Hematoxylin and Eosin stained to visualise the aqueduct (AQ). Homozygous mutants showed stenotic (black arrowhead in c) or obstructed (red arrowhead in d) aqueducts. (D) Cilia-generated ventricular flow at P7 was comparable in wild-type and Cfap206δex4/δex4 littermates. Each dot represents the average speed of all tracked particles of a single individual (wild type n=8 and Cfap206δex4/δex4 n=12). Numerical values used to generate the dot plot are shown in Table S5. (E) Coronal sections of wild-type (a-câ²) and Cfap206δex4/δex4 mutant (d-fâ²) nasal cavities, demonstrating progressive mucus accumulation in mutants. Boxed areas in a-f indicate regions shown at higher magnification in aâ²-fâ². (F) Kymographs and derived CBF. (a) Representative kymographs (upper panels) and plotted values (lower panels) of wild-type (violet) and Cfap206δex4/δex4 (green) tracheal cilia motility (t=1â
s) depict ciliary beat frequency (CBF). (b) CBF of cilia of Cfap206δex4/δex4 tracheas was enhanced compared with wild type. Each dot represents the average CBF of one specimen analysed (wild type, n=4; Cfap206δex4/δex4, n=3). Additional details of CBF measurements are shown in Fig. S11. Raw data are shown in Table S6. (c) Cilia-generated flow (CGF) was unchanged in Cfap206δex4/δex4 trachea explants compared with wild type. Raw data are shown in Table S7. Data are mean±s.d. Individual dots represent individual data points. Scale bars: 500â
µm in Ac,d,B; 1â
mm in C,E.
|
|
Fig. 7. Non-functional spermatozoa of Cfap206Îex4/Îex4 mutant males. (A) Hematoxylin and Eosin-stained sections of wild-type (a,b) and Cfap206Îex4/Îex4 mutant (c,d) testes (a,c) and epididymides (b,d). (B) CASA analysis and results of IVF showing normal sperm concentration in Cfap206Îex4/Îex4 mutants (a), reduced Cfap206Îex4/Îex4 sperm motility (b), inability of Cfap206Îex4/Îex4 sperm to support early development after IVF (c) and reduced attachment to the zona pellucida in vitro (e). (d) Wild-type egg with wild-type sperm cells. (e) Wild-type egg with Cfap206Îex4/Îex4 sperm. Raw data from CASA analysis (a,b) and IVF (c) are shown in Table S8 and Table S9, respectively. (C) Bright-field (a-l) and fluorescence (aâ²-lâ²) images of wild-type (a,aâ²-f,fâ²) and Cfap206Îex4/Îex4 (g,gâ²-l,lâ²) sperm cells isolated from the cauda epididymis. The following dyes and antibodies were used to visualise organelles and subcellular compartments: DAPI (nuclei; aâ²-lâ²; blue); anti-ac-TUB (axonemes; aâ²-câ²,gâ²-iâ²; magenta); PNA-lectin (acrosomes; aâ²,gâ²,hâ²,jâ²; green); anti-AKAP3 (fibrous sheath; bâ²,hâ²; green); anti-SEPT7 (annuli; câ²,eâ²,iâ²,kâ²; green); and anti-COXIV (mitochondria; dâ²-fâ²,jâ²-lâ²; magenta). Arrowhead in gâ² highlights a coiled flagellum with PNA-stained material; arrows in câ²,eâ²,iâ²,kâ² indicate annuli. Data are mean±s.d. in B with individual data points shown. Scale bars: 100â
µm in A; 10â
µm in C.
|
|
Fig. 8. Electron microscopic analysis of wild-type and Cfap206Îex4/Îex4 mutant sperm. (A) TEM analysis of wild-type (a-c) and Cfap206Îex4/Îex4 (d-h) epididymis sperm. (a-c) Overviews of wild-type sections; red stars, sperm heads; blue arrow, fibrous sheath; yellow star, mitochondria; green stars, ODFs. (d,e) Longitudinal section through Cfap206Îex4/Îex4 circular (d) or bent (e) axonemes surrounding vesicular material (red asterisks). (f) Groups of axonemes (marked with white asterisks) surrounded by a single plasma membrane (dark-blue arrows in fâ², magnified region of the black outlined area in f) and axonemal profiles with apparently normal microtubule doublets (green arrows in white outlined inset). (fâ²) Vesicular structures (red asterisks) and multiple axonemal profiles from the midpiece and principal piece region [indicated by the presence of mitochondria (yellow stars) and fibrous sheath (light-blue arrows)] with disorganized microtubules and ODFs (green stars) surrounded by a single plasma membrane (dark-blue arrows). (g) Axonemal profile of the midpiece region showing few irregular single microtubules (red arrow) and ODFs (green stars). (h) Axonemal profiles of principal pieces with disorganized ODFs (green stars) and microtubules surrounded by fibrous sheaths (light-blue arrows). (B) Electron tomography revealed radial spokes (red arrowheads) between the inner central pair of microtubules and the outer microtubules (anchored at the A-tubule) in wild type (a). Radial spokes (red arrowheads, RS1-3) appeared in a repetitive pattern, interrupted by electron lucent gaps repeating every 96â
nm. In Cfap206Îex4/Îex4 mutant sperm tails (c), the radial spokes were rather irregular and/or incomplete (unfilled red arrowheads) and missing. (b,d) Cross-sections of the wild-type and Cfap206Îex4/Îex4 tomograms shown in a,c, respectively. Green stars indicate ODFs. Further details of the tomography and section planes are shown in Fig. S5B,C. Scale bars: 2â
µm in Aa,d; 1â
µm in Ab,e,f; 500â
nm in Ac,g,h; 100â
nm in B.
|
|
Fig.S1
|
|
Fig. S2
|
|
Fig. S3.
|
|
Fig. S4.
|
|
Fig. S5.
|
|
Fig. S6
|
|
Fig. S7.
|
|
Fig. S8
|
|
cfap206 (cilia and flagella associated protein 206) gene expression in a X. laevis embryo, assayed via in situ hybridization NF stage 29, lateral view, anterior left, dorsal up.
|
|
Still from movie 1. Cilia motility in wild type and cfap206 crispant Xenopus larval skin.
High-speed (800 frames per second (fps)) videography of single MCCs at stage 32. Left: wild type (control); middle: sgRNA1 crispant; right: sgRNA2 crispant. Note that cilia were motile in all cases. Movie plays at 15 fps, i.e. at about 0.02x real time.
|
|
Still from Movie 2. Bead transport in wild type and cfap206 crispant Xenopus larval skin.
Fluorescent beads were added to wild type or crispant specimens at stage 32 and bead transport was recorded at 175 fps. Left: wild type; middle: sgRNA1 crispant; right: sgRNA2 crispant. Measured bead transport was slower in crispants. Movie plays at 50 fps, i.e. at about 0.3x real time.
|