Click here to close
Hello! We notice that you are using Internet Explorer, which is not supported by Xenbase and may cause the site to display incorrectly.
We suggest using a current version of Chrome,
FireFox, or Safari.
Sci Rep
2017 Dec 12;71:17438. doi: 10.1038/s41598-017-17693-4.
Show Gene links
Show Anatomy links
The Human DNA glycosylases NEIL1 and NEIL3 Excise Psoralen-Induced DNA-DNA Cross-Links in a Four-Stranded DNA Structure.
Martin PR
,
Couvé S
,
Zutterling C
,
Albelazi MS
,
Groisman R
,
Matkarimov BT
,
Parsons JL
,
Elder RH
,
Saparbaev MK
.
???displayArticle.abstract???
Interstrand cross-links (ICLs) are highly cytotoxic DNA lesions that block DNA replication and transcription by preventing strand separation. Previously, we demonstrated that the bacterial and human DNA glycosylases Nei and NEIL1 excise unhooked psoralen-derived ICLs in three-stranded DNA via hydrolysis of the glycosidic bond between the crosslinked base and deoxyribose sugar. Furthermore, NEIL3 from Xenopus laevis has been shown to cleave psoralen- and abasic site-induced ICLs in Xenopus egg extracts. Here we report that human NEIL3 cleaves psoralen-induced DNA-DNA cross-links in three-stranded and four-stranded DNA substrates to generate unhooked DNA fragments containing either an abasic site or a psoralen-thymine monoadduct. Furthermore, while Nei and NEIL1 also cleave a psoralen-induced four-stranded DNA substrate to generate two unhooked DNA duplexes with a nick, NEIL3 targets both DNA strands in the ICL without generating single-strand breaks. The DNA substrate specificities of these Nei-like enzymes imply the occurrence of long uninterrupted three- and four-stranded crosslinked DNA-DNA structures that may originate in vivo from DNA replication fork bypass of an ICL. In conclusion, the Nei-like DNA glycosylases unhook psoralen-derived ICLs in various DNA structures via a genuine repair mechanism in which complex DNA lesions can be removed without generation of highly toxic double-strand breaks.
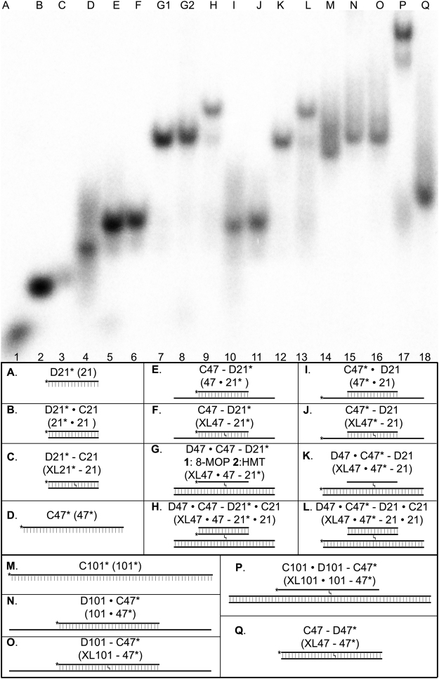
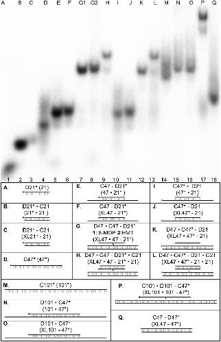
Figure 1. Non denaturing PAGE analysis of the DNA structures containing single ICL used in DNA glycosylase activity assays. 5′-[32P]-labelled oligonucleotide strands are denoted by “*”, the presence of a crosslink is denoted by “-” and normal oligonucleotide base complementation is indicated by “∙”.
Figure 2. Action of Nei-like DNA glycosylases upon three-stranded DNA structure containing single HMT-derived ICL. (A) Denaturing PAGE analysis of the reaction products. 10ânM 5â²-[32P]-labelled XL47â47-21* was incubated for 1 hr at 37â°C either with the 500ânM NEIL3Cat, NEIL3Trun, NEIL3FL or with 50ânM NEIL1 proteins. Lanes 1â7, no piperidine treatment; lane 1, control non-treated XL47â47-21*; lanes 2â4, as 1 but with NEIL3s; lane 5, NEIL1; lane 6, 21 mer duplex containing MA; lane 7, as 6 but Nei; lanes 8â11, as 1â4 but treated with light piperidine; lane 12, 21 mer D21; lanes 13â15, 21 mer UâA duplex treated with UDG/hot piperidine, UDG/Nfo and UDG/light piperidine, respectively. Substrate and cleavage products sizes are indicated to the right of the gel. âXâdenotes substrate, â21-MAâ denotes 21 mer fragment containing psoralen-derived MA, â21-merâ denotes size marker, â8âPAâ, â8OHâ and â8Pâ denote 8 mer fragments containing 3â²-terminal PA, OH and P, respectively. For details see Materials and Methods. (B) Graphical representation of NEIL3s protein concentration dependent activities upon three-stranded DNA structure.
Figure 3. Schematic representation of the mechanisms of action of Nei-like DNA glycosylases on ICLs. (A) Mechanisms of action of Nei-like DNA glycosylases on three-stranded DNA structure containing single psoralen-derived ICL. For details see text. (B) Mechanisms of action of Nei-like DNA glycosylases on four-stranded DNA structure containing single psoralen-derived ICL. (C) Skeletal formula of 21 mer fragment containing single Thymidine nucleotide crosslinked to free Thymine base by HMT (DNA(T)-HMT-T), an excision product generated by Nei-like DNA glycosylases catalyzed repair of ICL in three-stranded DNA structure. (D) Skeletal formula of Thymine-HMT-Thymine cross-link (T-HMT-T), an excision product generated by Nei-like DNA glycosylases catalyzed repair of ICL in three- and four-stranded DNA structure.
Figure 4. Action of Nei-like DNA glycosylases upon four-stranded DNA structure containing single HMT-derived ICL. Denaturing PAGE analysis of the reaction products. 10ânM 5â²-[32P]-labelled XL47â47-21*â21 was incubated for 1 hr at 37â°C either with the 500ânM NEIL3Cat, NEIL3Trun, NEIL3FL or with 20ânM Nei proteins. Lanes 1â7, no piperidine treatment; lane 1, control non-treated XL47â47-21*â21; lanes 2â4, as 1 but with NEIL3s; lane 5, as 1 but Nei, lane 6, 21 mer duplex containing MA; lane 7, as 6 but Nei; lanes 8â11, as 1â4 but treated with light piperidine; lane 12, 21 mer D21; lanes 13â15, 21 mer UâA duplex treated with UDG/hot piperidine, UDG/Nfo and UDG/light piperidine, respectively. Substrate and cleavage products sizes are indicated to the right of the gel. âXâ denotes substrate, â21-MAâ denotes 21 mer fragment containing psoralen-derived MA, â21-merâ denotes size marker, â8âPAâ, â8OHâ and â8Pâ denote 8 mer fragments containing 3â²-terminal PA, OH and P, respectively. For details see Materials and Methods.
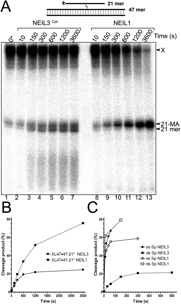
Figure 5. Time dependent excision of three-stranded DNA structure containing single HMT-derived ICL by NEIL3Cat and NEIL1. (A) Denaturing PAGE analysis of the reaction products. 10ânM 5â²-[32P]-labelled XL47â47-21* was incubated with 300ânM NEIL3Cat and 50ânM NEIL1 at 37â°C for varied periods of time up to 1âh. Reaction products were not treated with piperidine. Lane 1, control non-treated XL47â47-21*; lanes 2â7, as 1 but with NEIL3Cat; lanes 8â13, as 1 but with NEIL1. Substrate and cleavage products sizes are indicated to the right of the gel. âXâ denotes substrate, â21-HMT-Tâ denotes 21 mer excision product containing HMT crosslinked free Thymine base, â21 merâ denotes 21 mer size marker. For details see Materials and Methods. (B) Graphical representation of NEIL3Cat and NEIL1 time kinetics on XL47â47-21* DNA substrate. (C) Graphical representation of NEIL3Cat and NEIL1 time kinetics on 17 mer ssDNA and dsDNA fragment containing single Sp residue.
Bailly,
Delta-elimination in the repair of AP (apurinic/apyrimidinic) sites in DNA.
1989, Pubmed
Bailly,
Delta-elimination in the repair of AP (apurinic/apyrimidinic) sites in DNA.
1989,
Pubmed
Bandaru,
A novel human DNA glycosylase that removes oxidative DNA damage and is homologous to Escherichia coli endonuclease VIII.
2002,
Pubmed
Budzowska,
Regulation of the Rev1-pol ζ complex during bypass of a DNA interstrand cross-link.
2015,
Pubmed
,
Xenbase
Cimino,
Psoralens as photoactive probes of nucleic acid structure and function: organic chemistry, photochemistry, and biochemistry.
1985,
Pubmed
Cole,
Psoralen monoadducts and interstrand cross-links in DNA.
1971,
Pubmed
Couvé,
The human oxidative DNA glycosylase NEIL1 excises psoralen-induced interstrand DNA cross-links in a three-stranded DNA structure.
2009,
Pubmed
Couvé-Privat,
Psoralen-induced DNA adducts are substrates for the base excision repair pathway in human cells.
2007,
Pubmed
Cunningham,
DNA glycosylases.
1997,
Pubmed
Dodson,
Unified catalytic mechanism for DNA glycosylases.
1994,
Pubmed
Dronkert,
Repair of DNA interstrand cross-links.
2001,
Pubmed
Hazra,
Identification and characterization of a novel human DNA glycosylase for repair of cytosine-derived lesions.
2002,
Pubmed
Hegde,
Prereplicative repair of oxidized bases in the human genome is mediated by NEIL1 DNA glycosylase together with replication proteins.
2013,
Pubmed
Hodskinson,
Mouse SLX4 is a tumor suppressor that stimulates the activity of the nuclease XPF-ERCC1 in DNA crosslink repair.
2014,
Pubmed
Huang,
The DNA translocase FANCM/MHF promotes replication traverse of DNA interstrand crosslinks.
2013,
Pubmed
Johnston,
Low-level psoralen--deoxyribonucleic acid cross-links induced by single laser pulses.
1981,
Pubmed
Katafuchi,
Differential specificity of human and Escherichia coli endonuclease III and VIII homologues for oxidative base lesions.
2004,
Pubmed
Khutsishvili,
Thermodynamic profiles and nuclear magnetic resonance studies of oligonucleotide duplexes containing single diastereomeric spiroiminodihydantoin lesions.
2013,
Pubmed
Klein Douwel,
XPF-ERCC1 acts in Unhooking DNA interstrand crosslinks in cooperation with FANCD2 and FANCP/SLX4.
2014,
Pubmed
,
Xenbase
Krokan,
Base excision repair.
2013,
Pubmed
Krokeide,
Human NEIL3 is mainly a monofunctional DNA glycosylase removing spiroimindiohydantoin and guanidinohydantoin.
2013,
Pubmed
Kumaresan,
Structure of the DNA interstrand cross-link of 4,5',8-trimethylpsoralen.
1992,
Pubmed
Liu,
Expression and purification of active mouse and human NEIL3 proteins.
2012,
Pubmed
Liu,
The mouse ortholog of NEIL3 is a functional DNA glycosylase in vitro and in vivo.
2010,
Pubmed
Liu,
Neil3, the final frontier for the DNA glycosylases that recognize oxidative damage.
2013,
Pubmed
Long,
Mechanism of RAD51-dependent DNA interstrand cross-link repair.
2011,
Pubmed
,
Xenbase
Maxam,
Sequencing end-labeled DNA with base-specific chemical cleavages.
1980,
Pubmed
Mazumder,
Stereochemical studies of the beta-elimination reactions at aldehydic abasic sites in DNA: endonuclease III from Escherichia coli, sodium hydroxide, and Lys-Trp-Lys.
1991,
Pubmed
McHugh,
Novel reagents for chemical cleavage at abasic sites and UV photoproducts in DNA.
1995,
Pubmed
McHugh,
Repair of DNA interstrand crosslinks: molecular mechanisms and clinical relevance.
2001,
Pubmed
Minko,
Role for DNA polymerase kappa in the processing of N2-N2-guanine interstrand cross-links.
2008,
Pubmed
Neurauter,
Release from quiescence stimulates the expression of human NEIL3 under the control of the Ras dependent ERK-MAP kinase pathway.
2012,
Pubmed
Niedernhofer,
The structure-specific endonuclease Ercc1-Xpf is required to resolve DNA interstrand cross-link-induced double-strand breaks.
2004,
Pubmed
Nojima,
Multiple repair pathways mediate tolerance to chemotherapeutic cross-linking agents in vertebrate cells.
2005,
Pubmed
Räschle,
Mechanism of replication-coupled DNA interstrand crosslink repair.
2008,
Pubmed
,
Xenbase
Rieger,
Characterization of a cross-linked DNA-endonuclease VIII repair complex by electrospray ionization mass spectrometry.
2000,
Pubmed
Roy,
The structure and duplex context of DNA interstrand crosslinks affects the activity of DNA polymerase η.
2016,
Pubmed
Semlow,
Replication-Dependent Unhooking of DNA Interstrand Cross-Links by the NEIL3 Glycosylase.
2016,
Pubmed
,
Xenbase
Sharma,
REV1 and DNA polymerase zeta in DNA interstrand crosslink repair.
2012,
Pubmed
Shen,
REV3 and REV1 play major roles in recombination-independent repair of DNA interstrand cross-links mediated by monoubiquitinated proliferating cell nuclear antigen (PCNA).
2006,
Pubmed
Van Houten,
Construction of DNA substrates modified with psoralen at a unique site and study of the action mechanism of ABC excinuclease on these uniformly modified substrates.
1986,
Pubmed
Wiederhold,
AP endonuclease-independent DNA base excision repair in human cells.
2004,
Pubmed
,
Xenbase
Xu,
Mutagenic Bypass of an Oxidized Abasic Lesion-Induced DNA Interstrand Cross-Link Analogue by Human Translesion Synthesis DNA Polymerases.
2015,
Pubmed
Yang,
A role for the base excision repair enzyme NEIL3 in replication-dependent repair of interstrand DNA cross-links derived from psoralen and abasic sites.
2017,
Pubmed
Zhang,
DNA interstrand cross-link repair requires replication-fork convergence.
2015,
Pubmed
,
Xenbase
Zhang,
Mechanism and regulation of incisions during DNA interstrand cross-link repair.
2014,
Pubmed
Zharkov,
Structural analysis of an Escherichia coli endonuclease VIII covalent reaction intermediate.
2002,
Pubmed