Click here to close
Hello! We notice that you are using Internet Explorer, which is not supported by Xenbase and may cause the site to display incorrectly.
We suggest using a current version of Chrome,
FireFox, or Safari.
???displayArticle.abstract???
The use of Xenopus laevis as a model for vertebrate developmental biology is limited by a lack of antibodies specific for embryonic antigens. This study evaluated the use of immune and non-immune phage display libraries for the isolation of single domain antibodies, or nanobodies, with specificities for Xenopus embryonic antigens. The immune nanobody library was derived from peripheral bloodlymphocyte RNA obtained from a llama immunized with Xenopus gastrula homogenates. Screening this library by immunostaining of embryonic tissues with pooled periplasmic material and sib-selection led to the isolation of several monoclonal phages reactive with the cytoplasm and nuclei of gastrula cells. One antigen recognized by a group of nanobodies was identified using a reverse proteomics approach as nucleoplasmin, an abundant histone chaperone. As an alternative strategy, a semi-synthetic non-immune llama nanobody phage display library was panned on highly purified Xenopus proteins. This proof-of-principle approach isolated monoclonal nanobodies that specifically bind Nuclear distribution element-like 1 (Ndel1) in multiple immunoassays. Our results suggest that immune and non-immune phage display screens on crude and purified embryonic antigens can efficiently identify nanobodies useful to the Xenopus developmental biology community.
???displayArticle.pubmedLink???
31048885
???displayArticle.pmcLink???PMC6497274 ???displayArticle.link???PLoS One ???displayArticle.grants???[+]
Fig 1. Distinct patterns are revealed by immunostaining of embryo sections with antibody pools.Phages expressing nanobody cDNA library were enriched by binding to immobilized antigens from total embryo homogenates. Periplasm was obtained from pools of 10–20 bacterial colonies infected with enriched phage population, except that pool 15N19 consisted of 3 colonies. Cryosections of stage 11 gastrula embryos were incubated with periplasm pools, followed by mouse anti-His antibodies and Alexa488-conjugated anti-mouse IgG antibodies. (A-A”) Pool G2 stains nuclei; B-B” pool G8 serves as a negative control. (C) Pool N21 reacts with yolk platelets and cytoplasmic puncta. (D) Pool 40D reacts with yolk platelets. (E) Pool 15N19 stains perinuclear Golgi-like structures of endodermal cells. DAPI staining visualizes nuclei (A, A”, B, B”, D, E). Ectoderm (ect), mesoderm (mes) and endoderm (endo) are indicated. Bar, 50 μm.
Fig 2. Comparison of unique nanobody amino acid sequences.Nanobodies with different specificities were sequenced and the alignment of deduced amino acid sequences is shown for nanobodies staining nuclei (N), perinuclear Golgi-like structures (G), cytoplasmic puncta (P) and yolk platelets (Y). Complementarity determining regions (CDR1, 2 and 3) are marked by blue boxes, conserved cysteines are indicated as orange boxes.
Fig 3. Immunoreactivity of purified nanobodies.Staining of gastrula cryosections with 1.6 μg/ml of NbG18 (A), 3 μg/ml of NbN19 (B) or 1 μg/ml of NbN21 (C) shows nuclear, perinuclear or punctate staining, respectively. DAPI stains nuclei (A’, B, C). Ectoderm (ect), mesoderm (mes), endoderm (endo), blastocoel and blastopore (bp) are indicated. Bars are 50 μm. D-E, immunoblot analysis of embryo lysates at different embryonic stages. Equal amounts of embryo lysates corresponding to the equivalent of 0.5 embryo were separated on 10% SDS-PAGE, transferred to PVDF membrane and probed with different nanobodies. D, NbG18 and NbN39 detect a single protein band of approx. molecular weight of 170 kDa; E, NbN19 detects a broad protein band of 80–95 kDa.
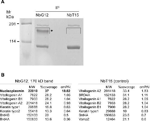
Fig 4. Identification of Npm2 as an antigen recognized by NbG12.(A) Reverse proteomics approach to identify the antigen recognized by NbG12. Lysates from 50 gastrula embryos were precipitated with 7 μg of NbG12 or NbT15 and 25 μl of Ni ion resin and separated by SDS-PAGE. After Simply Blue staining, 170 kDa protein band that was precipitated with NbG12 and the corresponding gel area from NbT15 pulldown were excised for LC-MS/MS analysis. (B) Top hits from the LC-MS/MS analysis of the 170 kDa band. Npm2 is detected with high abundance in NbG12 but not in NbT15 pulldowns.
Fig 5. Isolation of Ndel1-specific nanobodies.(A) amino acid sequence alignment of six nanobodies. Orange boxes indicate the two conserved cysteine residues, and blue boxes indicate the three complementarity-determining regions (CDRs). (B) wells coated with purified Ndel1-MBP protein (1 μg/ml) are positive in ELISA after probing with several Ndel1-specific nanobodies but not with negative controls (no Nb Co or NbN39). Control BSA coating confirms specificity. (C) immunoblotting of Xenopus Ndel1. Lysates from xNdel1-transfected or control (-) HEK293T cells were separated by SDS-PAGE and visualized with 2 μg/ml of purified AP-NbE7 and AP substrate. Purified Ndel1-MBP, but not LIS1-MBP is detected with NbE7. ERK1/2 antibody controls loading. (D, E) Ndel1 is precipitated by NbE9 from transfected cell lysates (D) and injected Xenopus embryos (E). (D) HEK293T cells were transfected with Xenopus Ndel1 plasmid as indicated. Cells were lysed after 24â48 h culture. Pulldowns were carried out with 2 μg of 6His-AP-NbE9 (asterisk) and 20 μl of Ni-agarose beads. (E) four-cell embryos were injected with 100 pg of xNdel1 DNA. The injected embryos were lysed at stage 38 and the pulldown was performed as in D. Arrows in D, E, indicate the 39 kD band corresponding to xNdel1. AP-NbE9 and AP substrate were used in immunoblotting for signal detection (D, E).
Asashima,
Mesodermal induction in early amphibian embryos by activin A (erythroid differentiation factor).
1990, Pubmed,
Xenbase
Asashima,
Mesodermal induction in early amphibian embryos by activin A (erythroid differentiation factor).
1990,
Pubmed
,
Xenbase
Bradshaw,
NDE1 and NDEL1 from genes to (mal)functions: parallel but distinct roles impacting on neurodevelopmental disorders and psychiatric illness.
2017,
Pubmed
Dollar,
Regulation of Lethal giant larvae by Dishevelled.
2005,
Pubmed
,
Xenbase
Dutta,
The crystal structure of nucleoplasmin-core: implications for histone binding and nucleosome assembly.
2001,
Pubmed
Finn,
Vertebrate nucleoplasmin and NASP: egg histone storage proteins with multiple chaperone activities.
2012,
Pubmed
Goldman,
Facile generation of heat-stable antiviral and antitoxin single domain antibodies from a semisynthetic llama library.
2006,
Pubmed
Griffiths,
Human anti-self antibodies with high specificity from phage display libraries.
1993,
Pubmed
GURDON,
The developmental capacity of nuclei taken from intestinal epithelium cells of feeding tadpoles.
1962,
Pubmed
,
Xenbase
Hamers-Casterman,
Naturally occurring antibodies devoid of light chains.
1993,
Pubmed
Itoh,
Expression cloning of camelid nanobodies specific for Xenopus embryonic antigens.
2014,
Pubmed
,
Xenbase
Itoh,
Interaction of dishevelled and Xenopus axin-related protein is required for wnt signal transduction.
2000,
Pubmed
,
Xenbase
Kirchhofer,
Modulation of protein properties in living cells using nanobodies.
2010,
Pubmed
Ladenson,
Isolation and characterization of a thermally stable recombinant anti-caffeine heavy-chain antibody fragment.
2006,
Pubmed
Lam,
Functional interplay between LIS1, NDE1 and NDEL1 in dynein-dependent organelle positioning.
2010,
Pubmed
Lamb,
Neural induction by the secreted polypeptide noggin.
1993,
Pubmed
,
Xenbase
Laskey,
Nucleosomes are assembled by an acidic protein which binds histones and transfers them to DNA.
1978,
Pubmed
,
Xenbase
Lauwereys,
Potent enzyme inhibitors derived from dromedary heavy-chain antibodies.
1998,
Pubmed
Masui,
Cytoplasmic control of nuclear behavior during meiotic maturation of frog oocytes.
1971,
Pubmed
Muyldermans,
Nanobodies: natural single-domain antibodies.
2013,
Pubmed
Muyldermans,
Camelid immunoglobulins and nanobody technology.
2009,
Pubmed
Newport,
A major developmental transition in early Xenopus embryos: I. characterization and timing of cellular changes at the midblastula stage.
1982,
Pubmed
,
Xenbase
Ossipova,
PAR-1 phosphorylates Mind bomb to promote vertebrate neurogenesis.
2009,
Pubmed
,
Xenbase
Ossipova,
Role of Rab11 in planar cell polarity and apical constriction during vertebrate neural tube closure.
2014,
Pubmed
,
Xenbase
Pardon,
A general protocol for the generation of Nanobodies for structural biology.
2014,
Pubmed
Peng,
Xenopus laevis: Practical uses in cell and molecular biology. Solutions and protocols.
1991,
Pubmed
,
Xenbase
Philpott,
Nuclear chaperones.
2000,
Pubmed
Rothbauer,
Targeting and tracing antigens in live cells with fluorescent nanobodies.
2006,
Pubmed
Ryckaert,
Isolation of antigen-binding camelid heavy chain antibody fragments (nanobodies) from an immune library displayed on the surface of Pichia pastoris.
2010,
Pubmed
Sherwood,
Rapid assembly of sensitive antigen-capture assays for Marburg virus, using in vitro selection of llama single-domain antibodies, at biosafety level 4.
2007,
Pubmed
Sherwood,
Hapten mediated display and pairing of recombinant antibodies accelerates assay assembly for biothreat countermeasures.
2012,
Pubmed
Slack,
Mesoderm induction in early Xenopus embryos by heparin-binding growth factors.
,
Pubmed
,
Xenbase
Smith,
Identification of a potent Xenopus mesoderm-inducing factor as a homologue of activin A.
1990,
Pubmed
,
Xenbase
Sokol,
A mouse macrophage factor induces head structures and organizes a body axis in Xenopus.
1990,
Pubmed
,
Xenbase
van der Linden,
Comparison of physical chemical properties of llama VHH antibody fragments and mouse monoclonal antibodies.
1999,
Pubmed
Weeks,
A maternal mRNA localized to the vegetal hemisphere in Xenopus eggs codes for a growth factor related to TGF-beta.
1987,
Pubmed
,
Xenbase
Wynshaw-Boris,
Lissencephaly and LIS1: insights into the molecular mechanisms of neuronal migration and development.
2007,
Pubmed