Click here to close
Hello! We notice that you are using Internet Explorer, which is not supported by Xenbase and may cause the site to display incorrectly.
We suggest using a current version of Chrome,
FireFox, or Safari.
Biochem Biophys Res Commun
2018 Dec 09;5071-4:74-82. doi: 10.1016/j.bbrc.2018.10.164.
Show Gene links
Show Anatomy links
Targeting TPX2 suppresses proliferation and promotes apoptosis via repression of the PI3k/AKT/P21 signaling pathway and activation of p53 pathway in breast cancer.
Chen M
,
Zhang H
,
Zhang G
,
Zhong A
,
Ma Q
,
Kai J
,
Tong Y
,
Xie S
,
Wang Y
,
Zheng H
,
Guo L
,
Lu R
.
???displayArticle.abstract???
Targeting protein for Xenopus kinesin-like protein 2 (TPX2) is a microtubule-associated protein required for mitosis and spindle assembly. Previous studies showed that TPX2 is overexpressed in various human cancers and promotes cancer progression. In this study, the differentially expressed genes including TPX2 were screened in GEO database for gene expression microarray of breast cancer. The TPX2 expression level was significantly increased in breast cancer cells and the breast malignant tissues compared with those controls. In vitro experiment further confirmed that knockdown of TPX2 by small hairpin RNA inhibited breast cancer cell proliferatio, migration, and induced cell apoptosis. TPX2 silencing decreased the expression of PI3K and extent of AKT phosphorylation, as well as increased expression of p53 and p21. Taken together, our findings indicate that TPX2 silencing negatively regulates the PI3K/AKT and activates p53 signaling pathway by which breast cancer cells proliferation were inhibited whereas cellulars apoptosis were accelerated, suggesting that TPX2 may be a potential target for anticancer therapy in breast cancer.
Fig. 1. TPX2 expression was significantly increased in breast cancer A. Oncomine data analysis for TPX2 in breast cancer. (a) TPX2 mRNA was over-expressed in breast cancer tissues compared to other kinds of cancer tissues; (b) mRNA expression of TPX2 was over-expressed in invasive ductal breast cancer tissues relative to normal breast tissues; B. The differentiated genes screened in the three sets of chips GSE54002, GSE22820 and GSE42568 were compared with each other, among which there were 38 intersecting genes; C. Gene interaction network of breast cancer differentiated genes and breast cancer genes, in which red circles meant breast cancer genes and blue circles meant breast cancer differentiated genes, and differentiated genes showed no interaction with other genes were not shown in the figure; D. The expression thermal map of first 20 up-differentiated genes in GSE54002, from which the expression of TPX2 was markedly increased; E. The high expression of TPX2 in GSE22820 and GSE42568 respectively; F. Immunostaining of TPX2 protein in breast cancer tissues. (a) Normal tumor-adjacent tissues showed negative staining of TPX2; (bâd) Representative images of weak, moderate and strong TPX2 expression in breast cancer tissues respectively. TPX2 was localized within the nuclei (original magnification: 400X for the inserts, 100X for all); G. TPX2 mRNA expression in breast carcinoma and corresponding para-carcinoma tissues using quantitative reverse transcription polymerase chain reaction (qRTâPCR) (nâ¯=â¯40, Pâ¯=â¯0.0052); H. TPX2 protein(a) and mRNA(b) expression in the normal human mammary cell line MCF-10a and five breast cancer cell lines (MCF-7, T47D, ZR75-1, MDA-MB-231 and MDA-MB-468) using western blot and qRTâPCR. *Pâ¯<â¯0.05. Data are presented as the meanâ¯Â±â¯SEM of three independent experiments. (For interpretation of the references to colour in this figure legend, the reader is referred to the Web version of this article.)
Fig. 2. TPX2 inhibition suppressed proliferation and induced apoptosis of breast cancer cells. A. TPX2 knockdown efficiency was determined by Western blot and qRT-PCR analysis in MCF-7 and T47D cells; B. Suppression of TPX2 significantly reduced the proliferation of MCF-7 and T47D cells; C. MCF-7 and T47D cells were transfected with shCtrl and shTPX2-1/2 for the clonogenic assay. Representative data and quantitative results are shown; D. Representative images showed the migration ability of MCF-7 and T47D cells transfected with shTPX2-2 or shCtrl (original magnification Ã200) and quantitative results were shown; E. The percentage of apoptosis were measured by flow cytometry in the transduced MCF-7 and T47D cells. All experiments were carried out in triplicate. Data are shown as mean ± SEM, *P < 0.05, **P < 0.01.
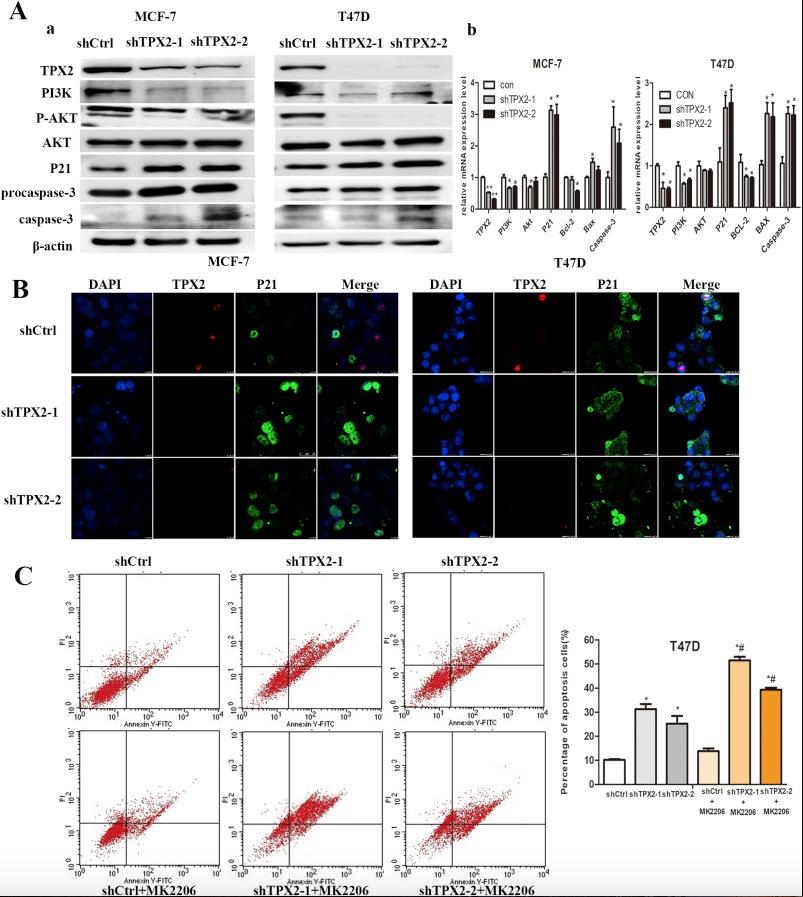
Fig. 3. TPX2 silencing inhibited the PI3K/AKT signaling pathway. A. (a) MCF-7 and T47D cells that had been transfected with shCtrl and shTPX2-1/2, respectively, were subjected to western blotting for PI3K, AKT, phosphorylated p-AKT, P21, Procaspase-3 and Caspase-3. β-actin served as the loading control; (b) qRT-PCR analysis of TPX2, PI3K, AKT, p21, Caspase-3, Bcl-2 and Bax mRNA expression in cells transfected with shTPX2-1/2 and shCtrl. β-actin served as the control; B. Immunofluorescence analysis revealed that P21 was considerably higher in TPX2 knockdown cells compared with controls. C. Suppression of TPX2 combined with MK2206 promoted cell apoptosis in T47D cells. Representative data and quantitative results of apoptosis ratio were shown. *P < 0.05, **Pâ¯<â¯0.01 compared with the shCtrl; #Pâ¯<â¯0.05, compared with the shCtrl with MK2206 group; data are meansâ¯Â±â¯SEM from three independent experiments.
Fig. 4. Suppression of TPX2 activated p53 pathway. A. The protein expression of MDM2 and P53 in MCF-7 and T47D cells, treated with shTPX2-1/2 and shCtrl, were analyzed by western blot. B. Immunofluorescence analysis revealed that p53 was considerably higher in TPX2 knockdown MCF-7 and T47D cells compared with controls. TPX2 mainly located in spindle during mitosis and expressed in the nucleus during other phase. In shTPX2-1/2 transfected breast cancer cells, p53 mainly located at nucleolus. The DAPI nuclear staining was shown in blue, TPX2 expression in red and p53 in green. C. Western blot analysis of co-immunoprecipitated ability of TPX2, p53 and MDM2 with each other in MCF-7â¯cells. D. Schematic model of TPX2 regulates AKT signaling pathway and p53 pathway in breast cancer. (For interpretation of the references to colour in this figure legend, the reader is referred to the Web version of this article.)