Click here to close
Hello! We notice that you are using Internet Explorer, which is not supported by Xenbase and may cause the site to display incorrectly.
We suggest using a current version of Chrome,
FireFox, or Safari.
Cell Biosci
2017 Dec 13;7:70. doi: 10.1186/s13578-017-0199-6.
Show Gene links
Show Anatomy links
Heart regeneration in adult Xenopus tropicalis after apical resection.
Liao S
,
Dong W
,
Lv L
,
Guo H
,
Yang J
,
Zhao H
,
Huang R
,
Yuan Z
,
Chen Y
,
Feng S
,
Zheng X
,
Huang J
,
Huang W
,
Qi X
,
Cai D
.
???displayArticle.abstract???
Background: Myocardium regeneration in adult mammals is very limited, but has enormous therapeutic potentials. However, we are far from complete understanding the cellular and molecular mechanisms by which hearttissue can regenerate. The full functional ability of amphibians to regenerate makes them powerful animal models for elucidating how damaged mature organs are naturally reconstituted in an adult organism. Like other amphibians, such as newts and axolotls, adult Xenopus displays high regenerative capacity such as retina. So far, whether the adult frog heart processes regenerative capacity after injury has not been well delineated.
Results: We examined the regeneration of adult cardiac tissues of Xenopus tropicalis after resection of heart apex. We showed, for the first time, that the adult X. tropicalis heart can regenerate perfectly in a nearly scar-free manner approximately 30 days after injury via apical resection. We observed that the injured heart was sealed through coagulation immediately after resection, which was followed by transient fibrous tissue production. Finally, the amputated area was regenerated by cardiomyocytes. During the regeneration process, the cardiomyocytes in the border area of the myocardium adjacent to the wound exhibited high proliferation after injury, thus contribute the newly formed hearttissue.
Conclusions: Establishing a cardiac regeneration model in adult X. tropicalis provides a powerful tool for recapitulating a perfect regeneration phenomenon and elucidating the underlying molecular mechanisms of cardiac regeneration in an adult heart, and findings from this model may be applicable in mammals.
Fig. 1. Apical resection of the X. tropicalis heart and rapid blood coagulation after resection. a The heart was exposed for apical resection. The dash line shows the resection plane, corresponding to approximately 10% of the ventricle. b The heart immediate after surgical amputation. c Bleeding after ventricle amputation. d Rapid blood coagulation in the amputated heart after approximately 5 s of pressure with sterile cotton. e Outer surface of the amputated apex. The asterisk indicates the end of the apex on the outer surface. f Inner surface of the amputated apex. The circle with the dotted line indicates the bottom of the ventricle. g Lateral view of the amputated apex. The arrow indicates the bottom of the apex on the outer surface
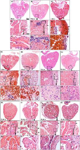
Fig. 3. Adult X. tropicalis heart has capacity for regeneration after resection. A1 Longitudinal section of an adult heart from the non-amputated sham control. Bar = 400 μm. A2 High magnification of the region outlined by rectangle in A1. Bar = 100 μm. A3 High magnification of the rectangle region in A2. Bar = 20 μm. B1âB3 An amputated heart at 0 daar (approximately 30 min after amputation), showing activated inflammation and hyperemia at the border of the injury. C1âC3 An amputated heart at 1 daar, showing a membrane-like structure (arrow) close to the outer surface of the scar tissue which exhibited with inflammatory cell infiltration, and red blood cells accumulation below the membrane-like structure. C2â² High power of the membrane-like structure which is consisted of cellular or some extracellular matrix. D1âD3 An amputated heart at 2 daar, showing more inflammatory cells in the regenerated area compared with 1 daar. E1âE3 An amputated heart at 4 daar, showing an increase of inflammatory cells and a decrease of red blood cells in the regenerated area compared with 2 daar. F1âF3 An amputated heart at 8 daar, showing the disappearance of most infiltrated red blood cells and a significant decrease of the inflammatory cell intensity in the regenerated area. g1âg3 Most of the fibrous tissue production was replaced with newly regenerated cardiomyocytes and some of the newly regenerated cardiac myocytes are matured, as indicated by a more regular cardiac-specific cross-striated morphology at 16 daar (G3â²). H1âH3, I1âI3 An amputated heart regenerated with a perfect morphology and nearly perfect morphology at 30 daar. The amputated area was regenerated with mature cardiomyocytes. In addition, the regenerated myocardium has an intact epicardium (arrow). J1âJ3, K1âK3 An amputated heart regenerated with a perfect morphology and nearly perfect morphology at 60 daar. The amputated area was regenerated with mature cardiomyocytes. An intact epicardial structure (arrow) in the regenerated myocardium. R regenerated area, B border area. White star: showing red blood cells; White arrows: showing inflammation cells. Six frogs were inspected for 30 and 60 daar, while three frogs were inspected for other time points respectively
Fig. 5. α-SA/PH3 positive cells exist in the border area of the amputated site and regenerated area. a1 Longitudinal section of the apical area from a sham control. High magnification of the square region is shown (a2). Longitudinal sections of an amputated heart at 0 daar (b1, b2), 1 daar (c1, c2), 2 daar (d1, d2), 4 daar (e1, e2), 8 daar (f1, f2), 16 daar (g1, g2), 30 daar (h1, h2; perfect regeneration), 30 daar (i1, i2; nearly perfect regeneration), and 60 daar (j1; perfect regeneration). The amputated apex was regenerated by newly cardiomyocytes within approximately 30 days after amputation, as demonstrated by the presence of many α-SA+ cardiomyocytes in the regenerated zone (area between the red dotted line and white dotted line). In addition, the density of α-SA+/PH3+ cardiac myocytes in the border area of the regenerated zone at 2â8 daar and in the regenerated zone at 16â30 daar is significantly higher than those in the sham control and in 0â2 daar groups, suggesting that the proliferation of endogenous cardiomyocytes in the border area of the amputated site might be an important mechanism for regeneration of the damaged myocardium. α-SA alpha skeletal muscle actin, PH3 phospho-histone H3, DAPI 4â²,6-diamidino-2-phenylindole. White arrow: PH3+ nucleus. White dotted line, outer surface of the epicardium. Area between the red dotted line and white dotted line, regenerated area after amputation. 30-daar-n: amputated heart with nearly perfect regeneration at 30 daar. Bar in a1âj1 = 50 μm. Bar in a2âj2 = 10 μm. Six frogs were inspected for 30 and 60 daar, while three frogs were inspected for other time points respectively
Fig. 7. The regeneration of the injured adult X. tropicalis heart is nearly scar-free manner. a1 Longitudinal section of an adult heart from a sham control. Bar = 400 μm (scale bar for a1âk1). a2 High magnification of the rectangle with a dotted line from a1. Bar = 100 μm (scale bar for A2âK2). A3 High magnification of rectangle with the dotted line from A2. Bar = 20 μm (scale bar for a3âk3). Longitudinal sections from amputated heart at 0 daar (B1âB3), 1 daar (C1âC3), 2 daar (D1âD3), 4 daar (E1âE3), 8 daar (F1âF3), 16 daar (G1âG3), 30 daar (H1âH3; an amputated heart regenerated with a perfect morphology), 30 daar (i1âi3; an amputated heart regenerated with a nearly perfect morphology), 60 daar (J1âJ3; an amputated heart regenerated with a perfect morphology) and 60 daar (K1âK3; an amputated heart regenerated with a nearly perfect morphology). Fibrosis-like structures were stained in blue. In the hearts that were regenerated with a nearly perfect morphology, fibrosis-like structures was only observed in adhesion tissue, but not in the regenerated myocardium between 30 and 60 daar. B border area. R regenerated area. Six frogs were inspected for 30 and 60 daar, while three frogs were inspected for other time points respectively
Fig. 8. Time course of infiltration of red blood cell and inflammation, and fibrosis during the regeneration of amputated myocardium. a Images represent various degrees of infiltration of red blood cell and inflammation cells, and fibrous tissue production during heart regeneration. b Comparison of time courses for infiltration of red blood cell and inflammation cells, and fibrous tissue production
Ali,
Existing cardiomyocytes generate cardiomyocytes at a low rate after birth in mice.
2014, Pubmed
Ali,
Existing cardiomyocytes generate cardiomyocytes at a low rate after birth in mice.
2014,
Pubmed
Beck,
Beyond early development: Xenopus as an emerging model for the study of regenerative mechanisms.
2009,
Pubmed
,
Xenbase
Bergmann,
Evidence for cardiomyocyte renewal in humans.
2009,
Pubmed
Bergmann,
Dynamics of Cell Generation and Turnover in the Human Heart.
2015,
Pubmed
Eming,
Evolution of immune pathways in regeneration and repair: recent concepts and translational perspectives.
2014,
Pubmed
Gamba,
Cardiac regeneration in model organisms.
2014,
Pubmed
Godwin,
Scar-free wound healing and regeneration in amphibians: immunological influences on regenerative success.
2014,
Pubmed
,
Xenbase
Harland,
Xenopus research: metamorphosed by genetics and genomics.
2011,
Pubmed
,
Xenbase
Hellsten,
The genome of the Western clawed frog Xenopus tropicalis.
2010,
Pubmed
,
Xenbase
Kashiwagi,
Xenopus tropicalis: an ideal experimental animal in amphibia.
2010,
Pubmed
,
Xenbase
Kimura,
Hypoxia fate mapping identifies cycling cardiomyocytes in the adult heart.
2015,
Pubmed
Lee-Liu,
Spinal cord regeneration: lessons for mammals from non-mammalian vertebrates.
2013,
Pubmed
Malliaras,
Cardiomyocyte proliferation and progenitor cell recruitment underlie therapeutic regeneration after myocardial infarction in the adult mouse heart.
2013,
Pubmed
Malliaras,
Innate heart regeneration: endogenous cellular sources and exogenous therapeutic amplification.
2016,
Pubmed
Mescher,
Inflammation and immunity in organ regeneration.
2017,
Pubmed
,
Xenbase
Miyake,
Retinal stem/progenitor cells in the ciliary marginal zone complete retinal regeneration: a study of retinal regeneration in a novel animal model.
2014,
Pubmed
,
Xenbase
Porrello,
A neonatal blueprint for cardiac regeneration.
2014,
Pubmed
Poss,
Heart regeneration in zebrafish.
2002,
Pubmed
Rubin,
Recent advancements in understanding endogenous heart regeneration-insights from adult zebrafish and neonatal mice.
2016,
Pubmed
Rumyantsev,
Post-injury DNA synthesis, mitosis and ultrastructural reorganization of adult frog cardiac myocytes. An electron microscopic-autoradiographic study.
1973,
Pubmed
Showell,
The western clawed frog (Xenopus tropicalis): an emerging vertebrate model for developmental genetics and environmental toxicology.
2009,
Pubmed
,
Xenbase
Slack,
The Xenopus tadpole: a new model for regeneration research.
2008,
Pubmed
,
Xenbase
Thiébaud,
DNA content in the genus Xenopus.
1977,
Pubmed
,
Xenbase
Tsonis,
Regeneration according to Spallanzani.
2009,
Pubmed
Tymowska,
Karyotype analysis of Xenopus tropicalis Gray, Pipidae.
1973,
Pubmed
,
Xenbase
Uygur,
Mechanisms of Cardiac Regeneration.
2016,
Pubmed
Witman,
Recapitulation of developmental cardiogenesis governs the morphological and functional regeneration of adult newt hearts following injury.
2011,
Pubmed
Yoshii,
Neural retinal regeneration in the anuran amphibian Xenopus laevis post-metamorphosis: transdifferentiation of retinal pigmented epithelium regenerates the neural retina.
2007,
Pubmed
,
Xenbase