Click here to close
Hello! We notice that you are using Internet Explorer, which is not supported by Xenbase and may cause the site to display incorrectly.
We suggest using a current version of Chrome,
FireFox, or Safari.
PLoS One
2019 Jan 01;144:e0209056. doi: 10.1371/journal.pone.0209056.
Show Gene links
Show Anatomy links
The voltage sensing phosphatase (VSP) localizes to the apical membrane of kidney tubule epithelial cells.
Ratzan W
,
Rayaprolu V
,
Killian SE
,
Bradley R
,
Kohout SC
.
???displayArticle.abstract???
Voltage-sensing phosphatases (VSPs) are transmembrane proteins that couple changes in membrane potential to hydrolysis of inositol signaling lipids. VSPs catalyze the dephosphorylation of phosphatidylinositol phosphates (PIPs) that regulate diverse aspects of cell membrane physiology including cell division, growth and migration. VSPs are highly conserved among chordates, and their RNA transcripts have been detected in the adult and embryonic stages of frogs, fish, chickens, mice and humans. However, the subcellular localization and biological function of VSP remains unknown. Using reverse transcriptase-PCR (RT-PCR), we show that both Xenopus laevis VSPs (Xl-VSP1 and Xl-VSP2) mRNAs are expressed in early embryos, suggesting that both Xl-VSPs are involved in early tadpole development. To understand which embryonic tissues express Xl-VSP mRNA, we used in situ hybridization (ISH) and found Xl-VSP mRNA in both the brain and kidney of NF stage 32-36 embryos. By Western blot analysis with a VSP antibody, we show increasing levels of Xl-VSP protein in the developing embryo, and by immunohistochemistry (IHC), we demonstrate that Xl-VSP protein is specifically localized to the apical membrane of both embryonic and adult kidney tubules. We further characterized the catalytic activity of both Xl-VSP homologs and found that while Xl-VSP1 catalyzes 3- and 5-phosphate removal, Xl-VSP2 is a less efficient 3-phosphatase with different substrate specificity. Our results suggest that Xl-VSP1 and Xl-VSP2 serve different functional roles and that VSPs are an integral component of voltage-dependent PIP signaling pathways during vertebrate kidney tubule development and function.
???displayArticle.pubmedLink???
30964862
???displayArticle.pmcLink???PMC6456211 ???displayArticle.link???PLoS One ???displayArticle.grants???[+]
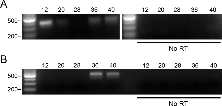
Fig 1. X. laevis embryonic stages show VSP mRNA transcripts expression.(A-B) Semi-quantitative RT-PCR (sqRT-PCR) of a panel of X. laevis embryos (NF stage 12–40) using PCR primers specific for Xl-VSP1 (A) and Xl-VSP2 (B). Both Xl-VSP1 and Xl-VSP2 transcripts appear to accumulate by stage 36. No bands were seen without reverse transcriptase (bottom). All cDNAs were made with equal amounts of total RNA as determined by spectrophotometry and confirmed by agarose gel electrophoresis to visualize ribosomal RNA bands (S1 Fig). sqRT-PCR was repeated at least two times with at least two different embryonic cohorts. The expected PCR amplicon sizes are 389 bp for Xl-VSP1 and 478 bp for Xl-VSP2. Shown are representative gels.
Fig 2. VSP mRNA is located in the pronephros and brain of X. laevis embryos.(A) In situ hybridization (ISH) of whole-mount NF stage 32 embryos. An anti-sense probe against Xl-VSPs shows Xl-VSP transcript in the proximal pronephritic field (black arrowhead) and brain (white arrowhead) of the embryos. This probe does not distinguish between Xl-VSP1 and Xl-VSP2 mRNAs because of the similarity between the two transcripts at the nucleotide level (93%). (B) No staining was observed by ISH in a sibling embryo with a sense control probe. ISH was repeated four times with four different embryonic cohorts. Shown are representative embryos.
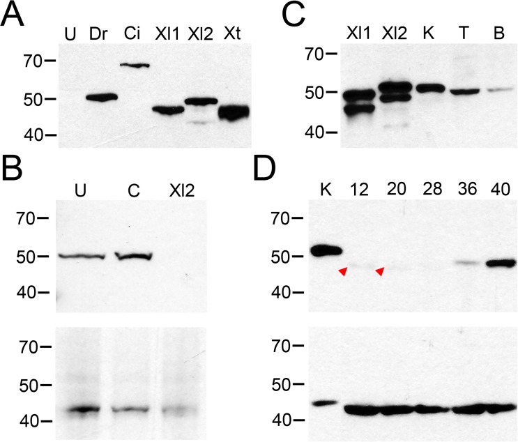
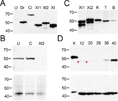
Fig 3. X. laevis tissues and embryos show VSP protein expression.(A) Western blot validation of N432/21 anti-VSP in X. laevis oocytes injected with cRNA for Dr-VSP (Dr), FLAG-Ci-VSP (Ci), Xl-VSP1 (Xl1), Xl-VSP2 (Xl2), Xt-VSP (Xt), or left un-injected (U). All VSPs tested were recognized by the antibody. Un-injected oocytes (U) display no band. Dr-VSP, Xl-VSP1, Xl-VSP2 and Xt-VSP have a predicted MW of 58 kDa while FLAG-Ci-VSP has a predicted MW of 66 kDa. The slight difference in electrophoretic mobility between VSPs and their predicted MWs and the nature of the double band for Xl-VSP1 and Xl-VSP2 (as seen in panels A and C) has not been determined. These results show that anti-VSP N432/21 is specific for VSP and cross-reacts with VSPs from multiple species. (B) X. laevis zygotes were injected with either a control morpholino, an Xl-VSP2 morpholino or left un-injected. (top) Western blot analysis of equal amounts of lysates from embryos at stage 42 shows a band at the predicted MW for Xl-VSPs (58 kDa) for un-injected and control embryos and no band for the Xl2 morpholino-injected embryos. (bottom) Blots were stripped and re-probed with anti-actin for a loading control. (C) Western blot analysis of X. laevis tissues. Lysates from adult kidney (K, 3 μg), testis (T, 30 μg), and brain (B, 10 μg) were run against lysates from oocytes injected with RNAs for Xl-VSP1 (Xl1) and Xl-VSP2 (Xl2) and analyzed by Western blot with anti-VSP. A single band of approximately the correct MW (58 kDa) was observed in the tissue lysates, indicating the presence of Xl-VSP protein in all tissues tested. (D) Western blot analysis of X. laevis embryos. Lysates from NF stage 12–40 embryos (30 μg each) were run against a lysate from adult kidney (K, 5 μg). Blots were probed either with anti-VSP (top) or anti-actin (bottom) as a loading control (predicted MW 42 kDa). A weak band (potentially corresponding to Xl-VSP1) is present only at early embryonic stages 12–20 (red arrowheads), whereas a slightly slower-migrating band (potentially corresponding to Xl-VSP2) accumulates at later embryonic stages 36–40. The difference between the kidney and embryo lysate MWs for both VSP and actin may reflect a different degree of post-translational modification in embryos versus adult X. laevis. Lysates, gels and blots were repeated three times with either three different adults or three different embryonic cohorts. Shown are representative gels for each.
Fig 4. Xl-VSP protein is expressed on the lumenal surface of embryonic pronephroi.NF stage 42 Cdh17:GFP X. laevis embryos were sectioned and stained to test for VSP protein. Kidney tubules were identified by the presence of the Cdh17:GFP transgene (B, B'). Sections stained with anti-VSP (A) showed fluorescence on the lumenal surface (corresponding to the apical membrane) of the proximal kidney tubule cells (outlined in white). Anti-VSP staining was only observed in the presence of anti-VSP (A-F) and not in secondary antibody alone control sections (A'-F'). Panels (A, A') anti-VSP or no anti-VSP control; (B, B') GFP transgene; (C, C') fluorescence signal overlay of A, B and E; (D, D') bright field images; (E, E') Hoechst 33342 (to mark nuclei); (F, F') signal overlay of A, B, D and E. IHC was repeated three times with three different embryonic cohorts. Shown are representative sections. Scale bar = 25 μm.
Fig 5. Xl-VSP protein is expressed on the lumenal surface of adult kidney tubule epithelial cells.(A) Adult kidney sections were stained with anti-VSP and anti-mouse IgG-Alexa 488. Xl-VSP staining is observed on the lumenal surface (marked with arrowheads) of the kidney tubules (two outlined in white). This surface corresponds to the apical membrane and not the basolateral membrane of the epithelial cells. (B) Apical membrane staining was not seen on a consecutive section in the absence of anti-VSP primary antibody. IHC was repeated on sections from kidneys of three different adult males. Shown are representative sections. Scale bar = 25 μm.
Fig 6. Xl-VSP1 and Xl-VSP2 function as voltage-regulated 5- and 3-phosphatases.(A) Schematics of the known VSP reactions. (B) Cartoon representation of fTAPP binding and release with increasing and decreasing PI(3,4)P2 concentrations. The binding of fTAPP to PI(3,4)P2 results in a conformational change that increases the FRET signal. Similarly, a reduction of PI(3,4)P2 results in a decrease in the FRET signal. Similar binding and release occurs with the fPLC sensor when PI(4,5)P2 concentrations are changed. (C) Oocytes were injected with fTAPP and either Xl-VSP1, Xl-VSP2 or Xl-VSP2 C301S (Xl2-CS), a catalytically inactivated protein. (left) Averaged fTAPP FRET traces over time during a voltage step from a holding potential of -100 to +160 mV. The FRET signal increases and decreases in the same pulse for Xl-VSP1 while it only increases for Xl-VSP2. (right) FRET measurements were tested at several voltages and the ΔF/F fTAPP FRET ratio was plotted versus the voltage (RV). The FRET increase (net 5-phosphatase reaction, solid line, closed symbols) was plotted by subtracting the baseline from the peak ΔF/F FRET ratio. The FRET decrease (net 3-phosphatase reaction, dashed line, open symbols) was plotted by subtracting the peak ΔF/F FRET ratio from the ΔF/F FRET ratio at the end of the voltage step. Xl-VSP1 shows robust activity as both a 3- and 5- phosphatase while Xl-VSP2 functions as a 5-phosphatase. (D) Oocytes were injected with fPLC and either Xl-VSP1, Xl-VSP2 or Xl2-CS. (left) Averaged fPLC FRET traces over time during a voltage step from a holding potential of -100 to +160 mV for fPLC co-expressed with either Xl-VSP1 or Xl-VSP2. The kinetics of activation are significantly faster for Xl-VSP1 than for Xl-VSP2. (right) The ΔF/F fPLC FRET RV shows a FRET decrease (net 5-phosphatase reaction, solid line, closed symbols) for both Xl-VSP1 and 2 indicating both dephosphorylate PI(4,5)P2. (E) Oocytes were injected with gPLC and either Xl-VSP1, Xl-VSP2 or Xl2-CS. (left) Averaged gPLC fluorescence traces over time during a voltage step from a holding potential of -100 to +160 mV for gPLC co-expressed with either Xl-VSP1 or Xl-VSP2. The kinetics of activation are significantly faster for Xl-VSP1 than for Xl-VSP2. (right) GFP fluorescence measurements were tested at several voltages and the fluorescence voltage relationship plotted showing a fluorescence increase (net 3-phosphatase reaction, dashed line, open symbols). While Xl-VSP1 shows significant levels of 3-phosphatase activity against PI(3,4,5)P3, Xl-VSP2 is a much less efficient 3-phosphatase. All error bars are ± SEM., n ≥ 9. Data fit with single Boltzmann equations. For each experiment, the oocyte was incubated in 8 μM insulin to increase PI(3,4,5)P3 concentrations.
Balla,
Phosphoinositides: tiny lipids with giant impact on cell regulation.
2013, Pubmed
Balla,
Phosphoinositides: tiny lipids with giant impact on cell regulation.
2013,
Pubmed
Barratt,
Factors governing the transepithelial potential difference across the proximal tubule of the rat kidney.
1974,
Pubmed
Castle,
Voltage-sensing phosphatase modulation by a C2 domain.
2015,
Pubmed
Chen,
A testis-specific gene, TPTE, encodes a putative transmembrane tyrosine phosphatase and maps to the pericentromeric region of human chromosomes 21 and 13, and to chromosomes 15, 22, and Y.
1999,
Pubmed
Clayton,
Phosphatidylinositol 4-kinases and PI4P metabolism in the nervous system: roles in psychiatric and neurological diseases.
2013,
Pubmed
Corkins,
Transgenic Xenopus laevis Line for In Vivo Labeling of Nephrons within the Kidney.
2018,
Pubmed
,
Xenbase
De Sousa,
The effect of cytochalasin D on protein synthesis in Xenopus laevis oocytes.
1990,
Pubmed
,
Xenbase
Di Paolo,
Phosphoinositides in cell regulation and membrane dynamics.
2006,
Pubmed
Garcia-Gonzalo,
Phosphoinositides Regulate Ciliary Protein Trafficking to Modulate Hedgehog Signaling.
2015,
Pubmed
Grimm,
Allosteric substrate switching in a voltage-sensing lipid phosphatase.
2016,
Pubmed
,
Xenbase
Guipponi,
The murine orthologue of the Golgi-localized TPTE protein provides clues to the evolutionary history of the human TPTE gene family.
2001,
Pubmed
Guo,
A hydrodynamic mechanosensory hypothesis for brush border microvilli.
2000,
Pubmed
Hakim,
Inositol polyphosphate phosphatases in human disease.
2012,
Pubmed
Halaszovich,
Ci-VSP is a depolarization-activated phosphatidylinositol-4,5-bisphosphate and phosphatidylinositol-3,4,5-trisphosphate 5'-phosphatase.
2009,
Pubmed
Hansen,
Lipid agonism: The PIP2 paradigm of ligand-gated ion channels.
2015,
Pubmed
Harland,
In situ hybridization: an improved whole-mount method for Xenopus embryos.
1991,
Pubmed
,
Xenbase
Hebert,
Molecular diversity and regulation of renal potassium channels.
2005,
Pubmed
Henquin,
Triggering and amplifying pathways of regulation of insulin secretion by glucose.
2000,
Pubmed
Hille,
Phosphoinositides regulate ion channels.
2015,
Pubmed
Horisberger,
Na-K pump current in the Amphiuma collecting tubule.
1989,
Pubmed
Hossain,
Enzyme domain affects the movement of the voltage sensor in ascidian and zebrafish voltage-sensing phosphatases.
2008,
Pubmed
,
Xenbase
Iwasaki,
A voltage-sensing phosphatase, Ci-VSP, which shares sequence identity with PTEN, dephosphorylates phosphatidylinositol 4,5-bisphosphate.
2008,
Pubmed
,
Xenbase
Keum,
Phosphoinositide 5- and 3-phosphatase activities of a voltage-sensing phosphatase in living cells show identical voltage dependence.
2016,
Pubmed
Kimber,
Evidence that the tandem-pleckstrin-homology-domain-containing protein TAPP1 interacts with Ptd(3,4)P2 and the multi-PDZ-domain-containing protein MUPP1 in vivo.
2002,
Pubmed
Kohout,
Electrochemical coupling in the voltage-dependent phosphatase Ci-VSP.
2010,
Pubmed
Kruse,
Reinterpretation of the substrate specificity of the voltage-sensing phosphatase during dimerization.
2019,
Pubmed
,
Xenbase
Kurokawa,
3' Phosphatase activity toward phosphatidylinositol 3,4-bisphosphate [PI(3,4)P2] by voltage-sensing phosphatase (VSP).
2012,
Pubmed
Lemmon,
Specific and high-affinity binding of inositol phosphates to an isolated pleckstrin homology domain.
1995,
Pubmed
Ludtmann,
Molecular pharmacology in a simple model system: implicating MAP kinase and phosphoinositide signalling in bipolar disorder.
2011,
Pubmed
Mahon,
Apical membrane segregation of phosphatidylinositol-4,5-bisphosphate influences parathyroid hormone 1 receptor compartmental signaling and localization via direct regulation of ezrin in LLC-PK1 cells.
2011,
Pubmed
McCrea,
Mutations in phosphoinositide metabolizing enzymes and human disease.
2009,
Pubmed
Murata,
Phosphoinositide phosphatase activity coupled to an intrinsic voltage sensor.
2005,
Pubmed
,
Xenbase
Mutua,
Functional diversity of voltage-sensing phosphatases in two urodele amphibians.
2014,
Pubmed
,
Xenbase
Neuhaus,
Kidney specific expression of cTPTE during development of the chick embryo.
2009,
Pubmed
Nishimura,
Regulation of water movement across vertebrate renal tubules.
2003,
Pubmed
Ochi,
Evolution of a tissue-specific silencer underlies divergence in the expression of pax2 and pax8 paralogues.
2012,
Pubmed
,
Xenbase
Ogasawara,
Gene expression profile of Ci-VSP in juveniles and adult blood cells of ascidian.
2011,
Pubmed
Pearl,
Development of Xenopus resource centers: the National Xenopus Resource and the European Xenopus Resource Center.
2012,
Pubmed
,
Xenbase
Praetorius,
Bending the primary cilium opens Ca2+-sensitive intermediate-conductance K+ channels in MDCK cells.
2003,
Pubmed
Praetorius,
Bending the MDCK cell primary cilium increases intracellular calcium.
2001,
Pubmed
Ratzan,
Voltage sensitive phosphoinositide phosphatases of Xenopus: their tissue distribution and voltage dependence.
2011,
Pubmed
,
Xenbase
Rawlins,
Effect of transtubular osmotic gradients on the paracellular pathway in toad kidney proximal tubule: electron microscopic observations.
1975,
Pubmed
Rayaprolu,
Dimerization of the voltage-sensing phosphatase controls its voltage-sensing and catalytic activity.
2018,
Pubmed
,
Xenbase
Reymond,
Human chromosome 21 gene expression atlas in the mouse.
2002,
Pubmed
Rohacs,
Phosphoinositide regulation of TRP channels.
2014,
Pubmed
Rosasco,
Characterization of the Functional Domains of a Mammalian Voltage-Sensitive Phosphatase.
2015,
Pubmed
Sato,
Production of PtdInsP3 at endomembranes is triggered by receptor endocytosis.
2003,
Pubmed
Sauvanet,
Structure, regulation, and functional diversity of microvilli on the apical domain of epithelial cells.
2015,
Pubmed
Schindelin,
Fiji: an open-source platform for biological-image analysis.
2012,
Pubmed
Session,
Genome evolution in the allotetraploid frog Xenopus laevis.
2016,
Pubmed
,
Xenbase
Shi,
Phospholipase C{beta}3 in mouse and human dorsal root ganglia and spinal cord is a possible target for treatment of neuropathic pain.
2008,
Pubmed
Stauffer,
Receptor-induced transient reduction in plasma membrane PtdIns(4,5)P2 concentration monitored in living cells.
1998,
Pubmed
Tsujita,
Phosphoinositides in the regulation of actin cortex and cell migration.
2015,
Pubmed
Vize,
Development of the Xenopus pronephric system.
1995,
Pubmed
,
Xenbase
Walker,
TPIP: a novel phosphoinositide 3-phosphatase.
2001,
Pubmed
Wang,
Regulation of glomerulotubular balance: flow-activated proximal tubule function.
2017,
Pubmed
Warth,
Potassium channels in epithelial transport.
2003,
Pubmed
Waugh,
PIPs in neurological diseases.
2015,
Pubmed
Wright,
The lipid kinase PIP5K1C regulates pain signaling and sensitization.
2014,
Pubmed
Wu,
PTEN 2, a Golgi-associated testis-specific homologue of the PTEN tumor suppressor lipid phosphatase.
2001,
Pubmed
Yamaguchi,
Expression of the voltage-sensing phosphatase gene in the chick embryonic tissues and in the adult cerebellum.
2014,
Pubmed
Yamaguchi,
Potential role of voltage-sensing phosphatases in regulation of cell structure through the production of PI(3,4)P2.
2014,
Pubmed