Click here to close
Hello! We notice that you are using Internet Explorer, which is not supported by Xenbase and may cause the site to display incorrectly.
We suggest using a current version of Chrome,
FireFox, or Safari.
???displayArticle.abstract???
Besides TopBP1, ETAA1 has been identified more recently as an activator of the ATR-ATRIP complex in human cells. We have examined the role of ETAA1 in the Xenopus egg-extract system, which has been instrumental in the study of ATR-ATRIP. Depletion of ETAA1 from egg extracts did not noticeably reduce the activation of ATR-ATRIP in response to replication stress, as monitored by the ATR-dependent phosphorylation of Chk1 and RPA. Moreover, lack of ETAA1 did not appear to affect DNA replication during an unperturbed S-phase. Significantly, we find that TopBP1 is considerably more abundant than ETAA1 in egg extracts. We proceeded to show that ETAA1 could support the activation of ATR-ATRIP in response to replication stress if we increased its concentration in egg extracts by adding extra full-length recombinant ETAA1. Thus, TopBP1 appears to be the predominant activator of ATR-ATRIP in response to replication stress in this system. We have also explored the biochemical mechanism by which ETAA1 activates ATR-ATRIP. We have developed an in vitro system in which full-length recombinant ETAA1 supports activation of ATR-ATRIP in the presence of defined components. We find that binding of ETAA1 to RPA associated with single-stranded DNA (ssDNA) greatly stimulates its ability to activate ATR-ATRIP. Thus, RPA-coated ssDNA serves as a direct positive effector in the ETAA1-mediated activation of ATR-ATRIP.
Figure 1. Characterization of ETAA1 in Xenopus egg extracts. (a) Interphase egg extracts were immunoblotted with antibodies against Xenopus ETAA1 (lane 1). Recombinant, baculovirus-expressed HFS-ETAA1 protein (lane 2) was electrophoresed on the same gel and immunoblotted with anti-ETAA1 antibodies. (b) Concentration of ETAA1 in egg extracts. The indicated amounts (ng) of antigen used for the production of anti-ETAA1 antibodies (His10-tagged version of residues 374–820) were mixed with egg extracts. Mixtures were subjected to gel electrophoresis and immunoblotted with anti-ETAA1 antibodies. Amounts of egg extract correspond to: 1 μl (lanes 1–4); 0.5 μl (lane 5); and 0.2 μl (lane 6). (c) Interphase egg extracts were incubated without (lane 1) or with sperm chromatin (lanes 2–9) in the absence (lanes 1–5) or presence of APH (lanes 6–9). Chromatin fractions were isolated from the extracts at the indicated times and immunoblotted for ETAA1, RPA70, and Orc2 (loading control). Lane 10 depicts the initial egg extract.
Figure 2. Effect of depletion of ETAA1 on APH-induced phosphorylation of Chk1 and RPA in egg extracts. (a) Egg extracts (lane 1) were mock depleted with control antibodies (lane 2) or immunodepleted with anti-Xenopus ETAA1 antibodies (lane 3) and immunoblotted for ETAA1 and TopBP1, as indicated. (b) Untreated (lanes 1–2), mock-depleted (lanes 3–4), and ETAA1-depleted egg extracts (lanes 5–6) were incubated for 90 min in the absence (lanes 1, 3, and 5) or presence (lanes 2, 4, and 6) of 150 μM APH. Nuclear fractions from the extracts were prepared and immunoblotted with anti-phospho-Chk1 (p-Chk1), anti-Chk1, anti-phospho-RPA32 (p-RPA32), and anti-RPA32 antibodies. Lane 7 depicts the initial egg extract. (c) Mock-depleted (lanes 1–4) and ETAA1-depleted egg extracts (lanes 5–8) were incubated for 90 min or 180 min in the absence (lanes 1, 2, 5, and 6) or presence (lanes 3, 4, 7, and 8) of 150 μM APH. Nuclear fractions were prepared and immunoblotted with anti-ETAA1 antibodies. Note that the space between lanes 5 and 6 is a blank lane. Lane 9 depicts the initial egg extract. (d) Untreated (lanes 1–3), mock-depleted (lanes 4–6), and ETAA1-depleted egg extracts (lanes 7–9) were incubated for 90 min in the absence of APH (lanes 1, 4, and 7) or the presence of either 15 μM (lanes 2, 5, and 8) or 150 μM APH (lanes 3, 6, and 9). Nuclear fractions from the extracts were prepared and immunoblotted with the indicated antibodies. Lane 10 depicts the initial egg extract.
Figure 3. Role of ETAA1 in DNA replication and related processes. (a) Mock-depleted (lanes 1–3) and ETAA1-depleted egg extracts (lanes 4–6) containing APH were incubated in the absence of sperm chromatin for 45 min (lanes 1 and 4) or the presence of sperm chromatin (lanes 2–3 and 5–6) for the indicated times. Incubations were processed for the preparation of chromatin fractions and the resulting samples were immunoblotted for Mcm2, Cdc45, and Orc2. Lane 7 depicts an aliquot of the initial egg extract. (b) Mock-depleted and ETAA1-depleted egg extracts were assayed for chromosomal DNA replication with 32P-labeled dATP at the indicated times as indicated. An agarose gel containing radiolabeled replication products (top) and corresponding quantitation (bottom) are depicted. Values are normalized to the amount of DNA replication at 90 min in mock-depleted extracts. Representative of three experiments. (c) Mock-depleted (lanes 1–5) and ETAA1-depleted egg extracts (lanes 6–10) were incubated in the absence (lanes 1 and 6) or presence of sperm chromatin (lanes 2–5 and 7–10). In addition, extracts either lacked (lanes 2, 4, 7, and 9) or contained APH (lanes 1, 3, 5, 6, 8, and 10). After incubation for the indicated times, extracts were processed for the preparation of chromatin fractions and the resulting samples were immunoblotted for BLM, TopBP1, Mre11, RPA70, and Orc2. Lane 11 depicts an aliquot of the initial egg extract. Note that the space between lanes 7 and 8 is a blank lane.
Figure 4. ETAA1 can substitute for TopBP1 when present at a sufficiently high concentration. (a) Egg extracts (lane 1) were mock-depleted with control antibodies (lane 2) or immunodepleted with anti-TopBP1 antibodies (lane 3) and immunoblotted with anti-TopBP1 (top) or anti-ETAA1 antibodies (bottom). (b) Mock-depleted (lanes 1 and 2) and TopBP1-depleted extracts (lanes 3–5) were incubated in the absence (lane 1) or presence of APH (lane 3–5). In addition, some extracts were supplemented with recombinant BRCT I-III domain of TopBP1 (lanes 4 and 5) and recombinant HFS-ETAA1 protein (lane 5). Nuclear fractions from the extracts were immunoblotted with the indicated antibodies. (c) Mock-depleted extracts (lanes 1–4) were incubated in the absence (lanes 1 and 3) or presence of APH (lanes 2 and 4). Some extracts were supplemented with recombinant HFS-ETAA1 protein (lanes 3 and 4). Nuclear fractions from the extracts were immunoblotted with the indicated antibodies.
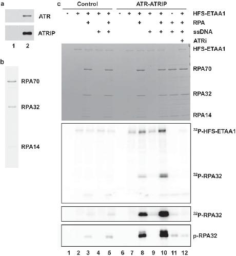
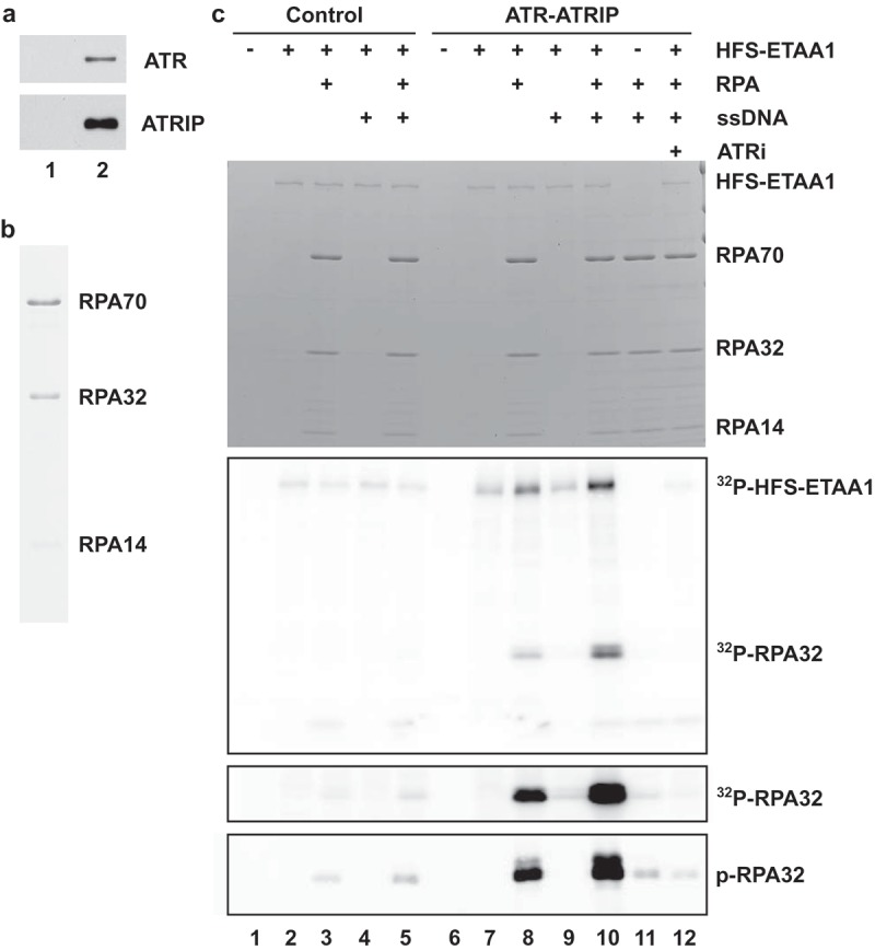
Figure 5. Full-length ETAA1 activates ATR-ATRIP in a defined biochemical system. (a) Isolation of ATR-ATRIP complexes. Control buffer (lane 1) and full-length ATRIP-FLAG (lane 2) were added to egg extracts containing anti-FLAG M2 antibody beads. After incubation, the beads were reisolated, washed, and incubated with 3X-FLAG peptide. The eluates were immunoblotted with anti-ATR (top) and anti-FLAG antibodies (bottom). (b) Purification of RPA. Recombinant human RPA was purified as described in Materials and Methods and stained with Coomassie blue. (c) Control eluates (lanes 1–5) and eluates containing ATR-ATRIP complex (lanes 6–12) from panel A were incubated in kinase buffer containing γ-[32P]ATP in the absence (lanes 1, 6, and 11) or presence HFS-ETAA1 protein (lanes 2–5, 7–10, and 12). Some incubations also contained RPA (lanes 3, 5, 8, and 10–12), ssDNA (lanes 4–5, and 9–12), and 50 μM ATRi (lane 12). Reactions were subjected to SDS gel electrophoresis. The gel was stained with Coomassie blue (top panel). Incorporation of 32P into proteins was detected by phosphorimaging (second panel from top). For the third panel from the top, we have depicted a longer exposure of the section of the gel containing 32P-labeled RPA32. For the bottom panel, we electrophoresed aliquots of the same samples in a different gel and performed immunoblotting with anti-phospho-RPA32 antibodies.
Figure 6. ETAA1-dependent phosphorylation of RPA requires an intact AAD. (a) Alignment of AADs around the critical tryptophan residues in ETAA1 and TopBP1 from Xenopus laevis and humans. The conserved tryptophan (W63) in Xenopus ETAA1 is denoted with an asterisk. (b) Wild-type (WT) and mutant W63R HFS-ETAA1 proteins were purified with anti-FLAG antibodies as described in Materials and Methods and stained with Coomassie blue. (c) Control eluates (lanes 1–5) and eluates containing ATR-ATRIP complexes (lanes 6–12) were incubated in kinase buffer containing γ-[32P]ATP in the absence of recombinant HFS-ETAA1 (lanes 1 and 6) or the presence of either WT (lanes 2–3 and 7–9) or W63R HFS-ETAA1 protein (lanes 4–5 and10-12). Some incubations also contained RPA (lanes 3, 5, 8–9, and 11–12) and ssDNA (lanes 3, 5, 9, and 12). Reactions were subjected to SDS gel electrophoresis. The gel was stained with Coomassie blue (top panel). Incorporation of 32P into proteins was detected by phosphorimaging (bottom panel). The portion of the image containing 32P-RPA32 is depicted.
Figure 7. RPA-ssDNA can still promote activation of a mutant ATR-ATRIP complex that lacks the RPA-binding domain in ATRIP. (a) Control eluates (lanes 1–2) and eluates containing ATR in a complex with either full-length ATRIP (lanes 3–6) or ΔN222 ATRIP (lanes 7–10) were incubated in kinase buffer containing γ-[32P]ATP in the absence (lanes 1, 3, and 7) or presence HFS-ETAA1 protein (lanes 2, 4–6, and 8–10). Some incubations also contained RPA (lanes 5–6 and 9–10) and ssDNA (lanes 6 and 10). Reactions were subjected to SDS gel electrophoresis. The gel was stained with Coomassie blue (top panel). Incorporation of 32P into proteins was detected by phosphorimaging (middle panel). The portion of the image containing 32P-RPA32 is depicted. For the bottom panel, we electrophoresed aliquots of the same samples in a different gel and performed immunoblotting with anti-phospho-RPA32 antibodies. (b) ATR-ATRIP complexes. Full-length (lane 1) and ΔN222 versions of ATRIP-FLAG (lane 2) were added to egg extracts containing anti-FLAG M2 antibody beads. After incubation, the beads were reisolated, washed, and eluted with 3X-FLAG peptide. The eluates were immunoblotted with anti-ATR (top) and anti-ATRIP antibodies (bottom).
Ball,
Function of a conserved checkpoint recruitment domain in ATRIP proteins.
2007, Pubmed
Ball,
Function of a conserved checkpoint recruitment domain in ATRIP proteins.
2007,
Pubmed
Ball,
ATRIP binding to replication protein A-single-stranded DNA promotes ATR-ATRIP localization but is dispensable for Chk1 phosphorylation.
2005,
Pubmed
Bass,
Quantitative phosphoproteomics reveals mitotic function of the ATR activator ETAA1.
2019,
Pubmed
Bass,
ETAA1 acts at stalled replication forks to maintain genome integrity.
2016,
Pubmed
Blackford,
ATM, ATR, and DNA-PK: The Trinity at the Heart of the DNA Damage Response.
2017,
Pubmed
Byrne,
Replication protein A, the laxative that keeps DNA regular: The importance of RPA phosphorylation in maintaining genome stability.
2019,
Pubmed
Carpenter,
Role for a Xenopus Orc2-related protein in controlling DNA replication.
1996,
Pubmed
,
Xenbase
Chen,
Replication protein A: single-stranded DNA's first responder: dynamic DNA-interactions allow replication protein A to direct single-strand DNA intermediates into different pathways for synthesis or repair.
2014,
Pubmed
Choi,
Reconstitution of RPA-covered single-stranded DNA-activated ATR-Chk1 signaling.
2010,
Pubmed
Cortez,
ATR and ATRIP: partners in checkpoint signaling.
2001,
Pubmed
Dasso,
Completion of DNA replication is monitored by a feedback system that controls the initiation of mitosis in vitro: studies in Xenopus.
1990,
Pubmed
,
Xenbase
Delacroix,
The Rad9-Hus1-Rad1 (9-1-1) clamp activates checkpoint signaling via TopBP1.
2007,
Pubmed
Duursma,
A role for the MRN complex in ATR activation via TOPBP1 recruitment.
2013,
Pubmed
,
Xenbase
Feng,
Ewing Tumor-associated Antigen 1 Interacts with Replication Protein A to Promote Restart of Stalled Replication Forks.
2016,
Pubmed
Guo,
Requirement for Atr in phosphorylation of Chk1 and cell cycle regulation in response to DNA replication blocks and UV-damaged DNA in Xenopus egg extracts.
2000,
Pubmed
,
Xenbase
Haahr,
Activation of the ATR kinase by the RPA-binding protein ETAA1.
2016,
Pubmed
Hashimoto,
The phosphorylated C-terminal domain of Xenopus Cut5 directly mediates ATR-dependent activation of Chk1.
2006,
Pubmed
,
Xenbase
Hashimoto,
Xenopus Cut5 is essential for a CDK-dependent process in the initiation of DNA replication.
2003,
Pubmed
,
Xenbase
Hekmat-Nejad,
Xenopus ATR is a replication-dependent chromatin-binding protein required for the DNA replication checkpoint.
,
Pubmed
,
Xenbase
Henricksen,
Recombinant replication protein A: expression, complex formation, and functional characterization.
1994,
Pubmed
Hoogenboom,
Xenopus egg extract: A powerful tool to study genome maintenance mechanisms.
2017,
Pubmed
,
Xenbase
Hu,
The N-end rule pathway is a sensor of heme.
2008,
Pubmed
Kim,
Phosphorylation of Chk1 by ATM- and Rad3-related (ATR) in Xenopus egg extracts requires binding of ATRIP to ATR but not the stable DNA-binding or coiled-coil domains of ATRIP.
2005,
Pubmed
,
Xenbase
Kumagai,
The Xenopus Chk1 protein kinase mediates a caffeine-sensitive pathway of checkpoint control in cell-free extracts.
1998,
Pubmed
,
Xenbase
Kumagai,
How cells activate ATR.
2006,
Pubmed
Kumagai,
Treslin collaborates with TopBP1 in triggering the initiation of DNA replication.
2010,
Pubmed
,
Xenbase
Kumagai,
TopBP1 activates the ATR-ATRIP complex.
2006,
Pubmed
,
Xenbase
Kumar,
Lagging strand maturation factor Dna2 is a component of the replication checkpoint initiation machinery.
2013,
Pubmed
Lee,
The Rad9-Hus1-Rad1 checkpoint clamp regulates interaction of TopBP1 with ATR.
2007,
Pubmed
,
Xenbase
Lee,
RPA-Binding Protein ETAA1 Is an ATR Activator Involved in DNA Replication Stress Response.
2016,
Pubmed
Lee,
Claspin, a Chk1-regulatory protein, monitors DNA replication on chromatin independently of RPA, ATR, and Rad17.
2003,
Pubmed
,
Xenbase
Lee,
The Mre11-Rad50-Nbs1 (MRN) complex has a specific role in the activation of Chk1 in response to stalled replication forks.
2013,
Pubmed
,
Xenbase
Li,
Absence of BLM leads to accumulation of chromosomal DNA breaks during both unperturbed and disrupted S phases.
2004,
Pubmed
,
Xenbase
Luciani,
Characterization of a novel ATR-dependent, Chk1-independent, intra-S-phase checkpoint that suppresses initiation of replication in Xenopus.
2004,
Pubmed
,
Xenbase
Majka,
The checkpoint clamp activates Mec1 kinase during initiation of the DNA damage checkpoint.
2006,
Pubmed
Maréchal,
RPA-coated single-stranded DNA as a platform for post-translational modifications in the DNA damage response.
2015,
Pubmed
Marheineke,
Control of replication origin density and firing time in Xenopus egg extracts: role of a caffeine-sensitive, ATR-dependent checkpoint.
2004,
Pubmed
,
Xenbase
Mimura,
Xenopus Cdc45-dependent loading of DNA polymerase alpha onto chromatin under the control of S-phase Cdk.
1998,
Pubmed
,
Xenbase
Mimura,
Central role for cdc45 in establishing an initiation complex of DNA replication in Xenopus egg extracts.
2000,
Pubmed
,
Xenbase
Minshull,
A MAP kinase-dependent spindle assembly checkpoint in Xenopus egg extracts.
1994,
Pubmed
,
Xenbase
Mordes,
TopBP1 activates ATR through ATRIP and a PIKK regulatory domain.
2008,
Pubmed
Navadgi-Patil,
Yeast DNA replication protein Dpb11 activates the Mec1/ATR checkpoint kinase.
2008,
Pubmed
Newport,
A major developmental transition in early Xenopus embryos: I. characterization and timing of cellular changes at the midblastula stage.
1982,
Pubmed
,
Xenbase
Saldivar,
An intrinsic S/G2 checkpoint enforced by ATR.
2018,
Pubmed
Saldivar,
The essential kinase ATR: ensuring faithful duplication of a challenging genome.
2017,
Pubmed
Shechter,
ATR and ATM regulate the timing of DNA replication origin firing.
2004,
Pubmed
,
Xenbase
Toledo,
A cell-based screen identifies ATR inhibitors with synthetic lethal properties for cancer-associated mutations.
2011,
Pubmed
Van Hatten,
The Xenopus Xmus101 protein is required for the recruitment of Cdc45 to origins of DNA replication.
2002,
Pubmed
,
Xenbase
Walter,
Initiation of eukaryotic DNA replication: origin unwinding and sequential chromatin association of Cdc45, RPA, and DNA polymerase alpha.
2000,
Pubmed
,
Xenbase
Wold,
Replication protein A: a heterotrimeric, single-stranded DNA-binding protein required for eukaryotic DNA metabolism.
1997,
Pubmed
Wühr,
Deep proteomics of the Xenopus laevis egg using an mRNA-derived reference database.
2014,
Pubmed
,
Xenbase
Yan,
Direct requirement for Xmus101 in ATR-mediated phosphorylation of Claspin bound Chk1 during checkpoint signaling.
2006,
Pubmed
,
Xenbase
Yanow,
Xenopus Drf1, a regulator of Cdc7, displays checkpoint-dependent accumulation on chromatin during an S-phase arrest.
2003,
Pubmed
,
Xenbase
You,
The role of single-stranded DNA and polymerase alpha in establishing the ATR, Hus1 DNA replication checkpoint.
2002,
Pubmed
,
Xenbase
Zou,
Sensing DNA damage through ATRIP recognition of RPA-ssDNA complexes.
2003,
Pubmed