Click here to close
Hello! We notice that you are using Internet Explorer, which is not supported by Xenbase and may cause the site to display incorrectly.
We suggest using a current version of Chrome,
FireFox, or Safari.
Gene Expr Patterns
2020 Jan 01;35:119091. doi: 10.1016/j.gep.2019.119091.
Show Gene links
Show Anatomy links
Differential expression of foxo genes during embryonic development and in adult tissues of Xenopus tropicalis.
Zheng L
,
Mao CZ
,
Bi YQ
,
Zhou YM
,
Zhang Z
,
Zhao H
,
Park KS
,
Huang R
,
Cai DQ
,
Qi XF
.
???displayArticle.abstract???
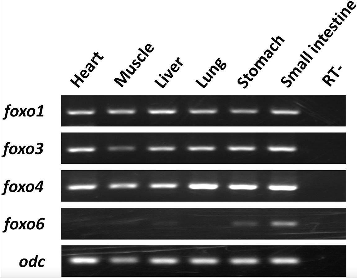
The forkhead-box transcription factors of O subfamily (FOXO) play important roles in regulation of various biological functions. We cloned foxo1, foxo3, foxo4, and foxo6 from Xenopus tropicalis (hereafter X. tropicalis), and examined their expression in embryos and adult tissues. Maternal transcripts of foxo1 and foxo3 genes are detected within the animal half of the early embryo, their zygotic transcripts show distinct patterns. At late tailbud stages, foxo1 expression is observed mainly in eye, brain, branchial arches, and pronephros. In addition to eye, brain, branchial arches and pronephros, foxo3 expression is also evident in heart and somites. Foxo4 expression was not detected in oocytes. At late tailbud stages, foxo4 is mainly expressed in eye, brain, branchial arches and otic vesicle. Foxo6 expression was not detectable until stage 36, with a specific expression in nasal pits. Obvious expression of foxo1, foxo3 and foxo4, but not foxo6, is detected by RT-PCR both in oocytes and in embryos at examined stages. The expression of foxo1, foxo3 and foxo4 is observed in all tested adult tissues including heart, muscle, liver, lung, stomach and small intestine, while foxo6 is only detectable in stomach and small intestine. The differential expression pattern of foxo genes suggests that they exert distinct functions during embryonic development and in various organs of X. tropicalis.
Fig. 1. Sequence alignment of FOXO proteins and forkhead domains from different vertebrates. (A) Phylogenetic analysis of Foxo proteins from X. tropicalis (xt), X. laevis (xl), human (h), mouse (m) and zebrafish (z). (B) Alignment of X. tropicalis (x) forkhead domains of Foxo proteins to their orthologues from other vertebrates including human (h), mouse (m) and zebrafish (z). The letters with yellow background indicate the amino-acid residues for DNA-binding in forehead domain. The number in bracket indicates the position of the initiation amino acid in whole protein sequence.
Fig. 2. Temporal expression of foxo genes in early embryonic development of X. tropicalis. The expression of foxo1 (A), foxo3 (B), foxo4 (C), foxo6 (D) was quantified by real-time-PCR using total RNA extracted from embryos at indicated developmental stages. Data are presented as the mean ± SEM (n = 3 per group).
Fig. 3. Spatial pattern of foxo1 analyzed by whole mount in situ hybridization. (A) Oocyte, lateral view. (B) Two-cell stage, animal view. (C) Four-cell stage, animal view. (D), Four-cell stage, lateral view. (E) Stage 11, vegetal view. (F) Stage 19, lateral view. (G) Stage 23, lateral view. (H) Stage 25, lateral view. (I) Stage 36, lateral view. (J) Transverse section of embryos at the level illustrated by black broken lines in I. (K) Stage 45, dorsal view. ba, branchial arches; pn, pronephros.
Fig. 4. Spatial pattern of foxo3 analyzed by whole mount in situ hybridization. (A) Oocyte, lateral view. (B) Two-cell stage, animal view. (C) Four-cell stage, animal view. (D) Four-cell stage, lateral view. (E) Stage 11, vegetal view. (F) Stage 19, dorsal view. (G) Stage 23, lateral view. (H) Stage 25, lateral view. (I) Stage 36, lateral view. (J and K) Transverse sections at the levels illustrated by black broken lines in I. (L) Stage 45, lateral view. ba, branchial arches; h, heart; nt, neural tube; pn, pronephros.
Fig. 5. Spatial pattern of foxo4 analyzed by whole mount in situ hybridization. (A) Oocyte, animal view. (B) Two-cell stage, animal view. (C) Four-cell stage, lateral view. (D) Stage 11, vegetal view. (E) Stage 15, dorsal view. (F) Stage 15, ventral view. (G) Stage 22, lateral view. (H) Stage 24, lateral view. (I) Stage 26, lateral view. (J) Stage 36, lateral view. ba, branchial arches; ov, otic vesicle. (K) Transverse sections at the levels illustrated by black broken lines in J. (L) Stage 45, lateral view. ba, branchial arches; h, heart.
Fig. 7. Expression of foxo genes in adult tissues of X. tropicalis. Expression of foxo genes in adult tissues was analyzed by RT-PCR. Representative results from three separate experiments are shown. Odc was used as the loading control. RT-, without reverse transcriptase.