XB-ART-56127
FASEB J
2018 Nov 01;3211:6159-6173. doi: 10.1096/fj.201800246R.
Show Gene links
Show Anatomy links
The VAMP-associated protein VAPB is required for cardiac and neuronal pacemaker channel function.
Silbernagel N
,
Walecki M
,
Schäfer MK
,
Kessler M
,
Zobeiri M
,
Rinné S
,
Kiper AK
,
Komadowski MA
,
Vowinkel KS
,
Wemhöner K
,
Fortmüller L
,
Schewe M
,
Dolga AM
,
Scekic-Zahirovic J
,
Matschke LA
,
Culmsee C
,
Baukrowitz T
,
Monassier L
,
Ullrich ND
,
Dupuis L
,
Just S
,
Budde T
,
Fabritz L
,
Decher N
.
???displayArticle.abstract???
Hyperpolarization-activated cyclic nucleotide-gated (HCN) channels encode neuronal and cardiac pacemaker currents. The composition of pacemaker channel complexes in different tissues is poorly understood, and the presence of additional HCN modulating subunits was speculated. Here we show that vesicle-associated membrane protein-associated protein B (VAPB), previously associated with a familial form of amyotrophic lateral sclerosis 8, is an essential HCN1 and HCN2 modulator. VAPB significantly increases HCN2 currents and surface expression and has a major influence on the dendritic neuronal distribution of HCN2. Severe cardiac bradycardias in VAPB-deficient zebrafish and VAPB-/- mice highlight that VAPB physiologically serves to increase cardiac pacemaker currents. An altered T-wave morphology observed in the ECGs of VAPB-/- mice supports the recently proposed role of HCN channels for ventricular repolarization. The critical function of VAPB in native pacemaker channel complexes will be relevant for our understanding of cardiac arrhythmias and epilepsies, and provides an unexpected link between these diseases and amyotrophic lateral sclerosis.-Silbernagel, N., Walecki, M., Schäfer, M.-K. H., Kessler, M., Zobeiri, M., Rinné, S., Kiper, A. K., Komadowski, M. A., Vowinkel, K. S., Wemhöner, K., Fortmüller, L., Schewe, M., Dolga, A. M., Scekic-Zahirovic, J., Matschke, L. A., Culmsee, C., Baukrowitz, T., Monassier, L., Ullrich, N. D., Dupuis, L., Just, S., Budde, T., Fabritz, L., Decher, N. The VAMP-associated protein VAPB is required for cardiac and neuronal pacemaker channel function.
???displayArticle.pubmedLink??? 29879376
???displayArticle.pmcLink??? PMC6629115
???displayArticle.link??? FASEB J
???displayArticle.grants??? [+]
FS/13/43/30324 British Heart Foundation
Species referenced: Xenopus laevis
Genes referenced: adm camp hcn1 hcn2 hcn4 map2 mst1 ncl nectin3
GO keywords: cyclic nucleotide binding
???displayArticle.disOnts??? epilepsy
???displayArticle.omims??? AMYOTROPHIC LATERAL SCLEROSIS 8; ALS8
???attribute.lit??? ???displayArticles.show???
|
|
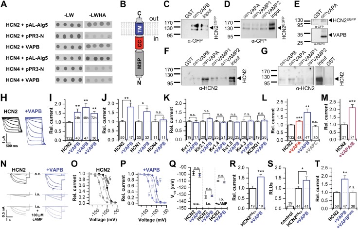
Figure 1. VAPB selectively increases HCN1 and HCN2 currents. A) Y2H direct interaction assay. Transformation control (-LW), leucine, and tryptophan dropout. Interaction read-out (-LWHA), additional dropout of histidine and adenine. pAL-Alg5, positive control. pPR3-N, negative control. B) Topology of VAPB. C) GSTVAPB pull-down of HCN2EGFP using transfected HeLa cells. D) GSTVAPA, GSTVAMP1, or GSTVAMP2 pull-down of HCN2EGFP using transfected HeLa cells. E) GSTVAPA pull-down of HCN2 and endogenous VAPB, using HCN2EGFP transfected HeLa cells. F) Pull-down of in vitro translated HCN2 (untagged). G) Pull-down of HCN2 from rat brain lysates. H, I) Representative currents (H) of HCN2 expressed in oocytes alone or with VAPB and the relative current amplitudes (I) analyzed over 3 d. J) Relative currents of HCN1, HCN2, and HCN4 alone or coexpressed with VAPB. K, L) Relative currents of different potassium channels (K) coexpressed with VAPB and of HCN2 (L) coexpressed with VAPA, VAPB, or VAPC. M) Relative currents of HCN2 coexpressed with a mixture of VAPA/B (1:1). N) Representative macropatch recordings in different configurations: on cell (o.c.), inside-out after patch excision (i.o.), and after application of 100 µM cAMP (i.o.+100 µM cAMP). O, P) Activation curves for HCN2 alone (n = 6) (O), recorded as in N, or after coexpression with VAPB (n = 8) (P). Q) V1/2 values for HCN2 expressed alone or with VAPB in different patch modes. R) Relative currents of HCN2HAEx alone or with VAPB. S) Relative surface expression of HCN2HAEx expressed alone or with VAPB, analyzed as relative light units (RLUs). T) Relative currents of HCN2 expressed alone or with VAPB or VAPBP56S. All data are presented as means ± sem. The number of cells (n) is indicated in the bar graphs. N.s., not significant. *P < 0.05, **P < 0.01, ***P < 0.001 [unpaired Student’s t test (H, K, L, O–S) or Mann-Whitney U test (I, J, M, N, T)]. |
|
|
Figure 2. Domains mediating the interaction of VAPB with HCN2. A) Schematic illustration of a HCN subunit. The CNBD and some of the truncation constructs studied are indicated. B) All truncation constructs exhibited a positive interaction, evident from growth on -LWHA dropout medium. C) Representative current traces and the relative currents for different C-terminal deletions expressed alone or with VAPB. D) Representative current traces and the relative current amplitudes for the N-terminal truncated NTKHCN2 expressed alone or with VAPB. E) Relative current amplitudes of NTKHCN2HAEx (extracellular HA-tag) expressed alone or with VAPB. F) Relative surface expression of NTKHCN2HAEx expressed alone or with VAPB analyzed as relative light units (RLUs). G) Schematic illustration, representative traces, and currents of a HCN2 channel chimera with the N terminus of HCN4 (HCN4-NHCN2) expressed alone or with VAPB. H) Relative currents of HCN2 expressed alone or coexpressed with VAPB (1.7 ± 0.1), TMVAPB (1.6 ± 0.2), the MSP domain (MSPVAPB), the MSP with half of the CC domain (MSP-CC0.5VAPB), or with the complete CC domain (MSP-CCVAPB). I, J) Relative current amplitudes of HCN2HAEx expressed alone or with TMVAPB (1.3 ± 0.1) (I) and the respective changes in the relative surface membrane expression analyzed as RLUs, using a single cell chemiluminescence assay (TMVAPB 1.8 ± 0.2) (J). All data are presented as means ± sem. The number of experiments (n) is indicated in the respective bar graphs. N.s., not significant. *P < 0.05, **P < 0.01, ***P < 0.001 [unpaired Student’s t test (E), Mann-Whitney U test (C, D, F–H, J), or Welch’s t test (I)]. |
|
|
Figure 3. VAPB determines surface expression and dendritic localization of HCN2. A) Live cell imaging of HeLa cells transfected with an N-terminally EGFP-tagged HCN2 carrying an extracellular HA-epitope (EGFPHCN2HAEx) alone or cotransfected with VAPB or the TM segment of VAPB (TMVAPB). B) Chemiluminescence assays of fixed non-permeabilized HeLa cells, analyzing the surface expression as relative light units (RLUs) for EGFPHCN2HAEx alone and after cotransfection with VAPB (1.6 ± 0.1). Upper inset illustrates a representative control Western blot showing an unaltered HCN2 protein expression. C) Chemiluminescence surface expression assay as in B, but using TMVAPB (1.6 ± 0.1). D) Immunocytochemistry of HAVAPB transfected cortical neurons. Endogenous HCN2 (green) is colocalizing (white) with HAVAPB (magenta) in the soma and dendrites. Anti–MAP2-staining illustrating an intact neuronal network and dendrites (blue). E) Immunocytochemistry experiment as in D, but transfecting the ALS8 mutation HAVAPBP56S (magenta), leading to an aggregation of VAPBP56S in the soma of the neurons. Also, HCN2 fluorescence (green) was focused in the soma and dendritic localization was lost, despite an intact neuronal network (α-MAP2, blue). Scale bars, 20 µm (A, D, E). All data are presented as means ± sem. The number of experiments (n) is indicated in the respective bar graphs. **P < 0.01 (unpaired Student’s t test). |
|
|
Figure 4. Codistribution of VAPs with HCN2 and contribution to thalamic Ih. AâE), Distribution of HCN2, VAPB, and VAPA mRNA in mouse brain and spinal cord. ISH analysis of HCN2, VAPB, and VAPA using DIG-labeled riboprobes, revealing mRNA expression of VAPB in cortical areas (A), hippocampus (B), thalamus (C), cerebellum (D) (arrows point to interneurons in the granular layer), and spinal cord (E). Note the overlapping distribution of VAPB with HCN2 and VAPA mRNA. Am, amygdala; CA, cornu ammonis; DG, dentate gyrus; DH, dorsal horn; gcl, granule cell layer; Hb, habenulae; ic, internal capsule; LG, lateral geniculate ncl.; m, molecular cell layer; pcl, Purkinje cell layer; RTh, reticular thalamic ncl.; Sth, subthalamic ncl.; VB, ventrobasal thalamus; Th, thalamus; VH, ventral horn. F) Representative current traces elicited in slice patch-clamp experiments of the ventrobasal thalamus (VB) of wild-type animals (control) and VAPBâ/â mice. G) The Ih current was significantly reduced in VAPBâ/â mice (15.4 ± 1.1 pA/pF) compared with control animals (22.2 ± 2.3 pA/pF). H) Average activation curves of the VB Ih current for control and VAPBâ/â mice. V1/2 of activation for control (â91.6 ± 1.3 mV, n = 8) and VAPBâ/â (â87.5 ± 1.2 mV, n = 7). Scale bars: 500 µm (AâC, E), 100 µm (D). All data are presented as means ± sem. The number of experiments (n) is indicated in the respective bar graphs. *P < 0.05 (unpaired Studentâs t test). |
|
|
Figure 5. Bradycardia in knock-down zebrafish embryos and VAPB−/− mice. A) Zebrafish embryos at 72 hpf. Control-injected and MO-injected embryos against VAPA (MOVAPA) or VAPB (MOVAPB) exhibit no significant abnormalities (left), particularly no structural heart defects (right). Note a light cardiac edema in MOVAPB and a strong edema in MOVAPA. B) Heart rate in beats per minute (bpm) of control and MOVAPA, MOVAPB, or MOVAPA/B injected zebrafish embryos at 72 hpf. C) Representative examples of calcium transients (relative fluorescence intensity) in the cardiac atrium (black) and cardiac ventricle (gray) of control-injected zebrafish at 72 hpf, displaying a regular atrio-ventricular propagation of excitation from atrium to ventricle in a 1:1-ratio. D, E), Representative calcium transients recorded in MOVAPA/B double knock-down morphants, illustrating strongly reduced heart rates with variable frequency. F) Representative example of atrial and ventricular calcium measurements from a MOVAPA/B morphant with a 2:1 atrio-ventricular block, in which only every second atrial excitation leads to a ventricular excitation. Data were obtained from 3 independent batches of injections (A–F). G) Heart rate in beats per minute (bpm) of VAPB−/− mice compared with wild-type littermates (control), analyzed by using tail-cuff measurements. H) Representative surface ECG recordings of VAPB−/− mice and their wild-type littermates (control). ECGs of VAPB−/− mice show bradycardia and an increased T-wave amplitude. I–N) Analyses of the ECG parameters of VAPB−/− mice. I) Heart rate in beats per minute (bpm). J) PQ interval (PQ) duration. K) QRS complex (QRS) duration. L) Frequency corrected QT interval (QTc). M) Frequency-corrected Tpeak to Tend duration (Tp-Tec). N) T-wave amplitude (JTp). Scale bars: 500 µm (A); 500 ms (C–F), and 100 ms (H). All data are presented as means ± sem. The number of animals (n) is indicated in the respective bar graphs. N.s., not significant. *P < 0.05, **P < 0.01, ***P < 0.001 [Student’s t test (G, H, J–N) or Welch’s t test (B, I)]. |
|
|
Figure 6. VAPB modulates If of spontaneously beating cardiac HL-1 cells. A) Immunocytochemistry of VAPB in HL-1 cells. Scale bar, 20 µm B) Western blot illustrating the knock-down of VAPB expression in HL-1 cells by shRNA transfection. Control, HL-1 cells transfected with scrambled shRNA. C) Representative If currents of HL-1 cells under control conditions and after VAPB transfection. D) Percentage of HL-1 cells containing If under control conditions (38%) and after VAPB transfection (58%). E) Beating frequency under control conditions (158 ± 4) and after VAPB transfection (179 ± 4), analyzed by optical counting of contractions in original Claycomb medium containing norepinephrine (60). F) Accelerated activation kinetics of VAPB-transfected HL-1 cells (n = 9–10). G) Activation curves of HL-1 cells under control conditions (n = 10) and after VAPB transfection (n = 11). H) Positive shift in the V1/2 of activation of If recorded in VAPB transfected HL-1 cells. Control (scrambled shRNA), −90.3 ± 3.4 mV (n = 10); VAPB transfected, −79.6 ± 2.7 mV (n = 11). I) Representative action potential measurements of wild-type HL-1 and shRNA transfected cells (shVAPB). J) Analysis of the diastolic depolarization (DD duration). K) Beating frequency of HL-1 cells under control conditions and after VAPB knock-down. L) VAPB knock-down slows the activation kinetics (n = 5) of endogenous If currents. M) Transfection of shRNA (n = 5) shifts the voltage-dependence of activation (V1/2) of If to more negative potentials (n = 6). N) V1/2 values for control (scrambled shRNA) were −88.2 ± 3.1 mV (n = 6) and for shRNA-transfection (shVAPB), −96.2 ± 2.3 mV (n = 5), respectively. (I, J), Scrambled shRNA was used as control. All data are presented as means ± sem. The number of experiments (n) is indicated in the bar graphs. N.s., not significant. *P < 0.05, **P < 0.01, ***P < 0.001 [unpaired Student’s t test (D, G, H, M) or Mann-Whitney U test (E, F, J–L, N) |
References [+] :
Anagnostou,
Vesicle associated membrane protein B (VAPB) is decreased in ALS spinal cord.
2010, Pubmed
Anagnostou, Vesicle associated membrane protein B (VAPB) is decreased in ALS spinal cord. 2010, Pubmed
Asai, Sympathetic disturbances increase risk of sudden cardiac arrest in sporadic ALS. 2007, Pubmed
Beaumont, Enhancement of synaptic transmission by cyclic AMP modulation of presynaptic Ih channels. 2000, Pubmed
Biel, Cardiac HCN channels: structure, function, and modulation. 2002, Pubmed
Chen, HCN subunit-specific and cAMP-modulated effects of anesthetics on neuronal pacemaker currents. 2005, Pubmed
Chen, Functional roles of charged residues in the putative voltage sensor of the HCN2 pacemaker channel. 2000, Pubmed , Xenbase
Claycomb, HL-1 cells: a cardiac muscle cell line that contracts and retains phenotypic characteristics of the adult cardiomyocyte. 1998, Pubmed
Decher, Sodium permeable and "hypersensitive" TREK-1 channels cause ventricular tachycardia. 2017, Pubmed
DiFrancesco, Pacemaker mechanisms in cardiac tissue. 1993, Pubmed
DiFrancesco, Direct activation of cardiac pacemaker channels by intracellular cyclic AMP. 1991, Pubmed
DiFrancesco, Dysfunctional HCN ion channels in neurological diseases. 2015, Pubmed
Doherty, Mechanisms of endocytosis. 2009, Pubmed
Dolga, KCa2 channels activation prevents [Ca2+]i deregulation and reduces neuronal death following glutamate toxicity and cerebral ischemia. 2011, Pubmed
Estévez, Barttin is a Cl- channel beta-subunit crucial for renal Cl- reabsorption and inner ear K+ secretion. 2001, Pubmed , Xenbase
Fenske, The role of HCN channels in ventricular repolarization. 2011, Pubmed
Fenske, HCN3 contributes to the ventricular action potential waveform in the murine heart. 2011, Pubmed
Fenske, Sick sinus syndrome in HCN1-deficient mice. 2013, Pubmed
Finsterer, Sudden cardiac death in neuromuscular disorders. 2016, Pubmed
Foster, A functional role for VAP-33 in insulin-stimulated GLUT4 traffic. 2000, Pubmed
Friedrich, Gain-of-function mutation in TASK-4 channels and severe cardiac conduction disorder. 2014, Pubmed , Xenbase
Gkogkas, VAPB interacts with and modulates the activity of ATF6. 2008, Pubmed
Han, Trafficking and gating of hyperpolarization-activated cyclic nucleotide-gated channels are regulated by interaction with tetratricopeptide repeat-containing Rab8b-interacting protein (TRIP8b) and cyclic AMP at distinct sites. 2011, Pubmed
Hofmann, Ventricular HCN channels decrease the repolarization reserve in the hypertrophic heart. 2012, Pubmed
Hu, Binding of the auxiliary subunit TRIP8b to HCN channels shifts the mode of action of cAMP. 2013, Pubmed , Xenbase
Johnsson, Split ubiquitin as a sensor of protein interactions in vivo. 1994, Pubmed
Kabashi, Investigating the contribution of VAPB/ALS8 loss of function in amyotrophic lateral sclerosis. 2013, Pubmed
Kanyshkova, Postnatal expression pattern of HCN channel isoforms in thalamic neurons: relationship to maturation of thalamocortical oscillations. 2009, Pubmed
Keßler, Loss of dihydrolipoyl succinyltransferase (DLST) leads to reduced resting heart rate in the zebrafish. 2015, Pubmed
Langenbacher, Mutation in sodium-calcium exchanger 1 (NCX1) causes cardiac fibrillation in zebrafish. 2005, Pubmed
Leroy, Early intrinsic hyperexcitability does not contribute to motoneuron degeneration in amyotrophic lateral sclerosis. 2014, Pubmed
Lev, The VAP protein family: from cellular functions to motor neuron disease. 2008, Pubmed
Lewis, Alternatively spliced isoforms of TRIP8b differentially control h channel trafficking and function. 2009, Pubmed
Ludwig, A family of hyperpolarization-activated mammalian cation channels. 1998, Pubmed
Ludwig, Absence epilepsy and sinus dysrhythmia in mice lacking the pacemaker channel HCN2. 2003, Pubmed
Lvov, VAMP2 interacts directly with the N terminus of Kv2.1 to enhance channel inactivation. 2008, Pubmed , Xenbase
Marques, Expanding the phenotypes of the Pro56Ser VAPB mutation: proximal SMA with dysautonomia. 2006, Pubmed
Marques, Neurophysiological findings of the late-onset, dominant, proximal spinal muscular atrophies with dysautonomia because of the VAPB PRO56SER mutation. 2008, Pubmed
Meder, Reconstitution of defective protein trafficking rescues Long-QT syndrome in zebrafish. 2011, Pubmed
Mitne-Neto, Downregulation of VAPB expression in motor neurons derived from induced pluripotent stem cells of ALS8 patients. 2011, Pubmed
Murata, An abnormal relationship between blood pressure and pulse rate in amyotrophic lateral sclerosis. 1997, Pubmed
Nishimura, A mutation in the vesicle-trafficking protein VAPB causes late-onset spinal muscular atrophy and amyotrophic lateral sclerosis. 2004, Pubmed
Nishimura, Molecular cloning and characterization of mammalian homologues of vesicle-associated membrane protein-associated (VAMP-associated) proteins. 1999, Pubmed
Pape, Queer current and pacemaker: the hyperpolarization-activated cation current in neurons. 1996, Pubmed
Pape, Noradrenaline and serotonin selectively modulate thalamic burst firing by enhancing a hyperpolarization-activated cation current. 1989, Pubmed
Renigunta, Cooperative endocytosis of the endosomal SNARE protein syntaxin-8 and the potassium channel TASK-1. 2014, Pubmed , Xenbase
Roselli, From intrinsic firing properties to selective neuronal vulnerability in neurodegenerative diseases. 2015, Pubmed
Santoro, Identification of a gene encoding a hyperpolarization-activated pacemaker channel of brain. 1998, Pubmed , Xenbase
Santoro, Regulation of HCN channel surface expression by a novel C-terminal protein-protein interaction. 2004, Pubmed , Xenbase
Santoro, TRIP8b splice variants form a family of auxiliary subunits that regulate gating and trafficking of HCN channels in the brain. 2009, Pubmed
Saponaro, Structural basis for the mutual antagonism of cAMP and TRIP8b in regulating HCN channel function. 2014, Pubmed
Sartiani, Functional expression of the hyperpolarization-activated, non-selective cation current I(f) in immortalized HL-1 cardiomyocytes. 2002, Pubmed
Saxena, Neuroprotection through excitability and mTOR required in ALS motoneurons to delay disease and extend survival. 2013, Pubmed
Shemisa, Autonomic etiology of heart block in amyotrophic lateral sclerosis: a case report. 2014, Pubmed
Shimizu, Circulatory collapse and sudden death in respirator-dependent amyotrophic lateral sclerosis. 1994, Pubmed
Skehel, Mouse VAP33 is associated with the endoplasmic reticulum and microtubules. 2000, Pubmed
Skehel, A VAMP-binding protein from Aplysia required for neurotransmitter release. 1995, Pubmed
Soussan, ERG30, a VAP-33-related protein, functions in protein transport mediated by COPI vesicles. 1999, Pubmed
Teuling, Motor neuron disease-associated mutant vesicle-associated membrane protein-associated protein (VAP) B recruits wild-type VAPs into endoplasmic reticulum-derived tubular aggregates. 2007, Pubmed
Weimbs, A conserved domain is present in different families of vesicular fusion proteins: a new superfamily. 1997, Pubmed
Weir, Identification of a human homologue of the vesicle-associated membrane protein (VAMP)-associated protein of 33 kDa (VAP-33): a broadly expressed protein that binds to VAMP. 1998, Pubmed
Williams, Site independence of EPSP time course is mediated by dendritic I(h) in neocortical pyramidal neurons. 2000, Pubmed
Zolles, Pacemaking by HCN channels requires interaction with phosphoinositides. 2006, Pubmed , Xenbase
Zolles, Association with the auxiliary subunit PEX5R/Trip8b controls responsiveness of HCN channels to cAMP and adrenergic stimulation. 2009, Pubmed , Xenbase
