Click here to close
Hello! We notice that you are using Internet Explorer, which is not supported by Xenbase and may cause the site to display incorrectly.
We suggest using a current version of Chrome,
FireFox, or Safari.
Br J Cancer
2019 Apr 01;1209:931-940. doi: 10.1038/s41416-019-0448-z.
Show Gene links
Show Anatomy links
ECT2 associated to PRICKLE1 are poor-prognosis markers in triple-negative breast cancer.
Daulat AM
,
Finetti P
,
Revinski D
,
Silveira Wagner M
,
Camoin L
,
Audebert S
,
Birnbaum D
,
Kodjabachian L
,
Borg JP
,
Bertucci F
.
???displayArticle.abstract???
BACKGROUND: Triple-negative breast cancers (TNBC) are poor-prognosis tumours candidate to chemotherapy as only systemic treatment. We previously found that PRICKLE1, a prometastatic protein involved in planar cell polarity, is upregulated in TNBC. We investigated the protein complex associated with PRICKLE1 in TNBC to identify proteins possibly involved in metastatic dissemination, which might provide new prognostic and/or therapeutic targets.
METHODS: We used a proteomic approach to identify protein complexes associated with PRICKLE1. The mRNA expression levels of the corresponding genes were assessed in 8982 patients with invasive primary breast cancer. We then characterised the molecular interaction between PRICKLE1 and the guanine nucleotide exchange factor ECT2. Finally, experiments in Xenopus were carried out to determine their evolutionarily conserved interaction.
RESULTS: Among the PRICKLE1 proteins network, we identified several small G-protein regulators. Combined analysis of the expression of PRICKLE1 and small G-protein regulators had a strong prognostic value in TNBC. Notably, the combined expression of ECT2 and PRICKLE1 provided a worst prognosis than PRICKLE1 expression alone in TNBC. PRICKLE1 regulated ECT2 activity and this interaction was evolutionary conserved.
CONCLUSIONS: This work supports the idea that an evolutionarily conserved signalling pathway required for embryogenesis and activated in cancer may represent a suitable therapeutic target.
Fig. 1. Mass spectrometry analysis of the PRICKLE1 protein complex from a TNBC cell line. a Schematic representation of the proteins associated to PRICKLE1 identified by mass spectrometry analysis from MDA-MB-231 cell extracts. Proteins have been classified following their function in several groups: Small G-proteins regulators, cytoskeleton-associated, kinases, membrane proteins, proteins involved in ubiquitination, scaffold proteins, and others. b Volcano plot showing the significance two-sample t-test (âLog p value) vs. fold-change (Log2 (GFP-PRICKLE1 vs. GFP as control)) on the y and x axes, respectively. The full line is indicative of protein hits obtained at a permutation false discovery rate of 1% (pFDR). Data results from two different experiments processed three times. PRICKLE1 (the bait) is represented in red and ECT2, one of the most abundant PRICKLE1-associated partners, is represented in green
Fig. 2. Prognostic value of PRICKLE1-interacting small G-protein regulators in TNBC and cooperation between PRICKLE1 and ECT2 as poor-prognosis markers. a Boxplot of GEF/GAP regulators expression across breast cancers. b Boxplot of GEF/GAP regulators expression across triple negative (TN) vs. HR+/HER2â or HER2+ breast cancers. c KaplanâMeier curves of metastasis-free survival among breast cancers patients according to overexpression (up) vs. underexpression (down) of GEF/GAP metagene mRNA. d KaplanâMeier curves of metastasis-free survival among non-TNBC patients for GEF/GAP metagene mRNA expression. KaplanâMeier curves of metastasis-free survival among TNBC patients for e GEF/GAP metagene mRNA expression, f
PRICKLE1 mRNA expression, g
PRICKLE1 mRNA and GEF/GAP metagene expression, h
ECT2 mRNA expression, and i
PRICKLE1 and ECT2 mRNA expression
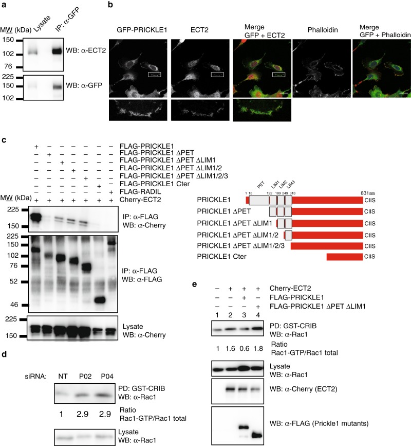
Fig. 3. PRICKLE1 is associated to the Rho-GEF ECT2 and controls its activity. a Immunopurification of GFP-PRICKLE1 from MDA-MB-231 cell lysate using GFP nanobodies coupled to sepharose beads allows the identification of ECT2 associated to PRICKLE1. b Immunofluorescence of MDA-MB-231 cells stably expressing GFP-PRICKLE1 shows that ECT2 (endogenous) is colocalised with PRICKLE1 and enriched in actin structures within the lamellipodia. c Mapping of the PRICKLE1 domain needed for interaction with ECT2. HEK293T cells were co-transfected with the indicated forms of PRICKLE1 (see on the left for topology details) and mCherry-ECT2. After FLAG immunopurification, presence of ECT2 is detected using anti-mCherry antibody. d Downregulation of PRICKLE1 expression using siRNA targeting PRICKLE1 shows an increase of Rac activity in MDA-MB-231 cells. e PRICKLE1 modulates ECT2 activity. Using HEK293T cells, we expressed or co-expressed ECT2 with full length or a deleted version of PRICKLE1 lacking its domain of interaction with ECT2. Overexpression of ECT2 leads to an increase in Rac activity which was inhibited when PRICKLE1 is co-expressed. Co-expression of a mutant form of PRICKLE1 did not modify the gain of function observed by ECT2 overexpression
Fig. 4. Prickle1 and Ect2 functionally interact in Xenopus during embryonic development. In situ hybridisation against ect2 transcripts at stage 8, 9, and 10. ect2 RNA is detectable in the animal pole (animal view and lateral view) but not in the vegetal pole (vegetal view) at stages 8 and 9, but no longer at stage 10. Schematic representations of embryos at the stages analysed are shown on the right. b Embryos at two-cell stage were injected into two blastomeres with Prickle1 and Ect2 MOs as indicated. In all cases 0.5âng of mRFP mRNA was injected as control and tracer. Suboptimal doses (10âng) of either MO did not cause CE problems. However, when both Prickle1 and Ect2 MOs were co-injected at suboptimal doses (5âng each), embryos displayed CE problems at a rate comparable to high doses of each MO injected separately (40âng Prickle1-MO or 20âng Ect2-MO). A total of 60 embryos per condition was analysed in two independent experiments. Pictures illustrate representative phenotypes. SR survival rate, ND percentage of surviving embryos developing normally, CED, percentage of surviving embryos showing convergent-extension defects. Scale bars: aâ=â0.25âmm; bâ=â0.5âmm
Abreu-Blanco,
Coordination of Rho family GTPase activities to orchestrate cytoskeleton responses during cell wound repair.
2014, Pubmed
Abreu-Blanco,
Coordination of Rho family GTPase activities to orchestrate cytoskeleton responses during cell wound repair.
2014,
Pubmed
Basant,
Spatiotemporal Regulation of RhoA during Cytokinesis.
2018,
Pubmed
Bertucci,
EndoPredict predicts for the response to neoadjuvant chemotherapy in ER-positive, HER2-negative breast cancer.
2014,
Pubmed
Butler,
Planar cell polarity in development and disease.
2017,
Pubmed
Chiapparo,
Mesp1 controls the speed, polarity, and directionality of cardiovascular progenitor migration.
2016,
Pubmed
Ciruna,
Planar cell polarity signalling couples cell division and morphogenesis during neurulation.
2006,
Pubmed
Cook,
Rho guanine nucleotide exchange factors: regulators of Rho GTPase activity in development and disease.
2014,
Pubmed
Daulat,
Mink1 regulates β-catenin-independent Wnt signaling via Prickle phosphorylation.
2012,
Pubmed
,
Xenbase
Daulat,
PRICKLE1 Contributes to Cancer Cell Dissemination through Its Interaction with mTORC2.
2016,
Pubmed
Dingwell,
Tes regulates neural crest migration and axial elongation in Xenopus.
2006,
Pubmed
,
Xenbase
Franco,
Functional association of retinoic acid and hedgehog signaling in Xenopus primary neurogenesis.
1999,
Pubmed
,
Xenbase
Gubb,
A genetic analysis of the determination of cuticular polarity during development in Drosophila melanogaster.
1982,
Pubmed
Huff,
The Role of Ect2 Nuclear RhoGEF Activity in Ovarian Cancer Cell Transformation.
2013,
Pubmed
Jenny,
Prickle and Strabismus form a functional complex to generate a correct axis during planar cell polarity signaling.
2003,
Pubmed
,
Xenbase
Justilien,
Ect2 links the PKCiota-Par6alpha complex to Rac1 activation and cellular transformation.
2009,
Pubmed
Justilien,
Oncogenic activity of Ect2 is regulated through protein kinase C iota-mediated phosphorylation.
2011,
Pubmed
Justilien,
Ect2-Dependent rRNA Synthesis Is Required for KRAS-TRP53-Driven Lung Adenocarcinoma.
2017,
Pubmed
Lehmann,
Identification of human triple-negative breast cancer subtypes and preclinical models for selection of targeted therapies.
2011,
Pubmed
Lim,
Prickle1 promotes focal adhesion disassembly in cooperation with the CLASP-LL5β complex in migrating cells.
2016,
Pubmed
Luga,
Exosomes mediate stromal mobilization of autocrine Wnt-PCP signaling in breast cancer cell migration.
2012,
Pubmed
Machacek,
Coordination of Rho GTPase activities during cell protrusion.
2009,
Pubmed
Marchal,
BMP inhibition initiates neural induction via FGF signaling and Zic genes.
2009,
Pubmed
,
Xenbase
McShane,
REporting recommendations for tumour MARKer prognostic studies (REMARK).
2005,
Pubmed
Murtaza,
La FAM fatale: USP9X in development and disease.
2015,
Pubmed
Narimatsu,
Regulation of planar cell polarity by Smurf ubiquitin ligases.
2009,
Pubmed
Paemka,
Seizures are regulated by ubiquitin-specific peptidase 9 X-linked (USP9X), a de-ubiquitinase.
2015,
Pubmed
Peshkin,
On the Relationship of Protein and mRNA Dynamics in Vertebrate Embryonic Development.
2015,
Pubmed
,
Xenbase
Sabatier,
Down-regulation of ECRG4, a candidate tumor suppressor gene, in human breast cancer.
2011,
Pubmed
Session,
Genome evolution in the allotetraploid frog Xenopus laevis.
2016,
Pubmed
,
Xenbase
Sokol,
Spatial and temporal aspects of Wnt signaling and planar cell polarity during vertebrate embryonic development.
2015,
Pubmed
,
Xenbase
Sweede,
Structural and membrane binding properties of the prickle PET domain.
2008,
Pubmed
Takeuchi,
The prickle-related gene in vertebrates is essential for gastrulation cell movements.
2003,
Pubmed
,
Xenbase
Tong,
Recent Advances in the Treatment of Breast Cancer.
2018,
Pubmed
Veeman,
Zebrafish prickle, a modulator of noncanonical Wnt/Fz signaling, regulates gastrulation movements.
2003,
Pubmed
Vizcaíno,
ProteomeXchange provides globally coordinated proteomics data submission and dissemination.
2014,
Pubmed
Wallingford,
Convergent extension: the molecular control of polarized cell movement during embryonic development.
2002,
Pubmed
,
Xenbase
Wallingford,
Cloning and expression of Xenopus Prickle, an orthologue of a Drosophila planar cell polarity gene.
2002,
Pubmed
,
Xenbase
Wang,
Expression and prognostic significance of ECT2 in invasive breast cancer.
2018,
Pubmed
Yin,
Cooperation of polarized cell intercalations drives convergence and extension of presomitic mesoderm during zebrafish gastrulation.
2008,
Pubmed
Zhang,
A lateral signalling pathway coordinates shape volatility during cell migration.
2016,
Pubmed
Zhou,
High ECT2 expression is an independent prognostic factor for poor overall survival and recurrence-free survival in non-small cell lung adenocarcinoma.
2017,
Pubmed