|
Figure 1 Xenopus laevis, transverse histological sections of larval stage NF 43 shows the discrepancy between NF staging and the cartilaginous developmental state of the larva. (a) mesenchymal anlage of processus ventrolateralis posterior and precartilaginous ceratobranchial II resemble the condition of a ZO 12 whereas in (b) processus ventrolateralis posterior and ceratobranchial II are chondrified as in ZO 15. Scale bar 100 µm. cbII, ceratobranchial II; mlab IâIII, m. levatores arcuum branchialium IâIII; pvlp, processus ventrolateralis posterior
|
|
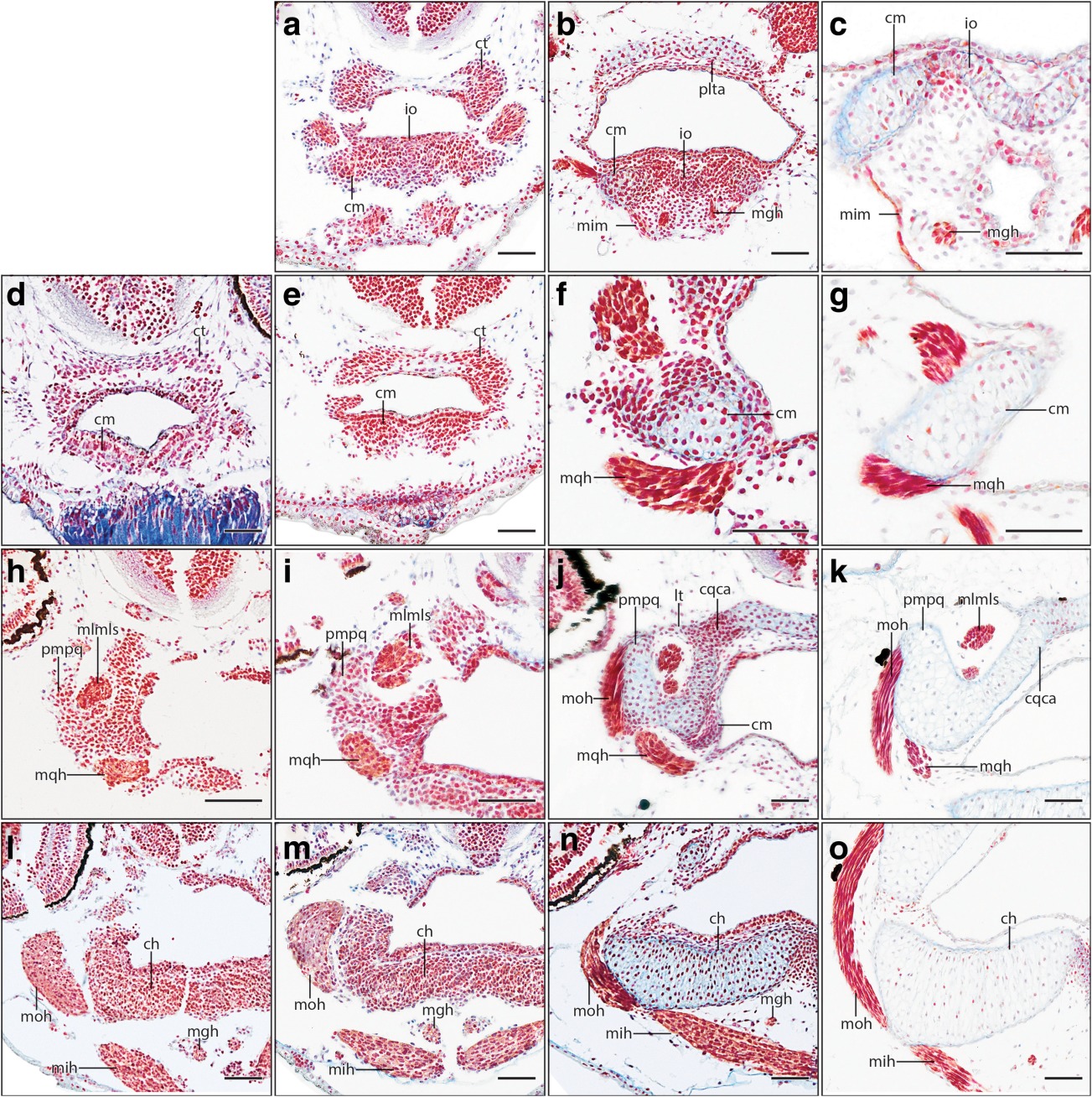
Figure 2 Xenopus laevis, transverse histological sections of larval stages ZO 6 (first columnn) ZO 8 (second column), ZO 13 (third column), and ZO 17 (fourth column). (aâc) development of the infrarostral. (dâg) development of Meckel's cartilage. (hâk) development of the anterior palatoquadrate and its processes. (lâo) development of the ceratohyal. Scale bar 50 µm. ch, ceratohyal; cm, Meckel's cartilage; cqca, commissura quadratocranialis anterior; ct, cornua trabeculae; io, infrarostral; lt, ligamentum tectum; mgh, m. geniohyoideus; mih, m. interhyoideus; mim, m. intermandibularis; mlmls, m. levator mandibulae longus superficialis; moh, m. orbitohyoideus; mqh, m. quadrato-hyoangularis; plta, planum trabeculare anticum; pmpq, processus muscularis palatoquadrati
|
|
Figure 3 Xenopus laevis, development of the cartilaginous head skeleton in larvae at different developmental stages in ventral view visualized through cleared-and-stained specimens. (a) ZO 10,5. (b) ZO 13,5. (c) ZO 17. (d) ZO 20. Scale bar 100 µm. bhb, basihyobranchial; cbI-III, ceratobranchial IâIII; ch, ceratohyal; cm, Meckel's cartilage; ctm, commissura terminalis; io, infrarostral; oc, otic capsule; pk, parachordal; pcql, processus cornu quadratus lateralis; plhb, planum hypobranchiale; pmpq, processus muscularis palatoquadrati; pq, palatoquadrate; tc, trabeculae cranii; tec, tentacular cartilage
|
|
Figure 4 3D-reconstructions of the cartilaginous head skeleton based on collagen immunohistochemistry and confocal laser scanning microscopy of Xenopus laevis larva in ventral (a), dorsal (b) and lateral view (c) showing ZO 11, 13,5, 15, 17, and 20+ (from left to right). In (b) the ceratohyal and elements of the branchial basket are not shown and condensations of the tentacular cartilage and its supporting processes are displayed transparent. bhb, basihyobranchial; cbI-IV, ceratobranchial IâIV; ch, ceratohyal; cm, Meckel's cartilage; cqca, commissura quadratocranialis anterior; cf, carotid foramen; cp, crista parotica; ct, cornua trabeculae; ctm, commissura terminalis; fbc, fenestra basicranialis; fso, fenestra subocularis; io, infrarostral; oc, otic capsule; parpq, processus articularis palatoquadrati; paspq, processus ascendens palatoquadrate; pc, parachordal; pcql, processus cornu quadratus lateralis; plch, processus lateralis hyalis; plhb, planum hypobranchiale; plta, planum trabeculare anticum; pmpq, processus muscularis palatoquadrati; ppch, processus posterior hyalis; pk, parachordal; pq, palatoquadrate; prmc, processus retroarticularis; pvlp, processus ventrolateralis posterior; sc, subocular cartilage; sp, suprarostral plate; tc, trabeculae cranii; tec, tentacular cartilage
|
|
Figure 5 Maximum intensity projections of a ZO 20 antibody-stained Xenopus laevis larva with a detailed view of cartilaginous structures. (a) tentacular cartilage in dorsal view, (b) processus ascendens in lateral view, and (c) commissura craniobranchialis I in dorsal view. ccblI, commissura craniobranchialis I; ctI, commissura terminalis I; ctII, commissura terminalis II; paspq, processus ascendens palatoquadrate; pcql, processus cornu quadratus lateralis; pk, parachordal; pvlp, processus ventrolateralis posterior; sc, subocular cartilage; sp, suprarostral plate; tc, trabeculae cranii; tec, tentacular cartilage
|
|
Figure 6 3D-reconstructions based on confocal laser scanning microscopy showing the development of the branchial basket of X. laevis in ventral view. (aâf) ZO 12,5- 15. (g) ZO 17. (h) ZO 20+. cbI-IV, ceratobranchial IâIV; ctm, commissura terminalis; pcI-III, pharyngeal cleft IâIII; plhb, planum hypobranchiale
|