Click here to close
Hello! We notice that you are using Internet Explorer, which is not supported by Xenbase and may cause the site to display incorrectly.
We suggest using a current version of Chrome,
FireFox, or Safari.
PLoS Genet
2018 Nov 06;1411:e1007817. doi: 10.1371/journal.pgen.1007817.
Show Gene links
Show Anatomy links
Mutations in Kinesin family member 6 reveal specific role in ependymal cell ciliogenesis and human neurological development.
Konjikusic MJ
,
Yeetong P
,
Boswell CW
,
Roberson EC
,
Ittiwut R
,
Suphapeetiporn K
,
Ciruna B
,
Gurnett CA
,
Wallingford JB
,
Shotelersuk V
,
Gray RS
.
???displayArticle.abstract??? Cerebrospinal fluid flow is crucial for neurodevelopment and homeostasis of the ventricular system of the brain, with localized flow being established by the polarized beating of the ependymal cell (EC) cilia. Here, we report a homozygous one base-pair deletion, c.1193delT (p.Leu398Glnfs*2), in the Kinesin Family Member 6 (KIF6) gene in a child displaying neurodevelopmental defects and intellectual disability. To test the pathogenicity of this novel human KIF6 mutation we engineered an analogous C-terminal truncating mutation in mouse. These mutant mice display severe, postnatal-onset hydrocephalus. We generated a Kif6-LacZ transgenic mouse strain and report expression specifically and uniquely within the ependymal cells (ECs) of the brain, without labeling other multiciliated mouse tissues. Analysis of Kif6 mutant mice with scanning electron microscopy (SEM) and immunofluorescence (IF) revealed specific defects in the formation of EC cilia, without obvious effect of cilia of other multiciliated tissues. Dilation of the ventricular system and defects in the formation of EC cilia were also observed in adult kif6 mutant zebrafish. Finally, we report Kif6-GFP localization at the axoneme and basal bodies of multi-ciliated cells (MCCs) of the mucociliary Xenopus epidermis. Overall, this work describes the first clinically-defined KIF6 homozygous null mutation in human and defines KIF6 as a conserved mediator of neurological development with a specific role for EC ciliogenesis in vertebrates.
Fig 7. Kif6-GFP localizes to the basal bodies and axonemes of Xenopus multi-ciliated cells.
Confocal imaging of the mucocilated Xenopus laevis epidermis demonstrating consistent Kif6-GFP localization within the axonemes (green; A, C) and at the basal bodies (green; D, F). Expression of pan-membrane-RFP marker (magenta; B, C) to co-label the axonemes and Centrin-BFP (blue; E, F) to co-label the basal bodies. Scale Bars: 10μm.
Fig 1. KIF6 mutation in a child with intellectual disability.(A) A low-set prominent anti-helical left pinna. (B) MRI of the brain at 7 months-old shows dolichocephaly with a normal brain structure. (C) and (D) CT of the brain at 8 years-old, sagittal and axial views, respectively show dolichocephalic shape of the cranium (cephalic index = 75) without demonstrable intracranial abnormality. (E) X-ray of the spine shows no scoliosis (F) Electropherograms of the patient, a control, the patient’s father, mother, and unaffected brother from top to bottom. The patient is homozygous for the c.1193delT mutantion while his father, mother, and unaffected brother are all heterozygous carriers. (G) Pedigree and RFLP, using MfeI restriction enzyme: Lane M = 100 bp marker. The arrow head indicates the 500 bp band. Lanes 1–5 are controls. Lanes 6 and 7 are the proband’s father and mother, respectively, showing that they are heterozygous. Lane 8 is the proband showing that he is homozygous for the c.1193delT. (H) Representative KIF6 structure. The arrow shows the position of the c.1193delT mutation.
Fig 2. Kif6
p.G555fs mutant mice display progressive hydrocephaly.(A) Schematic of the non-sense mutation in the patient (KIF6p.L398fsX2) and the mouse mutation (Kif6p.G555fs), both predicted to truncate the C-terminal domain of KIF6 protein. (B) qRT-PCR analyses of fold change of Kif6 expression using cDNA libraries derived from lateral ventricles from WT (black bars) and Kif6p.G555fs (gray bars) mutant mice. (C) Lateral X-rays of mouse cranium at P14 and P28 showing the progressive cranial expansion in Kif6p.G55 homozygous mutant mice. (D) Ventral view of whole mouse P28 brain to highlight hemorrhaging and slight enlargement of total brain size in Kif6p.G55 homozygous mutant mice. (E, F) H&E stained coronal sections of the mouse brain (P14), showing dilation of the lateral (LV) and third (3V) ventricles in Kif6p.G55 homozygous mutant mice (F). (G) Quantitation of ventricular area over total brain area in Kif6p.G55 homozygous mutant mice and heterozygous littermate controls (n = 7 mice per genotype; two-tailed t-test; p = 0.0173). Scale bars: 1cm in (C); 5mm in (D); and 300 μm in (F, F).
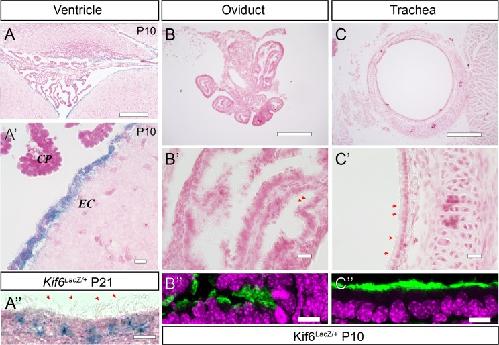
Fig 3. Kif6-LacZ expression is specific to the ependymal cells.(A-C', B”-C”) Representative LacZ staining in a variety of multiciliated tissues from P10 and P21 (A”) Kif6-LacZtm1b/+ transgenic mice. (A, A') Coronal section at the 4th ventricle showing specific LacZ expression in the ependymal cell (EC) layer and stark lack of expression in the choroid plexus (CP) or surrounding neuronal tissues. (B-C’) Sectioned oviduct and trachea tissue shows no LacZ expression, despite the presence of tufts of cilia observed under oblique lighting (red arrows B’, C’). Immunofluorescence shows acetylated tubulin labeling of ciliary axonemes in adjacent sections in oviduct which has supercoiled at this time point (B”) and in trachea (C”) at P10. LacZ staining labels the EC cells projecting tufts of cilia observed by oblique lighting (A”). Scale bars: 300μm in (A-C); 20μm in (A'-C'); and 10μm in (A”-C”).
Fig 4. Kif6 mutant mice have defects in formation of ependymal cell cilia.(A-B') Scanning electron microscopy of the lateral ventricular wall (en face view) in Kif6p.G55 homozygous mutant mice and heterozygous littermate controls at P21, demonstrating a reduction in the number and density of EC cilia tufts in mutant ventricles (B, B’). (C-D‴) Immunofluorescence of the wild-type (C-C”‘) and Kif6p.G55 homozygous mutant (D-D”‘) mice at P21. (C-D) Three color merge of (C', D') αS100B (ependymal cell marker; magenta) channel; (C'', D'') α–γ-tubulin (basal bodies; cyan) channel; and (C‴, D‴) αCD133 (EC axoneme marker, Prominin-1; green). (C', D') αS100B staining showing no alterations of ependymal cell specification between Kif6p.G55 homozygous mutant and WT mice. (C'', D'') α–γ-tubulin staining showing typical basal body positioning at the apical surface of ECs in both Kif6p.G55 homozygous mutant and WT mice. (C‴, D‴) αCD133 staining reveals a marked of EC cilia projecting into the ventricular lumen in Kif6p.G555fs homozygous mutant mice compared to WT mice. (E) Quantitation of fluorescent intensity of the CD133 channel (EC axonemes). Scale bars: 20μM in (A, B); 2 μM in (A', B'); and 20 μM in (C-D‴).
Fig 5. kif6 mutant zebrafish display dilation of the ventricular system.(A-B’) 3D-reconstruction of representative iodine-contrasted μCT dataset from WT (A-A’) and kif6sko mutant zebrafish at 90dpf. (C-D’) 3D-reconstruction and segmentation of virtual endocasting of ventricular system in WT (blue; C-C’) and kif6sko mutant (red; D-D’) zebrafish from datasets in A-B’ demonstrated morphological alterations of the ventricular system including dilation of the central canal (red arrows; D-D’) and stenosis of small ventricles (asterisks, D-D’). (E) Schematic of adult zebrafish brain highlighting the relative transverse optical section of the zebrafish brain in WT (F, H, J) and kif6sko homozygous mutant (G, I, K) zebrafish brain at 90dpf. (F, G) The medial region of the TeO showing the medial TecV (yellow dashed line) which is dilated in kif6sko mutant fish (G) compared to age-matched WT (F). (H, I) Sectioning at the region of the medulla oblongata posterior to the lobus facialis showing dysmorphogenesis and deepening of the posterior RV (yellow dashed line) in kif6sko mutants (I) compared with WT (H) zebrafish. (J, K) Spinal cord sectioning showing dilation of the central canal in kif6sko mutant (K) compared to WT (J) zebrafish. (L) Quantitation of the areas (yellow dashed line) of the TecV and the RV posterior to the lobus facialis (pos. RV) in WT and kif6sko mutant zebrafish, highlighting a consistent dilation in kif6sko mutants (n = 11 sections/genotype; two-tailed t-test; ****, p<0.0001). Scale Bars: 1mm. DiV—diencephalic ventricle; TecV-tectal ventricle TeO-tectum opticum; CCe-corpus cerebelli; RV- rhombencephalic ventricle; Vam—medial division of valvula cerebelli; and Cc-central canal.
Fig 6. kif6 mutant zebrafish display defects in the formation of the ependymal cell cilia in the brain.(A-D) Immunofluorescence of Tg[foxj1a::GFP] (A, B) and Tg[foxj1a::Arl13bGFP] transgenic zebrafish in both heterozygous kif6sko/+ (A, C) and homozyogus kif6sko mutant (B, D) zebrafish backgrounds assayed with αGFP (green) and DAPI (nuclei, blue). The Tg[foxj1a::GFP] transgene demonstrates that GFP positive ECs are present in both genotypes. In contrast, kif6sko/+ heterozygous zebrafish display numerous apical tufts of cilia (red arrows; A) projecting into the ventricle lumen, which are markedly reduced in kif6sko mutant zebrafish (B). Similar results were observed with the Tg[foxj1a::Arl13bGFP] transgene, showing a obvious reduction in Arl13b-GFP positive EC axonemes in kif6sko mutant zebrafish (D), which are robustly labeled in kif6sko/+ heterozygous fish (C). Scale Bars: 20μm.
Assimes,
Lack of association between the Trp719Arg polymorphism in kinesin-like protein-6 and coronary artery disease in 19 case-control studies.
2010, Pubmed
Assimes,
Lack of association between the Trp719Arg polymorphism in kinesin-like protein-6 and coronary artery disease in 19 case-control studies.
2010,
Pubmed
Banizs,
Dysfunctional cilia lead to altered ependyma and choroid plexus function, and result in the formation of hydrocephalus.
2005,
Pubmed
Borovina,
Vangl2 directs the posterior tilting and asymmetric localization of motile primary cilia.
2010,
Pubmed
Brinker,
A new look at cerebrospinal fluid circulation.
2014,
Pubmed
Brooks,
Multiciliated cells.
2014,
Pubmed
Brooks,
The Small GTPase Rsg1 is important for the cytoplasmic localization and axonemal dynamics of intraflagellar transport proteins.
2013,
Pubmed
,
Xenbase
Buchan,
Kinesin family member 6 (kif6) is necessary for spine development in zebrafish.
2014,
Pubmed
Choksi,
Systematic discovery of novel ciliary genes through functional genomics in the zebrafish.
2014,
Pubmed
Chung,
Coordinated genomic control of ciliogenesis and cell movement by RFX2.
2014,
Pubmed
,
Xenbase
de Ligt,
Diagnostic exome sequencing in persons with severe intellectual disability.
2012,
Pubmed
Demonchy,
Kinesin 9 family members perform separate functions in the trypanosome flagellum.
2009,
Pubmed
Gagnon,
Efficient mutagenesis by Cas9 protein-mediated oligonucleotide insertion and large-scale assessment of single-guide RNAs.
2014,
Pubmed
Gray,
Planar cell polarity: coordinating morphogenetic cell behaviors with embryonic polarity.
2011,
Pubmed
Gray,
The planar cell polarity effector Fuz is essential for targeted membrane trafficking, ciliogenesis and mouse embryonic development.
2009,
Pubmed
,
Xenbase
Gray,
Loss of col8a1a function during zebrafish embryogenesis results in congenital vertebral malformations.
2014,
Pubmed
Grimes,
Zebrafish models of idiopathic scoliosis link cerebrospinal fluid flow defects to spine curvature.
2016,
Pubmed
Hameed,
No evidence for cardiac dysfunction in Kif6 mutant mice.
2013,
Pubmed
Hirokawa,
Kinesin superfamily motor proteins and intracellular transport.
2009,
Pubmed
Insinna,
The homodimeric kinesin, Kif17, is essential for vertebrate photoreceptor sensory outer segment development.
2008,
Pubmed
Jacquet,
FoxJ1-dependent gene expression is required for differentiation of radial glia into ependymal cells and a subset of astrocytes in the postnatal brain.
2009,
Pubmed
Karner,
Gpr126/Adgrg6 deletion in cartilage models idiopathic scoliosis and pectus excavatum in mice.
2015,
Pubmed
Kee,
A size-exclusion permeability barrier and nucleoporins characterize a ciliary pore complex that regulates transport into cilia.
2012,
Pubmed
Kousi,
The Genetic Basis of Hydrocephalus.
2016,
Pubmed
Kramer-Zucker,
Cilia-driven fluid flow in the zebrafish pronephros, brain and Kupffer's vesicle is required for normal organogenesis.
2005,
Pubmed
Kwan,
The Tol2kit: a multisite gateway-based construction kit for Tol2 transposon transgenesis constructs.
2007,
Pubmed
Labun,
CHOPCHOP v2: a web tool for the next generation of CRISPR genome engineering.
2016,
Pubmed
Lechtreck,
IFT-Cargo Interactions and Protein Transport in Cilia.
2015,
Pubmed
Lee,
Riding the wave of ependymal cilia: genetic susceptibility to hydrocephalus in primary ciliary dyskinesia.
2013,
Pubmed
Li,
KIF6 polymorphism as a predictor of risk of coronary events and of clinical event reduction by statin therapy.
2010,
Pubmed
Metscher,
MicroCT for developmental biology: a versatile tool for high-contrast 3D imaging at histological resolutions.
2009,
Pubmed
Najmabadi,
Deep sequencing reveals 50 novel genes for recessive cognitive disorders.
2011,
Pubmed
Niwa,
KIF19A is a microtubule-depolymerizing kinesin for ciliary length control.
2012,
Pubmed
Ogino,
Characterization of multiciliated ependymal cells that emerge in the neurogenic niche of the aged zebrafish brain.
2016,
Pubmed
Ohata,
Loss of Dishevelleds disrupts planar polarity in ependymal motile cilia and results in hydrocephalus.
2014,
Pubmed
Park,
Subcellular localization and signaling properties of dishevelled in developing vertebrate embryos.
2005,
Pubmed
,
Xenbase
Petrik,
Epithelial Sodium Channel Regulates Adult Neural Stem Cell Proliferation in a Flow-Dependent Manner.
2018,
Pubmed
Pfenninger,
CD133 is not present on neurogenic astrocytes in the adult subventricular zone, but on embryonic neural stem cells, ependymal cells, and glioblastoma cells.
2007,
Pubmed
Poirier,
Mutations in TUBG1, DYNC1H1, KIF5C and KIF2A cause malformations of cortical development and microcephaly.
2013,
Pubmed
Reiter,
Genes and molecular pathways underpinning ciliopathies.
2017,
Pubmed
Rosenbaum,
Intraflagellar transport.
2002,
Pubmed
Rubenstein,
Relationship of senescence of cerebrospinal fluid circulatory system to dementias of the aged.
1998,
Pubmed
SCHICK,
What is arrested hydrocephalus?
1961,
Pubmed
Schindelin,
Fiji: an open-source platform for biological-image analysis.
2012,
Pubmed
Schultz,
SMART, a simple modular architecture research tool: identification of signaling domains.
1998,
Pubmed
Schwenk,
A cre-transgenic mouse strain for the ubiquitous deletion of loxP-flanked gene segments including deletion in germ cells.
1995,
Pubmed
Signor,
Two heteromeric kinesin complexes in chemosensory neurons and sensory cilia of Caenorhabditis elegans.
1999,
Pubmed
Skarnes,
A conditional knockout resource for the genome-wide study of mouse gene function.
2011,
Pubmed
Spassky,
Adult ependymal cells are postmitotic and are derived from radial glial cells during embryogenesis.
2005,
Pubmed
Spassky,
The development and functions of multiciliated epithelia.
2017,
Pubmed
Toriyama,
The ciliopathy-associated CPLANE proteins direct basal body recruitment of intraflagellar transport machinery.
2016,
Pubmed
,
Xenbase
Verhey,
Kinesin assembly and movement in cells.
2011,
Pubmed
Werner,
Actin and microtubules drive differential aspects of planar cell polarity in multiciliated cells.
2011,
Pubmed
,
Xenbase
Whedon,
Cerebrospinal fluid stasis and its clinical significance.
2009,
Pubmed
Willemsen,
Involvement of the kinesin family members KIF4A and KIF5C in intellectual disability and synaptic function.
2014,
Pubmed
Zhao,
Kinesin-2 family in vertebrate ciliogenesis.
2012,
Pubmed