Click here to close
Hello! We notice that you are using Internet Explorer, which is not supported by Xenbase and may cause the site to display incorrectly.
We suggest using a current version of Chrome,
FireFox, or Safari.
Proc Natl Acad Sci U S A
2006 Apr 04;10314:5397-402. doi: 10.1073/pnas.0507237103.
Show Gene links
Show Anatomy links
PR130 is a modulator of the Wnt-signaling cascade that counters repression of the antagonist Naked cuticle.
Creyghton MP
,
Roël G
,
Eichhorn PJ
,
Vredeveld LC
,
Destrée O
,
Bernards R
.
???displayArticle.abstract???
The Wnt-signaling cascade is required for several crucial steps during early embryogenesis, and its activity is modulated by various agonists and antagonists to provide spatiotemporal-specific signaling. Naked cuticle is a Wnt antagonist that itself is induced by Wnt signaling to keep Wnt signaling in check. Little is known about the regulation of this antagonist. We have recently shown that the protein phosphatase 2A regulatory subunit PR72 is required for the inhibitory effect of Naked cuticle on Wnt signaling. In the present study, we show that PR130, which has an N terminus that differs from that of PR72 but shares the same C terminus, also interacts with Naked cuticle but instead functions as an activator of the Wnt-signaling pathway, both in cell culture and during development. We find that PR130 modulates Wnt signal transduction by restricting the ability of Naked cuticle to function as a Wnt inhibitor. Our data establish PR130 as a modulator of the Wnt-signaling pathway and suggest a mechanism of Wnt signal regulation in which the inhibitory activity of Naked cuticle is determined by the relative level of expression of two transcripts of the same protein phosphatase 2A regulatory subunit.
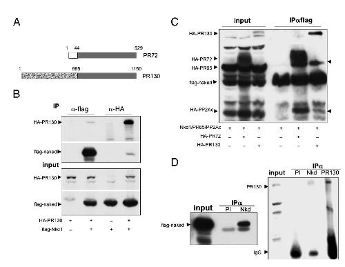
Fig. 1. PR130 can interact with Nkd. (A) PR72 has an N-terminal stretch of 44 specific amino acids (light speckled), whereas PR130 has a 665-N-terminal-specific stretch (dark speckled). (B) IP of PR130 and Nkd. Extracts from HEK 293 ectopically expressing flag- tagged hNkd1, HA-tagged hPR130, or both were subjected to co-IP with anti-flag and anti-HA antibodies as indicated. Flag-antibodies did not precipitate HA-PR130 (lane 1), and the HA-antibody did not precipitate flag-hNkd1 (lane 3); when coexpressed, both were coprecipitated with either anti-HA or ant-flag (lanes 2 and 4). (Lower) Shown is 10% of the input in either lane. (C) IP of PR130 and Nkd containing the PP2A holoenzyme. Extracts from HEK 293 cells expressing flag-Nkd1, HA-PP2Ac, and HA-PR65 (input, Left) were cotransfected with either HA- PR72 (lane 2) or HA-PR130 (lane 3). IP anti- flag (Right) pulled down flag-Nkd1 (lane 1). PP2Ac and PR65 were pulled down only in the presence of PR72 (lane 2) or PR130 (lane 3) indicated with arrowheads. (D) IP of endogenous PR130 using an anti-Nkd antibody able to precipitate flag-Nkd1 (Left). PI, pre- immune serum. (Right) IP on U2OS lysate using PI, anti-Nkd, or anti-PR130 antibody. PR130 is shown by arrowhead.
Fig. 2. PR130 is an activator of the classical Wnt signaling pathway. TCF containing Top-Glow or Fop- Glow (containing mutated TCF sites) luciferase reporter, CMV Renilla luciferase, and Wnt-1 was cotransfected in HEK 293 cells (A) with or without HA-PR72 or HA-PR130 as indicated (C) or with pS-PR72 or pRS-PR130. The bars represent relative luciferase activity compared with the first bar in the graph. (B Lower) Western blot showing extracts from HEK 293 cells coexpressing HA-PR130 (lanes 2â4) and GFP (all lanes) as a loading control. pRS-PR130.1 (lane 3), pRS- PR130.2 (lane 4), or pRS (lanes 1 and 2) was cotransfected. (B Upper) QRT-PCR showing relative amount of mRNA levels of endogenous PR130 in the presence of indicated PR130 targeting pRetroSuper vectors or a control vector. (D) Top-Glow reporter assay as described for Fig. 2 A and C with either pS-PR72 or CMV HA-PR130 or a combination of the two as indicated. (E) IP of flag-Nkd pulling down dishevelled in the presence (lane 4) or absence (lane 3) of ectopic PR130. Lanes 1 and 2 show the corresponding inputs.
Fig. 3. PR130 depletion affects somite organization and tail development. (A) RT- PCR analysis of X. tropicalis total RNA from different developmental stages. Xpr130 is expressed maternally (stage 7) and throughout early development (stages 10, 18, 22, and 30). RT, RT-PCR without reverse transcriptase. ODC1 expression was used as loading control. (A Lower ) Whole-mount ISH for Xpr130 in embryos showing predominant staining of somites from the earliest stage detectable. (B) ISH of tailbud stage embryo with an Xnkd-specific probe. (C) Control embryo shows organized somites in a chevron-like shape as visualized by whole-mount ISH by using XmyoD as a marker (Left). PR130-depleted em- bryos lack chevron-like shaped somites (Right). Arrowheads show somitic borders. (D) Similar to B but without XmyoD. Shown are embryos injected with control MO (CoMO) (Left), PR130 MO (Center), and PR130 MO plus hPR130 RNA (Right). (Lower) Sagittal sections of the somites.
Fig. 4. PR130 depletion enhances the inhibitory function of Nkd on the Wnt-signaling cascade. (A) Embryos shown as representative for C injected as indicated. (B) PR130 depletion inhibits the ectopic Wnt signal but not in the absence of Nkd. The effect is also rescued by add-back of ectopic hPR130. (C) Nkd antagonizes an ectopic Wnt signal but not in the presence of ectopic PR130. (D) Loss of PR72 abrogates Nkd- mediated inhibition of the Wnt signal. (E) In contrast, injection of suboptimal amounts of Nkd RNA demonstrates that loss of PR130 enhances the antagonizing function of Nkd.
Agathon,
The molecular nature of the zebrafish tail organizer.
2003, Pubmed
Agathon,
The molecular nature of the zebrafish tail organizer.
2003,
Pubmed
Amit,
Axin-mediated CKI phosphorylation of beta-catenin at Ser 45: a molecular switch for the Wnt pathway.
2002,
Pubmed
Aulehla,
Segmentation in vertebrates: clock and gradient finally joined.
2004,
Pubmed
Bajpai,
Drosophila Twins regulates Armadillo levels in response to Wg/Wnt signal.
2004,
Pubmed
Boutros,
Dishevelled: at the crossroads of divergent intracellular signaling pathways.
1999,
Pubmed
,
Xenbase
Brummelkamp,
A system for stable expression of short interfering RNAs in mammalian cells.
2002,
Pubmed
Creyghton,
PR72, a novel regulator of Wnt signaling required for Naked cuticle function.
2005,
Pubmed
,
Xenbase
Galceran,
LEF1-mediated regulation of Delta-like1 links Wnt and Notch signaling in somitogenesis.
2004,
Pubmed
Giles,
Caught up in a Wnt storm: Wnt signaling in cancer.
2003,
Pubmed
Harland,
In situ hybridization: an improved whole-mount method for Xenopus embryos.
1991,
Pubmed
,
Xenbase
Hendrix,
Structure and expression of a 72-kDa regulatory subunit of protein phosphatase 2A. Evidence for different size forms produced by alternative splicing.
1993,
Pubmed
Jho,
Wnt/beta-catenin/Tcf signaling induces the transcription of Axin2, a negative regulator of the signaling pathway.
2002,
Pubmed
Keller,
Shaping the vertebrate body plan by polarized embryonic cell movements.
2002,
Pubmed
Li,
Protein phosphatase 2A and its B56 regulatory subunit inhibit Wnt signaling in Xenopus.
2001,
Pubmed
,
Xenbase
Linker,
beta-Catenin-dependent Wnt signalling controls the epithelial organisation of somites through the activation of paraxis.
2005,
Pubmed
Logan,
The Wnt signaling pathway in development and disease.
2004,
Pubmed
Lustig,
Negative feedback loop of Wnt signaling through upregulation of conductin/axin2 in colorectal and liver tumors.
2002,
Pubmed
McMahon,
Ectopic expression of the proto-oncogene int-1 in Xenopus embryos leads to duplication of the embryonic axis.
1989,
Pubmed
,
Xenbase
Moon,
From cortical rotation to organizer gene expression: toward a molecular explanation of axis specification in Xenopus.
1998,
Pubmed
,
Xenbase
Noordermeer,
Isolation of the Xenopus homolog of int-1/wingless and expression during neurula stages of early development.
1989,
Pubmed
,
Xenbase
Noordermeer,
The consequences of ubiquitous expression of the wingless gene in the Drosophila embryo.
1992,
Pubmed
Polakis,
Wnt signaling and cancer.
2000,
Pubmed
Roël,
Lef-1 and Tcf-3 transcription factors mediate tissue-specific Wnt signaling during Xenopus development.
2002,
Pubmed
,
Xenbase
Rousset,
Naked cuticle targets dishevelled to antagonize Wnt signal transduction.
2001,
Pubmed
Seeling,
Regulation of beta-catenin signaling by the B56 subunit of protein phosphatase 2A.
1999,
Pubmed
,
Xenbase
Tao,
Maternal wnt11 activates the canonical wnt signaling pathway required for axis formation in Xenopus embryos.
2005,
Pubmed
,
Xenbase
Thorpe,
Wnt/beta-catenin regulation of the Sp1-related transcription factor sp5l promotes tail development in zebrafish.
2005,
Pubmed
van der Eb,
Assay of transforming activity of tumor virus DNA.
1980,
Pubmed
van de Water,
Ectopic Wnt signal determines the eyeless phenotype of zebrafish masterblind mutant.
2001,
Pubmed
van de Wetering,
Armadillo coactivates transcription driven by the product of the Drosophila segment polarity gene dTCF.
1997,
Pubmed
Voorhoeve,
Functional interaction between a novel protein phosphatase 2A regulatory subunit, PR59, and the retinoblastoma-related p107 protein.
1999,
Pubmed
Wharton,
Vertebrate proteins related to Drosophila Naked Cuticle bind Dishevelled and antagonize Wnt signaling.
2001,
Pubmed
Wharton,
Runnin' with the Dvl: proteins that associate with Dsh/Dvl and their significance to Wnt signal transduction.
2003,
Pubmed
Yan,
Cell autonomous regulation of multiple Dishevelled-dependent pathways by mammalian Nkd.
2001,
Pubmed
,
Xenbase
Yang,
PP2A:B56epsilon is required for Wnt/beta-catenin signaling during embryonic development.
2003,
Pubmed
,
Xenbase
Zeng,
naked cuticle encodes an inducible antagonist of Wnt signalling.
2000,
Pubmed
,
Xenbase
Zhu,
Incredible journey: how do developmental signals travel through tissue?
2004,
Pubmed