|
Fig 1. Workflow for investigating multispecies cardiac proteomes.
(A) Heart tissue from M. musculus, S. scrofa, X. laevis, and X. tropicalis was collected and subjected to differential protein extraction as detailed. The resulting 3 extracts were fractionated by SDS-PAGE. (B) Number of proteins identified in the 5 gel fractions for each extract (extract 1â3 from panel A) per species. These numbers include proteins found in 2 or more extracts. (C) PCA of MS1 proteome data demonstrates that the mammalian samples separate from each other and the Xenopus samples but the Xenopus samples maintain a tight association. (D) Data analysis workflow. (E) Identified proteins were mapped to human accession numbers using Blast2GO. (F) The shared proteins in all species represent a core cardiac proteome that is enriched for a variety of pathways. Shown here in a tree map are the top 10 most enriched (adjusted p ⤠0.05) GO biological process terms; box size scales with enrichment significance of the terms. (G) Examples of proteins detected in subsets of the species analyzed. See S8 Table for numerical data underlying figure. GO, Gene Ontology; Kcp, Kielin/chordin-like protein; LC-MS/MS, liquid chromatography coupled with tandem mass spectrometry;MS1, precursor ion.
|
|
Fig 2. Evolutionary comparison of protein complexes.
(A) Proteins detected in this study were mapped to known human protein complexes listed in CORUM. (B) A complex score was calculated from the MS1 peak area of individual protein components of each complex. These complexes were then clustered into 6 clusters and analyzed further. (C–F) Individual clusters are plotted along with example protein complexes, demonstrating the underlying abundance data that drove the complex clustering. (G) Three representative complexes for each cluster are listed. See S9 Table for numerical data underlying figure. CORUM, Comprehensive Resource of Mammalian Protein Complexes.
|
|
Fig 3. GSEA reveals the increased relative abundance in cell-cycle proteins in Xenopus laevis.
(A) Pairwise GSEA was carried out between X. laevis and the 3 other species, revealing an enrichment (adjusted p ≤ 0.05) in cell cycle related proteins in X. laevis. (B) All proteins found in any enriched cell cycle related category by GSEA were clustered using k means (k = 4). Relative protein abundance is shown. The proteins found in cluster 3 were further analyzed in Cytoscape and grouped by function to show the interrelated nature of the proteins enriched in this cluster. See S13 Table and S14 Table for numerical data underlying figure. GSEA, Gene Set Enrichment Analyses.
|
|
Fig 4. Validation of cell-cycle enrichment in X. laevis using targeted MS.
(A) Workflow of target protein and peptide selection for PRM MSâbased validation. (B) Mean protein abundance with SEM in each species by PRM assay is shown. The data were grouped by functional classes for visualization. For all proteins in (B), Xenopus laevis was significantly (p ⤠0.05) higher than at least one other species. Shown to the right of each graph are examples of the most enriched proteins in each functional class (**p ⤠0.01, ***p ⤠0.001, ****p ⤠0.0001). See S16 Table for numerical data underlying figure. DDA, data dependent analysis; MS, mass spectrometry; PRM, parallel reaction monitoring.
|
|
Fig 5. Association of cardiac protein abundance and model system for selected proteins with known roles in human cardiac disease.
A diagram of detected proteins with links to human heart disease reported in the KEGG database was created in Cytoscape showing relative protein abundance data across the 4 species examined here, as well as known proteinâprotein interactions between these heart diseaseârelated proteins. See S8 Table for numerical data underlying figure. AFib, atrial fibrillation; ARVC, arrhythmogenic right ventricular cardiomyopathy; AVSD, atrioventricular septal defect; BAV, bicuspid aortic valve; BRS, brugada syndrome; CPVT, catecholaminergic polymorphic ventricular tachycardia; DCM, dilated cardiomyopathy; HCM, hypertrophic cardiomyopathy; LQTS, long QT syndrome; LVNC, left ventricular noncompaction; MVP, mitral valve prolapse; SVAS, congenital supravalvar aortic stenosis.
|
|
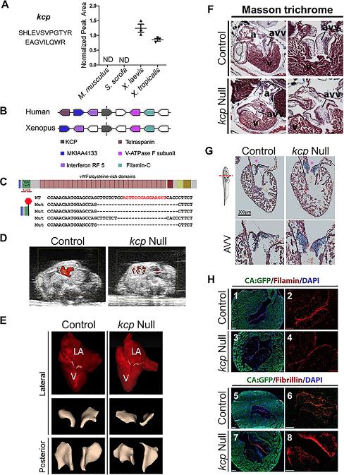
Fig 6. Kcp is essential for heart development and survival in X. laevis.
(A) PRM quantification of peptides specific for Kcp confirms that Kcp is enriched in Xenopus. (B) Human and Xenopus show chromosomal synteny as revealed by Metazome. KCP is indicated in black. Upstream and downstream genes are colored as indicated. (C) Schematic of Kcp showing relative position of TALEN-induced mutations and bottom predicted protein generated by TALEN mutagenesis. (D) Stiol images of ultrasound Doppler of living wild type and Kcpδexon2/ δexon2 at Stage 64 positioned with dorsal top, ventral bottom of image. Blood flow shown in red. (E) Contrast-enhanced CT imaging of wild-type and Kcpδexon2/ δexon2 hearts (Stage 64) with AVV highlighted in white, bottom panels show lateral and posterior views showing thicker and misshapen AVV in Kcpδexon2/ δexon2 hearts verses control. (F) The AVV are detached from the muscular walls in Kcp mutants. Transverse sections through Masson trichrome stained Stage 64 control hearts (heterozygous) at low (upper left panel) and high (upper right panel) magnification focused on the AVV. Similar sections through a Kcp null froglet in at low (lower left panel) and high (lower right panel) magnification. Note in lower left panel an enlarged AVV in the outer valve leaflet detaching from the muscle wall. (G) Histology of wild-type and Kcpδexon2/ δexon2 hearts with Alcian Blue staining shows massive accumulation of collagen (blue) in AVV. a* Denotes position of AVV. (H) AVVs in kcp null hearts show a decrease in Filamin A and a concomitant increase in Fibrilin in the outer valve leaflet. (1â8) Immunochemistry of Cardiac-Actin:GFP (marking cardiomyocytes with GFP) froglets stained for Filamin (red), and DAPI (blue) in (1 and 2) heterozygous controls and (3 and 4) Kcp null. (5 and 6) Immunochemistry of Cardiac-Actin:GFP (marking cardiomyocytes with GFP) froglets stained for Fibrillin (red) and DAPI (blue) in (5 and 6) heterozygous controls and (7 and 8) Kcp null. See S16 Table for numerical data underlying figure. a, atria; avv, atrioventricular valve; GFP, green fluorescent protein; Kcp, Kielin/chordin-like protein; PRM, parallel reaction monitoring; TALEN, transcription activator-like effector nuclease; v, ventricle.
|
|
S1 Fig. Impact of combined search on identifications.
(A) The number of sequences present in the FASTA databases for each species varied, with mouse having the most depth. (B) Percent of proteins identified from the 5 searched species in the 4 species analyzed by MS. See S1 Table for numerical data underlying figure. MS, mass spectrometry
|
|
S2 Fig. The combined database search approach yielded an increase in IDs.
Percent of (A) proteins and (B) peptides identified uniquely in either a species-specific (blue bars) or combined species (gray bars) search. Orange bars represent proteins and peptides found in both search modes. (C) Table of values from (B). See S2 Table for numerical data underlying figure. ID, Identification.
|
|
S3 Fig. Total proteins identified.
(A) M. musculus, (B) S. scrofa, (C) X. laevis, and (D) X. tropicalis.
|
|
S4 Fig. Examination of extract subproteomes.
GO cellular component terms and p-value enrichments are shown for terms enriched in each extract. GO, Gene Ontology.
|
|
S5 Fig. Number of proteins identified in each replicate by species.
See S5 Table for numerical data underlying figure.
|
|
S6 Fig. Assessment of tryptic peptide frequency across species.
(A) The distribution of theoretical tryptic peptides present in the FASTA databases used in this study was significantly different between all species (p < 0.0001). (B) However, no significant difference in the distribution of theoretical tryptic peptides was observed across the 4 species for the proteins analyzed in this data set. Whiskers show 1 to 99 percentile. See S7 Table for numerical data underlying figure.
|
|
S7 Fig. Multiscatter plot of median-normalized precursor values across the 4 species.
The 2 Xenopus species exhibit the greatest degree of similarity.
|
|
S8 Fig. PCA analysis of proteins identified in each extract from each species.
See S3 Table for numerical data underlying figure. PCA, principal component analysis.
|
|
S9 Fig. All identified proteins that could be mapped to human entries.
The data in Fig 1E includes quantified proteins only. This schematic also includes any identified but not quantified proteins.
|
|
S10 Fig. Tree map of significantly enriched GO biological process terms in the core cardiac proteome.
This is an extended version of Fig 1F that includes all enriched GO terms. The size of the box correlates to the significance of enrichment for that term with larger box sizes being more significant. GO, Gene Ontology.
|
|
S11 Fig. Workflow for protein complex abundance analysis related to Fig 2.
|
|
S12 Fig.
Individual clusters 3 (A) and 5 (B) from the protein complex clustering in Fig 2 are shown and the top 3 complexes from each cluster are listed (C). See S9 Table for numerical data underlying figure.
|
|
S13 Fig. Treemap of GO terms associated with protein complexes that have minimal variation across species.
GO, Gene Ontology.
|
|
S14 Fig. BioSNAP complex clustering.
(A) The 8 clusters resulting from mapping the 4 species data set to cardiac complex information in BioSNAP are shown. One of the top GO terms for each cluster is show in blue. (B) Comparison of BioSNAP and CORUM complex analysis. Top enriched GO terms for each unique set of proteins are listed. See S10 Table for numerical data underlying figure. CORUM, Comprehensive Resource of Mammalian Protein Complexes; GO, Gene Ontology.
|
|
S15 Fig. Analysis of differential abundance of shared cardiac proteins.
(A) The 1,770 proteins that are shared across all 4 species were clustered using k means with k = 6 revealing clusters driven by higher protein expression in one or more species. (B) Each of the clusters from the heat map were analyzed for overrepresentation of GO biological process terms and the p-values of the significantly enriched terms were shown in a heat map. See S8 Table and S11 Table for numerical data underlying figure. GO, Gene Ontology.
|
|
S16 Fig. Analysis of species unique proteins.
(A) The proteins uniquely identified in the mammalian and Xenopus species were used to examine evolutionary driven protein expression differences in these organisms using ClueGO (B) Proteins found uniquely in one species only were combined with the cluster of proteins that were more highly expressed in that species and analyzed for overrepresentation of GO biological process terms. The p-values of the significantly enriched terms are shown in a heat map. See S12 Table for numerical data underlying figure. GO, Gene Ontology.
|
|
S17 Fig. Cell cycle GO enrichments in every pairwise comparison with X. laevis.
(A) M. musculus/X. laevis; (B) S. scrofa/X. laevis; (C) X. tropicalis/X. laevis. See S13 Table and S14 Table for numerical data underlying figure. GO, Gene Ontology.
|
|
S18 Fig. Gene duplication corrected cell-cycle analysis.
Data from Fig 3 were reproduced here with correction for gene duplication in X. laevis. Similar trends were observed as before. See S15 Table for numerical data underlying figure.
|
|
S21 Fig. Sequence alignment of Kcp across species.
Kcp protein sequences from mouse, human, X. laevis, X. tropicalis, and pig were aligned to examine sequence conservation. Highlighted in dark blue are residues conserved among all 5 species, medium blue shows conservation in 4 species, and light blue depicts sequence conservation in 3 species. Kcp, Kielin/chordin-like protein.
|
|
Fig. S22 Kcp augments BMP signaling.
(A) Control embryos; mock injected. (B) Embryos injected with 500 pg Kcp mRNA. Embryos display protrusions (red arrows). (C) Embryos injected with 500 pg Bmp2 mRNA. Embryos displaying partial double axis (red arrows). (D) Embryos injected with 500 pg Kcp mRNA + 500 pg Bmp2 mRNA. Embryos displaying partial double axis, posterior truncations, edema. (E) Graph of the classes of phenotypic abnormalities in wild-type embryos verses those injected with Kcp alone, BMP2 alone, or BMP2 + Kcp. Results from 2 independent biological replicates with total number of embryos scored under each heading. See S17 Table for numerical data underlying figure. BMP, bone morphogenetic protein; Kcp, Kielin/chordin-like protein.
|