|
Fig. 1. Maternal Mov10 is required for gastrulation and neural tube formation. A–F: Successive time-lapse images of whole-mount control
embryo undergoing normal gastrulation. G–L: Successive time-lapse images of whole-mount maternal Mov10 knockdown (m-MO) embryo that
fails to complete gastrulation. Dorsal–ventral and anterior–posterior axes are as labeled. White arrowheads in K and L point to yolky debris and
loose cells of the blastopore and dorsal lip. M–P: Dorsal, whole-mount images from Con and m-MO injected embryos. M: dorsal view of stage 21
control embryo. N: Dorsal view of sibling m-MO injected embryo. Note large opening with exposed yolky mass of cells on the dorsal surface. The
loose yolky debris has washed away from this hatched embryo. O: Lateral view of a Con embryo like that shown in M. P: Dorsal view from anterior
end of m-MO injected embryo showing the boat-shaped phenotype. The dotted lines in M and N show the plane of sections for Q and R,
respectively. Q: Section through a stage 21 control embryo showing a single notochord and two rows of somites united along the dorsal midline.
Antibody to Tor70 recognizes notochord cells (in red); Antibody 12/101 recognizes somitic mesoderm (in green); DAPI in blue. R: Section through
a typical m-MO embryo showing failure to complete gastrulation and neurulation. This embryo has two separated files of notochord and somitic
mesoderm. The dorsal side is located toward the top in Q and R. a, anterior; bl, blastopore lip; cg, cement gland; d, dorsal; nt, neural tube; nc,
notochord; nt, neural tube; p, posterior; sm, somite; v, ventral; yc, yolk cells. Scale bar in R equals 120 mm (for A–L), 450 mm (for M,N), 440 mm (for
O,P), and 80 mm (for Q,R).
|
|
Fig. 2. mRNA rescue and MO effects on convergent extension. A:
Partial rescue of m-MO phenotype by introduction of Mov10 mRNA.
Error bars represent SEM, **P<0.01 (Studentâs t-test, two-tailed).
Mov10 mRNA rescued cases that underwent gastrulation also formed
a neural plate, but those cases typically disintegrate a few hours later
so they are unable to complete neurulation and form a neural tube.
B,C: X. laevis stage 10 sagittal sections stained with Hematoxylin and
Eosin. Dorsal (D) and ventral (V) sides are as noted. B: Representative
section of a Con embryo, showing Brachetâs cleft (white arrowheads),
which separates the outer ectoderm from the underlying mesendoderm.
C: Representative section of a sibling m-MO injected embryo,
which lacks a visible delineation between ectodermal and mesendodermal
layers (Brachetâs cleft). Note that cells along the dorsal and ventral
sides of the blastopore and yolk plug, denoted with black arrowheads,
appear to be thicker, having mainly undergone convergent thickening
(compare B to C). D: Whole-mount image of representative stage 13â
14 Con embryo with closed blastopore. E: Representative sibling m-
MO embryo with unclosed blastopore. F: Rescued embryo co-injected
with m-MO and Mov10 mRNA (250 pg) with closed blastopore. GâJ:
Development of stage 10 dorsal (dmz) and ventral marginal zone (vmz)
explants harvested from the region shown in the inset included in G
and I, respectively. G: Control dmz explants eventually form mesoderm
that undergoes convergent extension, as revealed by the formation of
elongated projections. H: dmz explants from m-MO injected embryos
also show signs of convergent extension and elongation. Note, however,
that the pigmented ectoderm does not cover the mesodermal tissue
as completely as seen in control explants (compare with G). I: vmz
explants harvested from stage 10 control embryos do not exhibit signs
of elongation and form spherical embryoids. J: Likewise, m-MO
injected embryos also form spherical embryoids. Note that the pigmented
ectoderm has not covered the surface of these explants. bl, lip
of blastopore; np, neural plate; yp, yolk plug. Scale bar=180 mm in J
(applies in B,C: 250 mm for DâF, 850 mm for GâJ.
|
|
Fig. 3. Mov10 regulates MZT through RISC. A: Schematic of developmental time periods and the HU assay. The MZT spans between stage 1
and stage 10. The MBT lies between stages 8 to 9. EGT occurs between stage 9 to 9.5. HU treatments lasted from the two-cell stage to stage
9.5. At the two-cell stage one of the blastomeres was injected with fluorescein-tagged morpholinos and the embryos were treated with HU until
stage 9.5. BâD: Images of stage 9.5 embryos, where one cell had been injected with morpholino, targeting a positive regulator of MZT (B56e) at
the 20-cell stage. A total of 22 embryos were injected, and 21 of those showed the expected phenotype. Green arrows point to the live progeny
of the injected cell in one of the cases shown. White arrowheads point to the dead progeny of the uninjected cell. EâG: Images of stage 9.5
embryos, where only one cell was injected with m-MO. A total of 22 embryos were injected and all of them showed the expected phenotype. H:
qRT-PCR of cyclin A1 levels in control and m-MO embryos at indicated stages. Error bars represent SEM. NS- Not significant, *P<0.05 (Studentâs
t-test, two-tailed). I: Differential expression results for maternal Mov10 morpholino (m-MO) injected (Mov10) vs. control embryos (C), X-axisaverage
expression value (TMM-normalized Counts Per Million, log2 scale) of each X. laevis gene and y-axis is log2 (Mov10/C). Each point is a
single gene: groups of genes colored red or blue had significantly greater than or less than 1.5 FC difference (unlogged), respectively. Groups of
genes colored pink or light blue also had significantly greater than or less than 10 FC difference (unlogged), respectively. The numbers of genes
listed at the +/- 1.5 FC level include the genes with610 FC. Scale bar in G equals 100 mm for A an 300 mm for BâG. Gene identities and statistical
analysis are in Supplementary Table S2 (accessible through NCBI GEO accession number GSE86382)
|
|
Fig. 4. GO of significantly changed RNAs between mMO injected and control embryos. A: Heat maps of –log10 (P-values) showing the comparison
of all significantly changed (both), up- or down-regulated gene sets from X. laevis for BP category. Due to the larger number of BP terms, only
those with raw P-values<0.0001 in any gene set were included in the heat map. B: Heat maps of –log10 (P-values) showing the comparison of
all (both), up or down gene sets from X. laevis for MF category. GO terms with raw P-values<0.001 in any gene set were included for MF.
|
|
Fig. 5. Knockdown of zygotic Mov10 causes decreases in eye and body size. A: Whole-mount images of Con injected tadpoles at stage 36. A total
of 46 tadpoles were analyzed, all of which exhibited this normal phenotype. B: Whole-mount images of zygotic Mov10 knockdown (z-MO) tadpoles
at stage 36. A total of 48 tadpoles were analyzed and 45 of them showed a small eye phenotype. C,D: Fluorescein images of the tadpoles from A
and B, respectively, showing the distribution of the fluorescein-tagged morpholinos. E: RT-PCR using Mov10 primers for control and z-MO injected
embryo cDNA showing effective splicing blocking and absence of Mov10 splice junction (PCR product expected size is 197 nt,+ reaction included
cDNA, - reactions did not include cDNA). As a positive control, ODC (Ornithine Decarboxylase) was found to be present in both samples (PCR product
expected size is 221 nt). F: Graph showing eye diameter in mm from Con injected and z-MO injected embryos measured at stage 36. A total of
67 tadpoles were analyzed. G: Graph showing overall AP length in mm from control morpholino injected and z-MO injected embryos measured at
stage 36. A total of 67 tadpoles were analyzed. Error bars represent SEM, **P<0.01 (Studentâs t-test, two-tailed). Scale bar = 800 um in D.
|
|
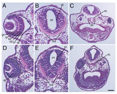
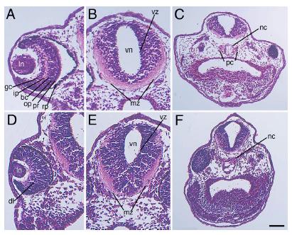
Fig. 6. Knockout of zygotic Mov10 leads to defects in the eye and brain structure. AâC: Hematoxylin and eosin staining of control morpholino
injected embryos, as labeled. A: Representative section of a control eye showing distinct, well-organized layers of the retina in a control embryo,
as labeled. B: Forebrain region displaying a well-developed ventricular zone and marginal zone. Note large mass of axonal fibers within the ventral
marginal zone. C: Lower magnification image showing the notochord and parachordal cartilage. DâF: Hematoxylin and eosin stain of z-MO
injected embryos. D: Section reveals a smaller eye with disorganized retinal layers. E: Section of the brain with a reduced marginal zone area.
Note a reduced mass of axonal fibers within the ventral marginal zone. F: Lower magnification image revealing an enlarged notochord and no distinguishable
parachordal cartilage. Dorsal is located toward the top of these images. bc, bipolar cell layer; dl, disorganized layers; gc, ganglion
cell layer; ip, inner plexiform layer; mz, marginal zone; nc, notochord; op, outer plexiform layer; pc, parachordal cartilage; pr, photoreceptor; rp,
retinal pigment epithelium; vz, ventricular zone. Scale bar in F equals 100 um (for A,B and D,E), and 170 um (for C)
|
|
Fig. 7. Knockout of zygotic Mov10 shows abnormal staining of neuronal
precursors in the ventricular zone. A: A stage 36 tadpole showing
the plane of sectioning for B through P. B: Representative fluorescence
image of control embryo shows the forebrain region with Sox3 positive
precursors (in red) surrounding the lumen of the ventricle. Note the
expanded dorsal Sox3 labeling in the ventricular zone, denoted by
white arrowheads. C: DAPI staining (in blue) of the same section shown
in B. D: Merged images from B and C. EâG: Representative fluorescence
images from a similar region, as shown in B, from representative
z-MO injected tadpoles. E: Sox3 positive neuronal precursor cells are
located in the ventricular zone. F: DAPI staining of the same section
shown in E. G: Merged images from E and F. Notice the enhanced
overall staining of Sox3, including in the more ventral regions of the
ventricular zone, denoted by white arrowheads (compare with the control
embryo shown in B). HâJ: More posterior section from the forebrain
region of a z-MO injected tadpole. H: Sox3 neuronal precursors. Note
the expanded ventral labeling denoted by arrowheads. I: Corresponding
DAPI staining for H. J: Merge of Sox3 and DAPI stains. KâM: MyT1
staining for differentiated neurons in a control embryo. K: MyT1 positive
differentiated neurons. Note expanded dorsal area devoid of MyT1
expression within the ventricular zone (denoted by white arrowheads).
L: DAPI staining of the same section shown in K. M: Merged images
from K and L. NâP: Representative sections from a z-MO injected tadpoles.
N: Wide distribution of MyT1 positive differentiated neurons.
Note uniform MyT1 staining in the dorsal ventricular zone (compare
with K). O: DAPI staining of the same section shown in N. P: Merged
images from N and O. fp, floor plate; mz, marginal zone; rp, roof plate;
vn, ventricle. Scale bar = 40 mm in P.
|