|
Fig 1
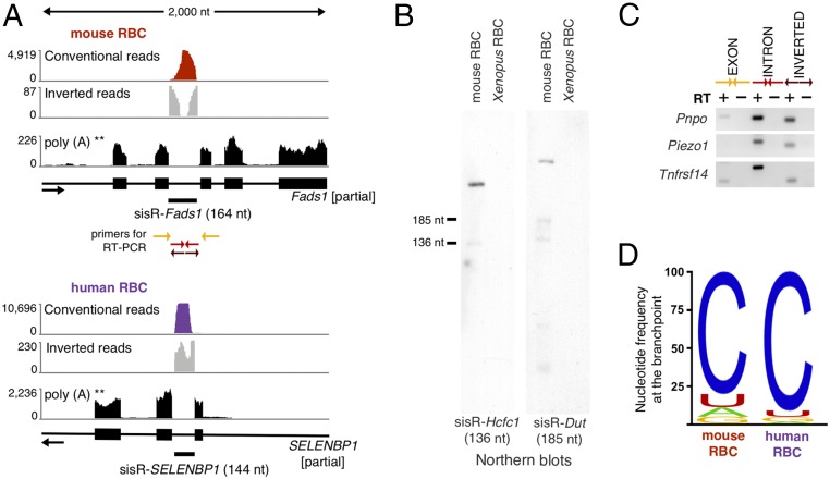
Typical sisRNAs found in mouse and human RBCs. (A) The two Upper tracks show conventional reads (red and purple) and inverted reads (gray) of total RNA from mature RBCs. The Lower tracks correspond to public RNA sequencing data of polyadenylated transcripts from RBC precursor cells (erythroblasts) (11). (B) Northern blots against two mouse stable lariats. In each case, the major band ran slower than expected for a linear molecule, consistent with the circular nature of the intronic RNA. (C) RT-PCR using conventional exonic (yellow) and intronic primers (red). Mouse RBC intronic RNAs can be amplified with the conventional (red) as well as inverted (outward facing) primers (brown), consistent with the RNAs being circular. (D) Nucleotide frequency at the branchpoint for all 374 mouse and 99 human stable lariats.
|
|
Fig 2
Identification of lariat RNAs in five vertebrate species. (A) A typical prominent sisRNA detected in cultured cells of mouse (red), human (purple), chicken (orange), and frog (green) and zebrafish eggs (blue). RNase R was used to eliminate mRNA transcripts (black). Transcript annotation and orientation are shown below the coverage for each gene. (B) Percent of stable circular RNAs as a function of intron length (50-nt bins). Mouse (red), human (purple), chicken (orange), frog (green), and zebrafish (blue) sisRNAs derive from short introns. (C) Nucleotide frequency at the branchpoint of stable lariats. (D) Abundance of “stable” and “unstable” circular intronic RNA relative to their cognate mRNA in untreated cells.
|
|
Fig 3
Single-molecule in situ hybridization of introns. (A) Human ANAPC2 intron 11 in cultured human cells (HeLa). (B) Chicken ECE1 intron 17 in cultured chicken cells (DF1). (C) Mouse Vars intron 25 in cultured mouse cells (3T3). (D) Mouse Vars intron 25 in section of mouse hind brain. Tissues were fixed in 4% paraformaldehyde and hybridized according to the protocol supplied by the probe manufacturer (Advanced Cell Diagnostics).
|
|
Fig 4
SisRNAs in various mouse tissues. (A) A very abundant sisRNA, sisR-Pex6 (red), is detected in fibroblasts, liver, brain, and RBCs. (B) Branchpoint nucleotide frequency of all lariats detected in liver and brain. ânâ represents the number of mapped branchpoints. (C, Upper) Lariats with A, G, and U branchpoints in common with lariats detected in control 3T3 cells and (Lower) lariats with C branchpoint in common with lariats detected in α-amanitinâtreated 3T3 cells.
|
|
Fig 5
Single-molecule in situ hybridization of exon and intron probes from the X. tropicalis uggt-1 gene. Oocytes (200â400 µm diameter) were hybridized and examined as whole mounts. Images are deconvolved stacks extending from the follicle cells (blue nuclei, DAPI stain) surrounding the oocyte into the peripheral cytoplasm of the oocyte. All of the signal is in the oocyte itself. (A) X. tropicalis oocyte hybridized against the uggt-1 exon probe (red). (B) X. tropicalis oocyte hybridized against the uggt-1 intron probe (red). (C) X. tropicalis oocyte hybridized against both the exon probe (green) and the intron probe (red). The two probes give nonoverlapping signals. (D) X. laevis oocyte hybridized with both probes, as in C. Only the green exonic probe gives a positive signal in this species. Oocytes were fixed in 4% paraformaldehyde and hybridized according to the protocol supplied by the probe manufacturer (Stellaris probes from LGC Biosearch Technologies).
|
|
Fig 6
(A) Northern blots against two cytoplasmic and two nuclear X. tropicalis sisRNAs expressed ectopically in X. laevis. Red stars mark circular transcripts. The gray star marks the linearized sisR-faf2, and the black star marks the unprocessed intronic RNA trappc9. (B) RT-PCR against sisR-faf2 on cytoplasmic and nuclear fractions. Oocytes were injected with a sisR-faf2 intron construct alone (black) or with GFP DNA (mRNA, green), an shRNA construct (blue), and a tRNA construct (red). All 16 lanes were run on the same gel. After imaging, the lanes were cut (digitally) and rearranged to give the final panel. (C) Upper lanes: increasing amounts of GFP DNA were injected into the nucleus along with the sisR-faf2 intron construct. The amount of cytoplasmic sisR-faf2 decreases as more GFP DNA is injected. Lower lanes: coinjection of nxf1 DNA along with the sisR-faf2 intron construct rescues the cytoplasmic accumulation of sisR-faf2. The samples were run on nonadjacent lanes on one gel. (D) Semiquantitative analysis of the RT-PCR shown in C.
|
|
Fig. 1. Typical sisRNAs found in mouse and human RBCs. (A) The two Upper tracks show conventional reads (red and purple) and inverted reads (gray) of total RNA from mature RBCs. The Lower tracks correspond to public RNA sequencing data of polyadenylated transcripts from RBC precursor cells (erythroblasts) (11). (B) Northern blots against two mouse stable lariats. In each case, the major band ran slower than expected for a linear molecule, consistent with the circular nature of the intronic RNA. (C) RT-PCR using conventional exonic (yellow) and intronic primers (red). Mouse RBC intronic RNAs can be amplified with the conventional (red) as well as inverted (outward facing) primers (brown), consistent with the RNAs being circular. (D) Nucleotide frequency at the branchpoint for all 374 mouse and 99 human stable lariats.
|
|
Fig. 2. Identification of lariat RNAs in five vertebrate species. (A) A typical prominent sisRNA detected in cultured cells of mouse (red), human (purple), chicken (orange), and frog (green) and zebrafish eggs (blue). RNase R was used to eliminate mRNA transcripts (black). Transcript annotation and orientation are shown below the coverage for each gene. (B) Percent of stable circular RNAs as a function of intron length (50-nt bins). Mouse (red), human (purple), chicken (orange), frog (green), and zebrafish (blue) sisRNAs derive from short introns. (C) Nucleotide frequency at the branchpoint of stable lariats. (D) Abundance of “stable” and “unstable” circular intronic RNA relative to their cognate mRNA in untreated cells.
|
|
Fig. 3. Single-molecule in situ hybridization of introns. (A) Human ANAPC2 intron 11 in cultured human cells (HeLa). (B) Chicken ECE1 intron 17 in cultured chicken cells (DF1). (C) Mouse Vars intron 25 in cultured mouse cells (3T3). (D) Mouse Vars intron 25 in section of mouse hind brain. Tissues were fixed in 4% paraformaldehyde and hybridized according to the protocol supplied by the probe manufacturer (Advanced Cell Diagnostics).
|
|
Fig. 4. SisRNAs in various mouse tissues. (A) A very abundant sisRNA, sisR-Pex6 (red), is detected in fibroblasts, liver, brain, and RBCs. (B) Branchpoint nucleotide frequency of all lariats detected in liver and brain. ânâ represents the number of mapped branchpoints. (C, Upper) Lariats with A, G, and U branchpoints in common with lariats detected in control 3T3 cells and (Lower) lariats with C branchpoint in common with lariats detected in α-amanitinâtreated 3T3 cells.
|
|
Fig. 5. Single-molecule in situ hybridization of exon and intron probes from the X. tropicalis uggt-1 gene. Oocytes (200â400 µm diameter) were hybridized and examined as whole mounts. Images are deconvolved stacks extending from the follicle cells (blue nuclei, DAPI stain) surrounding the oocyte into the peripheral cytoplasm of the oocyte. All of the signal is in the oocyte itself. (A) X. tropicalis oocyte hybridized against the uggt-1 exon probe (red). (B) X. tropicalis oocyte hybridized against the uggt-1 intron probe (red). (C) X. tropicalis oocyte hybridized against both the exon probe (green) and the intron probe (red). The two probes give nonoverlapping signals. (D) X. laevis oocyte hybridized with both probes, as in C. Only the green exonic probe gives a positive signal in this species. Oocytes were fixed in 4% paraformaldehyde and hybridized according to the protocol supplied by the probe manufacturer (Stellaris probes from LGC Biosearch Technologies).
|
|
Fig. 6. (A) Northern blots against two cytoplasmic and two nuclear X. tropicalis sisRNAs expressed ectopically in X. laevis. Red stars mark circular transcripts. The gray star marks the linearized sisR-faf2, and the black star marks the unprocessed intronic RNA trappc9. (B) RT-PCR against sisR-faf2 on cytoplasmic and nuclear fractions. Oocytes were injected with a sisR-faf2 intron construct alone (black) or with GFP DNA (mRNA, green), an shRNA construct (blue), and a tRNA construct (red). All 16 lanes were run on the same gel. After imaging, the lanes were cut (digitally) and rearranged to give the final panel. (C) Upper lanes: increasing amounts of GFP DNA were injected into the nucleus along with the sisR-faf2 intron construct. The amount of cytoplasmic sisR-faf2 decreases as more GFP DNA is injected. Lower lanes: coinjection of nxf1 DNA along with the sisR-faf2 intron construct rescues the cytoplasmic accumulation of sisR-faf2. The samples were run on nonadjacent lanes on one gel. (D) Semiquantitative analysis of the RT-PCR shown in C.
|