|
Figure 1. Spinal cord cells from regenerative larvae form rosette-like structures after transplantation into non-regenerative froglets. (A) Diagram of a heterochronic transplantation experiment using the transgenic line Xla.Tg(CAG:Venus)Ueno as donor. (BâD) Sagittal sections of spinal cords from Nieuwkoop and Faber (NF) stage 66 froglets at 20 days post transplantation (dpt) stained with (B) α-GFP antibodies (green), (C) Hoechst (blue), (D) α-Sox2 antibodies and (E) a merge panel. Arrowheads point to rosette-like structures formed by donor cells. Rostral is left and caudal is right. The graft is demarcated with a white dotted line. Similar results were obtained in 10â12 independent experiments. Scale bar 200 μm.
|
|
Figure 2. Transplantation of spinal cord cells from non-regenerative froglets. (A) Diagram of a homochronic transplantation experiment using the transgenic line Xla.Tg(CAG:Venus)Ueno as donor. (B,C) Sagittal sections of spinal cords from NF stage 66 animals at 20 dpt stained with (B) α-GFP antibodies (green) and (C) Hoechst (blue). The graft is demarcated with a white dotted line. Scale bar 200 μm.
|
|
Figure 3. Sox2/3+ cells from regenerative stage (R-stage) spinal cords form neural tube-like structures when transplanted into non-regenerative stage (NR-stage) froglets. (A–F) Longitudinal sections of spinal cords from NF stage 66 froglets stained with α-Sox2 antibodies (green) and Hoechst (red) at (A–D) 20 dpt and (D–F) 40 dpt. Panels (B,C,E,F) are magnifications of the boxed areas in panels (A,D), respectively. The white dotted line indicated the grafted cells. (G) Longitudinal section of the spinal cord from R-stage animals at 6 days post injury (dpi) stained with α-Sox2 antibodies (green) and Hoechst (red). Arrowhead indicates the formation of a neural tube-like structure in the injury site. Rostral is left and caudal is right. (H) Quantification of the area covered with neural tube-like structures at different days after transplantation. Error bars are standard deviations; n = 3 per day; one-way analysis of variance (ANOVA) test analysis showed significant differences between 20 dpt and 60 dpt. *p < 0.05. Scale bar 200 μm and 50 μm.
|
|
Figure 4. Mature neurons are present in the graft. (A–D) Longitudinal sections of the spinal cord of NR-stage froglets that received cells from R-stage animals and were stained for (A,C) NeuN or (B,D) Neurofilament-Heavy chain (NF-H) at (A,B) 20, (C,D) and 40 dpt. Inset in panel (C) showed nuclear localization of NeuN. Arrows indicate axon staining. The white dotted line indicates the transplantation site. Rostral is left and caudal right. Scale bar 200 μm and 50 μm for inset in panel (C).
|
|
Figure 5. Donor cells differentiate into neurons after transplantation. (A) Diagram of a heterochronic transplantation experiment using the transgenic line Xla.Tg(tubb2b:GFP)NXR as donor. (B–G) Longitudinal sections of the spinal cord of NR-stage froglets that received cells from R-stage animals and were stained for GFP, NeuN, Sox2 and Hoechst. Inset in panel (D) showed co-localization of GFP and NeuN, scale bar 50 μm. Arrowheads indicate GFP negative regions expressing Sox2/3. The white dotted line indicated the transplantation site. Rostral is left and caudal right. Similar results were obtained in two independent experiments. Scale bar 200 μm.
|
|
Figure 6. Axons from the transplanted cells growth into the host spinal cord. (A–I) Sagittal sections of host spinal cords that received cells from R-stage animals and were stained with immunohistochemistry against the Venus protein at 1, 10, 20 and 30 dpt. Panels (B,D,F,H) are magnifications of the boxed areas depicted in panels (A,C,E,G), respectively. Axons extend 650 ± 350 μm into the caudal region of the host spinal cord. (I–K) Sagittal sections showing the GFP signal in the host spinal cord 30 dpt. Arrowheads in panel (K) indicate possible varicosities present in axons growing into the host animal. Axons extend 800 ± 100 μm into the rostral region of the host spinal cord. Rostral is left and caudal right. Similar results were obtained in 2–6 independent experiments Scale bar 200 μm and 50 μm.
|
|
Figure 7. Transplanted cells from R-stages provide a permissive substrate that promotes axon growth. (A) Diagram of the transplantation procedure. (B–J) Longitudinal sections of transplanted NR-stage froglets were stained with α-GFP antibodies at 20 and 40 dpt. Arrowheads indicate GFP+ axons growing up to 200 ± 50 μm into the transplantation site. Rostral is left and caudal is right. Similar results were obtained in three independent experiments. Scale bar 200 μm and 50 μm.
|
|
Figure 8. Transplanted cells from R-stages promote axon regeneration. (A) Drawing of the central nervous system (CNS) from NR-stage froglets showing the approximate site of biotinylated dextran amine (BDA) injection. (B,C) Transverse sections of animals injected on one side of the brainstem in a region that is (B) near or (C) 3 mm caudally to the injection site. (D–F) Longitudinal sections of transplanted NR-stage froglets, that received BDA injections as indicated in panel (A) and were stained for BDA (white) or nuclei (blue). Panel (E) is a magnification of the area depicted in panel (D) and panel (F) a magnification of the boxed area from panel (E). Rostral is left and caudal is right. Scale bar 200 μm and 50 μm. (G) Quantification of regenerated axons across the transplant (n = 3). Error bars are standard deviations.
|
|
Figure Suppl. 1. Western Blot against NeuN. Western blot analysis of neuronal marker NeuN in spinal cord samples of 3 independent experiments. alpha-tubulin was used as a loading control.
|
|
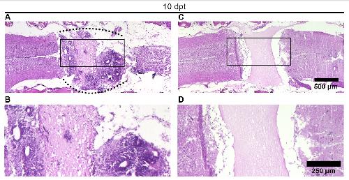
Figure Suppl. 2. Histological analysis of a heterochronic transplant and a control experiment in early stages. Hematoxylin and Eosin stain in longitudinal sections of heterochronic transplanted animals at 10dpt (A, B) or control animals that only received the matrix and growth factors cocktail but no cells at 10dpt ( C, D).
|
|
Figure Suppl. 3. Histological analysis of a heterochronic transplant and a control experiment in later stages. Hematoxylin and Eosin staining in longitudinal sections of heterochronic transplanted animals at 40 dpt (A, B) or control animals that only received the matrix and growth factors but no cells at 40 dpt (C, D).
|
|
Figure Suppl. 4. Transgenic line Xla.Tg(CAG:Venus) Ueno.
Thoracic region of the spinal cord stained for GFP (green), Sox2 (red) and Hoechst (blue). Rostral is up and caudal is down. Scale bar=100um
|