Click here to close
Hello! We notice that you are using Internet Explorer, which is not supported by Xenbase and may cause the site to display incorrectly.
We suggest using a current version of Chrome,
FireFox, or Safari.
J Cell Biol
2019 Feb 04;2182:541-558. doi: 10.1083/jcb.201708105.
Show Gene links
Show Anatomy links
ENSA and ARPP19 differentially control cell cycle progression and development.
Hached K
,
Goguet P
,
Charrasse S
,
Vigneron S
,
Sacristan MP
,
Lorca T
,
Castro A
.
???displayArticle.abstract??? Greatwall (GWL) is an essential kinase that indirectly controls PP2A-B55, the phosphatase counterbalancing cyclin B/CDK1 activity during mitosis. In Xenopus laevis egg extracts, GWL-mediated phosphorylation of overexpressed ARPP19 and ENSA turns them into potent PP2A-B55 inhibitors. It has been shown that the GWL/ENSA/PP2A-B55 axis contributes to the control of DNA replication, but little is known about the role of ARPP19 in cell division. By using conditional knockout mouse models, we investigated the specific roles of ARPP19 and ENSA in cell division. We found that Arpp19, but not Ensa, is essential for mouse embryogenesis. Moreover, Arpp19 ablation dramatically decreased mouse embryonic fibroblast (MEF) viability by perturbing the temporal pattern of protein dephosphorylation during mitotic progression, possibly by a drop of PP2A-B55 activity inhibition. We show that these alterations are not prevented by ENSA, which is still expressed in Arpp19Δ/Δ MEFs, suggesting that ARPP19 is essential for mitotic division. Strikingly, we demonstrate that unlike ARPP19, ENSA is not required for early embryonic development. Arpp19 knockout did not perturb the S phase, unlike Ensa gene ablation. We conclude that, during mouse embryogenesis, the Arpp19 and Ensa paralog genes display specific functions by differentially controlling cell cycle progression.
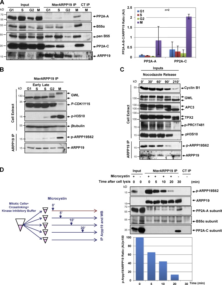
Figure 1. ARPP19 is functional in human cells. (A) Synchronized HeLa cells were lysed in the presence of a reversible cross-linker and used for immunoprecipitation (IP), using anti-NterARPP19 or anti-GST (control [CT]) antibodies. PP2A-B55 subunits and ARPP19 were checked in inputs and immunoprecipitates (IP). The levels of PP2A subunits A and C in the IPs were quantified using ImageJ software, normalized to the total levels of ARPP19, and represented. Values (mean ± SD) are from two different experiments. (B) HeLa cells were synchronized in G1 (24-h thymidine block), early S phase (2.5-h thymidine release), late S phase (6-h thymidine release), G2 (12-h RO3306 block), or M phase (12-h nocodazole shake-off) and lysed in the presence of a reversible cross-linker and microcystin. ARPP19 IPs and whole-cell extracts were used for Western blotting. (C) Nocodazole-blocked HeLa cells were released, lysed in the presence of microcystin, and used for IP. Inputs and IP were analyzed by Western blotting with the indicated antibodies. (D) Mitotic-enriched cell populations were lysed in the presence of a reversible cross-linker, and then microcystin was added (or not) at different time points, as indicated in the scheme, before IP using anti-NterARPP19 or anti-GST (CT) antibodies. Inputs and IPs were then used for Western blotting. The phosphorylated ARPP19 at S62/total ARPP19 ratio intensities at different time points after cell lysis of this experiment are shown in the lower graph. Data are representative of two different experiments.
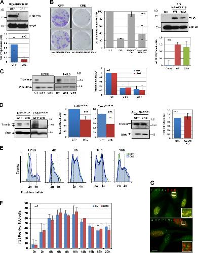
Figure 2. ARPP19, but not ENSA, is essential for embryogenesis. (A) The knockout first (KO-first) allele (Tm1a allele) was converted into a conditional allele that does not harbor the selection cassette by mating heterozygous Arpp19tm1a(KOMP)Mbp mice with Gt(ROSA)26Sortm1(FLP1)Dym/Wtsi mice. Exon 4 of the murine Arpp19 gene was then flanked by LoxP sequences (violet triangles), and Cre-mediated recombination resulted in Arpp19-null alleles. (B) Representative PCR products of WT Arpp19 and floxed alleles (Lox). (C) Number (percentage) of live births and embryos recovered at the indicated developmental stages from heterozygous crosses between Arpp19Wt/Δ mice. (D) Statistics of the different phenotypes observed for the indicated mouse genotypes. Representative images of E8.5 and E10.5 Arpp19Lox/Lox and Arpp19Δ/Δ embryos from heterozygous crosses confirmed by genotyping. Histological sections from the indicated embryos were stained with hematoxylin-eosin, and images were acquired with a transmitted light microscope. Magnifications are indicated in the images. (E) Immunohistochemical analysis of mitotic (M), phosphorylated histone H3 signal (pH3), and interphasic (I) cells in the epidermal basal layer of E17.5 Arpp19Wt/Δ and Arpp19Δ/Δ embryos. Data are the mean ± SD of two different experiments (five embryos for each genotype/experiment). Bar, 10 µm. Bar magnifications, 5 µm. (F) Representative images of E18 Arpp19Δ/Lox and Arpp19Δ/Δembryos in which Arpp19 was deleted in embryos by tamoxifen injection of pregnant Arpp19Lox/Wt PolII Cre ERT2 females at E7.5 after mating with Arpp19Lox/Lox RNApolII Cre ERT2Ki/Ki males (three experiments). (G) Schematic representation of the Ensa KO-first allele (Tm1a) that encodes LacZ instead of the ENSA protein under the control of its endogenous promoter. (H) Distribution of genotyped embryos obtained from crossing two heterozygous Ensa KO-first mice (results from three independent intercrosses). Of note, although all embryos were normal at E8.5, the genotype distribution does not follow the Mendelian ratio owing to failure of genotyping three embryos. (I) Representative light microscopy images of Ensa WT, heterozygous, and knockout E8.5 embryos obtained from mating Ensa heterozygous Tm1a mice. Magnification is indicated in the figure.
Figure 3. Arpp19 deletion decreases MEF viability without affecting S phase progression. (A)
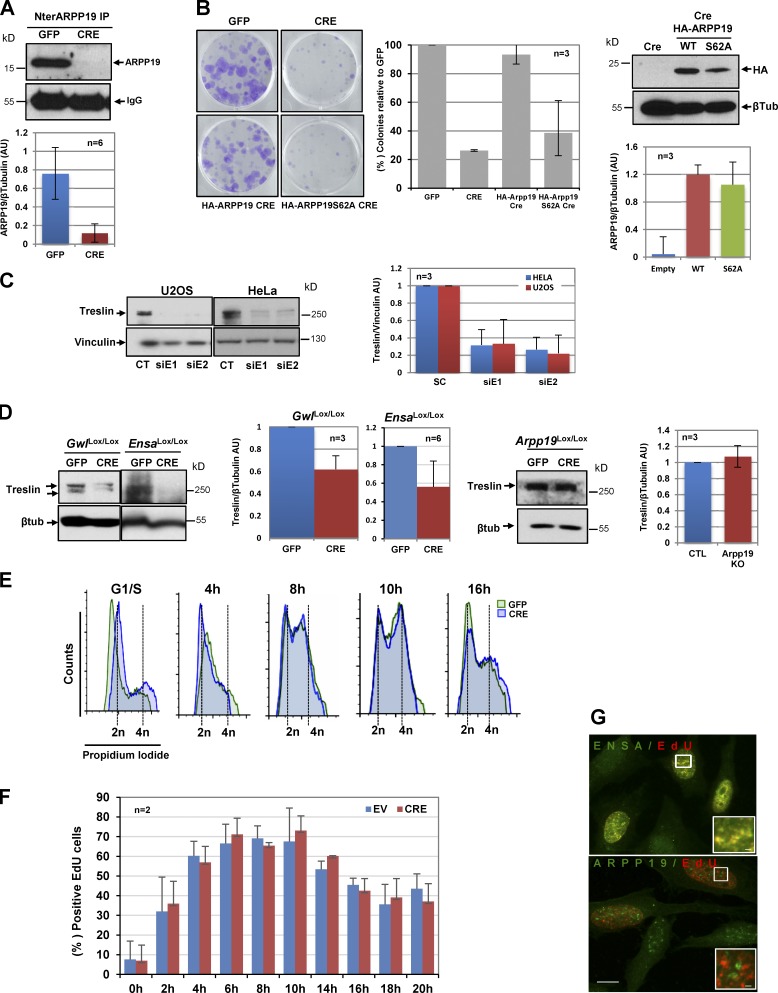
Arpp19Lox/Lox MEFs were transduced with GFP- (GFP) or GFP-Cre–expressing (CRE) adenoviruses, and GFP-positive cells were sorted by FACS. ARPP19 expression was evaluated by immunoprecipitation (IP) using the anti-NterARPP19 antibody at day 3 after viral transduction. Band intensity was quantified from six independent experiments. (B) Clonogenic assays using critical dilutions of GFP or Cre MEFs. Arpp19Δ/Δ MEFs were transiently transfected with HA-ARPP19 or the HA-ARPP19 S62A mutant. Cell colonies were counted and plotted as percentages relative to GFP cells. Values are from three different experiments. Expression of HA-ARPP19 and HA-ARPP19 S62A was confirmed by Western blotting. Band intensities measured from three different experiments. (C) HeLa and U2OS cells were transfected with scramble (CT) or with two different siRNAs against ENSA (siE1 and siE2) and processed for Western blotting. (D)
Gwl, Ensa, or Arpp19 floxed MEFs were transduced with the indicated adenoviruses and used for treslin analysis by Western blotting (n = 3, 6, and 3, respectively). (E)
Arpp19 floxed MEFs were transduced with GFP-Cre or GFP-expressing adenoviruses, kept in G0 for 72 h, and then forced to reenter the cell cycle and blocked at the S-phase boundary by aphidicolin. After aphidicolin washout, MEFs were harvested and processed for FACS analysis. (F) MEFs in E were pulsed with EdU for 30 min and, at the indicated time points after aphidicolin release, were analyzed by immunostaining using anti-EdU antibodies and ImageJ software for quantification of the percentage of EdU-positive cells over time. (G) EdU-pulsed HeLa cells were fixed and counterstained with anti-ENSA or anti-ARPP19 (green) and anti-EdU (red) antibodies (1–2 mm confocal sections). Insets represent zooms of the boxed areas using ImageJ. Bar, 10 µm. Bar magnifications, 1 µm. All band intensities were quantified by densitometry using ImageJ and normalized to loading control. All data are means ± SD from the indicated number of experiments (n).
Figure 4. Arpp19 ablation induces dramatic mitotic phenotypes. (A)
Arpp19Lox/Lox MEFs that express H2B-mCherry were transduced with GFP or GFP-Cre adenoviruses and kept in starvation conditions. After 3 d, cells were forced to reenter the cell cycle. Cell morphology and chromosomes were monitored by live microscopy every 5 min using transmitted light and 561-nm LED, respectively. The percentage of cells entering mitosis (based on cell rounding and chromosome condensation) over time was quantified by analyzing time-lapse images. (B) Mitosis duration (in minutes; mean ± SEM of four biological replicates) was calculated as the time from cell rounding and onset of chromosome condensation to chromosome segregation. (C) Mitotic progression was monitored in cells treated as in A, using live spinning-disk confocal microscopy. Representative still images of the different phenotypes observed in Videos 1, 2, 3, 4, and 5. Time after prometaphase onset is indicated. (D) Representative confocal sections of Arpp19Lox/Lox MEFs transduced with GFP or GFP-Cre adenoviruses. Bars, 10 µm. Cells exhibiting the indicated phenotypes were counted and are represented in a bar graph. (E) Cells in D were used for immunocytochemistry with anti-CREST and anti-BUBR1 antibodies and DAPI staining. Images were acquired by confocal microscopy. Spots corresponding to BUBR1 expression were automatically detected with Imaris in 3D images and manually corrected using CREST staining. The mean BUBR1 signal intensities were exported to Excel files for further analysis. The histogram shows the quantification of BUBR1 signal intensities (mean ± SD from 1,359 and 1,750 kinetochores from two biological replicates). Bars, 5 µm. Bar magnifications, 1 µm. (F) The spinning disk confocal movies from three different experiments were analyzed to quantify the number of cells displaying normal mitosis or the indicated phenotypes and are represented as the percentage of total cells (GFP or GFP-Cre). (G) Cells in C that underwent decondensation in prometaphase or after anaphase onset were counted and are represented. (H) GFP-Cre–expressing cells showing normally condensed or decondensed chromosomes were classified according to the indicated mitotic phenotypes.
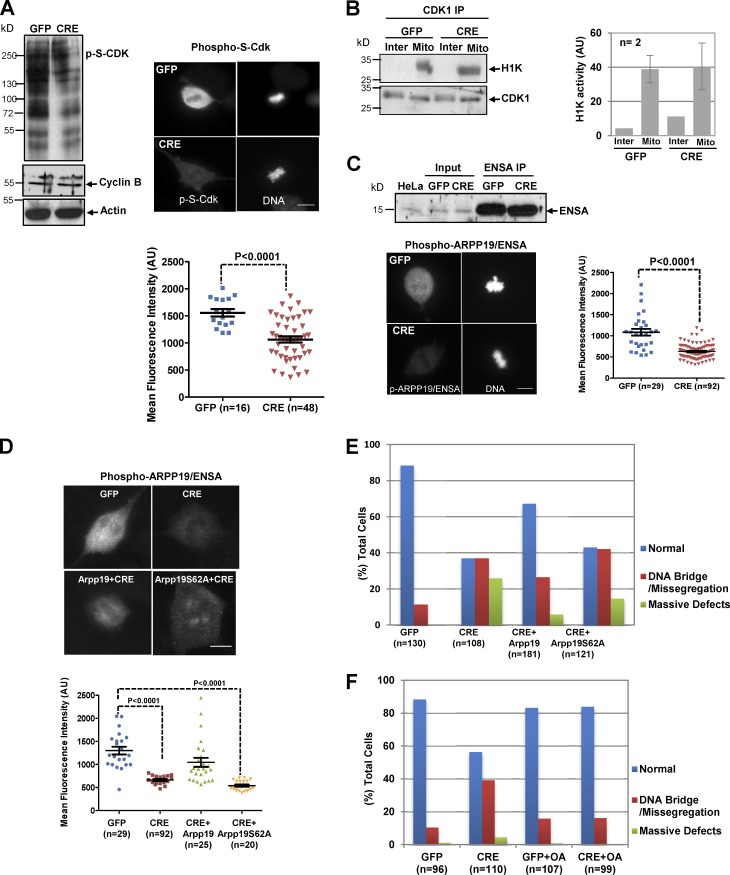
Figure 5. Arpp19 ablation phenotypes are rescued by inhibiting the PP2A phosphatase and by the ectopic expression of WT ARPP19, but not of the ARPP19S62A mutant. (A) GFP and CRE mitotic Arpp19Lox/Lox MEFs obtained by nocodazole shake-off were lysed and analyzed by Western blotting (left) with the indicated antibodies (p-S-CDK, antibody to detect phosphorylation on serine residues by CDK) or by immunofluorescence (right), and the total p-S-CDK immunofluorescence signal was quantified. (B) CDK1 activity was assessed by IP in the indicated mitotic MEF lysates followed by histone H1 phosphorylation. Total cell signal was quantified. (C) Top: ENSA protein levels were measured in GFP and CRE MEF lysates and ENSA IPs by Western blotting. Bottom left panel: ARPP19/ENSA phosphorylation at the GWL site was measured by immunofluorescence. Bottom right: Total immunofluorescence signal was measured in control and Arpp19Δ/Δ MEFs using ImageJ and is represented as the means ± SEM. (D) As for C, except that Arpp19Δ/Δ cells ectopically express HA-tagged WT human ARPP19 or the S62A mutant. (E) Quantification of the phenotypes observed in MEFs from D. Data pooled from two different experiments. (F) GFP or CRE MEFs were incubated with 5 nM OA and used for immunofluorescence. Phenotypes were counted and are represented. Bars, 10 µm.
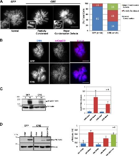
Figure 6. Partially decondensed DNA in Arpp19 knockout MEFs is associated with dephosphorylation of histone H3 and of the condensin II subunit CAPD3. (A) GFP and CRE cells were synchronized in mitosis with nocodazole, and after shake-off, chromosome spreads were prepared. Left: Representative phenotypes observed in chromosome spreads. Right: Quantification of cells displaying the indicated phenotypes. Data were from two independent experiments. (B) GFP- or GFP-Cre–transduced MEFs were used for immunofluorescence analysis with anti-CAPD3 antibodies and confocal microscopy (representative images). Bars, 5 µm. Bar magnifications, 2 µm. (C and D) Mitotically enriched GFP- or GFP-Cre–transduced Arpp19Lox/Lox MEFs were incubated or not with OA, and then lysates were analyzed by Western blotting. Band intensities from three independent experiments were normalized to the loading controls and are represented as the mean ± SD of three replicates.
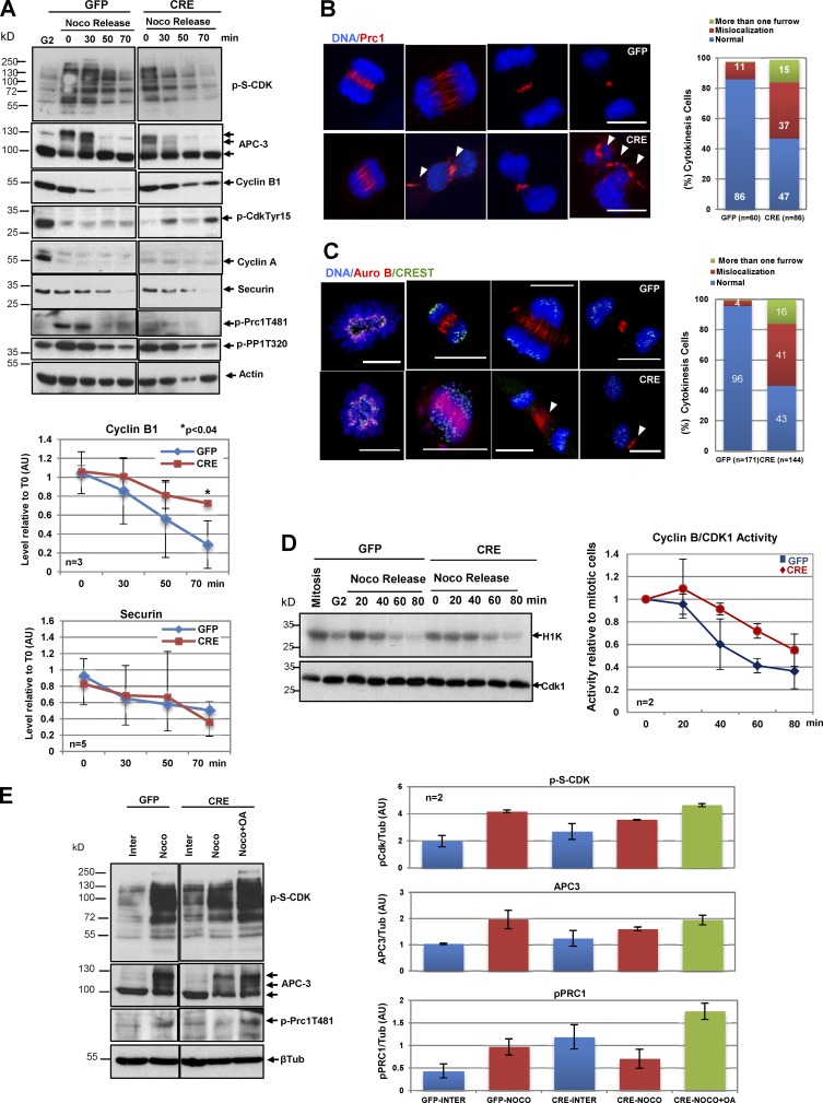
Figure 7. Arpp19 ablation promotes premature dephosphorylation of key cyclin B/CDK1 substrates and disrupts the temporal order of events of mitotic exit. (A) GFP- or GFP-Cre–treated MEFs were enriched in mitosis by nocodazole and isolated by shake-off. Cells were then released and collected at the indicated time points. Cell lysates were analyzed by Western blotting. Cyclin B1 and securin levels were quantified using ImageJ and are represented relative to the G2 levels. (B and C)
Arpp19Lox/Lox transduced MEFs were fixed and incubated with the indicated antibodies, and images were acquired by confocal microscopy. Arrowheads highlight mislocalization of PRC1 and Aurora B and cytokinesis furrows. Bar, 10 µm. The phenotypes observed in cells from B and C were counted (data from three different experiments). (D) CDK1 activity was tested using histone H1 (H1K) as substrate. Mitosis corresponds to nocodazole-arrested GFP-transduced Arpp19Lox/Lox MEFs. H1K signals were quantified and corrected to CDK1 levels and are represented as relative to the H1K signal in mitotic cells. Data from two experiments. (E) GFP- or GFP-Cre–expressing adenoviruses were synchronized (Noco) or not (Inter) in mitosis by nocodazole block and incubated or not with OA. Cell lysates were analyzed by Western blotting. Signal intensities were measured by densitometry and normalized and are represented as the mean ± SD of two independent experiments.
Figure 8. Arpp19 knockout perturbs the phosphorylation and localization of key nuclear envelope proteins. (A) GFP- or GFP-Cre–expressing adenoviruses were enriched in mitotic cells using nocodazole and collected for Western blotting (lower panel) or processed for immunostaining (upper left panel). The phosphorylated lamin A/C at S22 signal was quantified (upper right panel). (B) GFP or Arpp19Δ/Δ MEFs were synchronized (Noco) or not (Inter) in mitosis, lysed, and processed for immunoprecipitation (IP) using the mAB414 antibody that recognizes NUP 358, 214, 153, and 52 (Hofemeister and O’Hare, 2008). IPs were evaluated by Western blotting, using the antibody against serine phosphorylation by CDK (to detect NUP phosphorylation) and mAb414 to measure NUP levels. (C) GFP- or GFP-Cre–transduced Arpp19Lox/Lox MEFs were analyzed by confocal microscopy using the mAB414 and anti-lamin A/C antibodies. Bar, 10 µm. Lamin A/C and NUP mean intensities during mitosis progression were measured using ImageJ. A line was drawn across the DNA mass on the DAPI channel and transposed to the lamin A/C (green) and NUPs (red) channels using the region of interest plug-in. A plot profile was then constructed, and NUP intensity was measured in two points on the profile located outside and at the surface of the DNA mass. The mean values of these two points were then used to calculate the percentage of nuclear NUPs relative to the total intensity. Lamin A/C intensities were calculated as for the NUP signals except that, because of the diffuse nuclear distribution of Lamin A/C, intensities were measured outside and inside the DNA mass. Lamin A/C and NUP intensity data (mean ± SD) are from 57 GFP- and 59 GFP-Cre–transduced MEFs from three different experiments.
Abe,
The initial phase of chromosome condensation requires Cdk1-mediated phosphorylation of the CAP-D3 subunit of condensin II.
2011, Pubmed
Abe,
The initial phase of chromosome condensation requires Cdk1-mediated phosphorylation of the CAP-D3 subunit of condensin II.
2011,
Pubmed
Birling,
Highly-efficient, fluorescent, locus directed cre and FlpO deleter mice on a pure C57BL/6N genetic background.
2012,
Pubmed
Burgess,
Loss of human Greatwall results in G2 arrest and multiple mitotic defects due to deregulation of the cyclin B-Cdc2/PP2A balance.
2010,
Pubmed
Castilho,
The M phase kinase Greatwall (Gwl) promotes inactivation of PP2A/B55delta, a phosphatase directed against CDK phosphosites.
2009,
Pubmed
,
Xenbase
Charrasse,
Ensa controls S-phase length by modulating Treslin levels.
2017,
Pubmed
Chica,
Nutritional Control of Cell Size by the Greatwall-Endosulfine-PP2A·B55 Pathway.
2016,
Pubmed
Cundell,
The BEG (PP2A-B55/ENSA/Greatwall) pathway ensures cytokinesis follows chromosome separation.
2013,
Pubmed
Ferrell,
Feedback loops and reciprocal regulation: recurring motifs in the systems biology of the cell cycle.
2013,
Pubmed
Gharbi-Ayachi,
The substrate of Greatwall kinase, Arpp19, controls mitosis by inhibiting protein phosphatase 2A.
2010,
Pubmed
,
Xenbase
Glover,
The overlooked greatwall: a new perspective on mitotic control.
2012,
Pubmed
Guerra,
Tumor induction by an endogenous K-ras oncogene is highly dependent on cellular context.
2003,
Pubmed
Heald,
Mutations of phosphorylation sites in lamin A that prevent nuclear lamina disassembly in mitosis.
1990,
Pubmed
Hofemeister,
Nuclear pore composition and gating in herpes simplex virus-infected cells.
2008,
Pubmed
Hunt,
On the regulation of protein phosphatase 2A and its role in controlling entry into and exit from mitosis.
2013,
Pubmed
,
Xenbase
Jiang,
PRC1: a human mitotic spindle-associated CDK substrate protein required for cytokinesis.
1998,
Pubmed
Juanes,
Budding yeast greatwall and endosulfines control activity and spatial regulation of PP2A(Cdc55) for timely mitotic progression.
2013,
Pubmed
,
Xenbase
Kim,
Bypassing the Greatwall-Endosulfine pathway: plasticity of a pivotal cell-cycle regulatory module in Drosophila melanogaster and Caenorhabditis elegans.
2012,
Pubmed
Kschonsak,
Shaping mitotic chromosomes: From classical concepts to molecular mechanisms.
2015,
Pubmed
Li,
Greatwall kinase is required for meiotic maturation in porcine oocytes.
2013,
Pubmed
Lorca,
The Greatwall kinase: a new pathway in the control of the cell cycle.
2013,
Pubmed
Lorca,
Constant regulation of both the MPF amplification loop and the Greatwall-PP2A pathway is required for metaphase II arrest and correct entry into the first embryonic cell cycle.
2010,
Pubmed
,
Xenbase
Martín,
A PP2A-B55-Mediated Crosstalk between TORC1 and TORC2 Regulates the Differentiation Response in Fission Yeast.
2017,
Pubmed
Mellone,
Centromere silencing and function in fission yeast is governed by the amino terminus of histone H3.
2003,
Pubmed
Mochida,
Greatwall phosphorylates an inhibitor of protein phosphatase 2A that is essential for mitosis.
2010,
Pubmed
,
Xenbase
Mochida,
Regulated activity of PP2A-B55 delta is crucial for controlling entry into and exit from mitosis in Xenopus egg extracts.
2009,
Pubmed
,
Xenbase
Mochida,
Two Bistable Switches Govern M Phase Entry.
2016,
Pubmed
Mochida,
Regulation of α-endosulfine, an inhibitor of protein phosphatase 2A, by multisite phosphorylation.
2014,
Pubmed
,
Xenbase
Peters,
The anaphase promoting complex/cyclosome: a machine designed to destroy.
2006,
Pubmed
Skarnes,
A conditional knockout resource for the genome-wide study of mouse gene function.
2011,
Pubmed
St-Pierre,
Polo kinase regulates mitotic chromosome condensation by hyperactivation of condensin DNA supercoiling activity.
2009,
Pubmed
Talarek,
Initiation of the TORC1-regulated G0 program requires Igo1/2, which license specific mRNAs to evade degradation via the 5'-3' mRNA decay pathway.
2010,
Pubmed
Talarek,
Homeostatic control of START through negative feedback between Cln3-Cdk1 and Rim15/Greatwall kinase in budding yeast.
2017,
Pubmed
Vera,
Greatwall promotes cell transformation by hyperactivating AKT in human malignancies.
2015,
Pubmed
Vigneron,
Greatwall maintains mitosis through regulation of PP2A.
2009,
Pubmed
,
Xenbase
Vigneron,
Cyclin A-cdk1-Dependent Phosphorylation of Bora Is the Triggering Factor Promoting Mitotic Entry.
2018,
Pubmed
,
Xenbase
Wei,
Phosphorylation of histone H3 is required for proper chromosome condensation and segregation.
1999,
Pubmed
Williams,
Greatwall-phosphorylated Endosulfine is both an inhibitor and a substrate of PP2A-B55 heterotrimers.
2014,
Pubmed
Wu,
PP1-mediated dephosphorylation of phosphoproteins at mitotic exit is controlled by inhibitor-1 and PP1 phosphorylation.
2009,
Pubmed
,
Xenbase
Xing,
Structure of protein phosphatase 2A core enzyme bound to tumor-inducing toxins.
2006,
Pubmed
Yeong,
Identification of a subunit of a novel Kleisin-beta/SMC complex as a potential substrate of protein phosphatase 2A.
2003,
Pubmed