Click here to close
Hello! We notice that you are using Internet Explorer, which is not supported by Xenbase and may cause the site to display incorrectly.
We suggest using a current version of Chrome,
FireFox, or Safari.
Oxid Med Cell Longev
2015 Jan 01;2015:976848. doi: 10.1155/2015/976848.
Show Gene links
Show Anatomy links
Hydrogen Sulfide Prevents Advanced Glycation End-Products Induced Activation of the Epithelial Sodium Channel.
Wang Q
,
Song B
,
Jiang S
,
Liang C
,
Chen X
,
Shi J
,
Li X
,
Sun Y
,
Wu M
,
Zhao D
,
Zhang ZR
,
Ma HP
.
???displayArticle.abstract???
Advanced glycation end-products (AGEs) are complex and heterogeneous compounds implicated in diabetes. Sodium reabsorption through the epithelial sodium channel (ENaC) at the distalnephron plays an important role in diabetic hypertension. Here, we report that H2S antagonizes AGEs-induced ENaC activation in A6 cells. ENaC open probability (P O ) in A6 cells was significantly increased by exogenous AGEs and that this AGEs-induced ENaC activity was abolished by NaHS (a donor of H2S) and TEMPOL. Incubating A6 cells with the catalase inhibitor 3-aminotriazole (3-AT) mimicked the effects of AGEs on ENaC activity, but did not induce any additive effect. We found that the expression levels of catalase were significantly reduced by AGEs and both AGEs and 3-AT facilitated ROS uptake in A6 cells, which were significantly inhibited by NaHS. The specific PTEN and PI3K inhibitors, BPV(pic) and LY294002, influence ENaC activity in AGEs-pretreated A6 cells. Moreover, after removal of AGEs from AGEs-pretreated A6 cells for 72 hours, ENaC P O remained at a high level, suggesting that an AGEs-related "metabolic memory" may be involved in sodium homeostasis. Our data, for the first time, show that H2S prevents AGEs-induced ENaC activation by targeting the ROS/PI3K/PTEN pathway.
Figure 1. AGEs-induced activation of ENaC is reversed by 0.1 mM NaHS in A6 cells. (a) The representative ENaC single-channel current recorded from A6 cells, respectively, treated with basolateral 200 μg/mL BSA (control; top trace), basolateral 200 μg/mL AGEs, apical 0.1 mM NaHS, and basolateral 200 μg/mL AGEs + apical 0.1 mM NaHS (bottom trace) for 24 h. (b) Summary plot shows that AGEs treatment significantly increased ENaC P
O, which was reversed by H2S treatment (n = 10 for each individual experimental set; ∗∗ indicates P < 0.01 compared to control; ## indicates P < 0.01 compared to AGEs treated cells).
Figure 2. 3-Aminotriazole (3-AT) mimics the effect of AGEs on ENaC P
O. (a) The representative single-channel currents of ENaC recorded under control conditions (basolateral 200 μg/mL BSA for 24 h; top), after apical 20 mM 3-AT treatment for 30 min (middle), or after 24 h AGE treatment followed by treatment with apical 20 mM 3-AT for 30 min (bottom). (b) Summary plots show that ENaC P
O was significantly, respectively, increased after 20 mM 3-AT treatment (n = 10 for control and n = 9 for 3-AT group; ∗∗ indicates P < 0.01 compared to control). Addition of 3-AT to AGEs did not further increase ENaC P
O compared to 3-AT alone (n = 9 for AGEs + 3-AT group; P > 0.05).
Figure 3. H2S ameliorates AGE- or 3-AT-elicited oxidative stress and AGEs reduce catalase expression in A6 cells. (a) The left image shows that there was a residual level of intracellular ROS under control condition; the middle image shows a significant increase in intracellular ROS upon application of basolateral 200âμg/mL AGEs; the right image shows that the AGE-induced increase in intracellular ROS was abolished by 0.1âmMâNaHS treatment. (b) The left image shows that there was a residual level of intracellular ROS under control conditions; the middle image shows a significant increase in intracellular ROS upon application of apical 20âmM 3-AT; the right image shows that the 3-AT-induced increase in intracellular ROS was also abolished by 0.1âmMâNaHS treatment. (c) and (d) Summarized bar graphs show the mean fluorescence intensities under indicated experimental conditions (n = 7 for each experimental condition; ââ indicates P < 0.01 compared to control). (e) and (f) Western blot demonstrating that expression levels of catalase were suppressed by AGEs (n = 6, â represents P < 0.05 compared to control).
Figure 4. TEMPOL abolishes the effects of AGEs and 3-AT on ENaC activity. (a) ROS extraction by 250 μM TEMPOL significantly decreased ENaC P
O (n = 6 paired experiments; ∗ represents P < 0.01). (b) and (c) TEMPOL significantly reduced ENaC activity in cells pretreated with 200 μg/mL AGEs (b) or in the cells pretreated with 20 mM 3-AT (c) (n = 7 paired experiments; ∗ represents P < 0.01).
Figure 5. AGEs activate ENaC via PI3K and PTEN signaling pathways. (a) and (b) ENaC activity in A6 cells treated either with basolateral 200âμg/mL BSA or with basolateral 200âμg/mL AGEs, before and after addition of 30ânM BPV(pic) to the apical bath. (c) and (d) ENaC activity in A6 cells treated as in (a) and (b), before and after addition of 5âμM LY294002 to the apical bath; the data show that a PI3K inhibitor, LY294002, significantly inhibits ENaC activities under control condition and in the presence of AGEs. Four breaks between the traces indicate 20âmin omitted recording periods. Summarized P
O of ENaC before and after application of each reagent were shown on the right. n = 6 paired experiments. â indicates P < 0.01.
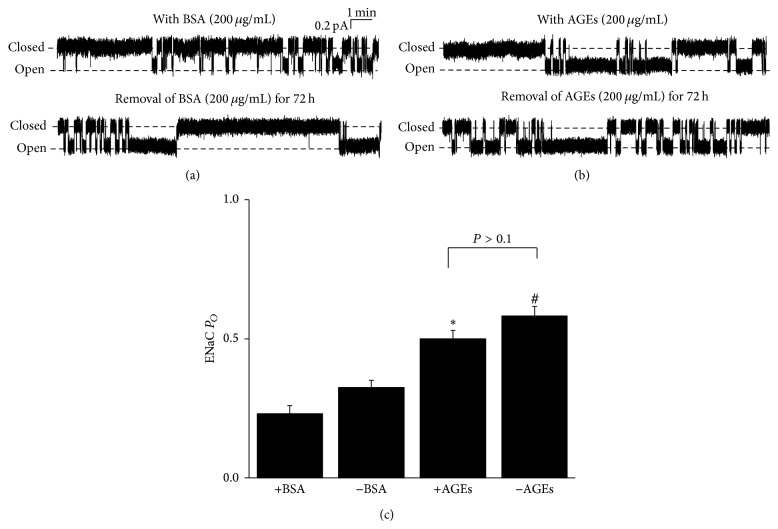
Figure 6. AGEs-induced aberrant activation of ENaC in A6 cells exerts “metabolic memory.” (a) Representative ENaC single-channel currents recorded either from an A6 cell in the presence of basolateral 200 μg/mL BSA or from an A6 cell after removal of 200 μg/mL BSA for 72 h. (b) Representative ENaC single-channel currents recorded either from an A6 cell in the presence of basolateral 200 μg/mL AGEs from an A6 cell after removal of 200 μg/mL AGEs for 72 h. (c) Summarized bar graph shows that basolateral AGEs significantly increased ENaC P
O and the ENaC P
O remained at the same levels after removal of AGEs for 72 h (n = 7–10; ∗ and #, resp., indicate P < 0.01).
Auyeung,
Catalase inhibition with 3-amino-1,2,4-triazole does not abolish infarct size reduction in heat-shocked rats.
1995, Pubmed
Auyeung,
Catalase inhibition with 3-amino-1,2,4-triazole does not abolish infarct size reduction in heat-shocked rats.
1995,
Pubmed
Bao,
Ethanol stimulates epithelial sodium channels by elevating reactive oxygen species.
2012,
Pubmed
,
Xenbase
Bian,
Role of hydrogen sulfide in the cardioprotection caused by ischemic preconditioning in the rat heart and cardiac myocytes.
2006,
Pubmed
Chang,
Enhancement of epithelial sodium channel expression in renal cortical collecting ducts cells by advanced glycation end products.
2007,
Pubmed
Chen,
Advanced glycation end-products induce apoptosis involving the signaling pathways of oxidative stress in bovine retinal pericytes.
2006,
Pubmed
Fiorucci,
The third gas: H2S regulates perfusion pressure in both the isolated and perfused normal rat liver and in cirrhosis.
2005,
Pubmed
Gericke,
Regulation of the PTEN phosphatase.
2006,
Pubmed
Hu,
Cardioprotection induced by hydrogen sulfide preconditioning involves activation of ERK and PI3K/Akt pathways.
2008,
Pubmed
Jain,
Low levels of hydrogen sulfide in the blood of diabetes patients and streptozotocin-treated rats causes vascular inflammation?
2010,
Pubmed
Johansen,
Exogenous hydrogen sulfide (H2S) protects against regional myocardial ischemia-reperfusion injury--Evidence for a role of K ATP channels.
2006,
Pubmed
Kim,
Receptor for advanced glycation end products and its ligands: a journey from the complications of diabetes to its pathogenesis.
2005,
Pubmed
Kimura,
Hydrogen sulfide protects neurons from oxidative stress.
2004,
Pubmed
Liu,
Hydrogen sulfide protects SH-SY5Y neuronal cells against d-galactose induced cell injury by suppression of advanced glycation end products formation and oxidative stress.
2013,
Pubmed
Lu,
Hydrogen sulfide protects astrocytes against H(2)O(2)-induced neural injury via enhancing glutamate uptake.
2008,
Pubmed
Ma,
Hydrogen peroxide stimulates the epithelial sodium channel through a phosphatidylinositide 3-kinase-dependent pathway.
2011,
Pubmed
,
Xenbase
Manna,
Hydrogen sulfide and L-cysteine increase phosphatidylinositol 3,4,5-trisphosphate (PIP3) and glucose utilization by inhibiting phosphatase and tensin homolog (PTEN) protein and activating phosphoinositide 3-kinase (PI3K)/serine/threonine protein kinase (AKT)/protein kinase Cζ/λ (PKCζ/λ) in 3T3l1 adipocytes.
2011,
Pubmed
Manna,
Decreased hepatic phosphatidylinositol-3,4,5-triphosphate (PIP3) levels and impaired glucose homeostasis in type 1 and type 2 diabetic rats.
2012,
Pubmed
Nathan,
Intensive diabetes treatment and cardiovascular disease in patients with type 1 diabetes.
2005,
Pubmed
Persson,
Irbesartan treatment reduces biomarkers of inflammatory activity in patients with type 2 diabetes and microalbuminuria: an IRMA 2 substudy.
2006,
Pubmed
Pochynyuk,
Binding and direct activation of the epithelial Na+ channel (ENaC) by phosphatidylinositides.
2007,
Pubmed
Pochynyuk,
Regulation of the epithelial Na+ channel (ENaC) by phosphatidylinositides.
2006,
Pubmed
Portero-Otín,
Advanced glycation end product precursors impair epidermal growth factor receptor signaling.
2002,
Pubmed
Schleicher,
Increased accumulation of the glycoxidation product N(epsilon)-(carboxymethyl)lysine in human tissues in diabetes and aging.
1997,
Pubmed
Shatalin,
H2S: a universal defense against antibiotics in bacteria.
2011,
Pubmed
Sowers,
Diabetes, hypertension, and cardiovascular disease: an update.
2001,
Pubmed
Tang,
Effect of hydrogen sulphide on beta-amyloid-induced damage in PC12 cells.
2008,
Pubmed
Taylor,
NADPH oxidase in the renal medulla causes oxidative stress and contributes to salt-sensitive hypertension in Dahl S rats.
2006,
Pubmed
Tripatara,
Characterisation of cystathionine gamma-lyase/hydrogen sulphide pathway in ischaemia/reperfusion injury of the mouse kidney: an in vivo study.
2009,
Pubmed
Vahlquist,
The concentrations of retinol-binding protein, prealbumin, and transferrin in the sera of newly delivered mothers and children of various ages.
1975,
Pubmed
Wang,
Cyclosporine stimulates the renal epithelial sodium channel by elevating cholesterol.
2009,
Pubmed
,
Xenbase
Warnock,
The epithelial sodium channel in hypertension.
1999,
Pubmed
Whiteman,
The novel neuromodulator hydrogen sulfide: an endogenous peroxynitrite 'scavenger'?
2004,
Pubmed
Xu,
Ischemia-reperfusion reduces cystathionine-beta-synthase-mediated hydrogen sulfide generation in the kidney.
2009,
Pubmed
Zhang,
Anionic phospholipids differentially regulate the epithelial sodium channel (ENaC) by interacting with alpha, beta, and gamma ENaC subunits.
2010,
Pubmed
Zhang,
Hydrogen sulfide prevents hydrogen peroxide-induced activation of epithelial sodium channel through a PTEN/PI(3,4,5)P3 dependent pathway.
2013,
Pubmed
,
Xenbase