Click here to close
Hello! We notice that you are using Internet Explorer, which is not supported by Xenbase and may cause the site to display incorrectly.
We suggest using a current version of Chrome,
FireFox, or Safari.
Lee H
,
Cheong SM
,
Han W
,
Koo Y
,
Jo SB
,
Cho GS
,
Yang JS
,
Kim S
,
Han JK
.
???displayArticle.abstract??? Dishevelled (Dvl/Dsh) is a key scaffold protein that propagates Wnt signaling essential for embryogenesis and homeostasis. However, whether the antagonism of Wnt signaling that is necessary for vertebrate head formation can be achieved through regulation of Dsh protein stability is unclear. Here, we show that membrane-associated RING-CH2 (March2), a RING-type E3 ubiquitin ligase, antagonizes Wnt signaling by regulating the turnover of Dsh protein via ubiquitin-mediated lysosomal degradation in the prospective head region of Xenopus We further found that March2 acquires regional and functional specificities for head formation from the Dsh-interacting protein Dapper1 (Dpr1). Dpr1 stabilizes the interaction between March2 and Dsh in order to mediate ubiquitylation and the subsequent degradation of Dsh protein only in the dorso-animal region of Xenopus embryo. These results suggest that March2 restricts cytosolic pools of Dsh protein and reduces the need for Wnt signaling in precise vertebrate head development.
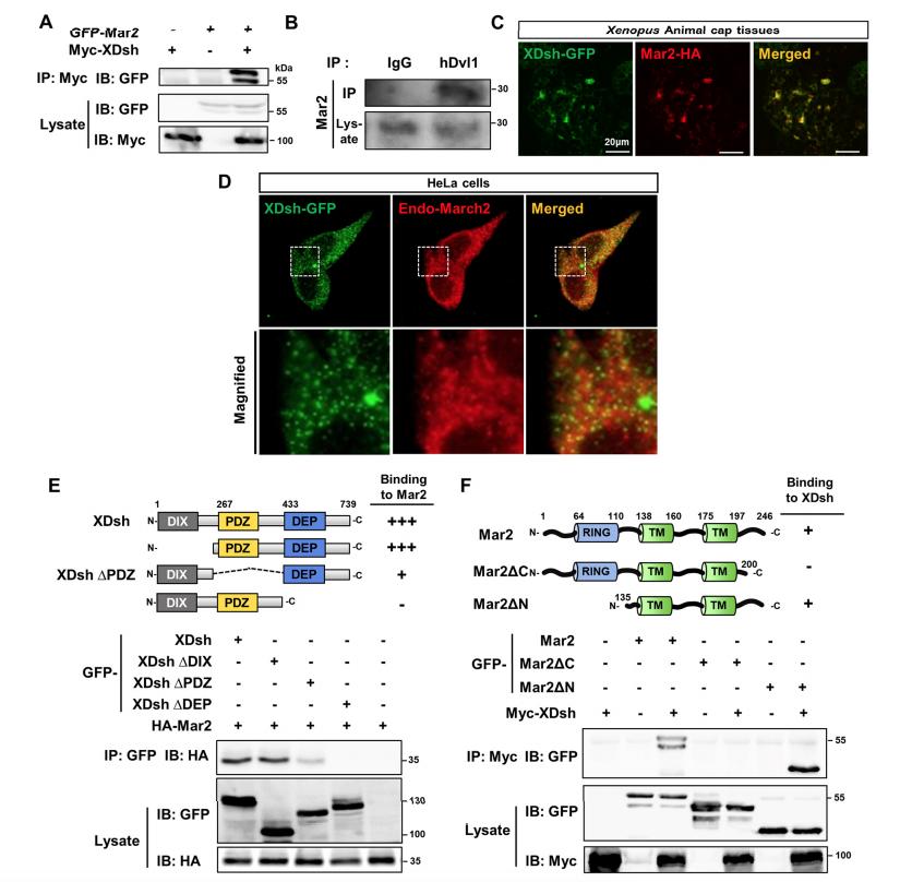
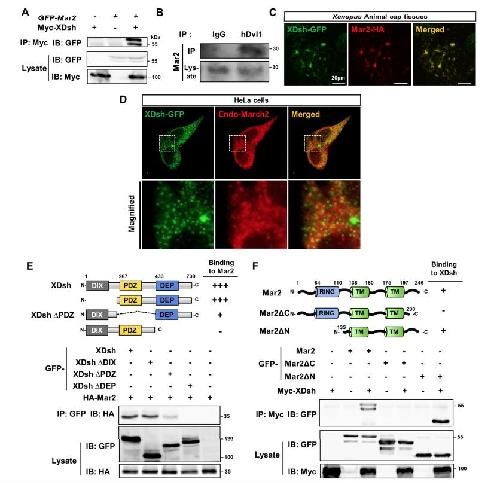
Fig. 1. Xenopus March2 interacts with Dsh. (A) Co-immunoprecipitation analysis with GFP-March2 and Myc-XDsh in HEK293FT cells. (B) Interaction of endogenous human Dvl1 with March2 in HEK293FT cells. Immunoprecipitation with anti-IgG antibody used as a negative control. (C) Xenopus animal caps injected with GFP-XDsh (500 pg) and HA-Mar2 (250 pg) mRNAs were immunostained and analyzed by confocal microscopy. (D) HeLa cells transfected with GFP-XDsh were stained with anti-GFP and anti-March2 antibody and analyzed by confocal microscopy. (E) Schematics of the various XDsh deletion mutants (top) used for co-immunoprecipitation analysis (bottom). Note that the PDZ and DEP domains of Dsh are required for the March2 interaction in HEK293FT cells. (F) Schematics of full-length March2, C-terminus-deleted and N-terminus-deleted mutant forms (top) and co-immunoprecipitation results (bottom) showing that the C-terminal region of March2 is important for the interaction with Dsh.
Fig. 2. Xenopus March2 induces the ubiquitylation-mediated degradation of Dsh. (A) March2 decreases Dsh protein in Xenopus. HA-Mar2 mRNA (250 pg, 500 pg, 1 ng) along with 200 pg of GFP-XDsh mRNA were injected and analyzed by western blotting at stage 10.5. (B) Mar2MO stabilizes Dsh protein. Mar2MO (40, 80 ng) was injected with 150 pg of GFP-XDsh mRNA. Co-injection of 250, 500 pg and 1 ng of March2 mRNA along with 80 ng of Mar2MO gradually reduced Dsh levels again. (C) DEP and PDZ domains of Dsh are required for March2 mediated Dsh degradation. All forms of GFPXDsh mRNA, 250 pg; HA-Mar2 mRNA, 1 ng. (D) March2CS cannot degrade Dsh. The amounts of mRNAs: Myc-XDsh, 250 pg; HAMar2 WT and CS, 500 pg and 1 ng, respectively. (E,F) In vivo ubiquitylation assays in Xenopus. Dsh protein was pulled down and poly-ubiquitylated Dsh protein was detected. The amounts of injected mRNAs: Flag-Ub, 2 ng; Myc-XDsh, 2 ng; GFP-Mar2 WT and CS, 1 ng; Mar2MO, 40 ng.
Fig. 3. March2 mediates Dsh for the lysosomal degradation pathway. (A,B) In vivo ubiquitylation assays in Xenopus. XDsh was pulled down with anti-Myc antibody and its ubiquitylation was detected by anti-Flag antibody. Poly-ubiquitylated Dsh protein was increased by March2 with bafilomycin A1 (A) or leupeptin (B) treatment. (C) Confocal images of Xenopus tissues showing the subcellular localization of March2 protein. Animal caps injected with Myc-Mar2 mRNA (200 pg) were immunostained with anti-EEA1 or Rab7 antibodies and analyzed. White arrows indicate colocalized puncta of March2 with Rab7. (D) Confocal images of HeLa cells showing colocalization of March2 and Dpr1 in Lamp1-positive puncta (white arrows).
Fig. 4. March2 antagonizes canonical Wnt signaling in Xenopus. (A) Mar2MO (40 ng) increases TOPFlash activity in Xenopus. Error bars represent s.d. of triplicate experiments. P=0.0022. (B) Mar2MO mediates activation of β-catenin (ABC) and phosphorylation of LRP6. Four-cell stage embryos were dorsally injected with CoMO or Mar2MO (40 ng) and analyzed at stage 10.5. Actin and total LRP6: loading controls. (C) GFP-Mar2 mRNA (1 ng) expression but not GFPMar2CS mRNA (1 ng) decreases Wnt8 mRNA (20 pg)-mediated activation of β-catenin and phosphorylation of LRP6 in Xenopus. (D) Mar2 mRNA (1 ng) expression decreases TOPFlash activity induced by Dsh (2 ng) but not by β-catenin (200 pg). Error bars represent s.d. of triplicate experiments. (E) Mar2MO increases the severity of the Wnt8-induced ectopic axis. Wnt8 mRNA (1 pg) was injected with or without Mar2MO (50 ng) at the ventral side of the four-cell stage embryos and phenotypes were analyzed at the tadpole stage. âPartialâ indicates axis without head, including eyes and cement glands. âFullâ indicates axis with head. Statistical analysis was carried out on three independent experiments. Statistically significant differences between two sets are indicated. P values were obtained using two-tailed Studentâs t-test (see also Table S3). (F-H) RT-PCR analyses show that March2 inhibited Wnt8 or Dsh-induced Xnr3 expression in Xenopus animal caps (F,G) but did not inhibit β-catenin-induced Xnr3 expression (H). The amounts of injected mRNAs: Wnt8, 20 and 50 pg; XDsh, 1 and 2 ng; βcatenin, 50 and 100 pg; Mar2, 1 ng. (I-K) March2 did not inhibit FGF (I) and BMP (J); Nodal signals (K) mediated induction of Xbra expression. ODC serves as a loading control. -RT, control RT-PCR without reverse transcriptase; WE, whole embryos. Amounts of injected mRNAs: FGF, 50 and 150 pg; BMP, 50 and 200 pg; Xnr1, 100 and 200 pg; Mar2, 1 ng.
Fig. 5. March2 is required for anteriorhead formation in Xenopus. (A) Dorso-animal injection of Mar2MO (40 ng) at the eight-cell stage results in defects in anteriorhead formation; these defects were rescued by co-expression of a MO-resistant form of Xenopus March2 mRNA (500 pg). (B) Quantification of A. (C) In situ hybridization analysis showing that Mar2MO (40 ng) suppresses expression of Chd at stage 12, and Gsc and Otx2 at stage 11.5. Co-expression of March2 mRNA (500 pg) rescues the reduction of expression of these genes (see Fig. S5A). (D) Mar2MO suppresses expression of BF1, Otx2, En2 and Krox20 at stage 17. CoMO (40 ng) or Mar2MO (40 ng) along with β-galactosidase mRNA (100 pg) as a lineage tracer were injected into one dorso-animal blastomere of eight-cell stage embryos. The right side of the embryos shown have been injected with indicated reagents (see Fig. S5B). (E,F) March2 regulates head formation through Dsh. Two dorsoanimal blastomeres of eight-cell stage embryos were injected with indicated reagents, and phenotypes were analyzed at tadpole stages. (E) Mar2MO (20 ng) along with Dsh mRNA (250 pg) synergistically induced head defects. (F) Head defects caused by Mar2MO (60 ng) were partially rescued by DshMO (40 ng). Statistical analysis was performed on three independent experiments. P values were obtained using two-tailed Studentâs t-test. For the number of embryos in each quantification, see Table S3.
Fig. 6. March2 interacts with Dapper1 for Dsh degradation. (A) Dpr1MO impairs the March2-mediated decrease of Dsh protein. Four-cell stage embryos were dorso-animally injected with the indicated reagents and analyzed at stage 12. Amounts of injected mRNAs and MOs: GFP-XDsh, 200 pg; HA-Mar2, 1 ng; CoMO, 40 ng; Dpr1MO, 20 (+) and 40 ng (++); Dpr1, 1 (+) and 2 ng (++). (B) Mar2MO inhibits the Dpr1-mediated decrease in Dsh. Amounts of injected mRNAs and MOs: GFP-XDsh, 200 pg; Mar2, 1 ng; CoMO and Mar2MO, 40 ng; Dpr1, 2 ng. (C) The dominant-negative (DN) form of Dpr1 inhibits the March2-mediated decrease of Dsh. Amounts of injected mRNAs: GFP-Dsh, 200 pg; Mar2, 1 ng; DN Dpr1, 2 ng. (D) In vivo ubiquitylation assays showing that Dpr1MO (40 ng) reduces Mar2-mediated poly-ubiquitylation of Dsh. (E) Co-immunoprecipitation analysis showing that March2 binds Dpr1 in HEK293 T cells. (F-J) Dsh, Dpr1 and March2 are colocalized in Xenopus. Animal caps injected with GFP-XDsh (250 pg), Myc-Dpr1 (250 pg) and HA-Mar2 (250 pg) mRNAs were analyzed. White arrows (J) indicate Dsh-Dpr1-Mar2 colocalized puncta. (K) Co-immunoprecipitation analysis in Xenopus embryos showing Dpr1MO weakens the binding affinity between Mar2 and Dsh. Amounts of injected mRNAs and MOs: GFP-XDsh, 1 ng; HA-Mar2,1 ng; CoMO and Dpr1MO, 40 ng.
Fig. 7. March2 antagonizes canonical Wnt signaling in concert with Dapper1 for head formation. (A) Dpr1MO impairs the March2-mediated decrease of activated β-catenin and phosphorylated LRP6 levels. Amounts of injected mRNAs and MOs: Wnt8, 20 pg; March2, 1 ng; CoMO, 40 ng; Dpr1MO, 20 and 40 ng, respectively; Dpr1, 1 ng. (B) DN Dpr1 mRNA (2 ng) impedes the March2 mRNA (1 ng)-mediated decrease of activated β-catenin. (C) Rescuing ability of March2 mRNA (1 ng) for the Wnt8 DNA (40 pg)-mediated head defect was impeded by Dpr1MO (40 ng). âSevereâ denotes eyeless, malformation of cement glands and loss of anteriorhead structures. âMildâ denotes small sizes of eyes and head. Statistical analysis was carried out on three independent experiments. P values were obtained using two-tailed Studentâs t-test (see also Table S3). (D) Malfunction of endogenous March2 by moderate doses of Mar2MO (20 ng) and Dpr1MO (20 ng) induced head defects (see also Table S3). (E) Model for March2-mediated Dsh degradation in Xenopus. Upon Wnt stimulation, Dsh relays signal for downstream gene transcription. To maintain the Wnt-off state, reduction of the cytosolic pool of Dsh is required. For this purpose, March2 binds and ubiquitylates Dsh in concert with Dpr1 for lysosomal degradation.