XB-ART-55966
Nat Commun
2019 Apr 18;101:1804. doi: 10.1038/s41467-019-09651-7.
Show Gene links
Show Anatomy links
Dishevelled-3 conformation dynamics analyzed by FRET-based biosensors reveals a key role of casein kinase 1.
Harnoš J
,
Cañizal MCA
,
Jurásek M
,
Kumar J
,
Holler C
,
Schambony A
,
Hanáková K
,
Bernatík O
,
Zdráhal Z
,
Gömöryová K
,
Gybeľ T
,
Radaszkiewicz TW
,
Kravec M
,
Trantírek L
,
Ryneš J
,
Dave Z
,
Fernández-Llamazares AI
,
Vácha R
,
Tripsianes K
,
Hoffmann C
,
Bryja V
.
???displayArticle.abstract???
Dishevelled (DVL) is the key component of the Wnt signaling pathway. Currently, DVL conformational dynamics under native conditions is unknown. To overcome this limitation, we develop the Fluorescein Arsenical Hairpin Binder- (FlAsH-) based FRET in vivo approach to study DVL conformation in living cells. Using this single-cell FRET approach, we demonstrate that (i) Wnt ligands induce open DVL conformation, (ii) DVL variants that are predominantly open, show more even subcellular localization and more efficient membrane recruitment by Frizzled (FZD) and (iii) Casein kinase 1 ɛ (CK1ɛ) has a key regulatory function in DVL conformational dynamics. In silico modeling and in vitro biophysical methods explain how CK1ɛ-specific phosphorylation events control DVL conformations via modulation of the PDZ domain and its interaction with DVL C-terminus. In summary, our study describes an experimental tool for DVL conformational sampling in living cells and elucidates the essential regulatory role of CK1ɛ in DVL conformational dynamics.
???displayArticle.pubmedLink??? 31000703
???displayArticle.pmcLink??? PMC6472409
???displayArticle.link??? Nat Commun
Species referenced: Xenopus laevis
Genes referenced: csnk1a1 ctnnb1 dvl1 dvl2 dvl3 fzd6 fzd7 myc pam ror2 sec16b spr wnt3a
GO keywords: cell proliferation
???attribute.lit??? ???displayArticles.show???
|
|
Fig. 1.The FlAsH-based FRET DVL3 sensors. a The general scheme of the FlAsH-based FRET in vivo approach (in further detail in Supplementary Fig. 1a). b The design of four DVL3 FlAsH I–IV sensors with the CCPGCC tag and N-terminal ECFP tag. The insertions of the CCPGCC tag were placed at the positions with highest disordered prediction scores (PONDR-Fit21)—one CCPGCC tag per a linker region (FlAsH I, II, III) and the C-terminus (FlAsH IV). Multiple sequence alignment of the Dvl/DVL sequences at the site of insertion is shown below. Residues with >80% similarity are highlighted. Sequence of human DVL3 used for cloning as a template is shown in red box. c Biological properties of four ECFP-DVL3 FlAsH sensors are indistinguishable from wild-type ECFP-DVL3 (for details see Supplementary Fig. 1c–e). d The intramolecular and intermolecular FRET efficiency in the DVL3 FlAsH I–IV sensors in HEK293 wild-type cells. The position of the fluorophores in DVL3 molecules in both experimental setups are schematized above the graph. One data point corresponds to one analyzed cell. Data from three independent transfections were merged. Data in d represent median ± interquartile range. FRET eff., FRET efficiency; BAL, British anti-Lewisite; ECFP enhanced cyan fluorescent protein |
|
|
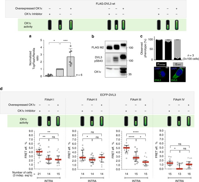
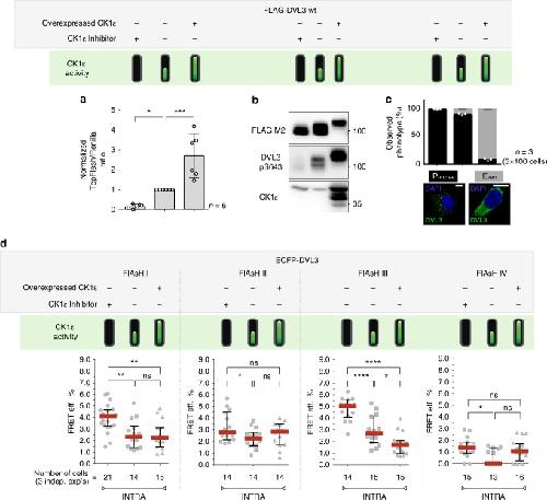
DVL3 FlAsH IâIV sensors uncover the role of CK1ε in DVL3 conformation. a The effects of the CK1δ/É inhibitor PF-670642 and the overexpressed CK1É on the downstream Wnt/β-catenin signaling of FLAG-DVL3 was quantified by TopFlash assay, b phosphorylation status detected either as phosphorylation-dependent mobility shift on SDS-PAGE or as an increased signal for pS643-DVL3 phosphorylation-specific antibody, and c changes in the localization of DVL3 (punctae phenotype plotted as white dots); DAPI was used for nuclei staining; scale bars: 10âμm. d Measurements of the intramolecular FRET efficiency of the ECFP-DVL3 FlAsH sensors IâIV in HEK293 wild-type cells are shown. One data point corresponds to one analyzed cell; datapoints from three independent transfections were merged. Data in a and c represent meanâ±âS.D., data in d represent medianâ±âinterquartile range. Statistical significance in a/d was analyzed by one-way ANOVA test with Gaussian distribution and Tukey's post-test (*pââ¤â0.05; **pââ¤â0.01; ***pââ¤â0.001, ****pââ¤â0.0001; ns, not significant, pâ>â0.05) |
|
|
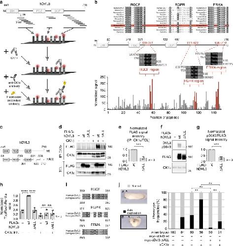
Fig. 3. The molecular and functional analysis of DVL3 regions interacting with CK1É. a The general workflow of a peptide array analysis: immobilized peptides were incubated with CK1ε, then with anti-CK1É antibody followed by fluorescent secondary antibodies, and detected by reading the fluorescence intensity. Peptide array contained the non-modified or phosphorylated peptide variants from the intrinsically disordered regions (IDRs) according to phosphorylation pattern by CK1ε, as mapped earlier29 (see Supplementary Fig. 3). b Identification of three regions (named RGCF, RGPR, and FRMA regions by their central 4 aa sequences), which bind CK1ε with high affinity. Multiple sequence alignment for the RGCF, RGPR, and FRMA regions of various Dvl/DVL isoforms is shown above. Residues with >80% similarity are highlighted and human DVL3 sequence is denoted by red box; only non-modified (i.e. non-phosphorylated) peptides are shown in this graph. c Generation of the N-terminal FLAG-tagged DVL3 âALL variant lacking the interaction interfaces (RGCF, RGPR, FRMA regions) and its subsequent analysis by d coimmunoprecipitation and e its quantification, f by western blot detection of the pS643 phosphorylation level and f its quantification, g and by Topflash Reporter Assay for the downstream Wnt/β-catenin signaling. h The multiple sequence alignment of Xenopus Dvl3 and human DVL3 sequences in the RGCF, RGPR, and FRMA regions is shown. i Analysis of the activity of the âALL variant derived from Xenopus xDvl3 in the Wnt/β-catenin canonical signaling (in the Xenopus laevis embryos). j Left: Representative image of control (low or no activity of the Wnt/β-catenin pathway; in a gray box) or duplicated (high activity; in a black box) axis in the Xenopus laevis embryos. Right: Quantification of the Xenopus laevis embryos with wild-type xDvl3 and the âALL variant. Experiments in dâf were performed in HEK DVL1-2-3â/â cell line. Data in e, g, h, j represent meanâ±âS.D. Data in h and j were analyzed by one-way ANOVA test with Gaussian distribution; Tukey's post-test was used for statistical analysis (*, pââ¤â0.05; **, pââ¤â0.01; ***, pââ¤â0.001, ****, pââ¤â0.0001; ns, not significant, pâ>â0.05); data in e and g were analyzed by Student's t-test |
|
|
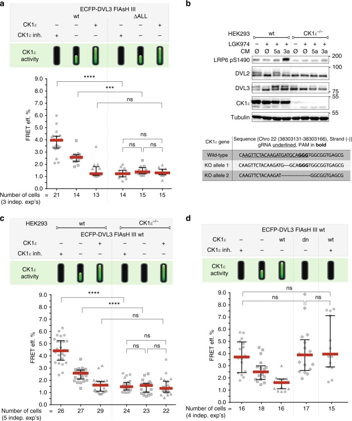
CK1ε is required for the conformational dynamics of DVL3. a Sequences corresponding to the ∆ALL variant were deleted in the ECFP-DVL3 FlAsH III sensor and the intramolecular FRET efficiency measurement of this variant (ECFP-DVL3 FlAsH III ∆ALL sensor) in HEK293 wild-type cells is shown. b Generation of the CK1ɛ−/−-deficient HEK293 cells using the CRISPR-Cas9 system and analysis of their capacity to respond to the Wnt-3a and Wnt-5a ligands was analyzed by western blotting. Bottom: Sequencing results for CK1ɛ locus targeted in CK1ɛ−/− cells are shown; sequences of gRNA, which were used, are underlined, the PAM sequence is in bold. c Measurements of the intramolecular FRET efficiency of the wt DVL3 FlAsH sensor III in HEK293 wild type and CK1ɛ−/−-deficient cells. d Measurements of the intramolecular FRET efficiency of the wt DVL3 FlAsH III sensor in HEK293 wild-type cells with dominant negative (dn) variant of CK1ɛ and wt CK1ɛ treated with the CK1δ/ε inhibitor are shown. Data in a, c and d: one dot represents one cell; data from three to five independent transfections were merged. Median ± interquartile range is indicated; one-way ANOVA test with Gaussian distribution and Tukey's post-test was used for statistical analysis (*, p ≤ 0.05; **, p ≤ 0.01; ***, p ≤ 0.001, ****, p ≤ 0.0001; ns, not significant, p > 0.05). CM: conditional medium, Ø: control, 5a: Wnt-5a, 3a: Wnt-3a |
|
|
Fig. 5. Phosphorylation of PDZ domain controls the conformational dynamics of DVL3. a Schematic depiction of the closed conformation of DVL proposed here16, where seven last C-terminal aa (sequence: EFFVDIM) interact with the peptide-binding pocket of the PDZ domain. b Measurements of the intramolecular FRET efficiency of the wt DVL3 FlAsH sensors III (aa 1–716 in human DVL3) and the ∆C variant (aa 1–697) in HEK293 wild-type cells. c The western blot-based (above) and MS/MS-based (below) analyses of the CK1ε-induced phosphorylation of serine residues present in the PDZ domain of human DVL3. FLAG-DVL3 wt was overexpressed with/without CK1ε wt in HEK293 wt cells, immunoprecipitated, and the level of phosphorylation was analyzed by MS/MS. CK1ε-induced phosphorylation of S268 and S311 in DVL3 PDZ domain was detected. d In vitro kinase assay with recombinant FLAG-DVL3 and CK1ε analyzed by western blot (above) and MS/MS (below) confirms that S268 and S311 are direct phosphorylation sites of CK1ε. Values in c and d show absolute intensity of phosphorylated peptides plotted on a log10 scale. The detection limit is approximately 1.106, i.e. 6.0. Individual datapoints represent biological replicates. e Comparison of the intramolecular FRET efficiency of wt DVL3 FlAsH III sensor, non-phosphorylatable variant (S268A/S311A), and phosphorylation-mimicking variant (S268E/S311E) in wt HEK293 cells is shown. One data point corresponds to one analyzed cell; datapoints from 3 (b) and 7 (e) independent transfections were merged. Data in b and e represent median ± interquartile range and data in e were analyzed by one-way ANOVA test with Gaussian distribution and Tukey's post-test (*, p ≤ 0.05; **, p ≤ 0.01; ***, p ≤ 0.001, ****, p ≤ 0.0001; ns, not significant, p > 0.05). Data in b were analyzed by Student's t-test. Data in c and d represent mean ± S.D. |
|
|
Fig. 6. PDZ phosphorylation regulates the interaction with the DVL C-terminal peptide. a Structure of DVL3 C-terminal peptide (aa 702–716; green) bound to the PDZ-binding pocket (PDZ domain from DVL3, aa 245–338; in silico ɑ-helices in dark and β-strands in light gray) observed in the in silico simulations. S268, S311, and C-terminus residue E710 participating in hydrogen bonds (dotted line) are highlighted with a stick model. b The matrix of mean interaction energy between each residue of PDZ domain aa 245–338 (x-axis) and DVL C-terminal peptide aa 709–716 (y-axis). Strength of the attraction of PDZ wt and C-terminus is depicted in white-black gradient. c–e The differences in mean interaction energies shown as a difference from wild-type PDZ wt: c PDZ (S268E/S311E), d PDZ (phospho-S268/phospho-S311), and e PDZ (S268A/S311A) between PDZ mutants. The change in the interactions are depicted in green (stronger) or red (weaker). Interactions of protein/peptide end caps are also displayed in the matrix. f–i NMR titrations of the DVL2 PDZ wild type and PDZ phosphomimicking variant (S286E/S329E; corresponding to S268 and S311 in DVL3) with DVL C-terminal peptide. f Overlay of 1H, 15N HSQC spectra for each titration point. Arrows indicate selected residues that exhibit fast exchange properties on the NMR timescale and gray boxes selected residues that exhibit intermediate-to-fast exchange properties on the NMR timescale. g Mapping of chemical shift perturbations on DVL-peptide (in green) structure from PDB database (PDB ID: 3CCO). Fast exchange residues colored using a gradient from white to red according to chemical shift perturbation and intermediate exchange residues that go beyond detection at the end of the titration colored in gray. S286, or E286 substitution, of DVL2 are highlighted by black arrow. h Binding isotherms for three residues that experience fast exchange during NMR titration. The apparent KD values represent the mean with the standard deviation for the three cross-peaks analyzed. i Experimental line shapes during the titration for two selected residues that experience intermediate-to-fast exchange. j SPR sensograms of DVL C-terminal peptide binding to wild type and S286E/S329E PDZ from DVL2 and the corresponding binding isotherms fitted to a one-site binding model. RU stands for response units, AU for arbitrary units |
|
|
Fig. 7. Wnt ligands promote open conformation of DVL3. a Western blot analysis of the effect of the Wnt-3a (3a) and Wnt-5a (5a) ligands on the phosphorylation of endogenous DVL2 and DVL3 in HEK293 wt cells. b, c Western blot analyses of samples from two stable cell lines (derived from HEK293 wt and HEK293 DVL1/2/3 triple knockout22 cells) that inducibly under tetracycline-controlled promoter express ECFP-DVL3 FlAsH III sensor. Dashed arrow indicates endogenous DVL3; full arrow indicates ECFP-DVL3. d Western blot analysis of the effect of the Wnt-3a (3a) and Wnt-5a (5a) ligands on the phosphorylation status of ECFP-DVL3 FlAsH III in HEK293 DVL1/2/3 triple knockout22 cells. e, f Measurements of the intramolecular FRET efficiency of the endogenously expressed DVL3 FlAsH sensors III after the treatment with Wnt ligands in HEK293 wt and HEK293 DVL1/2/3 triple knockout22 cells. One data point corresponds to one analyzed cell; datapoints from four independent transfections were merged. Data in e and f represent median ± interquartile range. Statistical significance in e and f was analyzed by one-way ANOVA test with Gaussian distribution and Tukey's post-test (*, p ≤ 0.05; **, p ≤ 0.01; ***, p ≤ 0.001, ****, p ≤ 0.0001; ns, not significant, p > 0.05). CM conditioned medium, Inh. inhibitor, TC tetracycline |
|
|
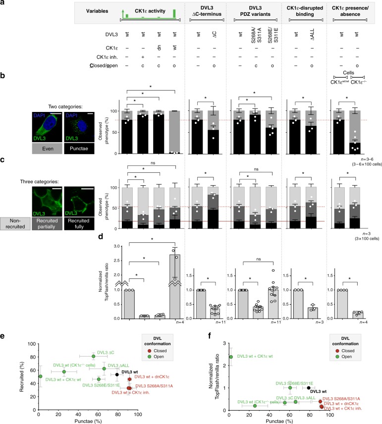
Fig. 8. DVL conformations correlate with DVL subcellular localization and membrane recruitment. a Conditions and variants with the defined conformational state identified by FlAsH-based FRET subjected to analyses in bâd; o indicates open, c indicates closed. b ECFP-tagged DVL3 was transfected to HEK293 wt cells as indicated. Subcellular localization was analyzed by anti-GFP immunostaining. Based on the pattern of ECFP-DVL3, cells were classified to have either even or punctate localization (plotted as white dots) of DVL3. Typical examples are shown in the left. Data represent average from three independent transfections with 100 cells counted in each condition per transfection. Identical control condition is shown several times for better clarity. c FLAG-tagged DVL3 and FZD6-mCherry were transfected in HEK293 DVL1/2/3â/â, wt, and CK1εâ/â cells as indicated. Subcellular localization was analyzed by anti-FLAG immunostaining. Based on the membrane localization of FLAG-DVL3, cells were classified to possess DVL3 either non-recruited, partially recruited, or fully recruited (the sum of partial and full DVL3 recruitment plotted as white dots). Typical examples are shown in the left. Data represent average from three independent transfections with 100 FZD6-mCherry-positive cells counted in each condition per transfection. Identical control condition is shown several times for better clarity. d Analysis of the Wnt/β-catenin downstream signaling monitored by Dual Luciferase TopFlash/Renilla Reporter Assay in HEK293 cells. Data in bâd represent meanâ±âS.D. and statistical significance in d was analyzed by one-way ANOVA test with Gaussian distribution and Tukey's post-test. For more details about the statistics used in Fig. 8b and c, please see the appropriate section in Methods (*, pââ¤â0.05; ns, not significant, pâ>â0.05). e, f Data obtained in bâd were plotted in the 2D graphs. Red color indicates the closed conformation; green indicates open. Error bars show S.D. for each parameter. % of recruited is a sum of partially recruited and fully recruited in c. DVL variants that are closed form a distinct population when membrane recruitment and subcellular localization is considered (e) but not when the TopFlash assay is included (f, and Supplementary Fig. 7a); dn dominant negative |
|
|
Fig. 9. Summary showing CK1ε role in DVL3 conformational dynamics. A summarizing model which proposes at least three DVL conformations in vivo: (i) a closed (CK1ε present and inactive), (ii) open (CK1ε active), and (iii) non-physiological open, which occurs when CK1ε is absent or the DVL-CK1ε interaction is disrupted. Position of insertion of FlAsH III binding tag is indicated. The CK1-induced phosphorylation events are depicted as P in red circle and the C-terminus of DVL as red thick line. The molecular distance analyzed in the FRET FlAsH sensor III is shown as a dashed red line; ECFP, enhanced cyan fluorescent protein |
References [+] :
Angers,
The KLHL12-Cullin-3 ubiquitin ligase negatively regulates the Wnt-beta-catenin pathway by targeting Dishevelled for degradation.
2006, Pubmed,
Xenbase
Angers, The KLHL12-Cullin-3 ubiquitin ligase negatively regulates the Wnt-beta-catenin pathway by targeting Dishevelled for degradation. 2006, Pubmed , Xenbase
Bereau, Generic coarse-grained model for protein folding and aggregation. 2009, Pubmed
Bernatik, Sequential activation and inactivation of Dishevelled in the Wnt/beta-catenin pathway by casein kinases. 2011, Pubmed
Bernatík, Functional analysis of dishevelled-3 phosphorylation identifies distinct mechanisms driven by casein kinase 1ϵ and frizzled5. 2014, Pubmed , Xenbase
Best, Balanced Protein-Water Interactions Improve Properties of Disordered Proteins and Non-Specific Protein Association. 2014, Pubmed
Bilic, Wnt induces LRP6 signalosomes and promotes dishevelled-dependent LRP6 phosphorylation. 2007, Pubmed
Bryja, Beta-arrestin and casein kinase 1/2 define distinct branches of non-canonical WNT signalling pathways. 2008, Pubmed , Xenbase
Bryja, Increased apoptosis in differentiating p27-deficient mouse embryonic stem cells. 2004, Pubmed
Bryja, Wnt-3a utilizes a novel low dose and rapid pathway that does not require casein kinase 1-mediated phosphorylation of Dvl to activate beta-catenin. 2007, Pubmed
Bryja, Wnt-5a induces Dishevelled phosphorylation and dopaminergic differentiation via a CK1-dependent mechanism. 2007, Pubmed
Bussi, Canonical sampling through velocity rescaling. 2007, Pubmed
Cervenka, Dishevelled is a NEK2 kinase substrate controlling dynamics of centrosomal linker proteins. 2016, Pubmed
Cheyette, Dapper, a Dishevelled-associated antagonist of beta-catenin and JNK signaling, is required for notochord formation. 2002, Pubmed , Xenbase
Chu, Increasing the efficiency of homology-directed repair for CRISPR-Cas9-induced precise gene editing in mammalian cells. 2015, Pubmed
Clevers, Wnt/beta-catenin signaling in development and disease. 2006, Pubmed
Cong, Casein kinase Iepsilon modulates the signaling specificities of dishevelled. 2004, Pubmed
Evangelidis, Automated NMR resonance assignments and structure determination using a minimal set of 4D spectra. 2018, Pubmed
Fiedler, Dishevelled interacts with the DIX domain polymerization interface of Axin to interfere with its function in down-regulating β-catenin. 2011, Pubmed
Fiser, Modeling of loops in protein structures. 2000, Pubmed
Fiser, Modeller: generation and refinement of homology-based protein structure models. 2003, Pubmed
Foldynová-Trantírková, Breast cancer-specific mutations in CK1epsilon inhibit Wnt/beta-catenin and activate the Wnt/Rac1/JNK and NFAT pathways to decrease cell adhesion and promote cell migration. 2010, Pubmed
Funato, The thioredoxin-related redox-regulating protein nucleoredoxin inhibits Wnt-beta-catenin signalling through dishevelled. 2006, Pubmed , Xenbase
Funato, Nucleoredoxin sustains Wnt/β-catenin signaling by retaining a pool of inactive dishevelled protein. 2010, Pubmed
Gammons, Wnt Signalosome Assembly by DEP Domain Swapping of Dishevelled. 2016, Pubmed
Gao, Dishevelled: The hub of Wnt signaling. 2010, Pubmed
Gentzel, Distinct functionality of dishevelled isoforms on Ca2+/calmodulin-dependent protein kinase 2 (CamKII) in Xenopus gastrulation. 2015, Pubmed , Xenbase
Gentzel, Dishevelled Paralogs in Vertebrate Development: Redundant or Distinct? 2017, Pubmed , Xenbase
González-Sancho, Functional consequences of Wnt-induced dishevelled 2 phosphorylation in canonical and noncanonical Wnt signaling. 2013, Pubmed
Hoffmann, Fluorescent labeling of tetracysteine-tagged proteins in intact cells. 2010, Pubmed
Hoffmann, A FlAsH-based FRET approach to determine G protein-coupled receptor activation in living cells. 2005, Pubmed
Homeyer, AMBER force-field parameters for phosphorylated amino acids in different protonation states: phosphoserine, phosphothreonine, phosphotyrosine, and phosphohistidine. 2006, Pubmed
Jost, Contribution of fluorophores to protein kinase C FRET probe performance. 2008, Pubmed
Jung, Deubiquitination of Dishevelled by Usp14 is required for Wnt signaling. 2013, Pubmed
Kaucká, Asymmetry of VANGL2 in migrating lymphocytes as a tool to monitor activity of the mammalian WNT/planar cell polarity pathway. 2015, Pubmed
Kishida, Synergistic activation of the Wnt signaling pathway by Dvl and casein kinase Iepsilon. 2001, Pubmed , Xenbase
Klein, CKIepsilon/discs overgrown promotes both Wnt-Fz/beta-catenin and Fz/PCP signaling in Drosophila. 2006, Pubmed
Lee, Conformational change of Dishevelled plays a key regulatory role in the Wnt signaling pathways. 2015, Pubmed , Xenbase
Lindorff-Larsen, Improved side-chain torsion potentials for the Amber ff99SB protein force field. 2010, Pubmed
Luck, The emerging contribution of sequence context to the specificity of protein interactions mediated by PDZ domains. 2012, Pubmed
Madrzak, Ubiquitination of the Dishevelled DIX domain blocks its head-to-tail polymerization. 2015, Pubmed
McKay, The casein kinase I family in Wnt signaling. 2001, Pubmed
Mlodzik, The Dishevelled Protein Family: Still Rather a Mystery After Over 20 Years of Molecular Studies. 2016, Pubmed
Mostarda, Beyond the binding site: the role of the β₂-β₃ loop and extra-domain structures in PDZ domains. 2012, Pubmed
Nuber, β-Arrestin biosensors reveal a rapid, receptor-dependent activation/deactivation cycle. 2016, Pubmed
Paclíková, The N-Terminal Part of the Dishevelled DEP Domain Is Required for Wnt/β-Catenin Signaling in Mammalian Cells. 2017, Pubmed
Perez-Riverol, The PRIDE database and related tools and resources in 2019: improving support for quantification data. 2019, Pubmed
Pronk, GROMACS 4.5: a high-throughput and highly parallel open source molecular simulation toolkit. 2013, Pubmed
Punchihewa, Sequence requirement and subtype specificity in the high-affinity interaction between human frizzled and dishevelled proteins. 2009, Pubmed
Qi, Autoinhibition of Dishevelled protein regulated by its extreme C terminus plays a distinct role in Wnt/β-catenin and Wnt/planar cell polarity (PCP) signaling pathways. 2017, Pubmed , Xenbase
Ran, Genome engineering using the CRISPR-Cas9 system. 2013, Pubmed
Rauch, The secret life of kinases: functions beyond catalysis. 2011, Pubmed
Rothbächer, Dishevelled phosphorylation, subcellular localization and multimerization regulate its role in early embryogenesis. 2000, Pubmed , Xenbase
Sali, Comparative protein modelling by satisfaction of spatial restraints. 1993, Pubmed
Schwarz-Romond, Dynamic recruitment of axin by Dishevelled protein assemblies. 2007, Pubmed
Schwarz-Romond, The DIX domain of Dishevelled confers Wnt signaling by dynamic polymerization. 2007, Pubmed
Śmietana, PDZ domain from Dishevelled -- a specificity study. 2011, Pubmed
Stanek, Suppression of sampling artefacts in high-resolution four-dimensional NMR spectra using signal separation algorithm. 2012, Pubmed
Stejskal, Suppression of peptide sample losses in autosampler vials. 2013, Pubmed
Strakova, Dishevelled enables casein kinase 1-mediated phosphorylation of Frizzled 6 required for cell membrane localization. 2018, Pubmed
Vilardaga, Measurement of the millisecond activation switch of G protein-coupled receptors in living cells. 2003, Pubmed
Wallingford, The developmental biology of Dishevelled: an enigmatic protein governing cell fate and cell polarity. 2005, Pubmed
Witte, Negative regulation of Wnt signaling mediated by CK1-phosphorylated Dishevelled via Ror2. 2010, Pubmed , Xenbase
Wong, Structural basis of the recognition of the dishevelled DEP domain in the Wnt signaling pathway. 2000, Pubmed
Wong, Direct binding of the PDZ domain of Dishevelled to a conserved internal sequence in the C-terminal region of Frizzled. 2003, Pubmed , Xenbase
Wynshaw-Boris, Dishevelled: in vivo roles of a multifunctional gene family during development. 2012, Pubmed
Xue, Retro-MoRFs: identifying protein binding sites by normal and reverse alignment and intrinsic disorder prediction. 2010, Pubmed
Xue, PONDR-FIT: a meta-predictor of intrinsically disordered amino acids. 2010, Pubmed
Yanagawa, The dishevelled protein is modified by wingless signaling in Drosophila. 1995, Pubmed
Zhang, Structural basis of beta-catenin recognition by Tax-interacting protein-1. 2008, Pubmed
