|
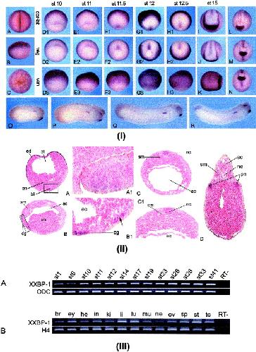
Fig. 2. Expression of XXBP-1. (I) Spatial expression pattern of XXBP-1. Whole-mount in situ hybridization for XXBP-1 at several stages of Xenopus early development is shown from different views (dorsalateral, dor-lat; vegetal, veg; ventral, ven). (A) XXBP-1 is faintly expressed in the animal half at early cleavage stages. (D, E) At the start of gastrulation, XXBP-1 becomes concentrated at the dorsal blastopore lip and is strong in the ventral ectoderm. (F) As gastrulation progresses, expression stretches anteriorly from the blastopore, and ventral expression is maintained. (IK) In the neurula, expression is concentrated in the area anterior to the neural plate (the prospective cement gland) and notochord. Expression also stretches posteriorly along the neural crest in a gradient. (L) At stage 190, expression is strong in the cement gland, weaker posteriorly in the hatching gland, and in a ventral midline stripe. (O) Later stages show expression in the cement gland, pronephros (primarily glomus), ear vesicle, and the upper part of the lens. (II) Histological analysis of XXBP-1 expression. (A) A transverse section through a stage 12 embryo shows expression in the ventral ectoderm (ed) and dorsal blastopore lip (bl, higher magnified in A1). (B) A sagittal section through a stage 18 embryo shows expression in the cement gland (cg) and some ventral mesodermal cells adjacent to ectoderm (arrow, higher magnified in B1). (C) A transverse section through the posterior end of a stage 17 embryo shows expression in the notochord (nc). (C1) Higher magnification of the notochord from (C). (D) A transverse section through a stage 28 embryo shows expression in pronephros (pn). ac, archenteron; bt, blastocoel; en, endoderm; sc, spinal cord; sm, somite. (III) Expression of XXBP-1 in developing embryos and adults tissues. RT-PCR was performed on total RNA extracted from embryos at the different, indicated embryonic stages (A) or adult tissues (B). Ornithine decarboxylase (ODC) and histone 4A (H4) were used as loading controls. XXBP-1 is a maternal factor which is weakly expressed before gastrulation, upregulated during gastrulation, and maintained in following stages. XXBP-1 was detected in all adult tissues tested, with higher expression levels in liver, lung, and stomach. br, brain; ey, eye; he, heart; in, intestine; ki, kidney; li, liver, lu, lung; mu, muscle; ne, nerve; ov, ovary; sp, spleen; st, stomach; te, testis; RT-, control without reverse transcriptase.
|
|
Fig. 3. Effects of neural inhibitors and neural inducers on XXBP-1 expression. (I) Neural inhibitors and β-catenin morpholino expand the expression territories of XXBP-1. Embryos were injected dorsally at the four-cell stage with (A) 8 ng β-catenin morpholino, (B) 1 ng BMP-4 mRNA, (C) 80 pg Dlx3 or (F) 80 pg Msx1 mRNA, and were fixed at midgastrula stages for whole-mount in situ hybridization with XXBP-1 antisense RNA. (D) Uninjected embryos were UV irradiated at 302 nm for 45 s. The expression area of XXBP-1 was expanded compared with control embryos (E). Whole-mount in situ hybridization and fixation after staining were performed identically for all embryos to eliminate differences due to overstaining. (II) Gene expression in noggin or Zic3 animal caps. At stage 9, animal caps were dissected from uninjected embryos (AC) or embryos injected into all four blastomeres at the four cell stage with 160 pg Zic3 or 160 pg noggin mRNA. The expression of BMP-4, XXBP-1, Xvent-1, and NCAM was assayed by using RT-PCR from RNA isolated after sibling embryos reached stage 18. ODC served as a loading control. Noggin suppressed XXBP-1 and BMP-4 expression, but induced NCAM.
|
|
Fig. 4. Biological activity of XXBP-1 (I)Phenotypes of XXBP-1-injected embryos. (A) Examples of ventralized phenotypes after dorsal injection of 200 pg XXBP-1 mRNA at the four cell stage. (D, E) The ventralized embryos exhibited no anteroposterior or dorsoventral axes, after either dorsal injection of 400 pg XXBP-1 mRNA or radial injection of 800 pg XXBP-1 mRNA. (F) A transverse section through the embryo injected dorsally with 200 pg XXBP-1 mRNA shows a reduced notochord (nt) and an indiscernible spinal cord (sc) as compared with the control embryo (F). pn, pronephros; sm, somite. (II) Disruption of neural marker genes in vivo by XXBP-1. A single dorsal blastomere was coinjected with 200 pg XXBP-1 and 100 pg LacZ mRNA at the four cell stage. The embryos were fixed at the late neurula stages and stained for lacZ to identify the injected side, and whole-mount in situ hybridization with antisense probes for the cement gland marker, XAG2, and neural marker genes was carried out. (A) The expression pattern in control embryos is shown at the left, and expression after XXBP-1 overexpression on one side is shown at the right. (A) XAG2 expression was not changed by XXBP-1 overexpression at this dose. (C) XXBP-1 overexpression inhibited the expression of Otx2 (anterior neural marker), Rx2A (lens marker), En2 (marker for the mid/hindbrain boundary), Krox20 (marker for r3 and r5), Pax6 (neural marker), and Sox3 (pan-neural marker). (O, P) Embryos injected only with lacZ mRNA as a control showed no changes in En2 or Sox3 expression. (III) Overexpression of XXBP-1 downregulates the dorsal mesoderm markers, Chordin and goosecoid. Embryos were injected dorsally into the marginal zone with 0.1 ng/blastomere of XXBP-1 mRNA at the four cell stage and fixed at midgastrula for whole-mount in situ hybridization with Chd and gsc antisense RNA. (A, C) Expression in control embryos. (B, D) XXBP-1 overexpression reduced both Chd and gsc expression. (IV) Overexpression of XXBP-1 leads to ventralization of dorsal mesoderm. Dorsal and ventral marker genes were analyzed by using RT-PCR in whole embryos (st. 22 embryo), dorsal or ventral marginal zone explants (DMZ or VMZ, respectively) from uninjected embryos, or embryos radially injected with 0.1 or 0.4 ng XXBP-1 mRNA per blastomere at the four-cell stage. Marginal zones were explanted at the start of gastrulation and cultured until sibling embryos reached stage 22. ODC served as a loading control. RT−, control without reverse transcriptase. (V) XXBP-1 inhibits neural induction in dissociated ectodermal explants. Animal caps were dissected from uninjected embryos (AC) and embryos injected with either 0.4 ng XXBP-1 or 0.8 ng BMP-4 mRNA into all four blastomeres at the four cell stage. The ectodermal cells from the animal caps were dissociated then allowed to reassociate and cultured subsequently for 24 h. (A) RT-PCR was used to analyze the expression of the neural marker, NCAM; ectodermal marker, epidermal keratin (EK); and mesoderm markers, actin and Xbra. BMP-4 was injected as a positive control for inhibition of neural induction. ODC was employed as a loading control. (B) At 24 h after reaggregation, the ectodermal cells from XXBP-1 animal caps were not able to reaggregate as well as cells from control or BMP-4 animal caps. The majority of XXBP-1-overexpressing ectodermal cells did not reaggregate. Only reaggregated cells (indicated by arrow) were harvested for RT-PCR analysis. RT−, control without reverse transcriptase.
|
|
Fig. 5. XXBP-1 may be involved in the BMP signaling pathway. (I) XXBP-1 overexpression reduces neural induction by tBMPRI. At stage 9, animal caps were dissected from uninjected control embryos (AC) or embryos injected with either 0.4 ng XXBP-1, 1.6 ng tBMPRI, or 1.6 ng tBMPRI + 0.4 ng XXBP-1 mRNA into all blastomeres at the four-cell stage, and were cultured until sibling embryos reached stage 28. Neural and epidermal marker genes were analyzed by using RT-PCR with RNA from animal caps or intact embryos (st. 28 embryo). Overexpression of XXBP-1 attenuated the neural induction by tBMPRI. EK, epidermal keratin; RT−, control without reverse transcriptase. (II) Microinjection of XXBP-1 reverses tBMPRI-induced dorsalization. Phenotypes were examined after overexpression of either XXBP-1, tBMPRI, or both. (B) A secondary axis was induced by injection with 1.6 ng tBMPRI mRNA ventrally at the four cell stage. (C) Coinjection of 1.6 ng tBMPRI and 0.2 ng XXBP-1 mRNA ventrally at the four cell stage reversed formation of the secondary axis and caused posterior enlargement like injection of 0.2 ng XXBP-1 mRNA alone (D). Phenotypes of embryos microinjected into four blastomeres at the four cell stage were shown in (E). Two cement glands (arrows) were induced by tBMPRI alone (1.6 ng of tBMPRI mRNA) (E), but coinjection with XXBP-1 mRNA (1.6 ng tBMPRI and 0.4 ng of XXBP-1) reversed embryo dorsalization (F, G).
|
|
Fig. 6. Overexpression of fusion constructs and truncated XXBP-1. (I) Fusion and truncated XXBP-1 constructed. The amino terminal sequence (amino acids 126) of XXBP-1, containing the basic leucine zipper DNA binding domain (bZIP), was used to create several fusion constructs (white box). The remaining XXBP-1 sequence (amino acids 12750) is indicated by the vertically lined box and was replaced by the VP16 activation domain (shaded, slashed box) to form XXBP1-VP16, or by the even-skipped repressor domain (shaded box) to form XXBP1-Eve. The amino terminal fragment of XXBP-1 was also subcloned into pCS2MTEnR, containing the sequence encoding the engrailed repression domain (shaded, hatched box) and the Myc-tag (slashed box) to obtain XXBP1-EnR. Truncated XXBP-1 encodes the amino acids 126. (II) Phenotypes of embryos injected with fusion constructs. (A, D) Ventral injection with either 0.16 ng XXBP1-EnR mRNA or 0.16 ng truncated XXBP-1 mRNA produced embryos with spina bifida. (B, C) Ventral injection with 0.16 ng XXBP1-Eve mRNA show either a secondary axis (B) or spina bifida (C). (E, F) Ventral injection of either 0.04 ng XXBP1-VP16 mRNA or 0.2 ng wild-type XXBP-1 mRNA, respectively, resulted in posterior enlargement. (G, H) Dorsal injection (Dor) of the same amount of XXBP1-VP16 caused either loss of dorsoanterior structures (G) or exogastulation (H). Note that XXBP1-Eve is able to induce a secondary axis in embryos, but ventral injection with XXBP1-VP16 induces a similar phenotype to that of wild-type XXBP-1, suggesting that XXBP-1 may be an activator of transcription. (III) Expression of fusion constructs in animal caps indicate XXBP-1 may be an activator of transcription. Animal caps were dissected from uninjected embryos (AC) or embryos injected with 0.08 ng XXBP1-VP16, 0.64 or 0.32 ng XXBP1-Eve, 0.32 ng truncated XXBP-1, 0.32 ng XXBP1-EnR, 1.6 ng tBMPRI or 0.32 ng XXBP-1 mRNA, and cultured until sibling embryos reached stage 27. RT-PCR was used to measure the expression of the marker genes, XAG1, Otx2, NCAM, nrp-1, Msx1, and Epidermal Keratin (EK) in RNA from animal caps or whole embryos (st. 27 embryo). The neural marker genes, NCAM and nrp-1, were induced by XXBP1-Eve, but not by XXBP1-VP16 or wild-type XXBP-1, suggesting that XXBP-1 functions as a transcription activator. ODC was employed as a loading control. RT−, control without reverse transcriptase.
|