Click here to close
Hello! We notice that you are using Internet Explorer, which is not supported by Xenbase and may cause the site to display incorrectly.
We suggest using a current version of Chrome,
FireFox, or Safari.
Genes Genet Syst
2019 Dec 10;945:207-217. doi: 10.1266/ggs.19-00026.
Show Gene links
Show Anatomy links
A prototype of the mammalian sulfotransferase 1 (SULT1) family in Xenopus laevis: molecular and enzymatic properties of XlSULT1B.S.
Yamauchi K
,
Katsumata S
,
Ozaki M
.
???displayArticle.abstract???
The cytosolic sulfotransferase 1 (SULT1) proteins are a family of highly divergent proteins that show variable expansion in different species during vertebrate evolution. To clarify the evolutionary origin of the mammalian lineage of the SULT1 family, we compiled Xenopus laevis and X. tropicalis SULT1 (XSULT1) sequences from public databases. The XSULT1 family was found to comprise at least six subfamilies, which corresponded in part to five mammalian SULT1 subfamilies but only poorly to zebrafish SULT1 subfamilies. SULT1C was most highly expanded, and could be divided into at least five subfamilies. A cDNA for X. laevis SULT1B (XlSULT1B.S), a homolog of mammalian SULT1B1, was cloned and its recombinant protein was expressed in a bacterial system. XlSULT1B.S, unlike mammalian SULT1B1, was found to be a monomeric protein of ~34 kDa, and displayed sulfonating activity toward 2-naphthol and p-nitrophenol (pNP). However, we could not detect such sulfonating activity toward any endogenous compounds including thyroid hormones, steroid hormones and dopamine, despite the fact that X. laevis and Rana catesbeiana liver cytosols contained sulfonating activity toward most of these endogenous compounds. At optimum pH (6.4), the Michaelis-Menten constant (Km) for pNP was two orders of magnitude greater in XlSULT1B.S (1.04 mM) than in the cytosol preparations (8-15 μM). Our results indicate that Xenopus possesses a prototype of the mammalian SULT1 family, and that XlSULT1B.S showed overall similarities in primary sequence to, and significant differences in molecular and enzymatic properties from, mammalian SULT1B1.
Fig. 1. Phylogenetic tree of the vertebrate sulfotransferase 1 (SULT1) family. The tree was constructed with the maximum likelihood method using MEGAX from 23 Xenopus and 34 other vertebrate SULT1 amino acid sequences, with 17 SULT2 amino acid sequences as an out-group. Node values represent the percent bootstrap confidence derived from 1,000 replicates. Protein ID and annotations are shown in Supplementary Table S1. As the protein annotations were somewhat controversial and incomplete in the Xenopus species, tentative names of proteins and subfamilies were used in this study. The X. laevis sequences with post-fixed letters S and L indicate homeologous proteins. Similar tree topologies were obtained using the neighbor joining and minimum evolution methods. SULT1
is composed of three major groups: 1C, and tetrapod and fish 1A/1B/1D/1E (1A/1B/1D/1Et and A/1B/1D/1Ef, respectively). 1C consists of one higher vertebrate (1Cm), three Xenopus (1Cax, 1Cbx and 1Ccx), and two fish 1C (1Cf; 1ST5f and 1ST6f) subfamilies, whereas 1A/1B/1D/1Et consists of tetrapod 1B (1Bt, to which 1Bm and 1Bx belong), higher vertebrate 1A, 1D and 1E (1Am, 1Dm and 1Em, respectively), and Xenopus 1A/1Dx and 1A/1D/1Ex subfamilies. Nodes with bootstrap values higher than 50% are represented by bold lines.
Fig. 2. Alignment of deduced amino acid sequences of Xenopus laevis (Xl) and X. tropicalis (Xt) SULT1B members with human (Hs), mouse (Mm) and chicken (Gg) SULT1B members. Residues that are perfectly conserved among these sequences are marked by asterisks. Two signature sequences (Kakuta et al., 1998), in the N-terminal (for the 5’-phosphosulfate binding site) and middle regions (for the 3’-phosphate binding site), and a conserved sequence in the C-terminal region (Weinshilboum et al., 1997) are represented by horizontal lines above the human sequence. The KTVE dimerization motif overlapping the C-terminal region (Petrotchenko et al., 2001) is boxed in the human sequence.
Fig. 3. Transcript levels of xlsult1b.s in five tissues of X. laevis. Total RNA was extracted from tissues of adult females (n = 2) and males (n = 2), reverse transcribed using random primers and then amplified by real-time PCR. Relative expression levels for xlsult1b.s were normalized against the rpl8 expression level, and set at 1.0 in the female liver. Data for each tissue represent the mean ± SD in four assays (four RNA preparations from two animals).
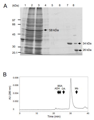
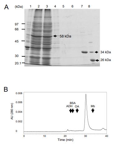
Fig. 4. Molecular size of recombinant XlSULT1B.S. (A) Sodium dodecyl sulfate-polyacrylamide gel electrophoresis (SDS-PAGE) of purified recombinant XlSULT1B.S. Each fraction of the purification steps of recombinant XlSULT1B.S was subjected to SDS-PAGE under reducing conditions on a 10% gel, followed by Coomassie Brilliant Blue staining. Protein samples used were: the bacterial pellet (lane 1) and supernatant (lane 2) after cell lysis, the flow-through fraction (lane 3) and the washing fractions (lanes 4 to 6) of glutathione-affinity chromatography, and the fractions eluted from (lane 7) and still bound to (lane 8) glutathione Sepharose after treatment with PreScission protease. Protein bands of 58, 34 and 26 kDa indicate GST-XlSULT1B.S fusion protein, XlSULT1B.S moiety and GST moiety, respectively. Protein molecular markers: phosphorylase b (97 kDa), BSA (66 kDa), ovalbumin (OA, 45 kDa), carbonic anhydrase (30 kDa) and trypsin inhibitor (20.1 kDa). (B) High-performance size exclusion chromatography on YMC-Pack Diol-120 (500 à 8.0 mm) of purified recombinant XlSULT1B.S. Five microliters of standard proteins (1 mg/ml) or 10 μl of XlSULT1B.S (1.3 mg/ml) in the elution fraction of glutathione-affinity chromatography were applied to the column and then run through in 50 mM TrisHCl, pH 7.0, 200 mM NaCl, at 0.5 ml/min at 25 °C. Ordinate shows absorbance at 280 nm. Molecular weight markers used are described in Materials and Methods. The peak at around
30 min corresponds to XlSULT1B.S
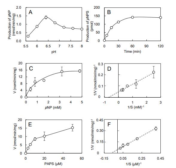
Fig. 5. Sulfonating activity of XlSULT1B.S with p-nitrophenol (pNP). (A) pH dependency of the sulfonating activity of XlSULT1B.S. The enzyme assays were performed with 0.4 mM pNP and 20 μM 3â-phosphoadenosine-5â-phosphosulfate (PAPS) using 100 mM phosphate buffers at different pH (KH2PO4-Na2HPO4, at pH 5.6, 6.0, 6.4, 6.8, 7.2, 7.6 and 8.0). (B) Time course of the sulfonating activity of XlSULT1B.S. The enzyme assays were performed with 0.4 mM pNP and 20 μM PAPS using 100 mM phosphate buffer, pH 6.4, for 0, 5, 15, 30, 60 and 120 min. (C, D) pNP-dependent sulfonating activity of XlSULT1B.S and the LineweaverâBurk double-reciprocal plot. The enzyme assays were performed with 50 μM PAPS in 100 mM phosphate buffer, pH 6.4, for 10 min. Concentrations of pNP
tested were 0.4, 0.8, 1.6, 3.2 and 4.8 mM. (E, F) PAPS-dependent sulfonating activity of XlSULT1B.S and the LineweaverâBurk double-reciprocal plot. The enzyme assays were performed with 4.8 mM pNP in 100 mM phosphate buffer, pH 6.4, for 10 min. Concentrations of PAPS tested were 2.5, 5.0, 10, 20 and 50 μM. All enzyme reactions were performed in triplicate at 25 °C at least three times with similar results.