|
Fig. 1. FoxD1 protein is a more potent neural anteriorizer when canonical Wnt activity is inhibited. (A) Morphology of tail-bud stage 33-34 (n=27) embryos injected at the one-cell stage with foxd1 (10 pg) or dkk1 (30 pg) mRNAs. (B) Ectopic FoxD1 protein caused a bent-neuralized phenotype in some of the embryos (n=35, 17% bent). (C) Ectopic Dkk1 protein reduced posterior neural regions and enlarged anterior structures in 94% of the embryos (n=33). (D) Co-expression of Foxd1/Dkk1 proteins strongly eliminated posterior neural structures, inducing a highly anteriorized embryo body, forming radial heads/cement glands in 79% of the embryos (n=28).
|
|
Fig. 2 (left). FoxD1 neural patterning activity is modified via canonical wnt signaling. (A) Embryos were injected animally at the one-cell stage with mRNAs encoding foxd1 (50 pg) or dkk1 (25 pg) proteins. AC explants were removed from control and injected embryos at blastula-stage and grown to neurula stage 17. Total RNA was isolated from five control embryos (lane 2) and eighteen ACs from each group (lanes 3-6). Various neural AP markers were examined by sqRT-PCR: anterior forebrain and cement gland (xanf1, xag1, otx2), posterior hindbrain, spinal cord and primary neuron markers (krox20, hoxb9, ntub) and panneural markers (nrp1, ncam). In the different samples, ef1a serves as a control for quantitating RNA levels. -RT-PCR was performed on total RNA isolated from control embryos (lane 1). (B) Embryos were injected animally at the one-cell stage with mRNA encoding foxd1 (20 pg) protein or a CMV-driven plasmid vector (20 pg) driving wnt3a expression. ACs were removed from control and injected embryos at blastula-stage and grown to neurula stage 17. Total RNA was isolated from five control embryos (lane 2) and eighteen ACs from each group (lanes 3-6). Various neural AP markers were examined by sqRT-PCR: anterior forebrain and cement gland (xanf1, xag1, otx2), posterior hindbrain and spinal cord markers (krox20, hoxb9) and panneural markers (nrp1, ncam). In the different samples, ef1a serves as a control for quantitating RNA levels. -RT-PCR was performed on total RNA isolated from control embryos (lane 1).
|
|
Fig. 3 (right). FoxD1 neural caudalizing activity is uncoupled from its neural-anteriorizing activity. (A) Embryos were injected animally at the one-cell stage with mRNAs encoding foxd1 (25 pg) or BMP4 (250 pg) proteins. AC explants were removed from control and injected embryos at blastula-stage and grown to late gastrula/early neurula stage. Total RNA was isolated from five control embryos (lane 2) and eighteen ACs from each group (lanes 3-6). Various neural AP markers were examined by sqRT-PCR: anterior forebrain markers (xanf1, otx2,), posterior hindbrain, spinal cord, and primary neuron markers (gbx2, hoxb9, cdx1, ntub) and the panneural marker (ncam). In the different samples, ef1a serves as a control for quantitating RNA levels. -RT-PCR was performed on total RNA isolated from control embryos (lane 1). (B) Embryos were injected animally at the one-cell stage with mRNAs encoding foxd1 (25 pg) or BMP4 (250 pg) proteins. AC explants were removed from control and injected embryos at blastula-stage and grown to mid-late neurula stage. Total RNA was isolated from five control embryos (lane 2) and eighteen ACs from each group (lanes 3-6). Various neural AP markers were examined by sqRT-PCR: anterior forebrain and cement gland markers (xanf1, otx2, xag1), posterior spinal cord markers (hoxb9, cdx1, cdx4) and the panneural marker (ncam). In the different samples, ef1a serves as a control for quantitating RNA levels. -RT-PCR was performed on total RNA isolated from control embryos (lane 1).
|
|
Fig. 4. FoxD1 knockdown by the FoxD1-MO eliminates both neural and dorsal mesoderm cell fates. (A) One-cell stage embryos (left panel) were injected animally with the FoxD1-MO (20 ng, right panel). Using in situ hybridization, cell fates along the neural AP axis were examined at neurula stage 17. Three AP markers were examined; otx2 for the mid-forebrain region, krox20 for the hindbrain, and hoxb9 for the spinal cord. In FoxD1
is restricted to the forebrain region. This region is characterized by a strong inhibition of canonical Wnt and BMP signaling (Niehrs et al., 2001). Thus under normal physiological conditions, FoxD1 is primed to induce anterior neural tissue. In AC explants permissive for BMP and canonical Wnt activities, intrinsic FoxD1 neural caudalizing is unmasked, which is not in the correct cellular context of normal FoxD1 protein function and activity in vivo. These results morphants, otx2 expression was reduced in 100% of the embryos (n=19); krox20 expression was reduced in either one or both rhombomeres in 69% of the embryos (n=13), and hoxb9 expression was inhibited in 77% of the embryos (n=13). (B) One-cell stage embryos were injected marginally with the FoxD1-MO (25 ng). Total RNA was isolated from pools of five control (lane 2) or FoxD1 morphant embryos (lane 3) at late neurula stages. sqRT-PCR was carried out to mesoderm markers expressed along the dorso-ventral axis: xnot (dorsal notochord), myod and muscle actin/MA (dorsal-lateral muscle) and vent1, vent2 and wnt8 (ventral). odc serves as a control for quantitating RNA levels. (C) One-cell stage embryos were injected marginally with two concentrations of the FoxD1-MO (25 and 40 ng). In situ hybridization was performed to early gastrula embryos, stage 11-11.5. Expression of the dorsal chd marker (upper panels) was reduced at both FoxD1-MO concentrations in 78% of the embryos (n=23). Expression of the dorsal-lateral myod marker was also reduced in 93% of the FoxD1 morphant embryos (n=15). (D) One-cell stage embryos were injected marginally with the two concentrations of the FoxD1-MO (25 and 40 ng). In situ hybridization was performed to neurula embryos, stage 14-15. Expression of the notochord chd marker (upper panels) was reduced at both FoxD1-MO concentrations in 100% of the embryos (n=25). Expression of the muscle MA marker was also reduced in 68% of the morphant embryos (n=19). Two other notochord and muscle markers, xnot and myod were also inhibited to similar levels in the same experiment (not shown). (E) One-cell stage embryos were injected marginally with the mRNA (800 pg) encoding the foxd1-vp16 antimorph protein. Total RNA was isolated from pools of five control (lane 2) or FoxD1-VP16 antimorph protein expressing (lane 3) embryos at late neurula stage 16. sqRT-PCR was carried out to the mesodermal markers: xnot, chd, and MA. (F) One-cell stage embryos (lane 2) were injected either marginally (left panel) or animally (right panel) with the FoxD1-MO (20 ng, lane 3), mRNA encoding the foxd1 (25pg) protein (lane 5) or both (lane 4). Total RNA was isolated from pools of seven embryos in each group. In the left panel, sqRT-PCR was performed on RNA isolated from gastrula stage 11 embryos to address the rescue of myod expression by ectopic FoxD1 protein over expression (compare lanes 3-5). Xhis serves as a control for quantitating RNA levels. In the right panel, sqRT-PCR was performed on RNA isolated from neurula stage 16 embryos to address the rescue of ncam expression by FoxD1 (compare lanes 3-5).
|
|
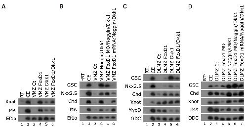
Fig. 5. FoxD1 patterns mesoderm downstream to BMP antagonism. (A) Embryos were injected marginally at the one-cell stage with mRNA encoding foxd1 (25 pg) protein. VMZ explants were removed from control and injected embryos at early gastrula stage 10.25 and grown to neurula stage 17. Total RNA was isolated from five control embryos (lane 2) and eighteen VMZs from each group (lanes 3-4). Various mesoderm markers along the DV axis were examined by sqRT-PCR: dorsal/notochord (chd, xnot), dorsal/lateral muscle (myod, MA) and ventral (vent1). (B) Embryos were co-injected marginally at the one-cell stage with the FoxD1-MO (25 ng) or mRNAs encoding the foxd1 (25 pg), noggin (20 pg), or dkk1 (35 pg) proteins. VMZ or DLMZ explants were removed from control and injected embryos at early gastrula stage 10.25 and grown to neurula stage 17. Explant elongations were scored as previously described, from three independent experiments for all explant groups: control VMZ (n=42), VMZ-FoxD1 (n=51), VMZ-Noggin (n=51), VMZ-Noggin + FoxD1-MO (n=52), VMZ-Dkk1 (n=51), VMZ-FoxD1 + Dkk1 (n=27), control DLMZ (n=54), DLMZ + FoxD1-MO (n=47). (C) Embryos were injected marginally at the one-cell stage with the FoxD1-MO (25 ng). VMZ explants were removed from control and FoxD1 morphant embryos at gastrula stage 10.25 and VMZs were cultured in soluble noggin to neurula stage 17. Total RNA was isolated from six control (lane 2) and FoxD1 morphant embryos (lane 3), and from eighteen VMZs from each group (lanes 4-7). Expression of dorsal, dorsal-lateral, and ventral markers was examined by sqRT-PCR: chd, xnot, foxd1, myod, MA and vent1. odc serves as a control for quantitating RNA levels. (D) Embryos were injected marginally at the one-cell stage with the FoxD1-MO (25 pg) or mRNA encoding noggin protein. DLMZ explants were removed from control and injected embryos at gastrula stage 10.25, and DLMZs were cultured in soluble noggin to neurula stage 17. Total RNA was isolated from six control embryos (lane 2), and from eighteen DLMZs from each group (lanes 3-5). Expression of the anterior (nkx2.5), dorsal (xnot, chd), and dorsal lateral (MA) markers was examined by sqRT-PCR.
|
|
Fig. 6. FoxD1 and Wnt signaling interact to pattern dorsal mesoderm. (A) Embryos were injected marginally at the one-cell stage with mRNA encoding the foxd1 (25 pg) or dkk1 (40 pg) protein. VMZ explants were removed from control and injected embryos at gastrula stage 10.25, and VMZs were cultured to neurula stage 17. Total RNA was isolated from six control embryos (lane 2), and from eighteen VMZs from each group (lanes 3-6). Expression of the xnot and MA markers was examined by sqRT-PCR. (B) Embryos were injected marginally at the one-cell stage with mRNA encoding the noggin (20 pg) and dkk1 (40 pg) proteins. Embryos were than co-injected with either mRNA encoding the foxd1 (30 pg) protein or the FoxD1-MO (45 pg). VMZ explants were removed from control and injected embryos at gastrula stage 10.25, and VMZs were cultured to neurula stage 17. Total RNA was isolated from six control embryos (lane 2), and from eighteen DLMZs from each group (lanes 3-6). Expression of the anterior (gsc, nkx2.5), dorsal (chd), and dorsal lateral (MA) markers was examined by sqRT-PCR. (C) Embryos were injected marginally at the one-cell stage with mRNA encoding the foxd1 (25 pg) and dkk1 (40 pg). DLMZ explants were removed from control and injected embryos at gastrula stage 10.25, and cultured to neurula stage 17. Total RNA was isolated from six control embryos (lane 2), and from eighteen DLMZs from each group (lanes 3-6). Expression of the anterior (gsc,nkx2.5), dorsal (chd, xnot), and dorsal lateral (myod) markers was examined by sqRT-PCR. (D) Embryos were injected marginally at the one-cell stage with mRNA encoding the noggin (20 pg) and dkk1 (40 pg) proteins. Embryos were than co-injected with either mRNA encoding the foxd1 (30 pg) protein or the FoxD1-MO (45 pg). DLMZ explants were removed from control and injected embryos at gastrula stage 10.25, and DLMZs were cultured to neurula stage 17. Total RNA was isolated from six control embryos (lane 2), and from eighteen DLMZs from each group (lanes 3-7). Expression of the anterior (gsc), dorsal (chd, xnot), and dorsal lateral (MA) markers was examined by sqRT-PCR.
|
|
Fig. 7. Model of FoxD1 activity in neural and mesoderm tissues. (A) In the neural plate, the foxd1 gene is expressed in the forebrain (blue). In this anterior neural region, both Wnt and BMP activities are repressed, thus FoxD1 neural caudalizing activity is masked. (B) In the mesoderm, the foxd1 gene is expressed in the dorsal-lateral (muscle) and dorsal (notochord) marginal zone regions of mesoderm (purple). Wnt activity is higher in the lateral muscle region versus the more dorsal notochord region, where Wnt activity is repressed. FoxD1 induces induction of muscle is more sensitive to Wnt signaling than in the notochord. In the lateral/ventral border regions, FoxD1 activity represses ventral cell fates (turquoise) to promote muscle. In the dorsal regions, FoxD1 activity represses anterior heart (black) and prechordal (grey) mesoderm to promote muscle notochord.
|