|
Figure 1. Expression of Slc4a10 in rat.(A) Structure of rat Slc4a10 gene. P1, P2, and P3 represent the three alternative promoters of rat Slc4a10. Promoter P2 and exon 3 are newly identified in the present study. The gray portion (exons 16–26) encodes the predicited transmembrane domain of NBCn2. # indicate the cassette exons (exons 3, 4, 7, 11, 27, 28) that can be alternatively spliced. (B) 5′-RACE to clone the 5′-UTR of NBCn2 transcripts from adult rat kidney. The reverse primer complimentary to exon 4 (arrow in panel A) was used to amplify the 5′-UTR of MCDL-NBCn2, and the reverse primer complimentary to exon 5 (arrow in panel A) was used to amplify the 5′-UTR of NBCn2. (C) RT-PCR analysis of the expression of NBCn2 transcripts in the brain and kidney of adult rat. Promoter-specific sense primers were used to amplify the NBCn2 transcripts derived from the three different promoters of Slc4a10. The anti-sense primer was the same for all three PCRs. The PCR products were verified by DNA sequencing. H2O was used as template for the control. (D) Cloning of full-length NBCn2 derived from promoter P2 by nested RT-PCR with rat kidney. (E) Western blotting of the distribution of NBCn2 proteins in cellular fractions of rat kidney homogenate.
|
|
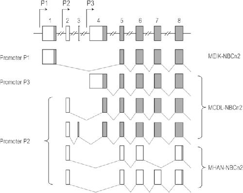
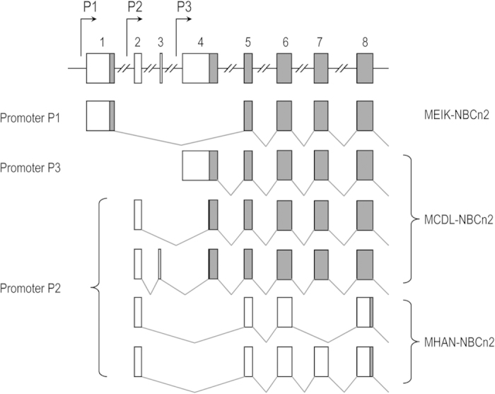
Figure 2. Exon structures (partial) of Slc4a10 transcripts.Three types of transcripts could be expressed under the control of three different promoters of Slc4a10. The open boxes represent the untranslated regions, whereas the grayed boxes represent the coding region. The transcripts derived from promoter P1 are predicted to encode MEIK-NBCn2. Those derived from P3 are predicted to encode MCDL-NBCn2. Derived from promoter P2, the transcripts containing exon 4 are predicted to encode MCDL-NBCn2, whereas those lacking exons 4 or 4 + 7 are predicted to encode MHAN-NBCn2.
|
|
Figure 3. Structural diagram and expression of NBCn2 variants.(A) Diagram of primary structure of known NBCn2 variants. The vertical dashed-lines in TMD indicate the predicted transmembrane helices. (B) Summary of tissue distribution of NBCn2 variants according to previous reports101334, the present study as well as database records in GenBank. NBCn2-A and -B were identified from human kidney34, but not from mouse kidney in the previous study10 or rat kidney in the present study. NR: not reported.
|
|
Figure 4. Luciferase reporter assay for relative transcription activities of promoters P1, P2, and P3 of rat Slc4a10 in HEK293 cells.(A), RGC-5 cells (B) and neuro-2A cells (C). The gray boxes indicate the coding regions, whereas the open boxes represent the untranslated regions. The nucleotide numberings for P1 and P3 were relative to the start codon “ATG” of the following exon, whereas those for P2 were relative to the 3′-end of exon 2. For transcription activity assay, the genomic DNA fragment was subcloned into pGL3 basic vector expressing the firefly luciferase reporter. The construct with alphabet “R” in the name contained the reverse sequence of the corresponding region. Data were presented as mean ± SE. Each bar represented the mean of at least three independent experiments, each containing quadruplicates for an individual construct. Stars indicate that the bars are significantly different from pGL3 basic by one-way ANOVA followed by Dunnett’s comparison using Minitab 16 (Minitab Inc., State College, PA,USA).
|
|
Figure 5. Identification of novel mouse Slc4a7 transcripts encoding MIPL-NBCn1 and MDEL-NBCn1.(A) Structure of mouse Slc4a7 gene. Slc4a7 contains two alternative promoters as demonstrated previously9. In addition, the gene contains 29 exons, of which exon 3 was newly identified in the present study. # indicates cassette exons (exon 3,8,9, 11,16,28). (B) Nucleotide sequence of exon 3 (upper case) and the flanking intron (lower case) of mouse Slc4a7. The underlined (blue) indicate the cryptic splicing donor and acceptor. The “ATG” in red indicates the alternative start codon for the “MIPL” motif. (C) Diagram to show the exon structure of Slc4a7 transcripts encoding the three different types of Nt ends of NBCn1. The grayed boxes represent the coding regions, whereas the open boxes represent the non-coding regions. The originally-described transcripts, predicted to encode MEAD-NBCn1, are derived from promoter P1. The originally-described MERF- as well as the newly identified MIPL- and MDEL-NBCn1 are derived from promoter P2. In the present study, exon 3 was identified only in the transcripts derived from promoter P2 of Slc4a7.
|
|
Figure 6. Functional expression of novel NBCn1 variants in Xenopus oocytes.(A) Representative recordings of pHi and Vm from an oocyte expressing NBCn1-R. (B) Representative recordings of pHi and Vm from an oocyte expressing NBCn1-Q. (C) Representative recordings of pHi and Vm from a H2O-injected oocyte. (D) Summary of pHi recovery rate (dpHi/dt) upon CO2-induced intracellular acidification in oocytes. (E) Summary of hyperpolarization upon removal of extracellular Na+. NBCn1-R and -Q were tagged with EGFP at the Ct. pHi recovery rate represents the slope of pHi trace like those indicated by the dashed lines in panels A–C. Numbers in parentheses indicate the number of oocytes represented for each bar. One-tailed unpaired students’ T-test was performed for statistical analysis.
|
|
Figure 7. Cellular localization of NBCn2 variants and mutants heterologously expressed in neuro-2A cells.(A) NBCn2-C (starting with MEIK). (B) NBCn2-G (starting with MCDL). (C) NBCn2-K (starting with MHAN). (D–K) NBCn2 mutants truncated to various positions in the Nt domain. As an example, ΔN43 (truncated to “GHRT”) represents a mutant with the first 43 aa residues removed based on NBCn2-C. The cDNA encoding NBCn2 variants or mutants was subcloned into pcDNA3.1. The cells were transfected with the corresponding construct, incubated for 24 hours for transient expression, and then fixed with 4% PFA for immunocytochemistry. NBCn2 proteins were probed with anti-NBCn2-Ct antibody in combination with Dylight 549 goat-anti-rabbit secondary antibody.
|
|
Figure 8. Cellular localization of NBCe2, NBCn1, and NBCn2 heterologously expressed in neuro-2A cells.(A) Sequence alignment of the Nt of rat NBCe2, mouse NBCn1, and rat NBCn2. (B–D) Cellular localization of the full-length rat HA-NBCe2-c (B), mouse HA-NBCn1-R (C), and rat HA-NBCn2-G (D). (E−G) Cellular localization of the Nt-truncated rat HA-NBCe2-g (E), mouse HA-NBCn1-Q (F), and mutant rat HA-ΔN120-NBCn2 truncated to “LDEI” (G). HA (“YPYDVPDYA”) was tagged at the Nt end of the NCBT proteins. Mouse anti-HA primary antibody in combination of Alexa 488 goat-anti-mouse secondary antibody was used to detect the localization of HA-tagged proteins.
|
|
Figure 9. Effect of coexpressing full-length NBCn2 on the cellular localization of Nt-truncated NBCn2 in neuro-2A cells.(A) Full-length and Nt-truncated NBCn2 individually expressed in neuro-2A cells. (B−E) Coexpression of HA-NBCn2-C and NBCn2-K-Myc (B), HA-NBCn2-C and ΔN121-Myc (C), HA-NBCn2-G and NBCn2-K-Myc (D), HA-NBCn2-G and ΔN121-Myc (E) in neuro-2A cells. Full-length NBCn2-C and -G were HA-tagged at the Nt end. Nt-truncated NBCn2-K and mutant “ΔN121” were tagged with Myc (EQKLISEEDL) at the Ct end. Full-length NBCn2 was probed with anti-HA, whereas the Nt-truncated NBCn2 was probed with anti-Myc. Two populations of cells were observed for each case in panels B−E. In a minor population of cells, both full-length and Nt-truncated NBCn2 were primarily colocalized on the plasma membrane. In the other major population of cells, both full-length and Nt-truncated NBCn2 were primarily colocalized in the cytosol.
|
|
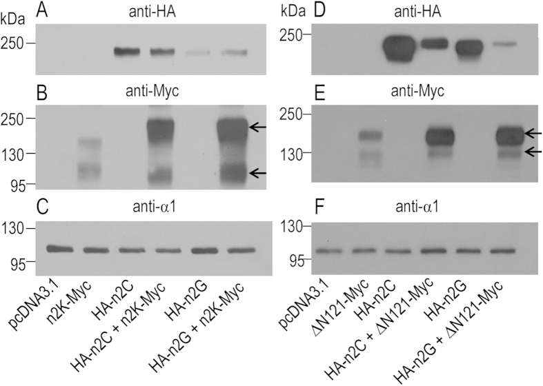
Figure 10. Biotinylation analysis of the effect of coexpressing the full-length NBCn2 on the surface abundance of Nt-truncated NBCn2 in neuro-2A cells.(A,D) Expression of full-length NBCn2 (n2C and n2G) with HA tagged at the Nt end. (B,E) Expression of Nt-truncated NBCn2 (n2K and ΔN121) with Myc tagged at the Ct end. (C,F) Expression of endogenous Na+-K+-ATPase probed with anti-α1 to verify equal loading in each lane. Surface proteins were prepared by biotinylation and separated on 10% SDS-PAGE for western blotting.
|
|
Figure 11. Effect of isolated Nt domain on surface expression of Nt-truncated NBCn2 in neuro-2A cells.(A) Expression of isolated Nt domain of rat NBCn2-C/G. Whole cell lysate was used for the analysis of the expression of the isolated Nt domains. (B) Biotinylation analysis of the surface expression of Nt-truncated NBCn2. (C) Biotinylation analysis of the surface expression of Na+-K+-ATPase. (D–E) Cellular localization of mutant ΔN121in neuro-2A cells in the presence of the isolated Nt domain of NBCn2-C or NBCn2-G. (F) Cellular localization of mutant ΔN121 in the absence of the isolated Nt domain of NBCn2 in neuro-2A cells. The isolated n2C-Nt consisted of the sequence of “MEIK…FLSQ” of rat NBCn2-C, and n2G-Nt consisted of the sequence of “MCDL…FLSQ” of rat NBCn2-G. For western blotting analysis, n2C-Nt and n2G-Nt were tagged with HA at the Nt end, whereas the Nt-truncated NBCn2-K and ΔN121 were tagged with Myc at the Ct end. In immunocytochemistry analysis, the isolated Nt and Nt-truncated NBCn2 proteins had no tag. The cells were stained with anti-NBCn2-Ct polyclonal antibody.
|
|
Figure 12. Bimolecular fluorescence complementation (BiFC) assay.The amino-terminal fragment (1–158 aa, YFPN) or carboxyl-terminal fragment (159–238 aa, YFPC) of YFP were fused to NBCn2 variants at their Nt (e.g., YFPN-NBCn2-C) or Ct end (e.g., NBCn2-G-YFPC). The fusion proteins were transiently expressed in neuro-2A cells. (A) Individual expression of NBCn2 variants fused with YFPN or YFPC. NBCn2 were probed with anti-NBCn2-Ct in combination of Dylight 549 goat-anti-rabbit secondary antibody and visualized by laser confocal microscopy. (B) Paired coexpression of full-length NBCn2-C and -G fused with YFPN or YFPC. (C) Paired coexpression of full-length NBCn2-C or G fused with YFPN and NBCn2-K fused with YFPC. (D) Diagram to show the principal of BiFC assay. In panels B and C, the cells were fixed with 4% PFA and stained with DAPI. YFP was visualized directly by laser confocal microscopy. In panel B, strong fluorescence signal was seen for both Nt-Nt pairs (YFPN and YFPC were both tagged at the Nt of NBCn2, e.g., YFPN-NBCn2-C plus NBCn2-G-YFPC in “a + c”) and Nt-Ct pairs (YFPN and YFPC were tagged at the Nt and Ct of NBCn2, respectively, e.g., YFPN-NBCn2-G plus NBCn2-G-YFPC in “b + d”). However, in panel C, fluorescence signals were seen only for Nt-Ct pairs, but not for Nt-Nt ones.
|
|
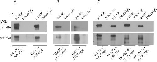
Figure 13. Co-immunoprecipitation of Nt-truncated NBCn2 with full-length NBCn2 or isolated Nt domain.Myc-tagged Nt-truncated NBCn2-K or mutant ΔN121 was coexpressed with HA-tagged full-length variants or the isolated Nt domain in Neuro-2A cells. Cell lysate was prepared as described in Methods and immunoprecipitated with anti-HA antibody. (A) Co-immunoprecipitation of NBCn2-K-Myc and HA-NBCn2-C or -G. (B) Co-immunoprecipitation of ΔN121-Myc and HA-NBCn2-C or -G. (C) Co-immunoprecipitation of NBCn2-K-Myc and ΔN121-Myc with isolated Nt of NBCn2-C or -G.
|
|
Figure 14. Structural comparison of variants of selected Slc4 members.The diagram was drawn based upon a sequence alignment for rat eAE1 (accession #NP_036783.2), rat kAE1 (accession #AAH85748.1), rat NBCe2-c (accession #NP_997677.1), rat NBCe2-g (accession #BAM73282.1), mouse NBCn1-P (accession #AFI43932.1), mouse NBCn1-Q (accession #AGX13876.1), mouse NBCn1-R (accession #AGX13877.1), rat NBCn2-H (accession #JX073718), rat NBCn2-K (accession #AHG54969.1). The sequence alignment was performed with online multiple sequence alignment tool Clustal Omega from European Bioinformatics Institute of EMBL (http://www.ebi.ac.uk/Tools/msa/clustalo/). The Nt domains of the Slc4 transporters consist of two variable regions VR1 and VR2, as well as two conserved regions CR1 and CR2. Cassettes I through IV indicate the four optional structural elements of NBCn1. Compared to eAE1, kAE1 is truncated by 78 aa at the Nt. Compared to NBCe2-c, NBCe2-g is truncated by 115 aa. NBCn1-Q is truncated by 125 aa compared to NBCn1-P. NBCn2-K is truncated by 194 aa compared to NBCn2-H.
|