Click here to close
Hello! We notice that you are using Internet Explorer, which is not supported by Xenbase and may cause the site to display incorrectly.
We suggest using a current version of Chrome,
FireFox, or Safari.
???displayArticle.abstract???
During early vertebrate development, members of the transforming growth factor beta (TGFbeta) family play important roles in a variety of processes, including germ layer specification, patterning, cell differentiation, migration, and organogenesis. The activities of TGFbetas need to be tightly controlled to ensure their function at the right time and place. Despite identification of multiple regulators of Bone Morphogenetic Protein (BMP) subfamily ligands, modulators of the activin/nodal class of TGFbeta ligands are limited, and include follistatin, Cerberus, and Lefty. Recently, a membrane protein, tomoregulin-1 (TMEFF1, originally named X7365), was isolated and found to contain two follistatin modules in addition to an Epidermal Growth Factor (EGF) domain, suggesting that TMEFF1 may participate in regulation of TGFbeta function. Here, we show that, unlike follistatin and follistatin-related gene (FLRG), TMEFF1 inhibits nodal but not activin in Xenopus. Interestingly, both the follistatin modules and the EGF motif contribute to nodal inhibition. A soluble protein containing the follistatin and the EGF domains, however, is not sufficient for nodal inhibition; the location of TMEFF1 at the membrane is essential for its function. These results suggest that TMEFF1 inhibits nodal through a novel mechanism. TMEFF1 also blocks mesodermal, but not epidermal induction by BMP2. Unlike nodal inhibition, regulation of BMP activities by TMEFF1 requires the latter's cytoplasmic tail, while deletion of either the follistatin modules or the EGF motif does not interfere with the BMP inhibitory function of TMEFF1. These results imply that TMEFF1 may employ different mechanisms in the regulation of nodal and BMP signals. In Xenopus, TMEFF1 is expressed from midgastrula stages onward and is enriched in neural tissue derivatives. This expression pattern suggests that TMEFF1 may modulate nodal and BMP activities during neural patterning. In summary, our data demonstrate that tomoregulin-1 is a novel regulator of nodal and BMP signaling during early vertebrate embryogenesis.
Fig. 1. TMEFF1 inhibits nodal and BMP2, but not activin, activity. (A)
TMEFF1 does not inhibit mesendoderm induction by activin, but it does
block nodal and reduces Vg1 and BMP2 activity. The doses of RNAs used
are: activin, 5 pg; AXnr1, 0.5 ng; AVg1, 0.5 ng; BMP2, 0.5 ng; and
TMEFF1, 2 ng. (B) Dose-response experiment demonstrating that
TMEFF1 inhibits nodal and BMP2 efficiently, but has a weaker inhibitory
activity toward Vg1. The doses of RNA used are: AXnr1, 0.5 ng; AVg1,
0.5 ng; BMP2, 0.5 ng; and TMEFF1, 0.5, 1, and 2 ng, respectively.
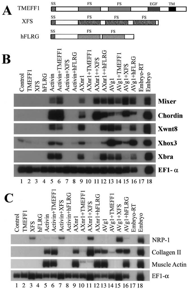
Fig. 2. Differential regulation of TGF ligands by follistatin-modulecontaining
molecules. (A) Schematic representation of the three FS module-
containing proteins. SS, signal sequence; FS, follistatin modules; EGF,
EGF domain; TM, transmembrane region. (B, C) Follistatin (XFS), FLRG,
and TMEFF1 display differential inhibitory spectrums over TGF ligands.
While both XFS and FLRG inhibit activin, TMEFF1 does not affect
mesoderm induction by activin. TMEFF1, however, blocks nodal and Vg1
function. The doses of RNAs used are: TMEFF1, 1 ng; follistatin (XFS),
1 ng; human FLRG, 1 ng; activin, 5 pg; AXnr1, 500 pg; AVg1, 500 pg;
BMP2, 500 pg. The RNAs were injected into the animal region of twocell-
stage embryos, and the animal caps were dissected at blastula stages
(stage 9). The caps were collected at gastrula stages (stage 11, B) or tailbud
stages (stage 28, C) for RT-PCR assays of gene expression patterns.
Fig. 3. TMEFF1 does not block epidermal induction by BMP2. Animal
caps from control or injected embryos were dissociated at blastula stages
(stage 9) for 4 h before reaggregation and incubation to tailbud stages
(stage 22), at which time the RNA was extracted for RT-PCR analysis of
marker expression. RNAs used for injection are: BMP2, 0.5 ng; and
TMEFF1, 0.5 1, and 2 ng, respectively.
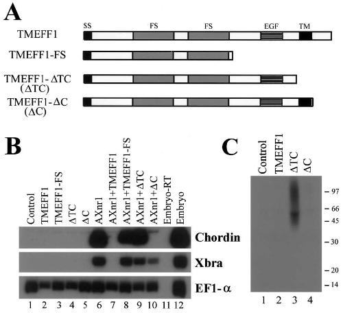
Fig. 4. Membrane localization of TMEFF1 is required for its nodal-inhibiting function. (A) Schematic representation of the deletion mutants used in this study.
SS, signal sequence; FS, follistatin modules; EGF, EGF domain; TM, transmembrane region. (B) Membrane location of TMEFF1 is important for nodal
inhibition. Neither the mutant protein containing the FS modules alone nor the secreted protein containing the entire extracellular domain of TMEFF1 is
sufficient to block nodal function. Deletion of the cytoplasmic tail, however, does not abolish the inhibitory activity of TMEFF1. RNA (2 ng) was injected
for TMEFF1 and all mutants, and 500 pg of AXnr1 was used. (C) The mutant containing the extracellular domain only ( TC), but not the mutant with the
cytoplasmic tail deletion and intact transmembrane region ( C), is secreted into the medium from injected oocytes. RNA (40 ng) was used for all TMEFF1
constructs in oocyte injections. The injected oocytes were incubated in the presence of 35S-methionine-labeling mix, and the conditioned supernatants were
collected 2 days after injection and run on SDS-PAGE.
Fig. 5. Both the FS modules and the EGF motif contribute to nodal
inhibition. (A) Schematic representation of the mutant proteins used. (B)
Deletion of either the follistatin modules or the EGF domain reduces the
ability of TMEFF1 to block nodal. The doses of RNA used in this experiment:
AXnr1, 500 pg; and TMEFF1 and all deletion mutants, 2 ng.
Fig. 6. The FS modules in TMEFF1 do not determine ligand specificity.
(A) Schematic representation of the chimeric protein constructed. In XFSTMEFF1,
the FS modules of TMEFF1 are replaced with the FS modules
of XFS. (B) The chimeric protein XFS-TMEFF1 inhibits both activin and
nodal activities. The doses of RNA used are: activin, 5 pg; AXnr1, 500 pg;
TMEFF1, 2 ng; XFS, 2 ng; and XFS-TMEFF1, 2 ng.
Fig. 7. Inhibition of mesoderm induction by BMP2 requires the cytoplasmic
domain of TMEFF1. Deletion of the cytoplasmic tail or the transmembrane
region of TMEFF1 reduces the ability of TMEFF1 to inhibit BMP2, while
deletion of either the FS modules or the EGF motif does not impair the BMP
inhibitory activity of TMEFF1. The doses of RNA used in this experiment are:
BMP2, 0.5 ng; and TMEFF1 and the deletion mutants of TMEFF1, 1 ng.
Fig. 8. Ectopic expression of TMEFF1 interferes with anterior development of early Xenopus embryos. TMEFF1 RNA (0.5â2 ng) was injected into two dorsal or two ventral blastomeres of four-cell-stage embryos; and the injected embryos were analyzed at tailbud stages for morphological changes. While ventral expression of TMEFF1 leads to tail defects, dorsal expression of TMEFF1 results in reduction of anterior structures.
Fig. 9. Temporal and spatial expression of TMEFF1 during early Xenopus development. (A) TMEFF1 is expressed from midgastrula stages onward. (B) At
gastrula stages (stage 11â11.5), TMEFF1 is expressed mainly in ectodermal tissues (animal), weakly in the marginal zone (DMZ and VMZ, dorsal and ventral
marginal zone, respectively), and is absent from the vegetal region. (C) Spatial expression of TMEFF1. (a) TMEFF1 is expressed in the neural plate at early
neurula stages. The embryo is viewed from the dorsal side. (bâd) As neurulation proceeds, TMEFF1 expression is enriched in the neural folds and in the
dorsal neural tube (b and d, dorsal view; c, lateral view). (e, f) At tailbud stages, TMEFF1 is detected in the diencephalon, midbrain, hindbrain, otic vesicles,
cranial nerve placodes, and the trunk dorsal neural tissue. di, diencephalon; mb, midbrain; hb, hindbrain; nt(d), neural tube (dorsal); ot, otic vesicle; pl, cranial
nerve placodes. The embryo is viewed laterally ( e) and dorsolaterally (f).
tmeff1 (transmembrane protein with EGF-like and two follistatin-like domains 1) gene expression in Xenopus laevis embryo, assayed via in situ hybridization, NF stage 26, lateral view, anteriorleft, dorsal up.